Kontakt /
                  contact          Hauptseite        zurück        Inhalt
<<     >>
ENGL

Lügen und Profit bei der Schul-"Medizin" (Teil 2)

Wie die Medizin nach der Erfindung des Röntgenapparates auf die falsche "Bahn" kam -

Profitstrategien der Medizinwirtschaft.

4. Cholera und TB - Pettenkofer für Hygiene und Immunsystem - Koch für Quarantäne
5. Die TB-Lüge von Robert Koch - die Presse jubelt und schützt den Lügner - Hoechst verkauft die Lüge
6. Psychische Pflege als Faktor: Cochranes Statistik über den Einfluss von Rationen und Lebensmittelpaketen in Kriegsgefangenenlagern für Erkrankungen



Spritze am Bein angesetzt
drohende Spritze Die Fettsucht
Brustkrebs, Röntgenfoto operation, meist
                            Symptombekämpfung Das
                            Pillenmeer der Schul-"Medizin" Insulin-Inhalator
Die Schul-"Medizin" gaukelt vor, ihre "Mittelchen" würden heilen, aber gleichzeitig werden neue Krankheiten verursacht...

von Michael Palomino (2004 / 2005 / 2009 / 2012)

Teilen:

Facebook







aus:
Langbein, Kurt / Ehgartner, Bert: Das Medizinkartell. Die 7 Todsünden der Gesundheitsindustrie; Piper-Verlag, München 2002; Zusammenfassung von Michael Palomino


Kommentar
Alle zufälligen Erfindungen sind unter dem Suchwort "zufällig" gleich angegeben. Die Lügen der Schul-"Medizin" sind präzise in ihrem Ablauf und in ihrer Argumentationskette dargestellt. Der Faktor Karriere und Geld spielt eine wichtigere Rolle in der Schul-"Medizin" als die Gesundheit der Menschen. Wieso nur bezahlen die Krankenkassen weiterhin die Schul-"Medizin", die immer mehr Kranke statt Gesunde produziert?

Michael Palomino

Das Buch "Das
                          Medizinkartell" von Kurt Langbein und
                          Bert Ehgartner (2002), Buchdeckel


Abkürzungen
BMJ Britisch Medical Journal (S.276) NIH "US"-Gesundheitsbehörde, Hauptquartier in Bethesda, Maryland (S.324)
JAMA Journal of the American Medical Association (S.339) RAC Recombinant DNA Advisory Committee (S.328)


nach oben / vers le haut / arriba /
                  top

Kapitel

4. Cholera und TB - Pettenkofer für Hygiene und Immunsystem - Koch für Quarantäne
5. Die TB-Lüge von Robert Koch - die Presse jubelt und schützt den Lügner - Hoechst verkauft die Lüge
6. Psychische Pflege als Faktor: Cochranes Statistik über den Einfluss von Rationen und Lebensmittelpaketen in Kriegsgefangenenlagern für Erkrankungen


Inhalt / contenu / contenido /
                  contents         nach oben / vers le haut /
                  arriba / top

4.
Cholera und TB - Pettenkofer für Hygiene und Immunsystem - Koch für Quarantäne

3000 v.Chr.: Im Alten Ägypten ist Tuberkulose (TB) bekannt, aber selten (S.39).

Im Römischen Reich schreibt Hyppokrates über TB, hält dabei aber die Knötchen für die Ursache. Dabei sind die Knötchen die Folge. Hyppokrates erkennt den Infektionsweg nicht (S.39). Es sind gelblich-graue, hirsekorngrosse Flecken [an der Lunge] (S.40).

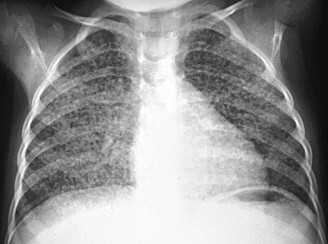
TB-Lunge mit Knötchen, Röntgenfoto
TB-Lunge mit Knötchen, Röntgenfoto [1]
Weltkarte mit geschätzten TB-Raten 2009
Weltkarte mit geschätzten TB-Raten 2009 [2]

TB-Kranke leiden unter einer chronischen Unterversorgung an Lebensmitteln und leiden unter einem schwachen Immunsystem. Symptome von Tuberkulose sind ausserdem <Müdigkeit und Schwäche, Appetitlosigkeit und Gewichtsabnahme, geschwollene Lymphknoten, leichtes Fieber, besonders in den Nachmittagsstunden, Nachtschweiß und ständiges Hüsteln ohne viel Auswurf gehören> [web01].

19.Jh.
Die Städte in Europa sind ein einziger Mensch-Tier-Stall
[Die Städte Europas im 19. Jahrhundert sind zum Teil alles andere als menschlich eingerichtet, und in engen, Ghetto-ähnlichen Verhältnissen wimmelt es dann jeweils an Krankheitserregern. Wenn dann noch lange Arbeitszeiten (12-Stunden-Tag ohne Sonne), ein dauernder Hunger und eine Schwächung des Immunsystems dazukommen, dann ist die TB da. Hier sind die Details]:

-- in den europäischen Städten leben viele Tiere in den Ställen, v.a. Zugpferde, und alle Menschen können ausserdem reiten
-- viele Familien halten ausserdem auch ihr eigenes Kleinvieh in der Stadt

-- auf den Strassen und Wegen der europäischen Städte im 19. Jh. liegen überall Tier-Ausscheidungen, die von den konzessionspflichtigen Strassenreinigungen jeweils aufgesammelt werden. Die Strassenreinigungen verkaufen den Dung dann an die Bauern als Brennstoff.

-- Wasser kommt aus Gemeinschaftsbrunnen oder noch direkt aus Flüssen, wo auch Abwässer sind, ungefiltert und ungeklärt
-- in Arbeiterquartieren herrscht Wohnungsnot mit "abenteuerlichen, sanitären Verhältnissen"

Insgesamt herrscht in den europäischen Städten des 19. Jh. dauernd eine hohe Seuchengefahr (S.43).

Lebensbedingungen im 19. Jahrhundert
Kinderarbeit in einer Webfabrik in South
                        Carolina USA, 1908
Kinderarbeit in einer Webfabrik in South Carolina USA, 1908 [3] ("Sie war einfach da... und arbeitete dauernd" (“She just happened in…she was working steadily”)
Frauen und Kinder in einer deutschen
                        Kohlengrube, 19. Jh.
Frauen und Kinder in einer deutschen Kohlengrube, 19. Jh. [4]
Überfüllte Wohnungen wegen Kinderreichtum
                          durch den Rückgang der Kindersterblichkeit und
                          wegen des Fehlens von Verhütungsmitteln.
                          Beispiel einer Grossfamilie in einer Berliner
                          Wohnung 1907
Überfüllte Wohnungen wegen Kinderreichtum durch den Rückgang der Kindersterblichkeit und wegen des Fehlens von Verhütungsmitteln in der Arbeiterklasse. Beispiel einer Grossfamilie in einer Berliner Wohnung 1907 [5]

Diese brutalen, sozialen Bedingungen herrschten im 19. Jahrhundert auf der ganzen Welt, weil es noch keine Arbeitsgesetze und allgemein zugängliche Verhütungsmittel gab. Diese Verhältnisse sind durchaus mit den jüdischen Ghettos der Nazizeit vergleichbar. Keine Seuchengefahr herrscht nur
-- in "bürgerlichen" Verhältnissen in Einfamilienhäusern
-- in den Adelsschlössern, und dort wird "klassische" Musik gemacht und werden höfische Tänze und Trinkgelage veranstaltet
.

Der Adel hatte nie ein Wohnungsproblem.
                            Beispiel: Schloss Ludwigsburg
Der Adel hatte nie ein Wohnungsproblem. Beispiel: Schloss Ludwigsburg in Deutschland [6]

Die Politik in einigen Ländern scheucht sich bis heute (2012) vor dieser Thematik, die sozialen Verhältnisse zu verbessern.


ab den 1830er Jahren
Auftauchen der Cholera aus Indien in Europa
(S.43); in Indien sind die sozialen Verhältnisse derart schlimm, dass die Cholera bereits "regelmässig" ausbricht. Britische Empire-Schiffe bringen die Cholera nach Europa. 1829 taucht sie auch in Orenburg am Südural auf, 1830 in Moskau, 1831 in Riga und in ganz Mitteleuropa (S.44). [Man kann es auch "Globalisierung" nennen...]

Cholera: Kot-Bakterium - Durchfall und Erbrechen gleichzeitig - Ausbreitung über die ganze Welt
Cholera ist eine Entzündung des Dünndarms und führt zu schwerstem Durchfall und zu schwerem Erbrechen gleichzeitig. Im zweiten Stadium erfolgt eine allgemeine Austrocknung des Körpers mit einem eingefallenen Gesicht. Als drittes Stadium kommen hinzu: Verwirrtheit, Koma und Hautausschlag, eventuell begleitet von Lungenentzündung, Entzündung der Ohrspeicheldrüse und Sepsis. Cholera wird durch von Kot-Ausscheidungen bakterienverseuchtem Trinkwasser oder durch ebenso verseuchter Nahrung hervorgerufen, mit dem Bakterium Vibrio cholerae. Das Bakterium kommt in Fäkalien vor, sowie in Kot-verseuchtem Trinkwasser oder in mit Kot-Abwässern verschmutzten Flüssen und Meeren vorkommt, auch in Fischen und anderen Lebensmitteln, die aus solchen Gewässern stammen [web02].

Erste Berichte über Cholera-Epidemien stammen aus dem 16. Jahrhundert. Ab 1817 wurde die Cholera dann zur Pandemie (länger anhaltende Krankheit, die sich über mehrere Kontinente ausbreitet [web03]):
-- 1817-1823 Cholera-Pandemie ausgehend von Kalkutta (Indien), Ausbreitung über Ostasien, Pazifik, Naher Osten, bis Südrussland, wird dann durch den harten Winter 1823/1824 gestoppt
-- 1826-1837 Cholera-Pandemie ausgehend von Bengalen (Indien) mit noch weiterer Ausbreitung bis nach Russland (197.000 Tote), Mitteleuropa (Ungarn 200.000 Tote, Deutschland, Frankreich) und Skandinavien (Finnland und Schweden) und auch bis Grossbritannien (England und Wales 21.500 Tote) und durch Auswanderer bis in die "USA", mit Millionen Todesopfern [web04].

Auch Soldaten bringen die Cholera "nach Hause" oder britische Soldaten in Indien und Afghanistan kommen nie mehr nach Hause, weil sie dort an Cholera sterben [web04].

Wenn wir nun die Weltkarte der WHO mit den Meldungen von Cholera-Ausbrüchen in den Jahren 2010 und 2011 anschauen, so sehen wir: Vor allem Indien, wo bis heute eine "Union" zwischen Mensch und Tier im Haushalt herrscht, hat bis heute (2012) NICHTS dazugelernt und lässt die Menschen weiterhin in katastrophalen Zuständen leben, obwohl dort keine Erdbeben oder Kriege stattfinden.

Weltkarte der Cholera-Ausbrüche
                              2010-2011
Weltkarte der Cholera-Ausbrüche 2010-2011 [8]


Die Symptome der Choleraerkrankung - die europäischen Ärzte haben keine Ahnung
Gemäss Langbein/Ehgartner sind die Symptome von Cholera zuerst ein unbestimmtes Unwohlsein und leichte Taubheit. Daraufhin folgen Anfälle von Erbrechen und Durchfall wie Reiswasser. Dann folgt der Zusammenbruch, eine Blutverdickung, und der Kreislaufkollaps. Die Haut wird blau und "wellig", die Augen liegen tief in den Höhlen, Füsse und Hände werden einskalt, und es kommt zu schmerzhaften Muskelkrämpfen. Die von Cholera betroffenen Personen entwickeln eine Gleichgültigkeit, dann kommt es bei 50% zu einem Herz- oder Nierenversagen und dann zum Tod. Der Krankheitsverlauf von Cholera dauert zwischen 5 Stunden bis 3 oder 4 Tage (S.44).

Die Ärzte in Europa haben keine Ahnung von der Cholera und sind völlig überrascht (S.44). Sie vermuten Berührung als Überträger ("Contagienlehre") oder verseuchtes Wasser und dessen Ausdünstungen als Ursache, die "Miasmatheorie" (S.45).

Die Malaria-Vermutungen - die Cholera-Vermutungen
Die Malaria ist gemäss der damals herrschenden medizinischen Meinung durch Ausdünstungen schlechter Luft verursacht, die von ruhenden Tümpeln kommt. Deswegen wird die Krankheit auch "mal-aria" = "schlechte Luft" genannt, die "Miasmatheorie". Dasselbe wird bei der Cholera vermutet. Auch britische Ärzte in Indien meinen, Ausdünstungen seien die Ursache von Cholera (S.45).

Insgesamt ist die europäische Ärzteschaft über die Cholera gespalten. Es kommt zu "Argumentationsduellen" mit Abstimmungen im Publikum [völlig populistisch und unwissenschaftlich] (S.45).

Europas Massnahmen gegen die Cholera - die Bevölkerung wittert Diskriminierung
Die Stadtregierungen ergreifen gegen die Cholara nun rigorose Zwangsmassnahmen:
-- ganze Gebiete werden abgeriegelt
-- in Österreich-Ungarn werden Quarantänemassnahmen verhängt
-- es werden "Cholerabaracken" eingeführt und dadurch auch Familien getrennt (S.46).

In der Folge aber wächst das Misstrauen der Bevölkerung gegen die Regierungen und Ärzte:

-- es kommt zu Aufständen gegen den Adel, zu Morden an Ärzten, zur Besetzung von Schlössern
-- es geht das Gerücht um, dass Ärzte für Cholera-Tote Prämien erhalten
-- dann werden diese Gerüchte auch noch bestärkt, weil sich die Cholera nur in der Unterschicht ausbreitet
-- und dann geht noch das Gerücht um, die Reichen wollten sich der Armen entledigen und hätten Erreger verteilt (S.46).

Ausserdem zeigen die drastischen Massnahmen [in der Meinung, der Erreger werde durch die Luft "ruhender Tümpel" übertragen] keine Wirkung. Ausräuchern, Desinfizieren oder Wundermittel, alles nützt nichts. Und so kommt es zu noch mehr Gerüchten, und viele Wohlhabende flüchten aus den Städten, sobald die Cholera ausbricht.

Im Jahre 1831 erlebt Königsberg z.B. einen Aufstand gegen die Beisetzung eines Cholera-Opfers in einer "Seuchengrube": Der Menschenzug randaliert in Apotheken, überrennt die Polizei, jagt Ärzte, so dass das Militär in die Menge feuert, 7 Tote und viele Verwundete produziert und 177 Festnahmen vornimmt (S.46).

"Cholera-Zeitungen" - alle Massnahmen nützen nichts
Die Regierungen wollen die Mithilfe der Bevölkerung gewinnen:
-- es werden "Cholerazeitungen" gegründet, die um die Mithilfe der Bevölkerung werben
-- und es werden Cholera-Krankenhäuser eingerichtet (S.47).

Die Behörden glauben, Cholera sei eine Infektionskrankheit, aber alle Massnahmen versagen. Ansteckung kann es also nicht sein, aber die Diskriminierungen werden immer weiter verstärkt (S.47).

1832
Hamburg hebt alle "Vorsichtsmassnahmen" gegen die Cholera auf
und weiter weiss niemand, wie die Ausbreitung geschieht. Die Epidemien werden hingenommen (S.47).

1842
Grossbrand in Hamburg - Neuaufbau mit sanitären Reformen
Nach dem Grossbrand im Jahre 1842 baut Hamburg von 1842 bis 1853 ein unterirdisches Kanalisationsnetz mit einer zentralen Sammelanlage für alle Abwässer, nach englischem Vorbild. Die Inbetriebnahme erfolgt im Jahre 1853 (S.55).

Details zur Wasserversorung von Hamburg (die wahrscheinlich für die ganze Welt gelten):

<Die ersten Wasserkünste entnahmen das Wasser aus der Alster. Die Alster diente allerdings gleichzeitig auch der Aufnahme der Abwässer, die aus menschlichen Ausscheidungen und den nicht gerade besseren Resten damaliger Handwerksbetriebe (Wäschereien, Gerbereien und Bleichen).

Später wurde das Wasser der Elbe entnommen, deren Wasser aber selbstverständlich genauso wenig sauber war. Im besten Falle wurde das Wasser – bevor es zum Verbraucher kam – in Absetzbecken geleitet, so dass sich grober Schutz am Boden sammelte und so vom Wasser getrennt wurde.

Als Folge des Großen Brandes [von Hamburg 1842] wurde im Jahr 1844 beschlossen eine staatliche Wasserversorgung für das Gebiet von Alt- und Neustadt aufzubauen. Damit betreut wurde der Engländer William Lindley.> [web05]

Cholera-Pandemie 1842-1862
Weltkarte der Cholera-Pandemie von
                            1842-1862
vergrössern Weltkarte der Cholera-Pandemie von 1842-1862 [9] mit der Angabe der Handelsrouten der verschiedenen Kolonialländer

Die Hafenstädte waren von den Epidemien besonders betroffen. Dort war der Erreger jeweils immer zuerst.

1848
Hamburg nimmt die zentrale Wasserversorgung "Wasserkunst" in Rothenburgsort in Betrieb - aber ohne zentralen Sandfilter
Hamburg schafft sich eine zentrale Wasserversorgung. Das Trinkwasser wird zwei Kilometer oberhalb der Stadt direkt aus der Elbe entnommen und dann durch einen 800 m langen Kanal in drei grosse Klärbecken geleitet (S.55), aber noch ohne Sandfilter. Hamburgs Regierung findet das nicht nötig (S.56).
Die Details sprechen eine klare Sprache: Die Stadt Hamburg und die Industrie zusammen provozierten, dass bei der Staatlichen Wasserkunst in Rothenburgsort keine zentrale Filteranlage gebaut wurde:

<1848 konnte die Staatliche Wasserkunst in Rothenburgsort eingeweiht werden, die allerdings immer noch ausschließlich unfiltriertes Wasser erzeugte. Dabei hatte Lindley eine Filtration vorgesehen, die aber aus Kostengründen nicht realisiert wurde. Schon damals gab es aber auch andere wirtschaftliche Erwägungen, die die Filtration durch das Wasserwerk vereitelten: Es gab Hersteller, die für den Endverbraucher erste Filtersysteme anbot und damit sehr viel Geld verdienten – auch wenn diese Geräte nicht wirklich effektiv arbeiteten und die Wasserqualität von Jahr zu Jahr – aufgrund des Bevölkerungswachstums in Hamburg – schlechter wurde.> Der Nachbarort Altona jedoch betreibt eine Wasserfiltrierung, was später zum grossen Vorteil gegen die Cholera wird. [web05]

Berlin: Wasserversorgung mit Sandfilter
Die Bakterien im Sandfilter töten den Choleraerreger ab, aber das weiss damals noch niemand (S.56).

1848/1849
Cholera: Die Medizin hat weiterhin keine Ahnung
Die Epidemien werden weiter hingenommen (S.47).

1850
München: Arzt Max von Pettenkofer wird Hofapotheker - Durchsetzung einer neuen Hygiene
-- Pettenkofer richtet an drei bayrischen Universitäten Lehrstühle für Hygiene ein (S.49)
-- Pettenkofer gilt als Begründer der Präventionsmedizin, der Hygiene-Erziehung und der Idee, dass frische Luft und gesunde Ernährung den Körper gegen Krankheiten stärke
-- Pettenkofer rechnet vor, dass sich die Prävention bilanzmässig lohne, wenn die Leute weniger krank werden (S.50) und fordert gleichzeitig auch die Eigenverantwortung eines jeden Menschen für sich selbst (S.50-51)

Die Zustände um 1850

Tote durch Diphtherie, Scharlach, Masern, Keuchhusten und TB
-- 1/3 der Kinder zwischen 0-1 Jahre sterben an Diphtherie, Scharlach, Masern und Keuchhusten
-- etwa 1/3 der Erwachsenen stirbt an TB (S.36).

Bevölkerungsexplosion
Gleichzeitig entwickelt sich die Bevölkerung in den Städten explosionsartig, und in denjenigen Städten, die noch keine Kanalisation haben, wüten immer noch Seuchen, die bisher in Europa unbekannt waren: Cholera, Typhus (Fleckfieber) (S.38).

[Die Ursache für die Bevölkerungsexplosion ist die verminderte Kindersterblichkeit, weil die Desinfektion von Wunden und Operationsbesteck erfunden wurde und sich die Hygienebedingungen in Europa langsam aber sicher verbessern. Des Weiteren verfügt die Unterschicht über keine Verhütungsmittel, und über natürliche, jahrelange Verhütung mit Wurzelsäften wie im Urwald von Süd-"Amerika" weiss auch niemand Bescheid].

ab 1850
Arzt Pettenkofer streitet in München für Kanalisation und geregelte Abfallbeseitigung und Wasserversorgung
Pettenkofer argumentiert, jede Wohnung solle fliessendes Wasser haben, so dass sich die Leute häufiger waschen (S.50).

Max von
                        Pettenkofer, Chemiker und dann Chefhygieniker
                        von München, Portrait von 1860 ca.
Max von Pettenkofer, Chemiker und dann Chefhygieniker von München, Portrait von 1860 ca. [12]

Pettenkofer (geboren als Bauernsohn 1818 in Lichtenheim, gestorben 1901 in München, beerdigt auf dem Alten Münchner Südfriedhof) war Chemiker und Hygieniker. Nach dem vom Onkel Franz Xaver Pettenkofer (ein Apotheker) finanzierten Besuch des Alten Gymnasiums studierte er in München Pharmazie, Naturwissenschaften und Medizin und schloss mit Dr.-Titel in Medizin, Chirurgie und Geburtshilfe ab, und erwarb sich auch den Apotheker-Titel. Danach war er in der Chemieforschung in Würzburg tätig, darauf in Giessen am Labor von Justus von Liebig. 1847 wurde er Professor für medizinische Chemie an der Ludwig-Maximilians-Universität München [LMU]. 1865 wurde er deren Rektor, und im selben Jahr der erste deutsche Professor für Hygiene. 1876 bis 1879 richtete er das erste Hygieneinstitut ein. 1890 bis 1899 war er Präsident der Bayerischen Akademie der Wissenschaften. 1893 beendete er seine Professur und 1901 schloss er seine Hofapotheker-Wohnung in der Münchner Residenz [web07].

Hauptverdienste Pettenkofers im Hygienebereich:
-- er setzte die Hygiene als eigenständigen Bereich in der Medizin durch
-- er entwickelte mit Verwaltung und Ingenieuren eine "Gesundheitstechnik" im Städtebau
-- er setzte in München die Kanalisation und eine zentrale Trinkwasserversorgung durch.

Hauptverdienste Pettenkofers im chemischen Bereich (bis ca. 1850)
-- 1844 entdeckt er das Kreatinin, ein wichtiges Stoffwechselprodukt des Muskelgewebes
-- er entwickelte bei Justus von Liebig den Gallensäurenachweis, ausserdem eine verbesserte Methode zur Zementherstellung (1847)
-- er erfand die [destruktive] Kupfer-Amalgamfüllung (1848) [die wiederum viele, neue Krankheiten provozierte]
-- am Hauptmünzamt setzte er verbesserte Methoden zur Edelmetallschmelze und Münzherstellung durch (1848-1849)
-- er entdeckte die periodisch auftretenden Eigenschaften der chemischen Elemente (1850) und begründete damit das Periodensystem, wobei ihm aber die Bayerische Akademie der Wissenschaften eine weitere Förderung verweigerte
-- 1851 beschreibt er die Herstellung von Leuchtgas aus Holz (Holzgas)
-- um 1860 untersucht er mit Carl von Voit einige Stoffwechselbilanzen
-- er entwickelt Atmungsgeräte (Respirationsapparate) mit dem "Pettenkofer-Prinzip", wobei das Prinzip sich bis heute nicht verändert hat (2012)
-- Pettenkofer erfindet den Fleischextrakt (Suppenwürfel nach Liebig) bei industrieller Herstellung mit südamerikanischem Rindfleisch
-- "die medizinische Chemie verdankt ihm zudem brauchbare Nachweismethoden für Zucker, Harnbestandteile und Arsen".


Max von
                                Pettenkofer, Portrait um 1880 mit
                                Vollbart
Max von Pettenkofer, Portrait um 1880 mit Vollbart

Die Hauptverdienste Pettenkofers in der Epidemiologie folgen nach der Cholera in München von 1854 [siehe 1854 in der Chronologie].

Pettenkofer bekommt zahlreiche Ehrungen und Mitgliedschaften:
-- ab 1846 Mitglied der Bayerischen Akademie der Wissenschaften
-- 1849 wird er Mitglied des Obermedizinalausschusses
-- 1872 wird er Ehrenbürger der Stadt München
-- 1883 in den Bayerischen Erbadel aufgenommen
-- 1893 erhält er die Goldene Bürgermedaille der Landeshauptstadt München
-- 1896 erhält er den Titel "Exzellenz"
-- 1897 erhält er die Harben-Medaille des Royal Institute of Public Health von England, sowie die Goldmedaille der Chemischen Gesellschaft
-- 1899 erhält er die Goldmedaille der Stadt München
-- 1900 erhält er den Verdienstorden der Bayerischen Krone und wird in den preussischen Orden "Pour le Mérite" für Wissenschaft und Künste aufgenommen
-- 1968 zum 150. Geburtstag bringt die BRD eine 5-DM-Gedenkmünze mit Pettenkofer heraus
-- Schulen und Strassen werden nach Pettenkofer benannt (z.B. in Berlin Friedrichshain-Kreuzberg)
-- in München ist das Institut für Hygiene und Medizinische Mikrobiologie der Ludwig-Maximilians-Universität (LMU) München nach ihm benannt, das Pettenkofer-Institut
-- seit 2007 trägt auch eine Bakterienart Pettenkofers Namen: Staphylococcus pettenkoferi, eine Bakterie, die nur bei geschwächtem Immunsystem schädlich wirkt [web09]

1852
Virchow postuliert, Bildung, Wohlstand und Freiheit bringen mehr Gesundheit
1852 postuliert der Pathologe Rudolf Virchow in Deutschland, dass Hungerepidemien zu mangelnder Resistenz gegen Cholera führen würde. Allgemeine Gesundheit könne durch "Bildung, Wohlstand und Freiheit" gefördert werden (S.37).

In: Schnipperges, Heinrich: Rudolf Virchow, 1994, S.97.

Virchow beobachtet die "Bakteriologie" skeptisch (S.37) und postuliert "das Gleichgewicht der Funktionen" als Gesundheitsgrundlage (S.38).

Virchows Studie zeigt die Mängel auf:
-- 10 % Untergewicht hat ein dreifach höheres TB-Risiko zur Folge als bei Menschen mit 10% Übergewicht
Zusätzliche Faktoren für einen Tod durch TB sind
-- der Mangel an Licht und Luft provoziert mehr TB-Fälle
-- grosse Staubansammlungen
provozieren mehr TB-Fälle
-- unhygienische Lebensbedingungen provozieren mehr TB-Fälle (S.42).


Rudolf Virchow,
                                  Portrait
Rudolf Virchow, Portrait [13]

Rudolf Ludwig Karl Virchow (geboren in Schivelbein, Pommern, 13.10.1821, gestorben am 5.9.1902 in Berlin), studierte Medizin und promovierte 1843 an der Friedrich-Wilhelms-Universität auf dem Gebiet der Pathologie. Dann studierte er an der Berliner Militärärzte-Akademie "Pépinière" als Stipendiat, arbeitete an der Charité in der Prosektur, und bewies als Pathologe an der Charité erstmals das Krankheitsbild der Thrombose, eine weltweit wegweisende Arbeit. 1845 beschrieb Virchow erstmals die Leukämie.

Er begann 1847 zusammen mit Benno Reinhardt mit einem "Archiv für pathologische Anatomie und Physiologie", das seither auch Virchow-Archiv genannt wird. Wegen Beteiligung an der Märzrevolution von 1848 musste er Berlin verlassen und wählte aus mehreren Angeboten (u.a. ETH Zürich) die Stadt Würzburg als nächste Station seines Lebens aus, wo er auch heiratete und dann insgesamt sechs Kinder hatte. Er kehrte 1856 nach Berlin zurück, wurde Chef des neu geschaffenen Ordinariat für Pathologie und übernahm gleichzeitig seine alte Stellung als Prosektor an der Charité, dies nun für 46 Jahre bis zu seinem Tod. Die pathologisch-anatomische Sammlung wurde unter ihm ausgebaut und 1899 damit das Pathologische Museum eingerichtet, heute "Berliner Medizinhistorisches Museum" an der Charité. Er blieb bis ins hohe Alter wach und flink, politisch sozial aktiv bei der Fortschrittspartei, 1859-1902 auch als städtischer Abgeordneter und 1862-1902 auch im Preussischen Abgeordnetenhaus, für eine liberale und wissenschaftlich aufgeklärte Gesellschaft, Bismarck-Gegner.

Virchows Hauptverdienste im medizinischen Bereich:
-- er brachte es mit seiner Theorie der Zellularpathologie zu Weltruhm. Er sagte klar, dass "Krankheiten auf Störungen der Körperzellen basieren"
-- er arbeitete als Medizinhistoriker und Publizist, gab mehrere Zeitschriften heraus
-- er pflegte Beziehungen zum Solbad Dürkheim mit einer Traubenkur
-- setzte sich für eine medizinische Grundversorgung der Bevölkerung ein, richtete die ersten kommunalen Krankhäuser in Berlin ein (Friedrichshain 1874, Moabit 1875 (inzwischen geschlossen), Am Urban 1890)
-- er setzte sich für Parks und Kinderspielplätze ein, um die Lage des Proletariats zu verbessern, ebenso für Markthallen
-- er berät als Hygieniker Regierungen in Seuchenfragen [web10]
-- er setzt die obligatorische Trichinenuntersuchung (Untersuchung auf Trichinen, "Trichinenschau") von geschlachtetem Fleisch in Preussen durch [web10, web11]
-- "Virchow befürwortete die Schwemmkanalisation, im Gegensatz zu dem Frankfurter Arzt Georg Varrentrapp, der eine Abfuhr und Nutzung als Dünger befürwortete. Zusammen mit James Hobrecht war Virchow ab 1869 massgeblich daran beteiligt, dass Berlin um 1870 eine Kanalisation und eine zentrale Trinkwasserversorgung erhielt. Die Entwässerung der Stadt lief über zwölf unabhängige Radialsysteme, die zu Rieselfeldern ausserhalb der Stadt führten, die damals sauberste Lösung der Abwasserbeseitigung"
-- Virchow plante und verwirklichte zusammen mit Stadtrat Arnold Markgraff die Berliner Kanalisation
-- Virchow erreichte, dass 1881 in Berlin ein hygienisch einwandfreier, zentraler Vieh- und Schlachthof eingerichtet wurde

1869 stellte Virchow friedenspolitisch einen Antrag im Preussischen Abgeordnetenhaus aus Abrüstung, Schiedsgerichte und auf die Schaffung der Vereinigten Staaten von Europa. 1873 prägte er den Begriff des "Kulturkampfes" zur Befreiung von der elenden Kirche. 1880-1893 war er auch Mitglied des Deutschen Reichstags, wo er sich für die medizinische Grundversorgung einsetzte. Duelle mit Bismarck lehnte er als "keine zeitgemässe Art der Diskussion" ab. Er war für kommunale Selbstverwaltung, für Minderheitenrechte, z.B. was die polnischen Gruppen in Preussen betraf, und gegen Antisemitismus und gegen Kolonialpolitik.

Des Weiteren betätigte sich Rudolf Virchow auf den Gebieten der Anthropologie, Ethnologie und Archäologie, war Freund und Förderer von Heinrich Schliemann und Franz Boas, gründete mit Bastian und Hartmann 1869 die "Berliner Anthropologische Gesellschaft" und 1870 die "Deutsche Gesellschaft für Anthropologie, Ethnologie und Urgeschichte". Virchow war an der Gründung mehrerer Berliner Museen beteiligt (Märkisches Museum, Völkerkundemuseum). Virchows interdisziplinäre Kapazität ist für die Altsteinzeit (paläolithische Archäologie) wegweisend. Darwin und den Neanderthaler akzeptierte er jedoch nicht.

Am 4. Januar 1902 brach er sich den Oberschenkelhals, als er auf dem Weg zu einem Vortrag aus der fahrenden Strassenbahn sprang, konnte nie mehr laufen und starb am 5. September desselben Jahres. Sein Grab liegt auf dem Alten St.-Matthäus-Kirchhof in Berlin-Schöneberg.

Rudolf Virchow erhielt einige Denkmäler:
-- seit 1910 auf dem Karlplatz vor der Charité (von Fritz Klimsch)
-- seit 2004 eine Skulptur am Langenbeck-Virchow-Haus in der Luisenstrasse 58/59 in Berlin (von Marcus Golter 2004)
-- eine Büste (Kopie der Marmorbüste des Dekanats von 1882) vor dem Pathologischen Institut der Charité (von B. Afinger).

Nach Virchow benannt sind ausserdem
-- ein Krankenhaus in Berlin-Wedding
-- das Klinikum in Glauchau
-- das Forschungszentrum für Experimentelle Biomedizin in Würzburg
-- ein "Mondkrater", der "Virchow" heisst.

1872 erhielt Rudolf Virchow von König von Württemberg den Olga-Orden [web10].


Die Schichtung bei den TB-Kranken
Die Statistiken stellen klar fest, dass die unteren Schichten ein viel höheres Todesrisiko durch TB haben. TB wird deswegen auch "Proletenkrankheit" genannt. TB wird in Opern als Todesfaktor mit eingearbeitet, z.B. in "La Traviata" und "La Bohème" (S.39). Ein schmales, weisses Gesicht [wie es TB-Kranke haben] wird zum romantisch verklärten Schönheitsideal (S.40).

1853
Hamburg nimmt die zentrale Kanalisation in Betrieb
(S.55)

1854
Cholera-Epidemie in München
(S.49)

An der Cholera in München sterben 3000 Menschen [web08]. Gemäss anderen Quellen waren es 2223 Tote. Die Ursache ist verunreinigtes Trinkwasser [web09], [aber das ist der Welt-Medizin damals noch nicht bewusst].

Pettenkofers Reaktion auf die Cholera in seiner Stadt München: So viel Hygiene wie möglich

Pettenkofer widmet sein weiteres Leben ganz der Epidemiologie. [Scheinbar sind ihm nahestehende Personen auch an der Cholera gestorben]. Pettenkofer meint, die Beschaffenheit des Bodens und die Grundwasserbeschaffenheit seien Hauptfaktoren bei der Cholera und veröffentlicht dies in seiner Schrift "Untersuchungen und Beobachtungen über die Verbreitung der Cholera" (1855). Pettenkofer und seine Schüler sind Pioniere und machen als erste ausserdem Ortsbesichtigungen und führen als erste eine ausführliche Statistik zum Seuchengeschehen ein. Pettenkofer arbeitet dabei ohne Thesen und Annahmen, wie der dumme Koch in Berlin, sondern Pettenkofer arbeitet nach seinem Vorbild und Leherer Liebig als "Positivist" streng naturwissenschaftlich nach den Resultaten seiner Experimente. Es folgten Untersuchungen und Experimente zu Kleidung, Heizung, Lüftung, Kanalisation und Wasserversorgung.

Pettenkofer wird so zum "Begründer der Hygiene, Wegbereiter der Umweltmedizin, experimenteller Feldforscher, Chemiker und Ernährungsphysiologe".

Nach Pettenkofer ist der traditionelle hygienische Innenraumluftwert für CO2 benannt – die Pettenkofer-Zahl. Ihren Grenzwert gab Pettenkofer mit 0,10 % an. [web07]

Zusammenfassend:

1860
Arzt Max von Pettenkofer etabliert sich
Pettenkofer hat einige Leistungen und Erfindungen vorzuweisen:
-- er ist Erfinder von Fleischextrakt unter Liebigs Namen
--
er ist Erfinder des Kupferamalgams für Zahnfüllungen [eine negative Erfindung, wie sich später herausstellt]
--
er ist Erfinder eines "guten deutschen Zements"
--
er ist Erfinder der Leuchtgasgewinnung aus Holz
--
er ist Erfinder einer neuen Prägetechnik für Münzen
--
er ist Erfinder einer neuen Restauriermethode für gesprungenen Firnis an Ölgemälden.

Sein grösstes Werk aber ist die Hygieneforschung. Pettenkofer brilliert mit eindrücklichen medizinischen Beweisen und Ideenreichtum. Allein über die Cholera hat er 71 Schriften verfasst (S.48).

1860
Hamburg: bereits 50 km Abwasserleitungen
(S.55)

1865
Arzt Pettenkofer wird Professor für Hygiene in München
und kann nun nach seinem Geschmack neue Leute ausbilden (S.49)
und richtet ein Institut für Hygiene ein (S.50).

1869
Arzt Pettenkofer hat den Verdacht, dass ein Keim die Cholera hervorruft
(S.48) und meint, auch gesunde Menschen könnten Cholera übertragen. Hauptursache seien die Fäkalien, die bei geeignetem Boden und bei empfänglichen, geschwächten Menschen die Krankheit auslösen. Der Keim bewirke noch keine Krankheit (S.49).

Aber noch immer herrscht auch bei Pettenkofer der Gedanke vor, dass verunreinigte Luft der Übertragungsweg sei. Auch Pettenkofer behauptet, in höheren Stockwerken sei man weniger Cholera-gefährdet, und am gefährdetsten seien Leute in Kellern oder in beengten Verhältnissen (S.49).

ab 1870 ca.
Die TB-Erkrankungen nehmen ab
1780-1800: 1,12%
1840 England: 0,348%
1880 England: 0,202% (S.42).

Da nur ein kleiner Teil der TB-Kranken interniert wird, kann die Internierung von TB-Kranken kein Faktor für den Rückgang sein (S.42).

1873
Erneut Cholera-Epidemie in München
Dieses Mal sterben in München 1490 Menschen, ebenfalls durch verunreinigtes Trinkwasser [web08], [was bis dahin immer noch nicht bekannt ist, sondern nur vermutet wird].

1877
Virchow setzt Wasserleitungen und die Kanalisation in Berlin durch
(S.38-39) und dann gehen auch die Seuchen zurück (S.39).

1878
München: Arzt Pettenkofer setzt den ersten Schlachthof durch - und eine Kanalisation
Münchens Wasserversorgung funktioniert mit Gebirgswasser. Es wird nun eine neue Kanalisation mit zentraler Ableitung in den Fluss Isar weit unterhalb von München gebaut (S.50).

1880
Robert Koch wird nach Berlin berufen
Koch wird Beirat am Reichsgesundheitsamt. Es wird immer noch nach dem TB-Verursacher geforscht (S.39).

1882
Koch gegen TB
Robert Koch infiziert Versuchstiere mit TB-Tuberkelgewebe bzw. mit TB-Fäden: Die Tierversuche laufen mit Kaninchen und Meerschweinchen (S.40). Die TB-Fäden lassen sich aber in Nährlösungen nicht vermehren (S.40-41), dafür aber - wie später entdeckt wird - im Blutserum verschiedener Tiere. Koch kann durchs Mikroskop die TB-Fäden fotografieren und präsentiert dies 1882 (S.41).

Tuberkulose-Erreger (Fäden)
Tuberkulose-Erreger (Fäden) [15]
Robert Koch mit Mikroskop im Hintergrund,
                        1880 ca.
Robert Koch mit Mikroskop im Hintergrund, 1880 ca. [16]

Koch hat damit den TB-Erreger isoliert. Er stellt die Gleichung auf:

"Erreger + Wirt = Krankheit" (S.51).

Pettenkofer glaubt dagegen immer noch an die Luftverbreitung und glaubt den "Bakteriologen" nicht (S.51).
 
ab 1882
Die Jagd auf die TB-Erreger
Verschiedene Massnahmen werden propagiert:
-- die Desinfektion von Wohnungen
-- das Verbrennen von Kleidern und Bettwäsche.

Aber TB bleibt verbreitet, immer weiter und ohne Limit (S.41).

Die Untersuchungen zeigen dabei, dass nur 5-8% der TB-Infizieren auch an TB erkranken (S.42). Das Immunsystem tötet den Erreger, aber das sehen die Forscher nicht. Die Forschung, wie dies genau funktioniert, findet einfach nicht statt (S.43).

Eine weitere Studie von Koch beweist, dass ultraviolette Strahlen den TB-Erreger abtöten. Somit reicht Sonnenlicht eigentlich zur Vorbeugung gegen TB aus, aber auch das sehen die Forscher nicht.

Koch lanciert einen Krieg gegen Keime generell
Robert Koch stellt nun die These auf, dass der gesunde Organismus frei von Keimen sei, und dies ist nun leider absolut FALSCH (S.42). Koch will nun alle Keime vernichten und Quarantänen wieder einführen nach preussischem Drill (S.51). [Koch erkennt das Immunsystem nicht als entscheidenden Faktor].

1883
Neue Cholera-Epidemie in Ägypten - Expeditionen von Robert Koch und Louis Pasteur
Die "Choleraexpeditionen" fahren in Richtung Ägypten, wo in Alexandria die Cholera wütet, z.B. ein Team von Pasteur, und Koch will mit seinen Leuten direkt ins Zentrum der Epidemie und will von dort aus direkte Veröffentlichungen in der "Deutschen Medizinischen Wochenschrift" und in Tageszeitungen machen (S.51).

Als die Expedition Kochs dann in Alexandria eintrifft, ist die Epidemie aber schon erloschen. Sie sezieren einige Choleraleichen, mehr nicht. Experimente sind zudem wegen der Hitze unmöglich, denn die Hitze hat die Bakterien- und Nährmedien zerstört hat: Die Gelatine ist verflüssigt (S.52).

Auch Pasteur aus Paris ist mit einem Team in Alexandria. Dort wo Koch ist, ist auch Pasteur zu finden (S.52).

Deutsche Cholera-Expedition
                        in Alexandria 1883 mit Robert Koch (dritter
                        v.r.)
Deutsche Cholera-Expedition in Alexandria 1883 mit Robert Koch (dritter v.r.) [17]
Louis Pasteur 1885
Louis Pasteur 1885 [18]

Die reisserischen Hetzmedien reissen sich um Koch und Pasteur
Insgesamt wird die Konkurrenz zwischen Koch und Pasteur nun von der Presse zu einem nationalen Wettkampf hochstilisiert. Es kommt zu Angeberei und Prahlerei (S.52). Da stirbt der französische Mikrobiologe Louis Thuillier vom Pasteur-Team selbst an Cholera. Das französische Team zieht in der Folge aus Ägypten ab (S.53).

1884: Koch in Kalkutta - Laborstudien
Kochs Team zieht von Alexandria nach Kalkutta weiter, wo die Cholera endemisch auftritt [eine aufgrund der dortigen katastrophalen Bedingungen dort beheimatete, immer wiederkehrende Krankheit]. Kochs Team unternimmt dort neue Laborarbeiten, die wegen der dortigen tieferen Temperaturen während der Wintermonate möglich sind. Koch stellt dabei eine Reinkultur von Cholera-Erregern her. Er isoliert den "Kommabazillus", so benannt nach seiner Kommaform (S.53).

Cholera-Erreger "Vibrio
                        cholerae", volkstümlich als
                        "Kommabazillus" bezeichnet
Cholera-Erreger "Vibrio cholerae", volkstümlich als "Kommabazillus" bezeichnet [19]

Der Cholera-Erreger (lat. Vibrio cholerae) hat eine halbmondartige Form mit einer Geissel als Fortbewegungsmittel [web12] [und wurde scheinbar volkstümlich "Kommabazillus" genannt].

1885 ca.
Rückkehr von Kochs Team - Jubel in der deutschen Presse - Kochs Lügen und Epidemien
Nach der Rückkehr von Robert Koch nach Deutschland jubelt die Presse von einem Sieg gegen die Cholera als Vergleich zum Sieg gegen Frankreich von 1871. Dabei wurde doch erst der Erreger entdeckt, aber noch kein einziges Gegenmittel gefunden. Der Tierversuch fehlt: Die Infektion durch Bazillen für eine Impfung hat noch gar nicht stattgefunden (S.53).

Koch erfindet nun alles Mögliche und argumentiert mit verseuchtem Wasser, verseuchter Wäsche etc. Die Presse feiert Koch trotz all seiner Lügen als einen preussischen "Helden" gegen Frankreich, und die "Keimjäger" in der medizinischen Fraktion erhalten Aufwind (S.54).

1890
Hamburgs Stolz auf Wasserversorgung und Abwassersystem
Hamburg ist Vorbild für ganz Deutschland:
-- alle Häuser sind an das zentrale Abwassersystem angeschlossen
-- es sind über 400 km Rohrleitungen verlegt
-- nahezu jedes Haus verfügt im Innern oder auf dem Hof über einen Wasserhahn (S.55).

Hamburg verzichtet aber bis 1892 weiterhin auf einen Sandfilter für das Trinkwasser. Die Trinkwasserfassung erfolgt aus der Elbe. Das Wasser wird in Klärbecken geleitet, wo Tiere darin herumschwirren: Würmer, kleine Fische, Asseln, Muscheln, Schwämme, oder tote Mäuse und andere Kadaver. Die verstopfen dann die Leitungen. Kinder machen sich einen Spass, diese Tiere zu fangen, wenn sie aus der Leitung kommen, oder Marktfrauen preisen Aale aus der "Wasserkunst" an. Hamburgs Wasser dient auch den Hochseeschiffen als Trinkwasser und hat einen "guten Ruf" (S.56).

Hamburg
                Jungfernstieg 1890 mit Pferdefuhrwerken
Hamburg Jungfernstieg 1890 mit Pferdefuhrwerken [20], die ihre Hinterlassenschaften auf die Strasse lassen und somit war jede Stadt choleragefährdet...

Sommer 1892
Hitzewelle in Hamburg - Umstände für die Cholera
In einer Extremsituation zeigt sich dann das Risiko des nicht vorhandenen Sandfilters deutlich: Die Elbe hat den niedrigsten Wasserstand seit Jahrzehnten, ist 22 °C warm, und die Flut treibt die Elbe weiter zurück als normal bis zur Trinkwasser-Entnahmestelle. Der Cholera-Bazillus gelangt in die Trinkwasserfassung (S.56).

Ab August 1892 herrscht in Hamburg trotz aller Wassersysteme eine Choleraepidemie, trotz Leitungswasser, trotz Klärbecken und trotz der Abwassersysteme (S.54-55).


Sandfilter ist entscheidend
Berlin hat einen Sandfilter - und hat KEINE Cholera. - Hamburg hat KEINE Sandfilter eingebaut - und hat die Cholera (S.56).

Koch in Hamburg - die Quarantäne-Verfügungen
Ab der zweiten Hälfte im August 1892 sterben in Hamburg täglich 400 Menschen an der Cholera (S.56). Koch erreicht Hamburg am 24.8.1892, ist entsetzt von den engen Hamburger Wohnverhältnissen am Hafen, bezeichnet das Quartier "Gängeviertel" als "Pesthöhlen" und äussert den bezeichnenden Satz: "Meine Herren, ich vergesse, dass ich in Europa bin." (S.57)

Hamburgs "Gängeviertel" 1893
Hamburgs "Gängeviertel" 1893 [21]

Teile der Hamburger Altstadt (grösstenteils Fachwerkhäuser) wurden durch die wachsende Bevölkerung zusätzlich "verdichtet", so dass am Ende fast nur noch Gehwege übrigblieben und die Wohnungen fast kein Licht mehr hatten. Die Bewohner waren meist mittlere und ärmere Bevölkerungsschichten sowie kleinteiliges Gewerbe. Wagen und Fuhrwerke konnten dort kaum noch verkehren. "Hohe" Besucher beschreiben die Gängeviertel mit "Pestluft", "Gosse", "Labyrinthe", "Schmutz", "Stumpfsinn" und Gänge, die man nur in gebückter Haltung passieren konnte etc., so Johann Hinrich Wichern 1847. 1883-1888 wurde ein Altstadtquartier ("Grossen Grasbrook") für den Bau der Speicherstadt abgerissen, und 24.000 Menschen mussten sich im Gängeviertel "Altstadt" oder "Neustadt" eine neue Bleibe suchen, so dass die Überbevölkerung weiter zunahm, oder sie mussten an den Stadtrand und lange Arbeitswege in Kauf nehmen. Robert Koch formuliert 1892 über das "Gängeviertel": "ungesunde Wohnungen, Pesthöhlen und Brutstätten für jeden Ansteckungskeim" [web12].

Das Wasser besorgten sich die Bewohner mit Wasserträgern oder sie entnahmen es direkt aus den Zuflüssen der Elbe, die aber auch als Kloake und Müllhalde dienten. Erst nach der Choleraepidemie von 1892 wurde dann 1893 die Kaiser-Wilhelm-Strasse durch die Altstadt von Hamburg gezogen, sodann 1908-1914 die Mönckebergstrasse. Neue Arbeitersiedlungen wurden in Barmbek und auf der Veddel (drei Inseln [web13]) errichtet. Ein grosser Teil der Arbeiterschaft blieb aber im Zentrum zwischen Hafen und Gänsemarkt, und dieser Teil wurde dann oft als "Brutstätte der Kriminalität" und als kommunistisches "Klein-Moskau" bezeichnet. Erst nach 1933 begann hier die Sanierung, dieses Mal auch mit Bezug zum alten Stadtbild, mit den alten Strassennamen etc. Nach 1945 sind nur einzelne Fachwerkhäuser geblieben [web12].


Koch kann nun seine Quarantäne gegen Hamburgs betroffene Bevölkerung durchführen (S.54). Bei hohen Zuchthausstrafen und Festungsstrafen wird die Quarantäne und die Abriegelung ganzer Quartiere durchgesetzt (S.55): Es herrschen Isolierung, Vergnügungsverbote, und es wird mit Karbol gesprüht, so dass Hamburg in eine Chlorwolke gehüllt wird (S.57).

September 1892
Ende der Cholera-Epidemie in Hamburg - Koch ist wieder der deutsche Held - Bilanz: Koch will die Stärkung des Immunsystems immer noch nicht erkennen
(S.57). In Hamburg sterben 8605 Menschen an der Cholera-Epidemie [web08].

Cholera-Lazarett in Hamburg-Eppendorf im Jahre
                1892
Cholera-Lazarett in Hamburg-Eppendorf im Jahre 1892 [7]

Die Bilanz:
-- Altona mit Sandfilter in der Wasserversorgung hat weniger Cholerafälle (S.60)

Details: Das damals selbständige Altona hatte eine filtrierte Wasserversorgung und hatte "so gut wie keine Choleraerkrankungen" [web05].

-- Koch meint aber, allein der Keim sei für die Cholera verantwortlich (S.60), dann hätte aber ganz Hamburg sterben müssen, weil alle dasselbe Trinkwasser hatten, aber nur im engen und verwahrlosten Gängeviertel erkrankten die meisten Leute

-- Koch will den Einfluss des Immunsystems immer noch nicht akzeptieren

-- die Cholera ist gemäss Langbein/Ehgartner "eine Krankheit, die dem Elend folgt" für ausgehungerte Mägen. Langbein/Ehgartner: "Ein wohlgenährter Magen jedoch bietet für Cholerabakterien eine nahezu unüberwindliche Barriere." (S.61)

Ende September 1892
Koch fordert ein Reichsseuchengesetz für Zwangsmassnahmen - Pettenkofer ist für mehr Hygiene
Koch will seine Zwangsmassnahmen in einem Reichsseuchengesetz festschreiben lassen. Pettenkofer in München aber ist dagegen, denn in München käme es nie zu Cholera, weil die Hygiene in Ordnung sei [und somit appelliert Pettenkofer für mehr Prävention]. Die Presse stilisiert nun ein Duell Koch gegen Pettenkofer an. Koch behauptet, Pettenkofer sei nicht auf dem neusten Stand. An den Duellen vor Publikum hetzt Koch Pettenkofer nieder mit Hilfe der Mehrheit des Publikums (S.58).

[Nun, diese Bismarck-Methoden von Herrn Koch aus Berlin sind wirklich nicht sehr wissenschaftlich].


Pettenkofers Selbstexperiment: Er überlebt Cholera-Infektion ohne Probleme
Pettenkofer kontert den Populismus von Koch und lässt sich vom Koch-Labor Cholerabazillen schicken (S.58), schluckt die Cholerabazillen, erleidet einen mässigen Durchfall, aber keine Schwächen, überlebt die Cholera-Infektion glänzend und schickt seinen Bericht an das Koch-Labor (S.59). Pettenkofers Assistent Rudolf Emmerich wiederholt das Experiment ebenfalls und die Cholera ist bei ihm in 5 Tagen nach schwerem Durchfall vorbei, wobei er den Durchfall extra durch Einnahme von Zwetschgenkuchen als Nährboden für die Cholerabazillen noch verstärkte (S.60).

Details zu diesem Experiment finden sich auch im Artikel von Wikipedia über Pettenkofer:

<Im Zusammenhang mit dem berühmten Zwiestreit mit Robert Koch über die Ursache der Cholera schluckte Pettenkofer 1892 sogar eine Kultur von Cholera-Bakterien und erkrankte überraschenderweise nicht. Pettenkofer vertrat die Ansicht, dass die Umweltbedingungen von erheblich größerer Bedeutung für die Entstehung einer Krankheit sind, als die bloße Anwesenheit von Krankheitserregern. Er und einige seiner Schüler, die den Versuch wiederholten, erkrankten nicht oder nur leicht, wodurch sich Pettenkofer bestätigt sah. Allerdings irrte er insoweit, als er ein bestimmtes „contagiöses Element Y“ annahm, das – gleich einer chemischen Reaktion – die Entstehung einer Krankheit erst ermöglichte.> [web07]


Kochs Team wiegelt gegen Pettenkofer ab
Nun muss man sich ansehen, wie der arrogante Berliner, Herr Koch, auf den Selbstversuch von Pettenkofer aus München reagiert:
-- Koch reagiert gar nicht
-- Kochs Laboranten behaupten, es sei alles nur Zufall
-- Kochs Team streut sogar das falsche Gerücht, Pettenkofer sei immun, weil er schon einmal Cholera gehabt habe
-- und das Koch-Team behauptet nun auch, die Bakterien, die Pettenkofer erhalten habe, seien nur "schwach virulent" gewesen, weil man ja "geahnt" habe, was Pettenkofer damit vorhabe.

Koch erreicht es mit seinen populistischen Behauptungen, die Resonanz auf das Experiment Pettenkofers gering zu halten. Daraufhin wird Pettenkofer depressiv, gibt seine Arbeit an der Cholera auf und lässt Koch "siegen" (S.60).

Mai 1893
Hamburg nimmt eine Filtrationsanlage auf der Elbinsel "Kaltehofe" in Betrieb
Diese Filtrieranlage <ist noch heute fast vollständig erhalten und kann auf der Elbinsel Kaltehofe besichtigt werden.> [web05]

Das Filtrierwerk der Wasserversorgung
                            ("Wasserkunst") Hamburg auf der
                            Elbinsel Kaltehofe, eröffnet im Jahre 1893
Das Filtrierwerk der Wasserversorgung ("Wasserkunst") Hamburg auf der Elbinsel Kaltehofe, eröffnet im Jahre 1893 [10]

Brunnenhäuschen der
                          Filtrieranlage auf der Insel
                          "Kaltehofe" bei Hamburg
Brunnenhäuschen der Filtrieranlage auf der Insel "Kaltehofe" bei Hamburg [11]
Details:

Diese Insel ist ein abgeschnittener Mäander der Norderelbe, die von 1875 bis 1879 begradigt wurde, um neues Bauland und neue Gewerbegebiete zu gewinnen. Die Filtrationsanlage ist dann fast 100 Jahre von 1893 bis 1990 in Betrieb. Die Wasserbecken dienen seit 1990 Vögeln als Rast- und Brutplatz. Im Norden der Insel ist eine kleine Bootswerft. Das Filtrierwerk wurde erhalten und 2011 unter dem Namen "Hamburg Wasser" als Industriedenkmal eröffnet, mit Museum und Naturlehrpfad [web06].

Ende 19. Jh.
Gegen Ende des 19. Jahrhunderts gilt die Stadt München mit ihrem Hygieneprofessor Pettenkofer als eine der saubersten Städte Europas [web07].

1901
Pettenkofer erschiesst sich in München
83-jährig erschiesst sich Pettenkofer in München (S.60) [obwohl er ja in München riesige Erfolge mit seiner Hygiene gehabt hat. Ein präziser Grund für den Selbstmord fehlt].



Inhalt / contenu / contenido /
                  contents       nach oben / vers le haut /
                  arriba / top

5.
Die TB-Lüge von Robert Koch - die Presse jubelt und schützt den Lügner - Hoechst verkauft die Lüge

bis 1880er Jahre
Die medizinische Forschung dient allenfalls der Vorbeugung
-- Desinfektionsmassnahmen werden durchgeführt
-- "Impfstoffe" werden erfunden (S.61).

Bis dahin brillieren Koch und Pasteur mit Erregernachweisen, aber heilen können sie kaum. Die Politik aber will mehr: Sie will die Therapie und will Heilungswege sehen (S.61).

24.3.1882
Koch-Vortrag "Über die TB" mit der Ankündigung, dass der "Parasit" fassbar sei
(S.61). Koch ist aber im Keim-Wirt-Dogma gefangen. Er behauptet, Milzbrand, Cholera oder TB funktionierten alle gleich. Koch verspricht somit ein Heilmittel, das er unmöglich beschaffen kann, wenn er nicht seine Sturheit selbst in Frage stellt (S.62) [er will das Immunsystem nicht als Faktor erkennen].

ab Ende 1880er Jahre
Koch konzentriert sich auf die TB-Forschung
Die Assistenten von Koch führen seine Aufträge aus, werden aber über das Ziel nicht informiert, sondern dürfen nur Hilfsarbeiten verrichten (S.62).

1890
10. Internationaler medizinischer Kongress in Berlin mit Aufbruchstimmung gegen TB
Die Presse erwartet von den drei Hauptreferenten Rudolf Virchow, Josef Lister und Robert Koch neue Heilmittel (S.62).

Koch behauptet, bei Meerschweinchen habe er die TB schon zum Stoppen gebracht. In der Folge behauptet die ganze Weltpresse, es sei ein Mittel gegen TB gefunden worden. Nach dem Kongress behauptet Koch auch in der Deutschen Medizinischen Wochenschrift, die Heilung von TB sei möglich (S.63).

in: Gradmann, Christoph: Robert Koch und das Tuberkulin. Deutsche Medizinische Wochenschrift 124 (1999), S.1253-1256.

Kochs Gedankengänge für ein TB-Heilmittel
-- jede Infektionskrankheit sei auch eine Bakterieninvasion
-- Invasion, Infektion und Krankheit soll alles dasselbe sein
-- nur ein Körper, der quasi frei von "krankmachenden" Keimen sei, soll ein gesunder Körper sein
-- Koch verweigert, das Immunsystem als Faktor zu akzeptieren
-- Koch meint, Bakterien würden den Körper auffressen, und abgestorbenes TB-Gewebe sei "aufgefressenes" Gewebe (S.64).

Koch stellt somit die These auf, mit giftiger Absonderung würden Bakterien den Körper auffressen, und nun müssten die Körperteile, die schon durch Bakterienabsonderungen vergiftet seien, isoliert werden (S.64).

1890
Koch-Projekt: "Kochsche Lymphe", dann "Kochsches Heilmittel" und "Tuberkulin" genannt

-- aber der Inhalt der "Kochschen Lymphe" ist geheim, obwohl die deutsche Gesetzgebung "Geheimmedizin" verbietet
-- der Inhalt sind flüssige, es sind durch Hitze abgetötete Bazillenkulturen (S.63).

Koch meint, das Tuberkulin solle das Gewebeumfeld der befallenen Region zerstören, um den Zugang der Bakterien zu weiterem Gewebe zu verunmöglichen. So sollen die Bakterien ausgehungert werden und so die weitere Ausbreitung verhindert werden. Nur Koch und die engsten Mitarbeiter wissen von diesen Annahmen und Hypothesen (S.64), und Tierversuche finden scheinbar gar keine statt (S.64-65).

Berlin plant ein neues Koch-Institut analog des Pasteur-Instituts - die Profitfrage
(S.64-65); Koch soll der Direktor des Instituts sein, ein "Vorzeigeinstitut". Koch stellt aber hohe Forderungen, prophezeit gleichzeitig auch hohe Profite mit TB-Mitteln, und Koch will nach 6 Jahren die Rechte an Tuberkulin an den Preussenstaat abtreten. Koch präsentiert eine Rechnung:

Auf 1 Mio. Menschen haben gemäss Koch 6000-8000 TB, für 30 Mio. Menschen [in Preussen?] sind dies 180.000 TB-Fälle

Die Reaktion bei der preussischen Regierung ist aber nicht so euphorisch: Die preussische Regierung will Koch nicht so viel Profit zugestehen. Nun pokert Koch und behauptet, aus den "USA" seien für ihn "günstige Angebote" vorhanden. Reichskanzler Caprivi verweigert Koch trotzdem den direkten Profit in industrieller Form (S.65).

Gleichzeitig will Koch eine unabhängige Forschung weiterhin ermöglichen und will von Regierungen nicht abhängig sein, denn
er hat keine Habilitation als Professor, sondern Koch hat unter den Forschern starke Gegner, z.B. Virchow, und Koch braucht immer die Hilfe seines Protegés, Ministerialrat Friedrich Althoff. Koch will gar kein Professor sein, denn er will kein "wiederkäuender" Lehrer sein (S.66).

ab 13.11.1890
Kochs "Tuberkulin" kommt auf den Markt
Da sind einige sonderbare Bedingungen:
-- dieses "Tuberkulin" kann nür über Kochs Assistent Arnold Libbertz bezogen werden, und somit schafft sich Koch sein erstes Monopol
-- es kommt zu einem "Tuberkulinrausch", Berlin wird Wallfahrtsort, Koch wird Weltstar, und es werden Andenken produziert, ein Robert-Koch-Lied und ein Bazillen-Lied im Cabaret fabriziert, und Berlin mutiert zu einem zweiten Lourdes
-- massenweise werden neue Lungenheilanstalten gegründet, in Baracken, Hotels und in Neubauten
-- es kommen überstürzte Meldungen über Heilerfolge, es folgt Euphorie, und Koch versinkt in Bittbriefen (S.67).

ab Anfang 1891
Skepsis und Wut über Todesfälle mit "Tuberkulin" - Kochs Lüge fliegt auf: keine Meerschweinchen seziert
-- das Tuberkulin verschlechtert z.T. den Zustand der TB-Kranken, u.a. mit tödlichen Folgen durch die "Kochsche Kur"
-- Leichenwagen fahren massenweise vor den neuen Lungenheilstätten auf, und die Sanatorien bleiben leer.

Und nicht nur das: Anderen Medizinern gelingt sogar der Nachweis der Unwirksamkeit des Tuberkulin (S.68).

Koch wird nun einem heftigen Druck ausgesetzt, die Zusammensetzung des "Tuberkulin" herauszugeben, und es kommt heraus, dass Koch gar keine Meerschweinchen als getestete Tiere vorzuweisen hat. Geheilte Meerschweinchen gibt es gar nicht. Er hat die Versuchtstiere nie seziert (S.68).

Forscher Virchow tobt, und der Virchow-Schüler Johannes Orth kreiert das Wort "Tuberkulinschwindel". Es kommt das Gerücht auf, Koch wolle mit dem Tuberkulin-Patentverkauf nur seine Scheidung finanzieren (S.68).

25.1.1891
Koch beantragt Urlaub bis zum 30.4.1891 - wird bewilligt - Ägypten und halber Untergang
Koch verschwindet mit seiner jungen Geliebten nach Ägypten (S.68). Das hat aber in Berlin Folgen:
-- die Bauarbeiten am Koch-Institut werden eingestellt
-- Koch kommt zurück und verzichtet auf einen Teil der Gewinnbeteiligung und erklärt formell "seinen Verzicht auf jegliche Dotation"
-- und Koch bekommt neue, harte Auflagen:

oo Verzicht auf eine Privatpraxis
oo die Rechte weiterer Erfindungen sollen dem Staat zufallen (S.69).

Sein ganzes Leben lang will Koch aber nie eingestehen, dass sein "Tuberkulin" nicht gewirkt hat (S.69).

Mai 1892
Hoechst schnappt sich das "Tuberkulin"
und findet damit den Einstieg in die Pharmaindustrie. Kochs Mitarbeiter Libbertz wird bei Hoechst angestellt zur Überwachung der Tuberkulinproduktion (S.69). Koch wird nun reich, auch die Koch-Mitarbeiter Emil von Behring und Paul Ehrlich, Behring noch reicher als Koch (S.70).

[Die Industrie macht also Millionenprofite mit einem nachweislich wirkungslosen "Medikament", und der Preussenstaat lässt dies zu, nur weil Koch ein paar Rechte abgetreten hat. Wegen Totschlag bzw. Vergiftung wird nie verhandelt].

Behring und Ehrlich waren bahnbrechende Forscher auf dem Gebiet der Heilung von Diphterie durch ein Schafsserum [web14].

1897
Koch legt ein verbessertes "Tuberkulin" vor
(S.69)

ab 1897
Koch reist viel herum und forscht nach Erregern
von Rinderpest, Malaria, Schwarzwasserfieber, Texasfieber, Tse-Tse-Krankheit, Lepra. Koch ist oft in Südafrika, durchquert 1906-1907 Ostafrika (S.70) wegen der Schlafkrankheit (S.71).

1907
Die Tuberkulin-Rettung von Arzt Clemens von Pirquet
Clemens ist ein Wiener Kinderarzt. Er behauptet, Kochs Erfindung des "Tuberkulins" sei zumindest "als diagnostisches Instrument" zu gebrauchen: Eine Ritzung und der darauf folgende Kontakt mit dem Tuberkulin in der Ritzung zeige an der Reaktion, ob der betreffende Mensch Antikörper in sich trage, ob er also schon mit dem Erreger Berührung gehabt habe oder nicht (S.70).

->> so ist die stille Infizierung nachweisbar, ohne Ausbruch der Krankheit
->> Koch verzweifelt an diesem Ergebnis, weil er den Begriff Virulenz ablehnt, weil ein Erreger da ist, der keine Krankheit produziert
->> Koch übernimmt erst beim Nachweis an TB und Cholera die Virulenz-Theorie.

Der Diletant Koch will immer noch heilen, ohne den Körper selbst genau anzusehen, und das Immunsystem existiert für ihn weiterhin nicht (S.70).

[Eigentlich hat das Koch-Institut den Namen "Koch" gar nicht verdient...]

1910
Tod von Robert Koch durch Herzanfall
Bis zu seinem Tod ändert Koch seine Erreger-Theorie und seine TB-Theorie NICHT. In seinen letzten Vorträgen hält er sein verarmtes, medizinisches Weltbild ohne Immunsystem zum Besten (S.71).


Inhalt / contenu / contenido /
                  contents          nach oben / vers le haut /
                  arriba / top

6.
Psychische Pflege als Faktor: Cochranes Statistik über den Einfluss von Rationen und Lebensmittelpaketen in Kriegsgefangenenlagern für Erkrankungen


Archibald Leman
                            Cochrane, Portrait
Archibald Leman Cochrane, Portrait [22], ein Analytiker und Logiker der Medizin


1930er Jahre ca.?
Der kritische Mediziner Archibald Cochrane (1909-1988) gründet die statistische Richtung der Medizin
(S.71-73)
-- mit der These, Brustkrebs-Früherkennung schade mehr als sie nütze
-- er gründet das Archie-Cochrane-Zentrum in Kopenhagen mit einer  Cochrane-Bibliothek
-- es gilt dabei der Grundsatz: nichts ist "heilig"
-- und es gilt der Grundsatz: "Was logisch klingt, muss nicht logisch sein" (S.71).

Anfang 1930er Jahre
Cochranes Psychologie-Studium und TB-Studien

Cochrane studiert Psychoanalyse in Berlin, Wien und Den Haag, seinem Lehrer Theodor Reik folgend, der sich vor der NS-Herrschaft jeweils umversetzen lässt.  Archibald Cochranes, genannt "Archie" (S.74), betreibt u.a. auch TB-Studien (S.75). Cochranes erlebt es massenweise, dass seine Fragen nach Beweisen für manche Therapieverfahren von Professoren als "unzulässig" abgelehnt werden, ohne dass ihm eine einzige Begründung gegeben wird (S.74).

1936-1939
Cochrane lässt sich einem englischen Sanitätsbataillon in Spanien zuteilen
Dort verarztet Cochrane Soldaten auf der republikanischen Seite, und dort auf dem Schlachtfeld erlebt Cochrane die "Praxis" (S.74)

1941
Cochrane in deutscher Kriegsgefangenschaft auf Kreta, dann in einem Lager in Saloniki
(S.74-75); Cochrane erlebt in diesem Lager in Saloniki alle möglichen Erkrankungen mit: Zuerst kommt es zu Hautinfektionen und Ruhr, dann aber gleich Typhus (Fleckfieber), Diphtherie sowie Hepatitis, und dies alles bei Hungerrationen von 600 Kalorien täglich. Die deutsche Besatzung hat keine Medikamente (S.75) [bzw. alle Medikamente sind an der Ostfront gegen den Kommunismus eingesetzt].

Cochrane behandelt notfallmässig an Symptomen, z.B. Diphtherie (S.75), viel trinken und viel Zucker (S.76) und täglich werden den Betroffenen der Diphtherie-Patienten [Eiter?] aus dem Mund entfernt (S.75). Durch diese notdürftigen Massnahmen kann Cochrane verhindern, dass Leute an der Diphtherie sterben, und es kommt insgesamt nur zu einem einzigen Todesfall. Cochrane merkt: Der Körper hat Widerstandskraft, und: Die Theorien an den Universitäten haben überhaupt keinen Wahrheitsgehalt (S.76).

Ende 1941 ca.
Cochrane wird nach Hilburghausen in ein Lager in Deutschland verlegt - Essenspakete von zu Hause als Faktor
In Hilburghausen [in Thüringen in der Mitte zwischen Frankfurt am Main und Leipzig] erlebt Cochrane das Folgende:
-- es werden hohe Rationen von 1500-2000 Kalorien täglich gegeben, und es sind 3 Ärzte im Lager
-- Cochrane wird v.a. zur TB-Behandlung geschickt
-- dabei kann Cochrane gar nicht viel machen und realisiert, wie wichtig Pflege und Lebensumstände für die Kranken sind
-- und etwas sehr Wichtiges merkt Cochrane: Wer keine Essenspakete von zu Hause erhält, wird öfter und schwerer krank, z.B. Jugoslawen und Russen im Lager (S.76).

1942-1945
Röntgenapparat im Lager Hilburghausen
Mit dem Röntgenapparat ist die eindeutige Abklärung über Virulenz oder Ausbruch von TB im Lager möglich (S.76-77). Aber einmal lehnt der deutsche Stabsarzt gegenüber Cochrane weitere ärztliche Unterstützung für Kranke ab mit der Begründung: "Ärzte sind überflüssig!" (S.78)

[Insgesamt bringt der Röntgenapparat also nicht viel gegen die Krankheit].

Ab 1943 führt Cochrane genaue Aufzeichnungen über die Lager-Kranken und unternimmt damit seine erste eigene epidemiologische Arbeit (S.77).

1945 schliesst Cochrane seine Lagerstatistik ab:

Tabelle von Cochrane über die TB-Todesfälle in Kriegsgefangenenlagern 1941-1945, psychischer Faktor der Lebensmittelpakete

Insassen

Bemerkung

Todesrate

Russen

ohne Lebensmittelpakete

5,1% TB-Erkrankungen

Franzosen

mit willkürlich z.T. höheren Rationen

0,2% TB-Erkrankungen

Briten

mit Lebensmittelpaketen

0 TB-Erkrankungen



(S.77)


In: Cochrane, Archibald: Effectiveness and Efficiency. Random Reflections on Health Services ["Effektivität und Effizienz. Betrachtung über Zufall im Gesundheitsdienst"]. In: Nuffield Provincial Hospitals Trust. London 1972 (reprinted in 1989 in association with the BMJ), S.66ff.

Cochrane und seine Generation merken: Die ganze Medizin stimmt nicht, weil die Voraussetzungen anders sind. Cochrane fordert für die Medizin zuerst den Sinnnachweis. Langbein/Ehgartner:

"In Zukunft, so sein Vorsatz, sollten medizinische Methoden nur dann angewendet werden, wenn es eine gesicherte Evidenz für deren Sinnhaftigkeit gibt." (S.77)

[Das Immunsystem wird durch die Lebensmittelpakete gestärkt, weil es ein Gruss von zu Hause ist].

ab 1945
Cochrane fordert die Medizin mit statistischer Wissenschaftlichkeit heraus
-- Cochrane verfeinert Statistiken
--
Cochrane schafft Mindeststandards für klinische Studien (S.77)
--
Cochrane formuliert neue Begriffe: "Randomisierung" (= zufällige Zuweisung in die Studiengruppen)
--
Cochrane schafft evidenz-basierter Standards (S.78).

Cochrane merkt mit vielen anderen Ärzten: Der Satz "Ärzte sind überflüssig" ist manchmal gar nicht so falsch (S.78) [denn die Motivation heilt viel durch die Stimulierung des Immunsystems].

1988
Kopenhagen: Tod von Cochrane - der Nachlass
Cochrane hinterlässt ein "Cochrane Collaboration"-Netzwerk an Medizinern, Biostatistikern und anderen Forschern. Die Cochrane-Schüler können sich aber nicht auf voller Linie durchsetzen (S.73).

17.9.1994
New Scientist: Mediziner des Cochrane-Institut behaupten, 80% der medizinischen Handlungen seien nicht wissenschaftlich:

Langbein/Ehgartner:

"80% aller medizinischen Handlungen sind niemals umfangreich und seriös nach wissenschaftlichen Standards getestet worden." (S.74)

In: New Scientist, 17.9.1994, S.23ff.

Inhalt / contenu / contenido / contents         nach oben / vers le haut /
                  arriba / top

<<     >>

Teilen:

Facebook







Quellen
[web01] http://de.wikipedia.org/wiki/Tuberkulose
[web02] http://de.wikipedia.org/wiki/Cholera
[web03] http://de.wikipedia.org/wiki/Pandemie
[web04] Cholera-Epidemien: http://www.mybude.com/wissen/katastrophen/3984-cholera-epidemien.html
[web05] Hamburg, Wasserversorgung: http://www.flickr.com/photos/chartmann/6674423037/
[web06] Hamburg, Wasserversorgung: http://de.wikipedia.org/wiki/Kaltehofe
[web07] Max von Pettenkofer: http://de.wikipedia.org/wiki/Max_von_Pettenkofer
[web08] Cholera München: http://www.oktoberfest.de/de/article/Das+Oktoberfest/Geschichte/Kriege,+Bomben+und+Cholera/635/
[web09] http://en.wikipedia.org/wiki/Staphylococcus_pettenkoferi
[web10] Virchow: http://de.wikipedia.org/wiki/Rudolf_Virchow
[web11] Trichinenuntersuchung: http://de.wikipedia.org/wiki/Trichinenschau
[web12] Gängeviertel in Hamburg: http://de.wikipedia.org/wiki/G%C3%A4ngeviertel
[web13] Veddel: http://de.wikipedia.org/wiki/Hamburg-Veddel
[web14] Behring und Heilung von Diphtherie mit Schafsserum: http://de.wikipedia.org/wiki/Emil_von_Behring

Fotoquellen
-- Spritze am Bein: http://www.pw1.tsn.at/schueler/pirpamer/pirpamer.htm
-- drohende Spritze: http://www.planet-wissen.de/pw/showdocument,,,,,,,,,,,,,,,,,,,2236A4DC833B45F2E0440003BA5E0921,,,.html
-- Fettsucht: http://www.einslive.de/magazin/specials/2007/09/bier_abc.jsp?pbild=2
-- Brustkrebs, Röntgenfoto: http://members.aon.at/manfreda/Brustkrebs-Vorsorge_Mammo.htm
-- Operation: http://www.sporttrauma.org/
-- Pillenmeer: http://www.fr-online.de/in_und_ausland/wissen_und_bildung/aktuell/?em_cnt=1679115&em_src=649722&em_ivw=fr_wissen
-- Insulin-Inhalator: http://www.cbc.ca/health/story/2006/07/13/insulin-inhaled.html
-- Medizinkartell, Buchdeckel: http://www.amazon.de/Das-Medizinkartell-Kurt-Langbein/dp/3492044077

[1] TB-Lunge mit Knötchen, Röntgenbild: http://www.mevis-research.de/~hhj/Lunge/Tb.html
[2] Tuberkulose-Raten weltweit, Karte von 2009: http://wwwnc.cdc.gov/travel/yellowbook/2012/chapter-3-infectious-diseases-related-to-travel/tuberculosis.htm
[3] Kinderarbeit in Weberei, South Carolina 1908: http://threadsofhistory.blogspot.com/2009/09/machines-and-middle-class-textile.html
[4] Frauen- und Kinderarbeit in Kohlengrube, 19. Jh.: https://www.in-die-zukunft-gedacht.de/de/page/68/epoche/130/dokument/729/epochen.html (ullstein bild 00013245)
[5] Wohnungselend wegen Kinderreichtum und sinkender Kindersterblichkeit und wegen des Fehlend von Verhütungsmitteln, Berliner Wohnung 1907:
https://www.in-die-zukunft-gedacht.de/de/page/68/epoche/130/dokument/579/epochen.html (ullstein bild)
[6] Schloss Ludwigsburg (Alexander Johmann CC):
http://www.reisefuehrer-deutschland.de/baden-wuerttemberg/stuttgarter-region/ludwigsburg/ludwigsburger-schloss-groesstes-barockschloss-deutschlands.htm
[7] Cholera-Lazarett in Hamburg-Eppendorf 1892 (SZ-Foto): https://www.in-die-zukunft-gedacht.de/de/page/68/epoche/130/dokument/555/epochen.html
[8] Weltkarte der WHO mit den Cholera-Ausbrüchen 2010-2011: https://rocketcare.utoledo.edu/disastermedicine/?p=6877
[9] Weltkarte des Cholera-Ausbruchs von 1842-1862: http://brianaltonenmph.com/biostatistics/risk-management/
[10] Filtrierwerk Hamburg auf der Elbinsel "Kaltehofe" 1893: http://de.wikipedia.org/wiki/Kaltehofe
[11] Brunnenhäuschen auf der Elbinsel "Kaltehofe": http://fotos.cconin.de/kaltehofe/kaltehofe10.htm
[12] Max von Pettenkofer, Portrait: http://de.wikipedia.org/wiki/Max_von_Pettenkofer
[13] Rudolf Virchow, Portrait: http://de.wikipedia.org/wiki/Rudolf_Virchow
[14] Max von Pettenkofer im Alter, Portrait mit Vollbart: http://www.orden-pourlemerite.de/mitglieder/max-joseph-von-pettenkofer?m=3&u=4&p=3
[15] Tuberkulose-Erreger (Fäden): http://www.wissenschaft.de/wissenschaft/hintergrund/292020.html?page=2
[16] Robert Koch mit Mikroskop: http://www.apotheken-wissen.de/welt-tuberkulose-tag/
[17] deutsche Cholera-Expedition in Alexandria 1883 mit Robert Koch: http://heureka-stories.de/Erfindungen/1876---Die-Bakteriologie/Die-ganze-Geschichte
[18] Louis Pasteur 1885: http://inspirationalartworks.blogspot.com/2010/05/edelfelt-portraits.html?zx=56315e750d0cf44d
[19] Cholera-Erreger "Vibrio cholerae", volkstümlich als "Kommabazillus" bezeichnet: http://de.wikipedia.org/wiki/Vibrio_cholerae
[20] Hamburg Jungfernstieg 1890 mit Pferdefuhrwerken: http://commons.wikimedia.org/wiki/File:Hamburg_Jungfernstieg_1890.png
[21] Hamburgs "Gängeviertel" 1893: http://de.wikipedia.org/wiki/G%C3%A4ngeviertel
[22] Archibald Leman Cochrane, Portrait: http://www.spartacus.schoolnet.co.uk/SPcochrane.htm


^