Kontakt /
                    contact     Hauptseite /
                    page principale / pagina principal / home     zurück
                    / retour / indietro / atrás / back
   ENGL - ESP  
<<        >>

Coronavirus19 13f2: Autopsie von GENimpfmorden 01 - ab Juni 2021

17.5.2020: Die Mossad-Regierung Merkel ist von Bill Gates und Melinda Gates DIREKT GESTEUERT - durch eine "Absichtserklärung" vom Feb. 2017 - Link
17.5.2020: Die Mossad-Regierung in der Schweiz ist von Bill Gates und Meldinda Gates DIREKT GESTEUERT - durch eine "Absichtserklärung" vom 22.1.2014 - Link

Video: Natron+Apfelessig in Wasser: heilt viele Sachen bei pH7,3+Kreislauf, Corona19, Nerven, Hirn etc. (5'12'')
Naturmedizin von Mutter Erde PUR: Natron in Wasser plus Apfelessig heilt mit pH7,3 alle Organe+Drüsen+Nerven+Kreislauf, Corona19, Nerven, Hirn etc.
Video-Link: https://www.bitchute.com/video/it5E84XaCuCZ/ - Bitchute-Kanal: NatMed-etc. - hochgeladen am 7.5.2021


-- Liste der Heilmethoden gegen Corona19 (medizinische Lebensmittel, Weihrauch, Plasma, falsche Heilmittel, nie impfen, Orte der Ansteckungen etc. -  Liste Link)
-- Beste Prävention oder Heilmittel gegen eine Grippe ist medizinische Ernährung+Blutgruppenernährung+früh schlafengehen+Natron mit Apfelessig (Link)
-- Vorerkrankungen heilen meist mit Natron weg (
Merkblatt Natron

Meldungen

präsentiert von Michael Palomino
Teilen / share:

Facebook









Medizinisches 13.6.2021: GENgeimpfter Toter hat Spike-Proteine in ALLEN Organen - Corona19-Virus tötet in 4 Tagen:
„Globale Zeitbombe“: Erste Studie über die Obduktion eines gegen SARS-CoV-2 geimpften Patienten; „virale RNA in jedem Organ des Körpers gefunden“
https://dieweisselotus.wordpress.com/2021/06/16/globale-zeitbombe-erste-studie-uber-die-obduktion-eines-gegen-sars-cov-2-geimpften-patienten-virale-rna-in-jedem-organ-des-korpers-gefunden/

original Englisch: https://halturnerradioshow.com/index.php/en/news-page/world/global-time-bomb-first-case-of-postmortem-study-of-patient-vaccinated-against-sars-cov-2-mrna-found-in-every-organ-of-the-body (13. Juni 2021)

https://wp.me/p9r2Nv-PP

<Die erste Autopsie eines gegen COVID-19 Geimpften, der 18 Tage nach einer Einlieferung ins Krankenhaus und 24 Tage nach der Impfung negativ getestet wurde, hat ergeben, dass in fast jedem Körperorgan virale RNA gefunden wurde. Der Impfstoff hatte zwar eine Immunreaktion ausgelöst, konnte das Eindringen des Virus in die Organe des Körpers jedoch NICHT verhindern.

Die virale RNA wurde in so gut wie jedem Körperorgan gefunden, also auch die Spike-Proteine.

Es sind zwar Antikörper vorhanden (wozu der „Impfstoff“ führen soll), doch diese sind irrelevant, da eine Studie aus Japan zeigt, dass das Spike-S1-Protein den Schaden anrichtet.

Heute Morgen sprachen wir mit einem Spezialisten für Infektionskrankheiten aus einem Krankenhaus in New Jersey. Wir hatten ihm den aktuellen Autopsiebericht geschickt und nach seiner Meinung gefragt. Als er kurze Zeit später zurückrief, war er sichtlich aufgewühlt und sagte: „Sie können mich nicht mit Namen zitieren, ich werde vom Krankenhaus gefeuert, wenn Sie das tun.“ Wir stimmten überein, seine Identität zu verschweigen.

Dann berichtete er:

„Die Leute denken, dass diese Impfung nur bei den WENIGSTEN Menschen zu unerwünschten Nebenwirkungen führt. 

Diese neuen Forschungsergebnisse zeigen, dass – LETZENDLICH – jeder unerwünschte Nebenwirkungen erfahren wird, weil sich diese Spike-Proteine überall im Körper an die ACE2-Rezeptoren anbinden. 

Diese mRNA ist so ausgelegt, dass sie an der Injektionsstelle verbleiben soll, das tut sie aber nicht. Was bedeutet, dass die von der mRNA erzeugten Spike-Proteine ebenfalls in jedes Organ eindringen, und wir wissen jetzt, dass es die Spike-Proteine sind, die den Schaden erzeugen.

Das Schlimmste ist, dass die virale RNA trotz des Impfstoffs in jedem Organ zu finden ist, was entweder bedeutet:

1) Der Impfstoff funktioniert überhaupt nicht, ODER;

2) Das Virus verfügt über Antibody Dependent Enhancement (ADE)*, was bedeutet, dass es sich bei geimpften Menschen tatsächlich SCHNELLER ausbreitet.

Es ist eine GLOBALE ZEITBOMBE.“

[*Als infektionsverstärkende Antikörper (engl. antibody dependent enhancement, ADE) werden Antikörper bezeichnet, die sich an die Oberfläche von Viren binden, diese jedoch nicht neutralisieren, sondern zu einer verbesserten Aufnahme des Virus in eine Zelle führen und damit die Ausbreitung und Vermehrung des Virus begünstigen. Infektionsverstärkende Antikörper fördern eine Immunpathogenese und bilden eine mögliche Gefahr bei der Entwicklung von Impfstoffen. https://de.m.wikipedia.org/wiki/Infektionsverstärkende_Antikörperj]

Laut veröffentlichter Postmortem-Studie war der geimpfte Mann 86 Jahre alt und wurde NEGATIV auf COVID-19 getestet, als er mit schweren Magen-Darm-Beschwerden sowie Atemproblemen in das Krankenhaus eingewiesen wurde. Aus dem Bericht:

Es handelt sich um einen 86 Jahre alten, männlichen Bewohner eines Altenheims, der einen Impfstoff gegen SARS-CoV-2 erhalten hat. Aus der Krankheitsgeschichte waren systemische arterielle Hypertonie, chronische Veneninsuffizienz, Demenz und Prostatakarzinom bekannt. Am 9. Januar 2021 erhielt der Mann den Lipid-Nanopartikel formulierten, Nukleosid modifizierten RNA-Impfstoff BNT162b2 in einer 30 μg-Dosis. An diesem Tag und in den folgenden 2 Wochen zeigte er keine klinischen Symptome (Tabelle 1). Am 18. Tag wurde er wegen einer Verschlimmerung der Diarrhöe ins Krankenhaus eingeliefert. Da er keine klinischen Anzeichen von COVID-19 aufwies, erfolgte keine Isolierung in einer spezifischen Umgebung. Die Laboruntersuchungen ergaben eine hypochrome Anämie und einen erhöhten Kreatinin-Serumspiegel. Antigentest und Polymerase-Kettenreaktion (PCR) für SARS-CoV-2 waren negativ.

Der Obduktionsbericht zeigt klar, dass die Tests „keine morphologischen Veränderungen in Verbindung mit COVID“ in seinen Organen aufweisen.

„Morphologisch“ bedeutet strukturell. Wie jetzt bekannt ist, erzeugt eine COVID-Infektion sehr spezifische strukturelle Veränderungen an den Stellen, die sie infiziert. DIESE VERÄNDERUNGEN waren bei dem Geimpften nicht vorhanden, bevor er starb.

Der geimpfte Mann, der verstarb, lag in einem Zimmer mit einem anderen Patienten, der schließlich POSTIV auf COVID getestet wurde. Im Bericht steht, man gehe davon, dass der Geimpfte nach seiner Einlieferung von diesem anderen Patienten mit COVID angesteckt wurde.

Der Schaden an den Organen des nun toten Impflings fand also statt, BEVOR er von dem anderen Patienten im Krankenhauszimmer mit COVID infiziert wurde.

Das Schlimmste ist: Als der Geimpfte tatsächlich COVID bekam, breitet es sich so schnell in seinem Körper aus, dass er offenbar keine Chance mehr hatte. >



"USA" 15.6.2021: Die Genspritzen sind eine "globale Zeitbombe": Gengeimpfter bekommt Dickdarmentzündung+ Blutgerinnsel - im Spital wird er durch Corona19 neu angesteckt - Tod in 4 Tagen:
„Globale Zeitbombe“ Erster Fall von postmortaler Untersuchung eines gegen SARS-CoV-2 geimpften Patienten; „virale RNA in jedem Organ des Körpers gefunden“
https://uncutnews.ch/globale-zeitbombe-erster-fall-von-postmortaler-untersuchung-eines-gegen-sars-cov-2-geimpften-patienten-virale-rna-in-jedem-organ-des-koerpers-gefunden/

Quelle: "Global Time Bomb" First case of postmortem study of patient vaccinated against SARS-CoV-2; "viral RNA found in every organ of the body"

<Die allererste Autopsie einer gegen COVID-19 geimpften Person, die 18 Tage nach der Krankenhauseinweisung negativ getestet wurde, hat ergeben, dass virale RNA in fast allen Organen des Körpers gefunden wurde. Der Impfstoff löste zwar eine Immunreaktion aus, verhinderte aber NICHT, dass das Virus in jedes Organ des Körpers gelangte.

Die virale RNA wurde in praktisch jedem Organ des Körpers gefunden, also auch in den Spike-Proteinen.

[Die Antikörper sind irrelevant]

Es gibt Antikörper (wie sie der „Impfstoff“ erzeugen soll), aber sie sind irrelevant, weil wir aufgrund einer Studie aus Japan jetzt wissen, dass das Spike-S1-Protein das ist, was den Schaden verursacht.

[New Jersey Krankenhaus Infektionsspezialist: Die Spike-Proteine binden sich im GANZEN Körper an ACE2-Rezeptoren]

Wir haben heute Morgen mit einem Spezialisten für Infektionskrankheiten aus einem Krankenhaus in New Jersey gesprochen. Wir schickten ihm den aktuellen Autopsiebefund und fragten ihn nach seiner Meinung.

Als er eine Weile später zurückrief, war er sichtlich aufgewühlt. Er sagte uns: „Sie können mich nicht mit Namen zitieren, ich werde vom Krankenhaus gefeuert, wenn Sie das tun.“ Wir erklärten uns bereit, seine Identität zu verschweigen.

Dann erzählte er uns:

„Die Leute denken, dass nur eine MINORITÄT von Menschen unerwünschte Wirkungen durch den Impfstoff bekommen.

Basierend auf dieser neuen Forschung bedeutet das, dass jeder – EVENTUELL – unerwünschte Wirkungen haben wird, weil diese Spike-Proteine [sich] überall im Körper an ACE2-Rezeptoren binden werden.

[Die mRNA verteilt sich im GANZEN Körper - und so werden die Spike-Proteine AUCH im GANZEN Körper sein+Riesenschaden verursachen]

Die mRNA sollte an der Injektionsstelle bleiben, was sie nicht tut. Das bedeutet, dass die Spike-Proteine, die von der mRNA erzeugt werden, auch in jedem Organ sein werden, und wir wissen jetzt, dass es die Spike-Proteine sind, die den Schaden verursachen.

[Genimpfstoffe wirken NICHT! - durch MEHR Antikörper breitet sich ein NEUES Virus schneller im Körper aus!]

Schlimmer noch, die virale RNA, die trotz eines Impfstoffs in jedem Organ gefunden wird, deutet darauf hin, dass entweder:

1) Der Impfstoff funktioniert überhaupt nicht, ODER;

2) Das Virus erfreut sich eines Antikörper-abhängigen Enhancements (ADE), was bedeutet, dass es sich bei geimpften Menschen tatsächlich SCHNELLER ausbreitet.

Dies ist eine GLOBALE ZEITBOMBE.“

[Der Gengeimpfte (86) bei der Einlieferung: Corona negativ getestet, schwere Magen-Darm-Beschwerden+Atemnot]

Laut dem veröffentlichten Obduktionsbericht war der geimpfte Mann 86 Jahre alt und wurde NEGATIV auf COVID-19 getestet, als er mit schweren Magen-Darm-Beschwerden und Atembeschwerden in das Krankenhaus eingeliefert wurde. Hier ist, was der Bericht beschreibt:

Wir berichten über einen 86-jährigen männlichen Bewohner eines Altenheims, der einen Impfstoff gegen SARS-CoV-2 erhalten hatte. In der Vorgeschichte bestanden eine systemische arterielle Hypertonie, eine chronische Veneninsuffizienz, Demenz und ein Prostatakarzinom. Am 9. Januar 2021 erhielt der Mann einen Lipid-Nanopartikel-formulierten, Nukleosid-modifizierten RNA-Impfstoff BNT162b2 in einer 30 μg-Dosis. An diesem Tag und in den folgenden 2 Wochen zeigte er keine klinischen Symptome (Tabelle 1). Am 18. Tag wurde er wegen einer Verschlimmerung der Diarrhöe ins Krankenhaus eingeliefert. Da er keine klinischen Anzeichen von COVID-19 aufwies, erfolgte keine Isolierung in einer spezifischen Umgebung. Die Laboruntersuchungen ergaben eine hypochrome Anämie und erhöhte Kreatinin-Serumspiegel. Der Antigentest und die Polymerase-Kettenreaktion (PCR) für SARS-CoV-2 waren negativ.

Der Obduktionsbericht macht deutlich, dass die Tests „keine morphologischen Veränderungen im Zusammenhang mit COVID“ in seinen Organen zeigten.

„Morphologisch“ bedeutet strukturell. Es ist jetzt bekannt, dass COVID-Infektionen sehr spezifische strukturelle Veränderungen an den Stellen verursachen, die es infiziert. DIESE VERÄNDERUNGEN waren bei dem geimpften Mann nicht aufgetreten, bevor er starb.

[Der Gengeimpfte (86) soll sich von einem Zimmernachbarn ein neues Coronavirus eingefangen haben - und daran schnell gestorben sein]

Der nun tote geimpfte Mann befand sich in einem Zimmer, in dem ein anderer Patient schließlich PUNKTIV auf COVID getestet wurde, und in dem Bericht heißt es, dass sie denken, dass der tote geimpfte Mann sich COVID eingefangen hat, nachdem er eingeliefert wurde, von dem anderen Patienten im selben Zimmer.

Der Schaden an den Organen des nun toten Impfempfängers fand also statt, BEVOR er von dem anderen Patienten im Krankenhauszimmer mit COVID infiziert wurde.

Schlimmer noch, sobald der geimpfte Mann tatsächlich COVID bekam, verbreitete es sich so schnell in seinem Körper, dass er offenbar keine Chance mehr hatte. Hier sind Gewebebilder:

HAL TURNER KOMMENTIERT

Ich bin kein Arzt oder Wissenschaftler, also kann ich keine kompetente medizinische Analyse anbieten, aber als Laie sieht das aus meiner Sicht nicht so gut aus.

[Die Version des Spitals: Der Gengeimpfte bekam  Dickdarmentzündung+Blutgerinnsel - er starb am 4. Tag nach der Einlieferung ins Krankenhaus durch Corona-Ansteckung durch einen Zimmernachbarn]

Der Obduktionsbericht sagt eindeutig „Diese Ergebnisse deuten darauf hin, dass der Patient bereits eine relevante Immunogenität durch die Impfung entwickelt hatte“, dennoch wurde er am Tag 24 (nach der Impfung) bei der Einlieferung ins Krankenhaus von einem anderen Patienten infiziert und starb 4 Tage später.

Wenn man den ganzen Artikel liest, lautet die ganze Geschichte: Dem Patienten wurde der Impfstoff verabreicht, er wurde mit Colitis ulcerosa [Dickdarmentzündung] aufgrund von Blutgerinnseln ins Krankenhaus eingeliefert, während seines Krankenhausaufenthaltes wurde er von einem asymptomatischen Mitbewohner des Krankenhauses angesteckt und starb 4 Tage später.

[Klarer Impfmord]

Meine Schlussfolgerung: die Impfung trieb diesen älteren Mann in sein Ende.

Ich mag mich irren, aber das ist, was ich aus dem Obduktionsbericht sehe.

Ich bin nicht geimpft und habe es auch nicht vor.

[Corona19 hat nur 0,2% Tödlichkeit - da braucht es KEINE Impfung]

Während dieses ganzen COVID-Debakels ist die einzige Konstante, dass die Krankheit eine Überlebensrate von 99,8% hat. Für mich handelt es sich nicht um eine Pandemie. Für mich ist es nicht einmal wert, geimpft zu werden; ich denke, mein Immunsystem wird gut damit zurechtkommen.

In Anbetracht all der unerwünschten Reaktionen auf den Impfstoff bin ich zu dem Schluss gekommen, dass es viel gefährlicher ist, sich impfen zu lassen, als die eigentliche Krankheit zu bekommen.

Gott gab mir ein Immunsystem. Ich denke, ich werde Gott in dieser Sache vertrauen. Schließlich glaube ich wirklich, dass ich nicht eine Mikrosekunde länger leben werde, als Gott will, und umgekehrt werde ich nicht eine Mikrosekunde früher sterben, als Gott will.

Glaube ist nicht „Glaube ohne Beweis“, es ist „Vertrauen ohne Vorbehalt“. Ich vertraue Gott.>

========


Medizinisches GENimpfungen 3.8.2021: GENimpfung provoziert Spike-Protein in ALLEN ORGANEN:
First Autopsy of COVID Vaccinated Patient Found Viral RNA In Every Organ of Body
Mara, [03.08.21 15:33]
https://www.infowars.com/posts/first-autopsy-of-covid-vaccinated-patient-found-spike-proteins-in-every-organ-of-body/

Vaccine either doesn't work or causes the spread of SARS-CoV-2 faster throughout the body.



Medizinisches Heidelberg 3.8.2021: Da will jemand mehr Wissenschaft - das ist der kr. Illuminati-Politik aber EGAL!
Heidelberger Chef-Pathologe pocht auf mehr Obduktionen von Geimpften (Update)
https://www.rnz.de/nachrichten/heidelberg_artikel,-den-hirnvenen-thrombosen-auf-der-spur-heidelberger-chef-pathologe-pocht-auf-mehr-obduktionen-von-gei-_arid,714973.html

<Er warnt vor einer hohen Dunkelziffer an Impftoten. Mit seiner Forderung ernetet er Widerspruch von der Stiko und dem Paul-Ehrlich-Institut.

"Der Mediziner will nun verstärkt seltenen, schweren Nebenwirkungen des Impfens – etwa Hirnvenenthrombosen oder Autoimmunreaktionen – auf den Grund gehen. Das Problem aus seiner Sicht: Von den meisten Patienten, die nach und möglicherweise an einer Impfung sterben, bekämen Pathologen gar nichts mit. "Der leichenschauende Arzt stellt keinen Kontext mit der Impfung her und bescheinigt einen natürlichen Tod und der Patient wird beerdigt", berichtet Schirmacher.

 "Oder er bescheinigt eine unklare Todesart und die Staatsanwaltschaft sieht kein Fremdverschulden und gibt die Leiche zur Bestattung frei.">



Medizinisches Heidelberg 4.8.2021: Pathologe Schirmacher mit 40 Autopsien an GENgeimpften - Details FEHLEN:
Deutscher Chefpathologe führt 40 Autopsien an geimpften Personen durch und schlägt Alarm
https://uncutnews.ch/deutscher-chefpathologe-fuehrt-40-autopsien-an-geimpften-personen-durch-und-schlaegt-alarm/

Quelle: reitschuster.de

<Der Leiter des Pathologischen Instituts der Universität Heidelberg, Peter Schirmacher, hat 40 Autopsien an geimpften Menschen durchgeführt und schlägt Alarm. Der Chefpathologe schätzt, dass 30 bis 40 Prozent der Menschen an den Folgen der Impfung gestorben sind.

Er behauptet, dass die Zahl der Todesfälle durch Impfungen unterschätzt wird und warnt davor, dass viele Impftodesfälle nicht gemeldet werden, schreibt Die Welt.

Die Reaktion des Establishments ließ nicht lange auf sich warten. Das Paul-Ehrlich-Institut, ein medizinischer Beobachter, nannte Schirmachers Aussagen „unverständlich“.

Unterstützt wurde er von der Deutschen Gesellschaft für Pathologie, die darauf hinwies, dass viel mehr Autopsien an geimpften Personen durchgeführt werden sollten. Nur so lässt sich ein Zusammenhang zwischen Todesfällen und Impfungen ausschließen oder nachweisen, so der Verband.

Sie fordert die Ärzte auf, eine Autopsie zu beantragen, wenn ein Patient innerhalb von Tagen oder Wochen nach der Impfung stirbt.

Gesundheitsminister antwortet nicht auf Brief

Im März forderte der Verband in einem Schreiben an Gesundheitsminister, der eigentlich ein Bankkaufmann ist Jens Spahn, dass Autopsien nach einem Todesfall vor Ort durchgeführt werden. Der Brief blieb unbeantwortet. Die Erkenntnisse von Schirmacher könnten die Pharmaunternehmen viel Geld kosten. Die Bereitschaft von Menschen, die noch keine Impfung erhalten haben, ist bereits gering und könnte dadurch noch mehr schwinden.

Schirmacher selbst leitet bereits ein vom Land subventioniertes Autopsie-Projekt an COVID-19-Verstorbenen. Er beschloss, auch Autopsien an geimpften Menschen durchzuführen. Der Pathologe will schwerwiegenden Impfnebenwirkungen wie Hirnvenenthrombosen oder Autoimmunerkrankungen auf den Grund gehen.>


GENimpfmorde Heidelberg 4.8.2021: Es hagelt Todesanzeigen: Schau mal den an: Klinikum Heidelberg verliert bereits massenweise Personal - am Ende der GENimpfung bleibt nur eine TODESANZEIGE - 4 Fälle im Juni 2021
https://t.me/gartenbaucenter17/31930
https://t.me/Impfschaden_Corona_Schweiz/16251


Kommentar: Alle Angestellte des Klinikums in Heidelberg, alle im Juni verstorben und dann erscheint der unten verlinkte Artikel letztens - Zufall?
https://m.augsburger-allgemeine.de/panorama/Corona-Chef-Pathologe-der-Uni-Heidelberg-draengt-auf-mehr-Obduktionen-von-Geimpften-id60235361.html

Kommentar von Michael Palomino: Und so geht das auch im Inselspital Bern ab Oktober 2021, wo die Vorgesetzten und Abteilungsleiter einen kriminellen Gruppenzwang zum GENimpfen (absolute Nötigung und Erpressung) aufgebaut haben, und die Angestellten des Inselspital haben die Nötigung NIE angezeigt!

VIER Todesanzeigen aus dem Klinikum Heidelberg vom Juni 2021:

VIER Todesanzeigen aus dem
                          Klinikum Heidelberg vom Juni 2021: Bortsch am
                          19.6.2021    VIER Todesanzeigen aus dem
                          Klinikum Heidelberg vom Juni 2021: Waidmann am
                          23.6.2021
VIER Todesanzeigen aus dem Klinikum Heidelberg vom Juni 2021: Bortsch am 19.6.2021 [25] - Waidmann am 23.6.2021 [26]
  VIER Todesanzeigen aus dem Klinikum
                          Heidelberg vom Juni 2021: Zuber am 24.6.2021   VIER Todesanzeigen aus dem Klinikum
                          Heidelberg vom Juni 2021: Barth am 1.6.2021
VIER Todesanzeigen aus dem Klinikum Heidelberg vom Juni 2021: Zuber am 24.6.2021 [28] - Barth am 1.6.2021 [29]


Klinikum Heidelberg 4.8.2021: Der Pathologe stellte fest: Bei 40% war die GENimpfung die Todesursache
40 Prozent ursächlich an Vakzinen verstorben: Uni Heidelberg obduziert Tote nach Covid-Impfung
https://report24.news/40-prozent-ursaechlich-an-vakzinen-verstorben-uni-heidelberg-obduziert-tote-nach-covid-impfung/
Mara, [04.08.21 10:56]
[Weitergeleitet aus Report24.news]

Obduktionen von Toten, die kurz vor ihrem Ableben gegen Covid geimpft worden waren, bestätigten bei 30 bis 40% die Impfung als Todesursache.

<Seit etwa einem Jahr nun werden in Heidelberg Patienten obduziert, die mutmaßlich an einer Covid-19 Infektion verstorben sind. Man erhofft sich daraus neue Erkenntnisse und ein besseres Verständnis für die Krankheit. Das Land Baden-Württemberg unterstützt die Forschung mit 1,8 Millionen Euro. Peter Schirmacher, Direktor des Pathologischen Instituts in Heidelberg, ist Leiter dieses Projekts und berichtet nun über beunruhigende Forschungsergebnisse – und fordert gleichzeitig bundesweit mehr Obduktionen von Toten, die im zeitlichen Zusammenhang mit einer Covid-19 Impfung verstorben sind. Es dauerte nicht lange, bis STIKO und Paul-Ehrlich-Institut dem Vorhaben vehement widersprachen. 

Wie die Augsburger Allgemeine am Sonntag berichtete, will der Mediziner die finanziellen Mittel des Landes nun auch vermehrt für Obduktionen derer nutzen, die kurz nach einer Impfung mit einem der umstrittenen Covid-19 Vakzine verstorben sind. Insbesondere geimpfte Patienten, die an einer Hirnvenenthrombose oder Autoimmunreaktion litten, sollten dem Experten nach zukünftig immer obduziert werden. Problematisch sei, dass die meisten Pathologen gar nichts davon mitbekämen, dass der Patient möglicherweise ursächlich an der Covid-19-Spritze verstarb. „Der leichenschauende Arzt stellt keinen Kontext mit der Impfung her und bescheinigt einen natürlichen Tod und der Patient wird beerdigt“, so Schirmacher. „Oder er bescheinigt eine unklare Todesart und die Staatsanwaltschaft sieht kein Fremdverschulden und gibt die Leiche zur Bestattung frei.“

Hohe Dunkelziffer an Toten durch Covid-19 Impfung

Im Südwesten der Republik arbeiten Forscher, Wissenschaftler, Pathologen und Mediziner schon länger engmaschig mit Polizei, Staatsanwaltschaft und den niedergelassenen Ärzten zusammen. So seien bereits 40 Menschen obduziert worden, die innerhalb von 14 Tagen nach einer Covid-19 Impfung verstorben sind. Erschreckendes Ergebnis: Schirmacher geht davon aus, 30 bis 40 Prozent der Toten seien ursächlich an der Impfung verstorben, die Häufigkeit todbringender Impfnebenwirkungen werde seiner Ansicht nach unterschätzt. Auch gehe er von einer hohen Dunkelziffer an Impftoten aus, die derzeit auf Grund der unklaren Datenlage kaum eingeschätzt und näher beziffert werden könne. 

Massive Gegenwehr: Impfnebenwirkungen sollen vertuscht werden

Wissenschaftler des Paul-Ehrlich-Instituts widersprachen dem Chef-Pathologen umgehend. So seien einer Stellungnahme des PEI nach Aussagen, man wisse zu wenig über Nebenwirkungen und die Gefahren der Impfung würden unterschätzt, nicht nachvollziehbar. Immerhin bestünde eine Meldepflicht für schwerwiegende Nebenwirkungen und Reaktionen nach einer Impfung gegen Covid-19, so das Institut. Auch der Chef der Ständigen Impfkommission Thomas Mertens widerspricht Schirmacher: „Ich kenne keine Daten, die hier eine begründbare Aussage zulassen, und gehe nicht von einer Dunkelziffer auf“, sagt er.

Rote-Hand-Briefe: Vektorimpfstoffe verursachen schwere Nebenwirkungen bei gesunden Menschen

Auch der Immunologe Christian Bogdan von der Uniklinik Erlangen betonte dem Bericht der Augsburger Allgemeinen nach, es bestehe kein Anlass für die Annahme einer Dunkelziffer. Er weist auch die Aussage einer Vernachlässigung von Gefahren durch die bedingt zugelassenen Impfstoffe gegen Covid-19 zurück. Die letzten Wochen und Monate hätten gezeigt, dass das „Surveillance-System gut“ funktioniere. In Deutschland sei Bogdans Aussage nach „sehr frühzeitig“ das Auftreten von Hirnvenenthrombosen nach einer Impfung mit einem Vektorimpfstoff erkannt worden. Etablierte Medien werden nicht müde zu betonen, es handele sich um „sehr seltene“ Nebenwirkungen. Doch jeder einzelne Fall ist einer zu viel, betrachtet man die Tatsache, dass erst der Impfstoff einen gesunden Menschen krank gemacht hat. Nachdem erst AstraZeneca einen Rote-Hand-Brief veröffentlichte, in dem vor schweren Nebenwirkungen des Impfstoffs eindringlich gewarnt wurde, zog nur kurz darauf Johnson&Johnson in ähnlicher Art und Weise nach

Verharmlosung schwerer Nebenwirkungen nicht rational erklärbar

Für die Verharmlosung möglicher schwerer Nebenwirkungen und Todesfälle durch oder im zeitlichen Zusammenhang mit Covid-19 Impfstoffen kann an dieser Stelle schwer Verständnis aufgebracht werden. Sowohl Paul-Ehrlich-Institut als auch die STIKO stehen in der Verantwortung, derartige Verdachtsfälle aufzuarbeiten und die Untersuchung dieser Fälle in jeder Hinsicht zu unterstützen und zu fördern, ja gar zu fordern. Der Versuch, die Vorfälle kleinzureden und ihnen möglichst wenig Beachtung zu schenken, schafft in keiner Art und Weise Vertrauen in den Impfstoff.

Schirmacher steht indes konsequent zu seiner Meinung. „Die Kollegen liegen da ganz sicher falsch, weil sie diese spezifische Frage nicht kompetent beurteilen können“, sagt er. Auch wolle er weder Panik verbreiten noch sei er ein Impfgegner, nach eigener Aussage sei er selbst gegen Covid-19 geimpft. Er betont, die Impfung sei ein wesentlicher Bestandteil im Kampf gegen das Virus, doch die „individuelle Schutzüberlegung“ werde überlagert vom Gedanken der „schnellen Durchimpfung“ der gesamten Bevölkerung. Die Konzentration auf Risikogruppen ist die effektivere Methode im Vergleich zu einer Zwangsbeglückung der gesamten Gesellschaft mit einem Impfstoff, der weder regulär zugelassen noch durch Langzeitstudien erprobt ist. 

Jens Spahn lässt Forderung des Bundesverband Deutscher Pathologen unbeantwortet

Mediziner Schirmacher erhält indes Zuspruch für seine Forderung vom Bundesverband Deutscher Pathologen, von deren Seite vermehrte Obduktionen ausdrücklich begrüßt werden. Zusammenhänge zwischen Todesfällen und Impfungen gegen Covid-19 müssten ausgeschlossen oder nachgewiesen werden, so Johannes Friemann, Leiter der Arbeitsgruppe Obduktion beim Bundesverband. Man habe aber noch zu wenig obduziert, um von einer Dunkelziffer sprechen zu können. „Man weiß noch gar nichts“ gibt er zu bedenken. Obduktionen müssten durch die Gesundheitsämter vor Ort angewiesen werden, Hausärzte für Nebenwirkungen bei Patienten sensibilisiert werden. Der Verband habe dies auch in einem Schreiben an Gesundheitsminister Jens Spahn (CDU) im März bereits gefordert. Friedmann sagte, das Schreiben blieb bis heute unbeantwortet. >




Autopsie 20.9.2021

GENimpfmorde mit Autopsie in Reutlingen (4R) 20.9.2021: Pathologie mit Autopsie von 8 GENgeimpften Leichen
Impfschäden Schweiz Coronaimpfung, [20.09.21 08:39]
https://t.me/Impfschaden_Corona_Schweiz/22248
[Weitergeleitet aus Dr. Thomas Binder, MD]
Pressemitteilung

Pressekonferenz am Montag, den 20.09.2021, ab 16 Uhr im Live-Stream Todesursache nach COVID-19-Impfung Undeklarierte Bestandteile der COVID-19-Impfstoffe

Im pathologischen Institut in Reutlingen werden am Montag, den 20.09.2021, die Ergebnisse der Obduktionen von acht nach COVID19-Impfung Verstorbenen vorgestellt. Die feingeweblichen Analysen wurden von den Pathologen Prof. Dr. Arne Burkhardt und Prof. Dr. Walter Lang durchgeführt. Die Erkenntnisse bestätigen die Feststellung von Prof. Dr. Peter Schirmacher, dass bei mehr als 40 von ihm obduzierten Leichnamen, die binnen zwei Wochen nach der CVID-19-Impfung gestorben sind, circa ein Drittel kausal an der Impfung verstorben sind. Im Rahmen der live gestreamten Pressekonferenz werden mikroskopische Details der Gewebeveränderungen gezeigt. Prof. Dr. Werner Bergholz berichtet über die aktuellen Parameter der statistischen Erfassung des Impfgeschehens.

Auf der Pressekonferenz wird zudem das Ergebnis der Analyse von COVID-19-Impfstoffproben einer österreichische Forschergruppe vorgestellt, das sich mit den Erkenntnissen von Wissenschaftlern aus Japan und den USA deckt. Es haben sich im Impfstoff undeklarierte metallhaltige Bestandteile feststellen lassen. Optisch fallen Impfstoffelemente durch ihre ungewöhnliche Form auf.

Aus den Untersuchungsergebnissen resultieren rechtliche und politische Forderungen so zum Beispiel nach unverzüglicher Informationssammlung durch die Behörden, um die gesundheitliche Gefährdungslage der Bevölkerung durch die COVID-109-Impfstoffe bewerten zu können. Z.B. können durch Einsichtnahme in die IVF-Register frühe Signale eingeschränkter Fruchtbarkeit der Geimpften geprüft werden. Über das Krebsregister können Erkenntnisse über das Entstehen von Krebs durch die gentechnischen Veränderungen der Virus-RNA gewonnen werden. Eine Aussetzung der COVID-19-Impfungen ist zu erwägen.

Aktuelle Links zum Stream unter www.pathologie-konferenz.de.

Prof. Dr. Arne Burkhardt blickt auf langjährige Lehrtätigkeit an den Universitäten Hamburg, Bern und Tübingen zurück sowie auf Gastprofessuren/Studienaufenthalte in Japan (Nihon Universität), USA (Brookhaven National Institut), Korea, Schweden, Malaysia und der Türkei. Er hat 18 Jahre lang das Pathologische Institut in Reutlingen geleitet, war danach als niedergelassener Pathologe tätig. Prof. Burkhardt hat über 150 Artikel in Fachzeitschriften und als Beiträge in Handbüchern veröffentlicht. Er hat zudem pathologische Institute zertifiziert.

Prof. Dr. Walter Lang hat 27 Jahre ein vom gegründetes Privatinstitut für Pathologie mit den Schwerpunkten Transplantationspathologie, extragynäkologische Cytologie, Schilddrüsentumore, Lungen/Pleurapathologie geleitet. Er führte Konsultations-Diagnostik für 12 große Lungen-Kliniken und erbrachte Leberpathologie-Leistungen für zahlreiche Kliniken. Im Zeitraum 2010-2020 betreute er die Pathologie der Lungenklinik in Herner.

Prof. Dr. Werner Bergholz ist ehemaliger Professor für Elektrotechnik mit Schwerpunkt Qualitäts- und Risikomanagement an der Jakobs-University Bremen. Vor seiner Berufung war Prof. Bergholz 17 Jahre im Management der Chip-Produktion bei der Firma Siemens tätig.

Kontakt: kontakt@pathologie-konferenz.de
Institut Prof. Burkhardt, Obere Wässere 3-7, 72764 Reutlingen


GENimpfmord mit Autopsie "USA" 20.9.2021: 20mal mehr Krebs bei GENgeimpften als bei UNgeimpften
Impfschäden Schweiz Coronaimpfung, [20.09.21 16:21]
[Weitergeleitet aus Wochenblick]
Schock: Pathologe stellt 20-fachen Anstieg von Krebs bei Geimpften fest
https://www.wochenblick.at/schock-pathologe-stellt-20-fachen-anstieg-von-krebs-bei-geimpften-fest/

Dr. Ryan Cole fand heraus, dass die Impfung zu 20 Mal mehr Krebs führt! Er vermutet eine "umgekehrte HIV-Reaktion" durch mRNA-Vakzine!

Dr. Ryan Cole ist Pathologe und Inhaber sowie Betreiber eines Diagnostiklabors in Idaho (USA). Er stellte fest, dass es bei geimpft







Autopsie 21.9.2021


GENimpfmorde mit Autopsie 21.9.2021: 8 Leichen untersucht - GENimpfungen töten:
„Lymphozyten-Amok“: Pathologen untersuchen Todesfälle nach Corona-Impfung
https://www.epochtimes.de/wissen/forschung/lymphozyten-amok-pathologen-untersuchen-todesfaelle-nach-corona-impfung-a3608596.html
https://t.me/Impfschaden_Corona_Schweiz/22515

Impfschäden Schweiz Coronaimpfung, [21.09.21 19:20]
[Weitergeleitet aus 🇩🇪 Antimain_Stream 🇩🇪 (Teilen erwünscht !)]
ERSTE UNTERSUCHUNGSERGEBNISSE ‼️
Wer gestern die Pressekonferenz um die Pathologie-Professoren Arne Burkhardt und Walter Lang verfolgt hat, dem dürfte sich die Frage stellen, wie lange die Covid-19-Impfstoffe noch immer auf dem Markt sein werden. Die Obduktion von zehn Personen, die nach Corona-Impfungen verstorben sind, sprechen eine deutliche Sprache.
@Antimain_Stream🇩🇪

GENimpfmorde Autopsien (4R) 21.9.2021: Zusammenfassung der 8 Autopsien
Impfschäden Schweiz Coronaimpfung, [21.09.21 13:50]
https://t.me/Impfschaden_Corona_Schweiz/22446
Eine neue Meldung:
Persönliches Statement zur gestrigen Pressekonferenz der Pathologen.

Sehr eindrücklich was Pathologen in Deutschland gestern an einer Pressekonferenz geschildert haben, die geimpfte Verstorbene obduziert haben.
Sie zeigten mit Bildern und anhand von Fallbeispielen, wie der menschliche Organismus auf körperfremde Substanzen, die im Labor gebastelt wurden, reagiert, die ihm injiziert werden. Sie zeigten, wie das menschliche Immunsystem sich ständig gegen diese "Fremdsubstanzen" wehrt, was schlicht und einfach Chaos im Körper auslöst, wodurch entzündliche Autoimmunprozesse entstehen, die fast alle Organe betreffen und nicht mehr zu stoppen sind, was mitunter tödlich enden kann.
Das ist es, was MCS-Betroffene täglich erleben, wenn sie durch Einatmen, Einnehmen oder Anwenden verschiedenster chemischer Substanzen, für die der menschliche Organismus nicht gemacht ist, weshalb er nur schlecht oder gar nicht mit ihnen umgehen kann, mit schweren körperlichen Beschwerden reagieren. Dieser Impfstoff sollte die Menschen einmal mehr wachrütteln und anregen darüber nachzudenken, ob es denn wirklich so sinnvoll ist, sich mit solchen Substanzen, zumal sie wenig erprobt und in Kombination mit Wirkstoffverstärkern schlicht und einfach eine Zeitbombe sind, behandeln zu lassen, um eine eventuelle Erkrankung abzuwenden, die nicht einmal so tödlich ist, wie man uns anfänglich glauben machen wollte.
Es erstaunt mich immer wieder, dass grad Vorerkrankte mit eben solchen Autoimmun-/Multisystemerkrankungen, also solche, deren Organismus ohnehin bereits geschädigt ist und verrückt spielt, diesem Pieks völlig arglos gegenüber stehen.
Seit Jahren muss ich lesen, mich bis ins Details interessieren, was in Lebensmitteln drin ist, womit Textilien und Möbel behandelt sind und welche Inhaltsstoffe in Wasch-, Reinigungs- und Körperpflegeprodukten enthalten sind. Dabei musste ich die "versteckten" Gifte entdecken lernen, auf die mein Körper sofort reagiert. Das war jahrzehntelange Knochenarbeit mit schmerzvollen Selbstversuchen. Ich kann verstehen, dass sich das niemand antun will.
Heute aber, wo alles gegoogelt werden kann, einem die Risiken- und Nebenwirkungen aller Chemikalien quasi auf dem Silbertablett serviert werden, wenn man sie denn wissen will, ist es recht einfach, sich zu informieren was welcher Stoff im Körper auslöst und da ist es dem eigenen Körper gegenüber geradezu verantwortungslos, sich etwas spritzen zu lassen, von dem man nicht weiss wie es wirkt, ob es wirkt und was es langfristig bewirkt und für das der Hersteller jegliche Haftung ablehnt.
MCS (multiple chemical sensitivity) ist eine Umwelterkrankung. Menschen mit dieser Erkrankung reagieren auf geringste Spuren von Chemikalien mit schweren körperlichen Beschwerden.


GENimpfmorde Autopsien 21.9.2021: Das Video mit den 8 Untersuchungen ist bei Odysee
Impfschäden Schweiz Coronaimpfung, [21.09.21 13:52]
https://t.me/Impfschaden_Corona_Schweiz/22447
Liebe Gruppe

Das Video zu den Obduktionen von potentiellen Impfopfern wurde auf Youtube gelöscht!
Aber hier findet ihr es:

Video-Link: https://odysee.com/@BannedFromYoutube:d/Pressekonferenz-Tod-durch-Impfung-Undeklarierte-Bestandteile-der-COVID-19-Impfstoffe:a


GENimpfmorde Autopsie 21.9.2021: BITTEL TV berichtet
Impfschäden Schweiz Coronaimpfung, [21.09.21 16:19]
https://t.me/Impfschaden_Corona_Schweiz/22498
[Weitergeleitet aus BITTEL TV - EINFACH ANDERS]
[ Bild ]
🕕 Heute 18 Uhr LIVE!

Viviane Fischer berichtet über die Pressekonferenz vom 20.09.2021, auf der Ergebnisse der Obduktionen von acht nach COVID19-Impfung Verstorbenen sowie Ergebnisse der Analyse von COVID-19-Impfstoffproben vorgestellt wurden.

Dlive: https://dlive.tv/bitteltv
Trovo: https://trovo.live/bitteltv
VK: https://vk.com/bitteltv
Twitch: https://www.twitch.tv/bitteltv
FB: https://www.facebook.com/bitteltv
TEILEN❗️❗️❗️


GENimpfmorde Autopsie im 4R am 21.9.2021: Immunsystem läuft Amok
Impfschäden Schweiz Coronaimpfung, [21.09.21 08:43]
https://corona-transition.org/obduktion-von-toten-nach-impfung-zeigt-das-immunsystem-lauft-amok
Obduktion von Toten «nach Impfung» zeigt: Das Immunsystem läuft Amok | Corona Transition
In fünf von zehn Todesfällen nach Impfung ist der Impfstoff als Ursache «sehr wahrscheinlich». Zu diesem Schluss kom


GENimpfmorde Autopsie in Reutlingen (4R) am 21.9.2021: Die Liste der Pathologen
Impfschäden Schweiz Coronaimpfung, [21.09.21 08:46]
https://t.me/Impfschaden_Corona_Schweiz/22369
[Weitergeleitet aus Philipp Kruse, Rechtsanwalt]
[Quelle:
https://t.me/FreyjasBulletinInternational]

📺 Pressekonferenz vom 20.09.2021:
Tod durch Impfung /
Undeklarierte Bestandteile der COVID-19-Impfstoffe

🔴 Im pathologischen Institut in Reutlingen wurden die Ergebnisse der Obduktionen von acht nach COVID19-Impfung Verstorbenen vorgestellt.
🔎 Die feingeweblichen Analysen waren von den Pathologen Prof. Dr. Arne Burkhardt und Prof. Dr. Walter Lang durchgeführ worden.

🔴 Die Erkenntnisse bestätigen die Feststellung von Prof. Dr. Peter Schirmacher, dass bei mehr als 40 von ihm obduzierten Leichnamen, die binnen zwei Wochen nach der COVID-19-Impfung gestorben sind, circa ein Drittel kausal an der Impfung verstorben sind.

🔎 Im Rahmen der live gestreamten Pressekonferenz wurden mikroskopische Details der Gewebeveränderungen gezeigt.
🔎 Prof. Dr. Werner Bergholz berichtete über die aktuellen Parameter der statistischen Erfassung des Impfgeschehens.

🔴 Auf der Pressekonferenz wurde zudem das Ergebnis der Analyse von COVID-19-Impfstoffproben einer österreichische Forschergruppe vorgestellt, das sich mit den Erkenntnissen von Wissenschaftlern aus Japan und den USA deckt.
🔎 Es haben sich im Impfstoff undeklarierte metallhaltige Bestandteile feststellen lassen.
🔎 Optisch fallen Impfstoffelemente durch ihre ungewöhnliche Form auf.

🔴 Aus den Untersuchungsergebnissen resultieren rechtliche und politische Forderungen so zum Beispiel nach unverzüglicher Informationssammlung durch die Behörden, um die gesundheitliche Gefährdungslage der Bevölkerung durch die COVID-109-Impfstoffe bewerten zu können.
🔎 Z.B. können durch Einsichtnahme in die IVF-Register frühe Signale eingeschränkter Fruchtbarkeit der Geimpften geprüft werden.
🔎 Über das Krebsregister können Erkenntnisse über das Entstehen von Krebs durch die gentechnischen Veränderungen der Virus-RNA gewonnen werden.

💥 Eine Aussetzung der COVID-19-Impfungen ist zu erwägen.


📺 Video der kompletten Pressekonferenz ➡️ hier ansehen (https://t.me/FreyjasBulletinInternational/12425)


Haupt-Teilnehmer:
✅ Prof. Dr. Arne Burkhardt blickt auf langjährige Lehrtätigkeit an den Universitäten Hamburg, Bern und Tübingen zurück sowie auf Gastprofessuren/Studienaufenthalte in Japan (Nihon Universität), USA (Brookhaven National Institut), Korea, Schweden, Malaysia und der Türkei. Er hat 18 Jahre lang das Pathologische Institut in Reutlingen geleitet, war danach als niedergelassener Pathologe tätig. Prof. Burkhardt hat über 150 Artikel in Fachzeitschriften und als Beiträge in Handbüchern veröffentlicht. Er hat zudem pathologische Institute zertifiziert.

✅ Prof. Dr. Walter Lang war von 1968-1985 als Pathologe an der Medizinischen Hochschule Hannover tätig. Danach leitete er 25 Jahre lang ein von ihm gegründetes Privatinstitut für Pathologie in Hannover mit den Schwerpunkten Transplantationspathologie, extragynäkologische Cytologie, Schilddrüsentumore, Lungen/Pleurapathologie. Er führte Konsultations-Diagnostik für 12 große Lungen-Kliniken durch und nahm Leberpathologie-Untersuchung für zahlreiche Kliniken vor. Im Zeitraum 1985-2020 führte er Konsultations-Untersuchungen für die Pathologie der Lungenklinik in Herner durch.

✅ Prof. Dr. Werner Bergholz ist ehemaliger Professor für Elektrotechnik mit Schwerpunkt Qualitäts- und Risikomanagement an der Jakobs-University Bremen. Vor seiner Berufung war Prof. Bergholz 17 Jahre im Management der Chip-Produktion bei der Firma Siemens tätig.

Quelle:
➡️ Webseite der Pathologie-Konferenz (https://pathologie-konferenz.de/)



GENimpfmorde Autopsie in Reutlingen (4R) am 21.9.2021: Die Listen der Nebenwirkungen und Todesursachen
Impfschäden Schweiz Coronaimpfung, [21.09.21 08:46]
https://t.me/Impfschaden_Corona_Schweiz/22370
[Weitergeleitet aus Freyja's Bulletin International (Freyja)]
.
🦠💉 - DEUTSCHLAND - ÖSTERREICH -

Kurze Nachlese der Pathologie-Pressekonferenz vom 20.09.2021
- erster Part der Pressekonferenz, Teil 1/3 - Teil 2/3 hier (https://t.me/FreyjasBulletinInternational/12432) -

💥 Feingewebliche Analysen der Toten + Analyse der experimentellen Impfstoffe!
💥 40 Leichname obduziert: Ein Drittel starb kausal an Impfung!
💥 Mikroskopische Details und Gewebeveränderungen
💥 Metall-Teile in Impfstoffen
💥 MEGA-Entzündungsherde, Zellablösungen, Autoimmunerkrankungen
💥 Prof. Burkhardt: „Lymphozyten-Amok in allen Geweben und Organen“

🔴 Mutige Forscher Schreiben Geschichte
Ohne Mainstream-mediale Unterstützung, ohne staatliche Fördermillionen:
Die mutigen Forscher schreiben hier und heute Geschichte!

🔴 Schwierigkeiten in der CoV-Impfstoff-Pathologie:
📌 Scham, Obduktion wird oft von Angehörigen verhindert,
📌 Impfungen werden teilweise heimlich durchgeführt und nicht angegeben,
📌 neue Krankheitsbilder der CoV-Impfstoffe werden von Pathologen oft nicht erkannt.

🔴 Nach STIKO-Empfehlung: Erste Todesfälle bei Kindern gemeldet
💥 Prof. Dr. Bergholz schildert, dass seit der kürzlichen Impfempfehlung der STIKO für die 12-17-Jährigen bereits erste Todesfälle bei Kindern gemeldet wurden.
🔎 Beim Paul-Ehrlich-Institut wurde ein Todesfall gemeldet und eine Vielzahl schwerwiegender Impfnebenwirkungen – bei der EMA sind es noch mehr.
🔎 Bergholz rechnet mit etwa zehn Mal so vielen schwerwiegenden Impfnebenwirkungen als bei herkömmlichen Impfstoffen.

🔴 10 Impftodes-Fälle ausgewertet – Prof. Dr. Burkhardt
Prof. Dr. Burkhardt führt nun durch die erwiesenen Impftodes-Fälle.

🔴 Zwei Fälle stammen aus Österreich:
Herzmuskelentzündungen, Gefäßentzündungen, Autoimmunerkrankungen, Hashimoto…
❗️ Die Ergebnisse sind durch zwei erfahrene Pathologen gesichert.
Zwei Fälle stammen aus Österreich.

➡️ Anlage Bild 1

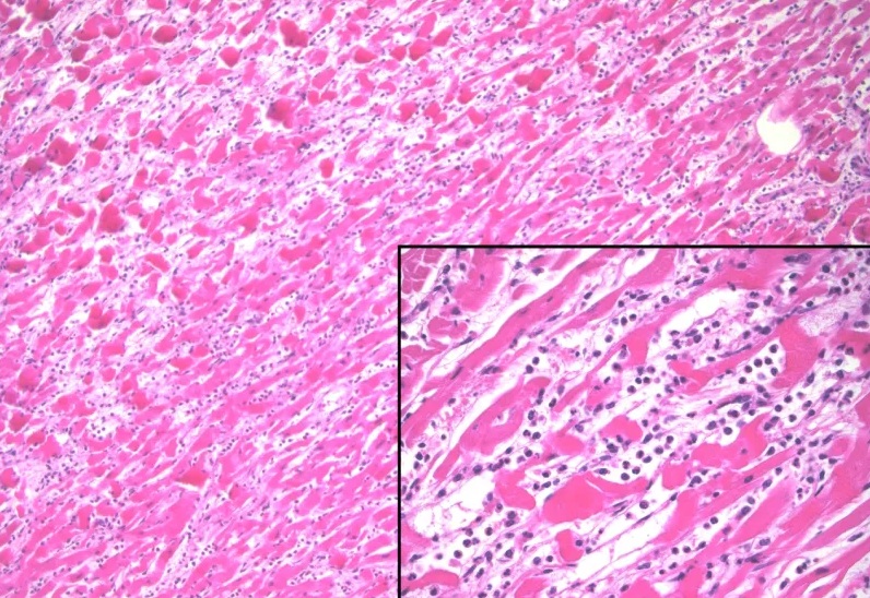
 (https://t.me/FreyjasBulletinInternational/12433)🔎 Spannend: Das Herz muss in 15.000 Schnitten untersucht werden, um eine Myokarditis (Herzmuskelentzündung) nachzuweisen.

🔴 Herzmuskelentzündung: Lymphozyten infiltrieren das Gewebe
🔎 In Fall 1 sind es noch nicht so viele Lymphozyten. Sie bilden nach Impfung oft Entzündungsherde, die das Gewebe schädigen. Der Professor erklärt: „Die gehören da nicht hin“.

➡️ Anlage Bild 2

 (https://t.me/FreyjasBulletinInternational/12433)Die dunklen Flecken sind die Lymphozyten:

➡️ Anlage Bild 3

 (https://t.me/FreyjasBulletinInternational/12433)Auch in Fall 3 zeigen sich Entzündungsherde am Herzen:

➡️ Anlage Bild 4

 (https://t.me/FreyjasBulletinInternational/12433)🔴 Abgelöste Endothel-Zellen in fast allen Fällen!
Das soll sehr ungewöhnlich sein – doch bei Covid-Impftoten fanden die Forscher in fast allen Proben abgelöste Endothel-Zellen.

Hier abgelöste Endothel-Zellen im Gehirn in Fall 6:

➡️ Anlage Bild 5

 (https://t.me/FreyjasBulletinInternational/12433)🔴 Die vermuteten Nebenwirkungen aus der Autopsie:
🔎 Autoimmun-Phänomene sorgen dafür, dass sich der Körper selbst attackiert: „self-to-self attack“.
🔎 Die Pathologen stellten auch eindeutige Anzeichen für eine verminderte Immunkapazität („Krankheitsbilder erinnern teilweise an AIDS-Kranke“).
🔎 Außerdem sei das Krebswachstum beschleunigt.
🔎 Die Gefäßschäden äußerten sich in Endothelitis (Ödeme durch „Lymphozytenstau“), Vaskulitis (Gefäß-Entzündung) und Perivaskulitis. Außerdem Erythrozyten-Verklumpungen.

➡️ Anlage Bild 6

 (https://t.me/FreyjasBulletinInternational/12433)🔴 „Lymphozyten-Amok in allen Geweben und Organen“
„Lymphozyten-Amok in allen Geweben und Organen“ sei Professor Burkhardt zu seinen schrecklichen Beobachtungen bei der Autopsie in den Sinn gekommen.

🔎 Sehr seltene Erkrankung – So sieht eine Entzündung durch die Autoimmun-Erkrankung „Sjögren Syndrom“ an der Speicheldrüse aus:

➡️ Anlage Bild 7

 (https://t.me/FreyjasBulletinInternational/12433)🔴 Analyse der Impfstoffe: Eigenartige Metall-Teile
Es wurden die eigenartigsten Metall-Teile bei der Impfstoff-Analyse gefunden.

Prof. Dr. Burkhardt präsentiert die Metall-Funde im Virus:

➡️ Anlage Bild 8

 (https://t.me/FreyjasBulletinInternational/12433)🔎 Metall im Impfstoff.
🔎 Metall-Teile in der Analyse: Sie haben allerhand Formen.

➡️ Anlage Bild 9

 (https://t.me/FreyjasBulletinInternational/12433)⚠️ Fortsetzung ➡️ Teil 2/3  (https://t.me/FreyjasBulletinInternational/12432)⚠️
.

Impfschäden Schweiz Coronaimpfung, [21.09.21 08:47]
[Weitergeleitet aus Freyja's Bulletin International (Freyja)]
.
Kurze Nachlese der Pathologie-Pressekonferenz vom 20.09.2021
- erster Part der Pressekonferenz, Teil 2/3 -

🔎 Metall im Leichnam.
Die braunen Spuren im Gewebe sollen die Metallkörper sein:

➡️ Anlage Bild 10

 (https://t.me/FreyjasBulletinInternational/12433?single)🔴 Vorläufiges Resümee: Impfung als „russisches Roulette“
Die Forscher betonen, dass es sich um vorläufige Ergebnisse handelt.
🔎  Doch da diese bereits so schockierend sind, sollen diese verbreitet werden – die Menschen wachgerüttelt.
🔎 Denn das vorläufige Ergebnis sein verheerend.
💥💥💥  Sie vergleichen die Impfungen mit „russischem Roulette“.  💥💥💥
🔎 Wer mit 21 Jahren Muskelfasern verliert, wird sie sein Leben lang nicht mehr haben, warnt Burkhardt. Vor allem Leistungssportlern fehlten die abgelösten Muskelfasern.


⚠️ Fortsetzung ➡️ Teil 3/3: Bild-Anlagen (https://t.me/FreyjasBulletinInternational/12433)⚠️

Quelle

 (https://www.wochenblick.at/wochenblick-berichtet-live-corona-impfung-die-grosse-autopsie-stream/)⚠️ direkter Bezug zu
➡️ Video der Pathologie-Pressekonferenz vom 20.09.2021 (https://t.me/FreyjasBulletinInternational/12425) ⚠️





Medizinisches Autopsie von GENgeimpften 29.9.2021: Rostfeier Stahl in den GENimpfungen provoziert übertriebene Immunabwehr und Tod:
So etwas habe ich noch nie gesehen: Autopsien enthüllen, was in den Körpern von geimpften Menschen vor sich geht
https://uncutnews.ch/so-etwas-habe-ich-noch-nie-gesehen-autopsien-enthuellen-was-in-den-koerpern-von-geimpften-menschen-vor-sich-geht/

In der vergangenen Woche legten zwei deutsche Pathologen die Ergebnisse von Autopsien an Leichen von Menschen vor, die nach der Corona-Impfung gestorben waren. Einer von ihnen, Professor Arne Burkhardt, war 18 Jahre lang Leiter des Pathologischen Instituts in Reutlingen. YouTube entfernte das Filmmaterial der Pressekonferenz.

Die Medizinerin Jane Ruby verfolgte die Pressekonferenz und fand die gezeigten Bilder „absolut schockierend“. So sind beispielsweise große Konzentrationen weißer Blutkörperchen zu beobachten, die Fremdkörper und Entzündungen abwehren. Sie hatten noch nie so große Konzentrationen gesehen“.

Rostfreier Stahl mit sehr scharfen, gezackten Kanten

Auch die Ergebnisse der Forschung zu den Impfstoffen selbst wurden vorgestellt. In den Impfstoffen fanden sie u. a. rostfreien Stahl mit sehr scharfen, gezackten Kanten. In jedem Tropfen, den sie analysierten, fanden sie Hunderte dieser winzigen Objekte aus rostfreiem Stahl, sagte Ruby in der Stew Peters Show.

Die Gegenstände aus rostfreiem Stahl wurden im Körper von zahlreichen weißen Blutkörperchen angegriffen. Sie lösten dann einen Zytokinsturm aus, eine potenziell tödliche Reaktion des Körpers, bei der zu viele Zytokine ausgeschüttet werden und eine Entzündungsreaktion hervorrufen. Die Patienten starben an den Folgen des Zytokinsturms und den Schäden, die das Metall im Körper verursachte.

Dr. Ruby zeigte auch ein Foto eines Lymphknotens, der einem der Verstorbenen bei der Autopsie entnommen worden war. Normalerweise sind sie etwa so groß wie eine Erbse. Sie zeigte einen geschwollenen Lymphknoten, der bis zu drei Zentimeter lang war. „Das ist beispiellos. So etwas haben diese Experten noch nie gesehen“, sagte sie.

Bitte lassen Sie sich nicht auffrischen und halten Sie Ihre Kinder von diesem Mist fern, betonte Dr. Ruby.

Video auf Rumble: https://rumble.com/vn193f-never-before-seen-vaccine-victims-bodies-in-battle.html

Video auf Bitchute:


Dr. Ruby 29Sep2021: Stahlteilchen in GENimpfungen provozieren tödl. Abwehrsturm (Zytokinsturm)
https://www.bitchute.com/video/zaTxsEJ0yHar/ - Bitchute-Kanal: NatMed-etc. - hochgeladen am 29.9.2021


<div align="center"><iframe scrolling="no" style="border: none;" src="https://www.bitchute.com/embed/zaTxsEJ0yHar//" width="640" frameborder="0" height="360"></iframe></div>






Medizinisches Autopsie 17.1.2022: Impf-Spikeprotein gefunden, das Entzündungen und Verletzungen provozieren könnte
Impfschäden Schweiz Coronaimpfung, [17/01/2022 08:44 P.M.]
https://t.me/Impfschaden_Corona_Schweiz/37523
[Weitergeleitet aus Pathologie Konferenz (Offiziell)]
💢 Erstmaliger Nachweis des Impf-Spikeproteins bei einer nach der Impfung gegen Covid-19 verstorbenen Person

Der Verdacht, dass das durch die „Impfung“ gegen Covid-19 im Körper gebildete Spike-Protein für die pathologisch festgestellten Entzündungen und Läsionen von Gefäßen verantwortlich sein könnte, konnte jetzt erstmals immunhistologisch bestätigt werden.

Den Pathologen Prof. Arne Burkhardt und Prof. Walter Lang ist es mit ihrem Team gelungen, das Impf-Spike-Protein in den Gefäßen einer 4 Monate nach der „Impfung“ verstorbenen Person, bei der Gefäßläsionen und auch eine impfinduzierte Myokarditis vorlagen, sicher nachzuweisen. Der Nachweis ist gelungen durch einen für das Spike-Protein spezifischen Antikörper mittels konventioneller Immunhistochemie auf den Gewebeschnitten.

Die geschilderte Nachweismethode kann auf alle Organ- und Zellschäden übertragen werden, bei denen sich auffällige pathologische Befunde nach „Impfung“ gegen Covid-19 zeigen. Daraus folgt: Aus ethischen, rechtsstaatlichen und wissenschaftlichen Gründen müssen ab sofort alle histopathologischen Untersuchungen im Zusammenhang mit Schäden aufgrund einer „Impfung“ gegen Covid-19 um diese Methode ergänzt werden. 

Reutlingen, 17.01.2022
Prof. Dr. Arne Burkhardt
Prof. Dr. Walter Lang

Web:
https://pathologie-konferenz.de/
Telegram-Kanal:
@PathologieKonferenz



GENimpfmord mit Autopsie 17.1.2022: Autopsie beweist Spike-Impfschäden:
Sensation: Spike-Impfschäden endlich eindeutig nachweisbar! - 2020 NEWS

https://2020news.de/sensation-spike-impfschaeden-endlich-eindeutig-nachweisbar/

Giftcocktail konnte erstmalig als Todesursache Immunhistologisch nachgewiesen werden.
Impfspikeprotein eindeutig kausal für diesen Todesfall
Nachweis jetzt möglich.

Die Nachweismöglichkeiten zwingen nun aber auch die Behörden und Herstellerfirmen, sich mit der Gefährlichkeit der „Impfstoffe“ näher auseinanderzusetzen anstatt alle Schädigungen weiterhin als inexistent, eingebildet, zufällig entstanden, in jedem Fall aber unverbunden mit der „Impfung“ darzustellen. Vor diesem Hintergrund muss auch die Option eines Impfstopps geprüft werden, bis eine intensivere Aufklärung der Zusammenhänge erfolgt ist...!!!🤓🥳

💥Booom Aktuell
Austausch über das aktuelle Weltgeschehen💥
https://t.me/booomaktuell



Kindermord durch Pfizer-GENimpfung - die Autopsie 21.2.2022: 2 Jugendliche starben 3 und 4 Tage nach der 2. Pfizer-GENimpfung an Herz-Funktionstörung (Kardiomyopathie) - Artikel vom 14.2.2022
https://childrenshealthdefense.org/defender/autopsies-vaccinating-teens-covid-heartbreaking
https://t.me/Impfschaden_Corona_Schweiz/39841
Impfschäden Schweiz Coronaimpfung, [21/02/2022 06:11 P.M.]
[Weitergeleitet aus Grace Van Berkum⚡️]

Pathologists who examined the autopsies of two teenage boys who died days after receiving Pfizer’s COVID-19 vaccine concluded the vaccine caused the teens’ deaths.

The three pathologists, two of whom are medical examiners, published their findings Feb. 14 in an early online release article, “Autopsy Histopathologic Cardiac Findings in Two Adolescents Following the Second COVID-19 Vaccine Dose,” in the Archives of Pathology and Laboratory Medicine.

The authors’ findings were conclusive. Two teenage boys were pronounced dead in their homes three and four days after receiving the second Pfizer-BioNTech COVID-19 dose. There was no evidence of active or previous COVID-19 infection. The teens had negative toxicology screens (i.e. no drugs or poisons were present in their bodies). These boys died from the vaccine.

Histopathological examination of their cardiac tissue revealed an important new finding: Neither heart demonstrated evidence of typical myocarditis.

Instead, the authors found evidence of microscopic changes consistent with a different form of heart injury called toxic cardiomyopathy [Herz-Funktionsstörung] They wrote:

“The myocardial injury seen in these post-vaccine hearts is different from typical myocarditis and has an appearance most closely resembling a catecholamine-mediated stress (toxic) cardiomyopathy.”

The authors further explained what they observed under the microscope:

“Their histopathology does not demonstrate a typical myocarditis … In these two post-vaccination instances, there are areas of contraction bands and hypereosinophilic myocytes distinct from the inflammation.

“This injury pattern is instead similar to what is seen in the myocardium of patients who are clinically diagnosed with Takotsubo, toxic or ‘stress’ cardiomyopathy, which is a temporary myocardial injury that can develop in patients with extreme physical, chemical, or sometimes emotional stressors.

“Stress cardiomyopathy is a catecholamine-mediated ischemic process seen in high catecholamine states in the absence of coronary artery disease or spasm. It has also been called ‘neurogenic myocardial injury’ and ‘broken heart syndrome.’”

The pathologists determined there was a different mechanism of heart injury at play in these two boys, distinct from a purely infectious process that would result directly from a viral infection like COVID-19. This is an important finding. There may be a way to distinguish cardiac injury resulting from a SARS-COV-2 infection from cardiac injury where the vaccine predisposes the patient to stress cardiomyopathy before contracting COVID-19.

However, the authors are careful not to assume that cardiac injuries from COVID-19 and COVID-19 vaccines can always be sorted out under the microscope. They explain that stress cardiomyopathy, or “broken heart syndrome,” may also occur in a rare hyperinflammatory state that is known to occur in COVID-19 infection as well:

“This post-vaccine reaction may represent an overly exuberant immune response and the myocardial injury is mediated by similar immune mechanisms as described with SARS-COV-2 and multisystem inflammatory syndrome (MIS-C) cytokine storms.”

The authors admit this pathological finding may also occur as a result of MIS-C, a known complication of SARS-COV2 infection.

Learning more about this condition requires a biopsy of heart tissue, or in this case an autopsy. We know very little about the nature of myocarditis in people who are clinically stable because heart biopsies are not conducted on them and autopsies are rarely done on patients who die from COVID-19.

There still is no practical way of screening for cardiac injury beyond assessing symptoms.

[No symptoms of myocarditis before their death]

Unfortunately, the two boys did not have symptoms of myocarditis (fever, chest pain, palpitations, or dyspnea) prior to their cardiac arrest and death. One complained of a headache and gastric upset which resolved. The other had no complaints. This is extremely concerning. These boys had smoldering, catastrophic heart injuries with no symptoms.

How many others have insidious cardiac involvement from vaccination that won’t manifest until they get a serious case of COVID-19 or the flu? Or perhaps when they subject themselves to the physical stress of competitive sports? These findings suggest a significant subset of COVID-19 deaths in the vaccinated could be due to the vaccines themselves. Furthermore, it raises this question: How often does this condition exist in a latent form in vaccinated individuals? [...]





Autopsie von toten GENgeimpften 11.3.2022: Das Spike-Protein war ÜBERALL - Dr. Peter McCullough:
Autopsy Studies Months Post-Vaccination Revealed That the Spike Protein Was Everywhere
Video auf Red Voice Media:
https://www.redvoicemedia.com/video/2022/03/autopsy-studies-months-post-vaccination-revealed-that-the-spike-protein-was-everywhere/
https://t.me/Impfschaden_Corona_Schweiz/40714
Impfschäden Schweiz Coronaimpfung, [11.03.2022 16:25]
[Weitergeleitet aus Dr Jane Ruby (Dr Jane Ruby)]

Dr. Peter McCullough: "Where is it in the body? When the autopsy studies broke of vaccinated people... The answer was: it's everywhere. The spike protein is in the brain, it's in the heart..."

Upload via: https://rumble.com/c/VigilantFox




GENimpfwahn Inhaltsstoffe Autopsie 14.3.2022: Spikeproteine können auch ins Hirn - Prof. Dr. Arne Burkhardt
Impfschäden Schweiz Coronaimpfung, [14.03.2022 11:11]
https://t.me/Impfschaden_Corona_Schweiz/40822
[Weitergeleitet aus Pathologie Konferenz (Offiziell)]
Es gibt neue wichtige Erkenntnisse zur Pathologie der Impftoten und der Impfschäden! Prof. Dr. Arne Burkhardt hat nach der Evidenz am 11. März 2022 ertse Beweise präsentiert. U.a. kann nun durch eine Negativkontrolle auf das im Virus vorhandene Nukleokapsid nachgewiesen werden, dass das Spikeprotein im geschädigten Gewebe impfinduziert ist. Es ist zudem der Nachweis von Spikeproteinen im Hirn gelungen - das Impf-Spikeprotein kann offenbar die Blut-Hirn-Schranke überwinden! Die ganze Präsentation findet sich auf www.pathologie-konferenz.de







Tödliche GENimpfungen am 19.3.2022: bewirken die Spike-Produktion überall:
Pathologie-Konferenz: Impfinduzierte Spike-Produktion in Gehirn u. a. Organen nun erwiesen
https://report24.news/pathologie-konferenz-impfinduzierte-spike-produktion-in-gehirn-u-a-organen-nun-erwiesen/






Medizinisches mit Autopsie in GB 30.3.2022: 2 Jugendliche GENgeimpft hatten Herzversagen:
Autopsies Show: Fake Vaccinating Teens for ‘Covid’ Is Literally ‘Heartbreaking’
https://davidicke.com/2022/02/19/autopsies-show-fake-vaccinating-teens-for-covid-is-literally-heartbreaking/
https://t.me/Impfschaden_Corona_Schweiz/41669
Impfschäden Schweiz Coronaimpfung, [30.03.2022 16:39]
[Weitergeleitet aus David Icke Official Telegram]

Autopsies of two teenage boys who died days after receiving Pfizer’s COVID vaccine prove the vaccine caused their deaths. Pathological findings suggest there may be a way to distinguish SARS-COV-2 infection-induced myo/pericarditis from vaccine-induced cardiac injury. Vaccine-induced heart injury can be sub-clinical, but how often?

Pathologists who examined the autopsies of two teenage boys who died days after receiving Pfizer’s COVID-19 vaccine concluded the vaccine caused the teens’ deaths.

The three pathologists, two of whom are medical examiners, published their findings Feb. 14 in an early online release article, “Autopsy Histopathologic Cardiac Findings in Two Adolescents Following the Second COVID-19 Vaccine Dose,” in the Archives of Pathology and Laboratory Medicine.

The authors’ findings were conclusive. Two teenage boys were pronounced dead in their homes three and four days after receiving the second Pfizer-BioNTech COVID-19 dose.

There was no evidence of active or previous COVID-19 infection. The teens had negative toxicology screens (i.e. no drugs or poisons were present in their bodies).

These boys died from the vaccine.

Histopathological examination of their cardiac tissue revealed an important new finding: Neither heart demonstrated evidence of typical myocarditis.

Instead, the authors found evidence of microscopic changes consistent with a different form of heart injury called toxic cardiomyopathy. They wrote:

“The myocardial injury seen in these post-vaccine hearts is different from typical myocarditis and has an appearance most closely resembling a catecholamine-mediated stress (toxic) cardiomyopathy.”

The authors further explained what they observed under the microscope:

Read More: Autopsies Show: Vaccinating Teens for COVID Is Literally ‘Heartbreaking’




Autopsie Schweiz 6.4.2022: Kriminelle Ärzte-Mafia schliesst von vornherein die GENimpfung als Ursache aus
Impfschäden Schweiz Coronaimpfung, [06.04.2022 21:49]
https://t.me/Impfschaden_Corona_Schweiz/42189
Eine neue Meldung:
Zur Meldung von 17.45 bezüglich Autopsie: Das war ja in unserer Familie der Fall. Die Ärzte wollten von sich aus eine Autopsie, weil sie sich den raschen Abbau und das starke Bluten der Lunge meines Schwiegervaters nicht erklären konnten. Die Impfung wurde schon im Voraus ausgeschlossen. Corona auch. Todesursache ist eine Lungenentzündung. Und somit ist der Fall abgeschlossen. Der Zusammenhang zur Impfung wird einfach nicht gemacht.




Autopsie 10.4.2022: Dr. McCullough warnt: Der GENimpfstoff zerstört ALLE Organe auf EINMAL
Video-Link: https://t.me/Impfschaden_Corona_Schweiz/42409
Impfschäden Schweiz Coronaimpfung, [10.04.2022 15:43]
[Forwarded from Welt der Gesundheit]

Autopsien bestätigen: Die Fingerabdrücke des Impfstoffs sind überall im Körper

Dr. McCullough: "Wir wissen jetzt, dass bei Menschen, die nach einer Impfung [oder] kurz nach einer Impfung obduziert wurden, der Fingerabdruck des Impfstoffs überall im Körper zu finden ist. Er ist im Gehirn, er ist im Herzen. Er ist im Knochenmark; er ist in den Fortpflanzungsorganen und den Lymphknoten... Wir hatten noch nie einen Impfstoff, der in das menschliche Gehirn gelangt... Wir hatten noch nie einen Impfstoff, der in das menschliche Herz gelangt ist. Allein diese Beobachtungen sind also schon sehr beunruhigend."

📍Buch: Corona-Impfungen aus spiritueller Sicht
https://tinyurl.com/2p7meufa





Inhaltsstoffe und Autopsie 28.4.2022: Dr. Burkhardt weist nach: "Synthetisch genetisch veränderte Sequenz" bleibt bis 128 Tage lang
Video-Link: https://t.me/corona_impftod/30474

"In Dr. Burkhardts Autopsien wurde nachgewiesen, dass eine synthetische, genetisch veränderte Sequenz bis zu  128 Tage lang in Gefäßen gezeigt werden konnte."

Die Sequenz löse pathologische Veränderungen im Körper aus, könne zu Blutgerinnseln ebenso führen wie zu Herz-Entzündungen. Herz-Infarkten. Darüber hinaus wird sie ursächlich in Zusammenhang gebracht mit Schlaganfällen und Krebs. Es passiert schlicht viel Ungewöhnliches, "Dinge, die nicht passieren sollten im Körper."




Autopsie in Augsburg (4R) 8.5.2022: SCHLANGENGIFTimpfung ist URSACHE für schnellen Coronatod:
„Statt Schutz vor – Tod durch COVID-19: Autopsien zeigen Kausalität zwischen “Impfung” und Tod
https://sciencefiles.org/2022/05/07/statt-schutz-vor-tod-durch-covid-19-autopsien-zeigen-kausalitaet-zwischen-impfung-und-tod/
https://t.me/oliverjanich/95882

Autopsien sind eines der besten Mittel, um eine Todesursache zu bestimmen. Umso erstaunlicher ist es, dass Autopsien im Kontext von

Die Universitätsklinik Augsburg und eine Reihe von Medizinern um Rainer Claus, Bruno Märkl und Tina Schaller machen hier seit mehr als einem Jahr eine Ausnahme, denn sie tun das, was sonst kaum jemand tut: Sie führen Autopsien durch. Wir haben in der Vergangenheit bereits darüber berichtet, und zwar hier (https://sciencefiles.org/2021/12/07/belege-fuer-ade-autopsie-ergebnisse-nach-covid-19-impfung-verstorbener-aus-deutschland-studie/) und hier (https://sciencefiles.org/2020/05/25/mers-vergleichbar-augsburger-pathologen-veroffentlichen-beunruhigende-ergebnisse/).

19 Autopsien, die an Ungeimpften durchgeführt wurden, die an COVID-19 verstorben sein sollen, haben die Serie der Autopsien im Jahr 2021 eingeleitet. Im zuletzt in Nature veröffentlichten Beitrag, den wir in diesem Post besprechen, geht es um 16 Autopsien, die an teilweise Geimpften und 13 Autopsien, die an vollständig Geimpften durchgeführt wurden, die vermeintlich an COVID-19 verstorben sind. Vermeintlich deshalb, weil sich bei jeweils einem Verstorbenen aus beiden Gruppen herausgestellt hat, dass COVID-19 nicht die Todesursache war, er vielmehr an Hirnblutung (im einem Fall) bzw. an einem Myokardialinfarkt verstorben ist (im anderen Fall). Beides, Hirnblutungen und Myokardialinfarkt sind bekannte Nebenwirkungen von COVID-19 Impfstoffen / Gentherapien,  (https://sciencefiles.org/2022/05/04/41-schwere-erkrankungen-die-von-covid-19-impfstoffen-verursacht-werden-besprechung-von-106-wissenschaftliche-studien-die-das-belegen/)(…)“




Autopsie in den "USA" 18.5.2022: Mutter (36) stirbt an der SCHLANGENGIFTimpfung mit Herzmuskelentzündung:
(orig. English: Autopsy Reveals Healthy 36-Year-Old Mother Died from Acute Myocarditis Due to Her Covid-19 Immunization)
https://www.thegatewaypundit.com/2022/05/autopsy-reveals-healthy-36-year-old-mother-died-acute-myocarditis-due-covid-19-immunization/
https://t.me/corona_impftod/31293

A healthy 36-year-old mother of two kids died from acute myocarditis, which was likely caused by her Covid-19 vaccination, a post-mortem examination of her body revealed.
Dawn Wooldridge received her first dose of Pfizer Covid-19 vaccine last June 4. After eleven days following her vaccination, she died unexpectedly.
Last June, Mrs. Wooldridge was found dead by her brother after she failed to pick up her five-year-old son from school that day.
After a year of waiting, the autopsy revealed that she died due to an adverse reaction from the Pfizer Covid-19 vaccine.
A family listened in shock today as a pathologist revealed his belief that a mother-of-two died of rare complications from the Pfizer Covid-19 vaccination.
An inquest heard that the unexpected death, which happened 11 days after Mrs Wooldridge’s first Covid jab, was likely caused as a result of the vaccination.The family, including her husband, her brother and sister-in-law, and her step-parents attended the inquest in Reading. The hearing heard how Mrs Wooldridge’s final day had began completely normal. She had dropped her son off at school in the morning, visited a friend for coffee and had spoken to her mother over the phone in the afternoon.
The coroner said that Mrs Wooldridge’s medical records confirmed she received her first Covid-19 jab on June 4. Dr Sukhvinder Ghataura stated that the postmortem showed showed Mrs Wooldridge had been healthy at the time of her death and the toxicology report had found no signs of alcohol or drugs in her system at the time.
The only points noted were inflammation of the heart, fluid in her lungs alongside a small clot on her lungs. These, alongside menstrual irregularity and complaints of pain in her jaw and arm in the days after the vaccine – the pathologist suggested, were linked to myocarditis.
He told the coroner: ‘On the balance of probabilities, she had vaccine-related problems. There is nothing else for me to hang my hat on. It is the most likely reason, in my conclusion. It is more than likely Dawn died in response to the Covid jab.’
Husband Ashley was visibly shocked in the coroner’s room by the change in the pathologist’s perspective.
Speaking on his behalf, Dawn’s brother Stuart Lynch asked the pathologist: ‘Do you think she would still be alive if she hadn’t had the vaccine?’
Dr Ghataura responded: ‘It’s a difficult question but I would say yes. I wish to pass on my condolences to Dawn’s family.’
Concluding the inquest, assistant Coroner Alison McCormick said: ‘Today I heard from Dr Ghataura and during the course of the evidence he expressed a change of view that in the balance of probabilities, it is more likely than not she died from acute myocarditis due to her recent Covid-19 immunisation.
‘I give the narrative conclusion that her death was caused by acute myocarditis, due to recent Covid-19 immunisation. Ashley, you will have something to say to your children to explain why their mother died so tragically.’





Autopsie 4R am 1.6.2022: KEINE neuen Autopsien mehr gemacht?
Wo sind all die Autopsien, mit denen die Rolle von Impfstoffen bei Todesfällen nach Impfungen untersucht werden soll, und warum sind Dr. Schirmacher und seine Kollegen still geworden
https://uncutnews.ch/wo-sind-all-die-autopsien-mit-denen-die-rolle-von-impfstoffen-bei-todesfaellen-nach-impfungen-untersucht-werden-soll-und-warum-sind-dr-schirmacher-und-seine-kollegen-still-geworden/
https://t.me/Impfschaden_Corona_Schweiz/45520
Impfschäden Schweiz Coronaimpfung, [31.05.2022 13:12]
[Forwarded from Uncut-News.ch "Das Original"🇨🇭]

Wenn wir der Frage auf den Grund gehen wollen, ob und inwieweit Impfstoffe zum Tod der Geimpften beitragen, sind Autopsien ein wichtiges Instrument. Wo sind also all die Autopsien, die uns helfen, diese Fragen zu beantworten?

Im Sommer letzten Jahres drängte der Chefpathologe der Universität Heidelberg, Dr. Peter Schirmacher, auf mehr Autopsien von Geimpften. Sein Team hatte gerade 40 Autopsien von Menschen durchgeführt, die innerhalb von zwei Wochen nach der Impfung gestorben waren, und kam zu dem Schluss, dass 30-40 % von ihnen an den Folgen der Impfung starben.

Dr. Schirmacher warnte vor einer hohen Dunkelziffer von Impftoten und beklagte, dass Pathologen die meisten Patienten, die an den Folgen einer Impfung sterben, nicht bemerken. Das Problem sei, dass geimpfte Menschen in der Regel nicht unter klinischer Beobachtung sterben.

Der Arzt, der die Leiche untersucht, stellt keinen Zusammenhang mit der Impfung fest und bescheinigt einen natürlichen Tod, und der Patient wird beerdigt. Oder er bescheinigt eine unklare Todesart und die Staatsanwaltschaft sieht kein Fremdverschulden und gibt die Leiche zur Bestattung frei.

Die Behauptungen von Dr. Schirmacher wurden damals von Wissenschaftlern der Regierung zurückgewiesen, aber er blieb hartnäckig. „Die Kollegen sind definitiv im Unrecht, weil sie diese spezielle Frage nicht kompetent beurteilen können“, sagte er. Er stellte klar, dass er die Impfungen zur Bekämpfung von Covid befürwortet und selbst geimpft ist, aber dass Nutzen und Risiken für jeden Einzelnen abgewogen werden müssen. Er plädierte für „individuelle Schutzabwägungen“ statt einer schnellen Impfung aller.

Auch der Bundesverband Deutscher Pathologen drängte seinerzeit auf mehr Obduktionen von Geimpften. Johannes Friemann, Leiter des Arbeitskreises Obduktion im Verband, sagte, nur so könnten Zusammenhänge zwischen Todesfällen und Impfungen ausgeschlossen oder nachgewiesen werden. Bereits im März 2021 hatte der Verband in einem Brief an Gesundheitsminister Jens Spahn die Landesregierungen aufgefordert, die Gesundheitsämter anzuweisen, Obduktionen vor Ort anzuordnen. Fünf Monate später, im August, blieb dieses Schreiben unbeantwortet.

Nachdem die Medien über seine Äußerungen berichtet hatten, verstummte Dr. Schirmacher merkwürdigerweise. Heute, zehn Monate später, sind keine weiteren Autopsien durch seine Gruppe gemeldet worden, und es sind auch keine weiteren Forderungen nach Autopsien zu hören. Es gibt auch keine Berichte über Autopsien, die speziell an Personen durchgeführt wurden, die kurz nach der Covid-Impfung in anderen Ländern gestorben sind. Die einzige Ausnahme ist die der 15 von Dr. Arne Burkhardt Ende 2021 durchgeführten, die in 14 von 15 Fällen „klare Beweise für eine impfstoffbedingte autoimmunähnliche Pathologie in mehreren Organen“ erbrachten, die aber von allen Gesundheitsbehörden und Mainstream-Medien ignoriert wurden.

Wo sind all die Autopsien, mit denen die Rolle von Impfstoffen bei Todesfällen nach Impfungen untersucht werden soll, und warum sind Dr. Schirmacher und seine Kollegen still geworden, nachdem sie so nachdrücklich auf die Risiken und die Notwendigkeit hingewiesen haben?

Das sieht sehr nach Vertuschung und Verschweigen aus. Wenn das nicht der Fall ist, warum ordnen die Regierungen dann keine Autopsien an, um die Angelegenheit aus der Welt zu schaffen? Was haben sie zu verbergen?





Kriminelles Scholz-Lauterbach-Regime 15.6.2022: gegen Pathologe Peter Schirmacher: Morddrohung!
Der Grund, warum es um den Pathologen, der die Todesfälle durch den Impfstoff untersuchte, so ruhig wurde
https://uncutnews.ch/der-grund-warum-es-um-den-pathologen-der-die-todesfaelle-durch-den-impfstoff-untersuchte-so-ruhig-wurde/)
Impfschäden Schweiz Coronaimpfung, [15.06.2022 17:11]
https://t.me/Impfschaden_Corona_Schweiz/46544
[Forwarded from Uncut-News.ch "Das Original"🇨🇭]

Peter Schirmacher ist Chefpathologe an der Universität Heidelberg. Er ist einer der 100 besten Pathologen der Welt. Der Pathologe führte Autopsien an 40 Personen durch, die innerhalb von zwei Wochen nach der Corona-Impfung gestorben waren. Das Ergebnis seiner Untersuchung: Mindestens 30 bis 40 Prozent waren aufgrund des Impfstoffs gestorben. Es könnten auch 90 Prozent sein, aber mindestens 30 bis 40.

Der Tod nach einer Impfung ist also keine „seltene“ Nebenwirkung, sagte der Technologieunternehmer Steve Kirsch – Erfinder der optischen Maus und von Infoseek, einer der ersten Internet-Suchmaschinen – auf einer Tagung. Warum sollte Schirmacher lügen? Denn er setze seinen Ruf aufs Spiel, so Kirsch.

Er versuchte, den Pathologen anzurufen, konnte ihn aber nicht erreichen. Sechs Monate später erfuhr er, warum Schirmacher ihn nicht zurückgerufen hatte. Sie hatten gedroht, seine Familie zu töten, wenn er über seine Forschungen sprechen würde. Seitdem hat sich Schirmacher ruhig verhalten.

„Das ist der Grund, warum wir nichts mehr von Peter Schirmacher hören“, sagte Kirsch. „So sollte Wissenschaft nicht funktionieren“.

Auch andere Pathologen führten Obduktionen durch, darunter Arne Burkhardt und Walter Lang. Sie kamen zu dem Schluss, dass 70 Prozent der Todesfälle wahrscheinlich durch den Impfstoff verursacht wurden.




Autopsie 27.6.2022: Spike-Protein in Hirn+Herz:
Mann starb nach Booster - Autopsie: Spike-Protein in Gehirn und Herz nachgewiesen!
https://report24.news/mann-starb-nach-booster-autopsie-spike-protein-in-gehirn-und-herz-nachgewiesen/
https://t.me/oliverjanich/100226

Das Fazit dieser neuen Studie ist eindeutig: Die Covid-Impfung birgt sehr wohl die Gefahr sehr schwerer Nebenwirkungen. Anhand des Fallberichtes eines 77-jährigen Parkinson-Patienten wird deutlich, dass durch Autopsien viele Todesfälle nach der Impfung, die auf eine bestehende Vorerkrankung geschoben werden, in einem anderen Licht erscheinen könnten: So stellte sich auch bei dem Senior heraus, dass der Covid-Schuss seinen Tod mitverursacht hat. Er erlitt nach dem Booster Entzündungen sowohl im Gehirn als auch im Herzen. 


Japan mit Autopsie im Tierversuch von Pfizer 27.6.2022: Nanopartikel konzentrierten sich in den Organen der Tiere
Impfschäden Schweiz Coronaimpfung, [27.06.2022 11:27]
https://t.me/Impfschaden_Corona_Schweiz/47657
[Forwarded from Freie Medien]

Tierversuche mit BioNTech-Impfstoff zeigen gefährliche Konzentration von Nano-Partikeln in Organen‼️

"In Japan hat die Zulassungsbehörde auf Anfrage nach dem Informationsfreiheitsgesetz die bisher nicht zugänglichen Tierversuchsdaten zum mRNA-Impfstoff von Pfizer/BioNTech veröffentlicht.

Aus den Daten geht hervor, dass die mRNA-Nanopartikel nicht wie von den Herstellern behauptet an der Einstichstelle im Muskelgewebe verbleiben, sondern in vielen Fällen hochkonzentriert in die Organe gelangen. RT DE fragte das Gesundheitsministerium auf der Bundespressekonferenz nach dessen Bewertung."  🔗 Quelle: RT

 (https://www.youtube.com/watch?v=tIqccpEn0b0)Freie Medien Kanal beitreten
👉 t.me/FreieMedienTV




Autopsien in den "USA" 18.7.2022: Todesursache bei 2x geimpften Jugendlichen: Myokarditis oder "Katecholamin-vermittelten (toxischen) Stress-Kardiomyopathie"
https://uncutnews.ch/brisante-studie-ergebnisse-der-autopsien-von-jugendlichen-die-nach-der-zweiten-dosis-des-impfstoffs-covid-19-gestorben-sind/
https://t.me/Impfschaden_Corona_Schweiz/49190
Impfschäden Schweiz Coronaimpfung, [18.07.2022 19:20]
[Forwarded from Uncut-News.ch "Das Original"🇨🇭]

Dramatisches Bild – das Blut toter Kinder unter dem Mikroskop (weitere Bilder in dem Dokument unter dem obigen Link):

Autopsien in den "USA" 18.7.2022:
                        Todesursache bei 2x geimpften Jugendlichen:
                        Myokarditis oder "Katecholamin-vermittelten
                        (toxischen) Stress-Kardiomyopathie"

Brisante Studie: Ergebnisse der Autopsien von Jugendlichen, die nach der zweiten Dosis des Impfstoffs COVID-19 gestorben sind.

Eine Gruppe amerikanischer Pathologen, James R. Gill, Randy Tashjian und Emily Duncanson, hat eine Studie durchgeführt , in der sie Autopsiedaten von zwei Teenagern vorlegten, die nach der zweiten Dosis des Impfstoffs COVID-19 gestorben waren. Die Studie erschien in Archives of Pathology & Laboratory Medicine, einer vom College of American Pathologists herausgegebenen, monatlich erscheinenden und von Experten begutachteten internationalen Fachzeitschrift, die von praktizierenden Pathologen in den USA am häufigsten gelesen wird.

Die Untersuchung ergab, dass sich die Herzläsionen, die die beiden jungen Männer nach der Anti-COVID-19-Impfung erlitten, von einer typischen Myokarditis unterscheiden, wobei der Zytokinsturm eine auslösende Rolle spielt. Die beiden Teenager hatten auch keine früheren gesundheitlichen Probleme.

In Anbetracht der zunehmenden Daten aus offiziellen Quellen über den beispiellosen Anstieg der Sterblichkeitsraten weltweit – die übermäßige Zahl der (ungeklärten) Todesfälle, die nicht mit Covid zusammenhängen -, die übermäßige Zunahme von Herzkrankheiten und Krebserkrankungen sind solche Studien und Untersuchungen unerlässlich, und es ist die Pflicht der Ärzte und der zugelassenen Einrichtungen, sie durchzuführen und den Ernst der Lage nicht zu beschönigen. Die Beweise können nicht mehr geleugnet werden.

Wir haben für die Leser von ActiveNews einige wichtige Auszüge aus der Studie übersetzt:

Zusammenfassung:

Hintergrund – Bei Jugendlichen wurde nach Verabreichung der zweiten Dosis des Coronavirus-mRNA-Impfstoffs 2019 (COVID-19) eine Myokarditis klinisch diagnostiziert.

Zielsetzung – Untersuchung der Ergebnisse der mikroskopischen Untersuchung von Herzproblemen bei jugendlichen Todesfällen kurz nach Verabreichung der zweiten Dosis des Anti-COVID-19-Impfstoffs von Pfizer-BioNTech, um festzustellen, ob die in diesen Fällen beschriebene „Myokarditis“ das typische histopathologische Erscheinungsbild einer Myokarditis aufweist.

Plan – Klinische Untersuchung und Autopsie von zwei Jugendlichen, die kurz nach der Verabreichung der zweiten Pfizer-BioNTech Anti-COVID-19-Dosis starben.

Ergebnisse – Die mikroskopische Untersuchung ergab Merkmale, die an eine Katecholamin-induzierte Läsion und nicht an eine typische Myokarditis-Pathologie erinnern.

Schlussfolgerungen – Die in diesen Herzen nach der Impfung beobachtete Myokardläsion unterscheidet sich von einer typischen Myokarditis und ähnelt eher einer Katecholamin-vermittelten (toxischen) Stress-Kardiomyopathie. Das Wissen, dass sich diese Fälle von der typischen Myokarditis unterscheiden und dass der Zytokinsturm eine bekannte Katecholamin-Reaktionsschleife aufweist, kann bei der Erkennung und Therapie helfen.

Nach der zweiten Dosis des Anti-COVID-19-Impfstoffs von Pfizer-BioNTech wurden Fälle von Myokarditis bei Jugendlichen (insbesondere bei Jungen) gemeldet.[1-7] Da bei klinisch stabilen Patienten nur selten Herzbiopsien durchgeführt werden, ist die Myokardpathologie nicht eindeutig geklärt.[8] Bei Todesfällen, die durch das schwere akute respiratorische Syndrom von SARS-CoV-2 verursacht wurden, wird bei der Autopsie selten eine Myokarditis diagnostiziert.[9,10] Auch bei Patienten mit schwerem akutem respiratorischen Syndrom von SARS-CoV-2 wird bei der Autopsie selten eine Myokarditis diagnostiziert.

Nach der Impfung mit dem BNT162b2-Impfstoff wurde ein – wenn auch geringer – Anstieg der Inzidenz von Myokarditis nachgewiesen, insbesondere nach der zweiten Dosis bei jungen Männern[11]. Außerdem wurde festgestellt, dass die erste Woche nach der zweiten Impfdosis das Hauptrisiko darstellt.

Wir berichten über die Autopsieergebnisse, einschließlich der Befunde aus der mikroskopischen Analyse von Herzmuskelschäden bei den beiden heranwachsenden Jungen, die innerhalb der ersten Woche nach Erhalt der zweiten Dosis von Pfizer-BioNTech COVID-19 starben. Die mikroskopische Analyse zeigt, dass es sich nicht um Veränderungen handelt, die bei einer typischen Myokarditis auftreten. Dies deutet auf eine Rolle für den Zytokinsturm hin, der auftreten kann und eine übermäßige Entzündungsreaktion sowie eine Rückkopplungsschleife zwischen Katecholaminen und Zytokinen auslöst[12].

Das Connecticut Office of the Chief Medical Examiner (OCME) und das Michigan Institute of Forensic Medicine untersuchen alle plötzlichen und unnatürlichen Todesfälle in ihrem Zuständigkeitsbereich (…) Es wurden forensische Standardautopsien, einschließlich mikroskopischer Untersuchungen und toxikologischer Tests, durchgeführt (…).

ERGEBNISSE

Die Autopsieergebnisse der beiden Jugendlichen, die 3 und 4 Tage nach Erhalt der zweiten Dosis des COVID-19-Impfstoffs von Pfizer-BioNTech tot in ihren Betten aufgefunden wurden, werden vorgestellt (Tabelle 1). Beide Jungen wurden zu Hause ohne Wiederbelebungsversuche für tot erklärt.

Jugendlicher A klagte über Kopfschmerzen und Magenbeschwerden, fühlte sich aber am dritten Tag nach der Impfung besser. Es gab keine Anamnese früherer medizinischer Probleme (nahm während des Schuljahres Amphetamin/Dextroamphetamin wegen einer Aufmerksamkeitsdefizit-Hyperaktivitätsstörung ein, nahm aber derzeit [diese Medikamente] nicht) oder eine frühere SARS-COV-2-Infektion.

Der Jugendliche B hatte keine Vorerkrankungen, keine früheren gesundheitlichen Probleme und keine frühere SARS-COV-2-Infektion. Keiner der Jungen klagte über Fieber, Brustschmerzen, Herzklopfen oder Atemnot. Die Autopsien ergaben nichts Ungewöhnliches, mit Ausnahme von Fettleibigkeit bei einem Teenager und einer Herzerkrankung (Abbildungen 1-7 und ergänzende Abbildungen 1-4 [zusätzliche digitale Inhalte finden Sie am Ende des Artikels]). Bei Jugendlichem A wurde eine Myokardfibrose und bei Jugendlichem B eine Herzhypertrophie festgestellt. Es gab keinen Hautausschlag oder Lymphadenopathie.

Analyse

Die Myokarditis ist eine entzündliche Erkrankung des Herzmuskels, die isoliert oder als Teil einer immunvermittelten Multiorgan-/Systemerkrankung oder als Reaktion auf exogene/endogene Substanzen auftreten kann.Die Ursachen sind vielfältig und umfassen infektiöse und nicht-infektiöse Ursachen. Zu den nicht-infektiösen Ursachen gehören immunologische/autoimmune Ursachen (Autoantigene, Assoziation mit immunvermittelten Krankheiten, Alloantigene und Allergene), Medikamente/toxische Substanzen (z. B. Überempfindlichkeit oder direkte toxische Wirkungen) und andere Ursachen (z. B. Strahlung, Insektenstiche, Schlangenbisse)[13] Die lymphozytäre Myokarditis ist der häufigste histologische Subtyp, der durch ein entzündliches Myokardinfiltrat gekennzeichnet ist, das in der Regel mononukleäre Zellen umfasst. In der akuten/aktiven Phase geht sie in der Regel mit einer Myozytenschädigung/Nekrose einher[13]. Obwohl sich die Kriterien weiterentwickeln, verlangen die Dallas-Kriterien „entzündliche Myokardinfiltrate mit Nekrose und/oder Degeneration der angrenzenden Myozyten, was nicht typisch für ischämische Schäden im Zusammenhang mit der koronaren Herzkrankheit ist“[14-16].

Die toxische Myokarditis ist eine ätiologische Klassifizierung, die eine direkte Myokardschädigung durch verschiedene Medikamente oder Substanzen beinhaltet[13,17,18] Die toxische Myokarditis weist in der Regel auf entzündliche Stadien einer Katecholamin-induzierten Myokardschädigung hin. Die toxische Wirkung von Katecholaminen auf das Herz wurde erstmals bei Patienten mit Phäochromozytom festgestellt[19-21].

Beide Jugendlichen hatten ähnliche Krankheitsbilder ohne offensichtliche kardiale Symptome. Ihre Histopathologie weist keine typische Myokarditis auf. In diesen Fällen sind lymphozytäre Infiltrate (oder Riesenzellen) mit Nekrose der angrenzenden Myozyten zu sehen; Veränderungen wie hypereosinophile Myozyten und Kontraktionsbänder fehlen. In diesen beiden Fällen nach der Impfung treten Bereiche mit Kontraktionsbändern und hypereosinophilen Myozyten auf, die sich von der Entzündung unterscheiden. Diese Art von Läsion ähnelt vielmehr dem Myokard von Patienten, bei denen klinisch eine Takotsubo-, toxische oder „Stress“-Kardiomyopathie diagnostiziert wird. Dabei handelt es sich um eine vorübergehende Myokardläsion, die sich bei Patienten mit extremen physischen, chemischen oder manchmal auch emotionalen Stressfaktoren entwickeln kann[24-31].

Die Stresskardiomyopathie ist ein Katecholamin-vermittelter ischämischer Prozess, der bei hohen Katecholaminspiegeln ohne koronare Herzkrankheit oder Spasmen auftritt[17,31] Sie wird auch als „neurogene Myokardverletzung“ und „Syndrom des gebrochenen Herzens“ bezeichnet[18,24-36].

Wir vermuten, dass die akuten kardialen Veränderungen, die bei diesen beiden Jugendlichen beobachtet wurden, das Ergebnis von Epinephrin-vermittelten Wirkungen auf die Kardiomyozyten sind. Diese Entwicklungen ermöglichen im Allgemeinen eine günstige Prognose, allerdings können einige Patienten an den zugrunde liegenden (nicht kardialen) Ursachen (z. B. Subarachnoidalblutung) sterben.

Diese Reaktion nach der Impfung könnte eine übertriebene Immunreaktion darstellen, und die Schädigung des Herzmuskels wird durch Immunmechanismen vermittelt, die denen ähnlich sind, die im Zusammenhang mit SARS-COV-2 und Zytokinstürmen beim Multisystem-Entzündungssyndrom (MIS-C) beschrieben wurden. MIS-C ist eine seltene Systemerkrankung, die sich als anhaltendes Fieber und extreme Entzündung nach einer Exposition gegenüber SARSCoV-2 manifestiert. Die betroffenen Kinder haben anhaltendes Fieber und können unter akuten Bauchschmerzen, begleitet von Durchfall oder Erbrechen, Muskelschmerzen/-übelkeit und Hypotonie leiden. Weitere Symptome sind Hautausschlag, vergrößerte Lymphknoten und Schwellungen.

Trotz einer molekularen Untersuchung ist die Ätiologie der Fibrose im Fall A unklar. Es ist möglich, dass der Prozess mit der ersten Impfstoffdosis begann und dass die anfänglichen Auswirkungen auf den Herzmuskel mit der Zeit abheilten. Es ist möglich, dass die zweite Dosis den Prozess wieder in Gang gesetzt hat. Man könnte eine gewisse Narbenbildung/Verbesserung nach einigen Wochen erwarten, obwohl die Narbenbildung im Fall A besser ausgebildet zu sein scheint als in dem dreiwöchigen Intervall zwischen den Impfdosen. (…)

Unabhängig von der Ätiologie der Fibrose hat das Ausmaß der Vernarbung selbst eine potenziell arrhythmogene Wirkung und kann ein Auslöser für eine akute Myokardschädigung nach einer Impfung sein. In ähnlicher Weise könnte die Herzhypertrophie im Fall B das Herz anfälliger für Herzrhythmusstörungen gemacht haben. Der springende Punkt ist, dass, da diese Teenager plötzlich und unerwartet im Schlaf ohne Wiederbelebung starben, wenn die Arrhythmie durch Myokardvernarbung (Junge A) oder Kardiomegalie [vergrößertes Herz] (Junge B) verursacht wurde, eine fulminante, allgemeine Myokardschädigung nicht zu erwarten war. In diesen beiden klinischen Fällen ist es plausibel, dass die Ätiologie der akuten Myokardschädigung der primäre Faktor ist und nicht eine sekundäre Folge des Todeskampfes oder des Zustands nach der Wiederbelebung.

Kürzlich wurden Fälle von zwei Erwachsenen (im Alter von 42 und 45 Jahren) mit histologisch diagnostizierter „Myokarditis“ (in einem Fall bei der Autopsie und im anderen Fall durch Biopsie) nach SARS-COV-2 mRNA-Impfstoffen gemeldet [41]. Im ersten Fall trat die Läsion 10 Tage nach Erhalt der ersten Dosis des Impfstoffs COVID-19 von Pfizer-BioNTech auf, im zweiten Fall 14 Tage nach Erhalt der zweiten Dosis des Impfstoffs mRNA-1273 (Moderna). Histologisch wurden beide [Läsionen] als [Fälle von] „fulminanter“ Myokarditis beschrieben, mit „multifokalen Kardiomyozytenläsionen in Verbindung mit gemischten entzündlichen Infiltraten“. Zusätzlich zu den Myozytennekrosen, die mit entzündlichen Infiltraten einhergehen, zeigen die Mikrofotografien verschiedene ischämische Veränderungen der Entzündung, ähnlich wie bei uns.

Der Zytokinsturm wurde als übermäßige und unkontrollierte Entzündungsreaktion beschrieben, und es besteht eine Rückkopplungsschleife zwischen Katecholaminen und Zytokinen[12]. Zu den klinischen Komplikationen können Herzschäden, Atemnot und Hyperkoagulation gehören. [42] Die Myokardläsionen, die bei diesen Post-Impfknoten zu sehen sind, haben ein ähnliches histologisches Erscheinungsbild wie die Katecholamin-vermittelte Stress-Kardiomyopathie und die schwere SARS-COV-2-Infektion, einschließlich der „Myokarditis“, die mit dem Syndrom der Zytokinfreisetzung einhergeht.38] Die Erkenntnis, dass sich diese Fälle von der typischen Myokarditis unterscheiden und dass der Zytokinsturm eine bekannte Katecholamin-Rückkopplungsschleife aufweist, könnte bei der Früherkennung, Diagnose und Therapie hilfreich sein.

Referenzen und Verweise auf Studien finden Sie im PDF-Dokument:

Übersetzung von Irina Bazon




Enbalsamierer Hirschmann 26.7.2022: Neue Daten über Blutgerinnsel:
Dr. Jane Ruby: Zwei neue verblüffende Entdeckungen in Blutgerinnseln von COVID-Geimpften
https://uncutnews.ch/dr-jane-ruby-zwei-neue-verblueffende-entdeckungen-in-blutgerinnseln-von-covid-geimpften/

https://t.me/Impfschaden_Corona_Schweiz/49660
Impfschäden Schweiz Coronaimpfung, [26.07.2022 17:18]
[Forwarded from Uncut-News.ch "Das Original"🇨🇭]

Quelle: Dr. Jane Ruby: Two new stunning discoveries found in blood clots from the COVID vaccinated – Brighteon.TV

Video-Link auf Brighton: https://www.brighteon.com/f2735f15-41d9-4bb0-aa83-98625a38d4a4
ebenso auf: https://ac.news/07-18-2022-live-with-dr-jane-ruby-ft-richard-hirschman-video-57-min/



Die Ärztin und Autorin Dr. Jane Ruby teilte in der Sendung „Live with Dr. Jane Ruby“ auf Brighteon.TV am 18. Juli weitere bahnbrechende Erkenntnisse des zertifizierten Einbalsamierers Richard Hirschman mit.

Die erfahrene Medizinerin sagte, dass es zwei neue verblüffende Entdeckungen im Zusammenhang mit den weißen faserigen Gerinnseln gibt, die Hirschman in den Leichen von geimpften Personen gefunden hat.

Ruby sagte auch, dass Hirschman nachweisen konnte, dass die meisten der Verstorbenen mit dem Impfstoff gegen COVID-19 geimpft worden waren.

Die weißen faserigen Gerinnsel wurden aus allen wichtigen Arterien und Venen in Oberschenkel, Leiste, Armen und Hals gezogen.

Weißes faseriges Gerinnsel mit klobigen Kugelsäcken und Mikroverklumpung

Ruby, die auch Expertin für die Entwicklung von Arzneimitteln ist, zeigte den Zuhörern eine von Hirschmans neuesten Entdeckungen – ein weißes faseriges Gerinnsel mit klobigen Kugelsäcken. Sie wies darauf hin, dass diese möglicherweise intermittierend gewachsen sind und fast wie Auswüchse des ursprünglichen weißen faserigen Gerinnsels sind.

Hirschman sagte, die klobigen Kugelsäcke, die alle von geimpften Personen stammten, erinnerten ihn an Spinneneier, die von einem Spinnennetz bedeckt sind.

„Und man kann sehen, wie sich das weiße faserige Zeug zu dieser kleinen Kugel zusammenballt, die wie eine kleine Weintraube aussieht. Aber die Sache ist die, dass ich sogar am Anfang oft bemerkt habe, dass an dem einen oder anderen Ende etwas Blut an dem weißen Faserklumpen haftet, den ich habe. Und manchmal läuft es auch entlang des weißen Fasermaterials“, sagte Hirschman.

Ruby erwähnte, dass eine 1.500-fache Vergrößerung der Blutgerinnsel Dinge gezeigt hat, die Teil der sich selbst zusammensetzenden Nanopartikel sind. Sie wies darauf hin, dass Mike Adams, der Gründer von Brighteon.TV, sagte, dass erste Analysen zeigten, dass die weißen Gerinnsel kein organisches Material, Protein, Amyloid, Fibrin oder Cholesterin sind. Hirschman bestätigte auch, dass das seltsame weiße Zeug in den Blutgerinnseln nicht normal ist.

Der zertifizierte Einbalsamierer sprach auch über Mikrogerinnsel und sagte, dass die schwarzen Flecken, die auf dem von Ruby gezeigten Bild und Video zu sehen sind, Beispiele für Mikrogerinnsel sind. Ein Radiologe aus Michigan habe ihm gesagt, dass die Mikrogerinnsel sehr besorgniserregend seien, weil sie durch den Körper fließen und Gefäße verstopfen könnten, so dass die Organe langsam nicht mehr mit den benötigten Nährstoffen versorgt würden.

Hirschman sagte, Mikrogerinnsel seien fast wie feiner Sand, Strandsand oder Pulver, die sich im Blut befinden und die langsam andere Beschwerden und Krankheiten verursachen, die nicht diagnostiziert werden.

Laut Ruby ist dies eine weitere Situation, in der eine chemische Analyse erforderlich ist. Sie stellte fest, dass es sich bei diesen Mikroklumpen um eine Art Graphen oder ein anderes Material handeln könnte, das sich selbst zusammensetzt und den Körper zwingt, es herzustellen.

Millionen oder Milliarden dieser Mikroklumpen, die im Gehirn, im Herzen oder in der Lunge einer Person zirkulieren, sind sehr gefährlich, sagte sie. Hirschman stimmte ihr zu und fügte hinzu, dass diese Mikroklumpen aneinander stoßen und größere Klumpen bilden könnten.

Sehen Sie sich die Folge vom 18. Juli von „Live with Dr. Jane Ruby“ unten an. Neue Episoden von „Live with Dr. Jane Ruby“ sind jeden Montag um 19 Uhr und jeden Samstag um 15 Uhr auf Brighteon.TV zu sehen.





Autopsie Region Offenburg: Kein Fremdverschulden: 24-Jähriger im Gifizsee bei Badeunfall gestorben
https://www.baden.fm/nachrichten/kein-fremdverschulden-24-jaehriger-im-gifizsee-bei-badeunfall-gestorben-1053559/
https://t.me/ploetzlich_und_unerwartet/2757
Der Mann konnte nur noch leblos aus dem See geborgen werden …

Nach dem Tod eines 24-jährigen Mannes im Gifizsee in Offenburg ist dessen Leiche am Mittwoch (10.08.2022) obduziert worden. Das Ergebnis: der junge Mann ist wie vermutet bei einem Badeunfall gestorben. Es gibt keine Anhaltspunkte für ein Fremdverschulden. Laut Polizei ist noch unklar, ob der Mann schwimmen konnte. Am vergangenen Freitag  (05.08.2022) hatten Rettungskräfte mit einem Großaufgebot stundenlang nach dem 24-Jährigen gesucht. Zusammen mit einem Begleiter soll er sich schon in der Nacht davor auf der Halbinsel am Gifizsee aufgehalten haben. Dabei war er angeblich mehrmals im See baden und kam anschließend wieder an Land.  Bei der Suche nach ihm waren Beamte des Polizeireviers Offenburg und der Wasserschutzpolizei, die DLRG, der Rettungsdienst, die Feuerwehr sowie ein Polizei- und ein Rettungshubschrauber im Einsatz. Taucher konnten den vermissten Mann schließlich nur noch leblos aus dem Gifizsee bergen. (rg)







Einbalsamierer berichtet 20.8.2022: Die weissen Faserblutgerinnsel setzen sich selber zusammen:
SHOCKING: White Embalmer Clots Are Self Assembling Circuits
Video-Link: https://rumble.com/v1glsch-live-7pm-shocking-white-embalmer-clots-are-self-assembling-circuits.html
https://t.me/Impfschaden_Corona_Schweiz/51258

Welcome to the Dr. Jane Ruby Show –. The results are in…Board certified embalmer and funeral director, Richard Hirschman’s bizarre and mysterious white clots pulled from sudden death in C
Impfschäden Schweiz Coronaimpfung, [20.08.2022 09:15]
[Forwarded from Dr Jane Ruby (Dr Jane Ruby)]





Autopsie 26.8.2022: Mann (77, Parkinson) 3x geimpft+nach 3 Wochen tot: Autopsie findet Herzentzündung und Spike-Proteine im Herz+Hirngewebe
Impfschäden Schweiz Coronaimpfung, [26.08.2022 16:54]
https://t.me/Impfschaden_Corona_Schweiz/51833
[Forwarded from 🇨🇭 Attila der Kluge 🇨🇭]
[ Photo ]
⚠️Tod durch Spikeprotein im Hirngewebe!
77-Jähriger Patient (Vorerkrankung Parkinson) erhält AstraZeneca und 2 mRNA-Impfstoffe gegen Covid und verstirbt 3 Wochen nach der letzten Impfung. In der - von den Angehörigen eingeforderten - Autopsie fand sich Spike-Protein im entzündeten Herz- und Hirngewebe.
Die Herkunft des Spike-Proteins von einer Covid-Infektion konnte wegen fehlender Nukleokapsid-Antikörper ausgeschlossen werden - es handelt sich also um Spike-Protein, dessen Bildung durch die Impfung(en) induziert wurde.
🔗 https://t.ly/o5e3
Abonniere meinen Kanal
👉 t.me/mrpcr




Kindermord durch SCHLANGENGIFTimpfung in Italien 30.8.2022: Giulia (12) 2x geimpft starb wenige Stunden danach - und unvollständige Autopsie!
Kerngesundes Mädchen starb nur Stunden nach Impfung: Trauernde Mutter kämpft für die Wahrheit
https://report24.news/kerngesundes-maedchen-starb-nur-stunden-nach-impfung-trauernde-mutter-kaempft-fuer-die-wahrheit/
https://t.me/Impfschaden_Corona_Schweiz/52157
Impfschäden Schweiz Coronaimpfung, [30.08.2022 14:30]

Ihre Tochter gab dem Impfdruck nach - doch sie zahlte mit dem Leben. Die trauernde Mutter will nun andere vor diesem Schicksal bewahren.

Oksana N. machte die Zustimmung zur Covid-19-Impfung ihrer Tochter von deren Gesundheit abhängig. Die Ergebnisse der medizinischen Untersuchungen waren klar: Giulia fehlte nichts, sie war kerngesund. Wenige Stunden nach Verabreichung der zweiten Injektion verstarb sie. Ihre Mutter versprach, um die Wahrheit zu kämpfen. Damit nicht auch andere ihren Wunsch nach Freiheit mit dem Leben bezahlen.

Giulia wollte immer frei sein. Sie litt so stark unter dem Lockdown, dass sogar eine Psychologin konsultiert wurde. Auch Freunde und Klassenkameraden konnten dem Druck nicht standhalten. Ohne Impfung gegen Covid-19 war kein soziales Leben mehr möglich, sodass sie schließlich zustimmten. Mutter Oksana spricht von Nötigung. Davon, dass der Staat zur Verantwortung gezogen werden muss. Die Zustimmung zur Impfung ihrer Tochter gab sie erst nach umfassenden medizinischen Tests: „Bevor ich jedoch die Einwilligung unterschrieb, habe ich ihr gesagt: ‘Ich werde die Einwilligung niemals unterschreiben, bis ich mir über deine Gesundheit vollkommen sicher bin.’“ Die Befunde waren eindeutig. Giulia war in jeder Hinsicht kerngesund. Wenige Stunden nach ihrer zweiten Pfizer-Dosis war sie tot.

„Ich will die Wahrheit für meine Tochter“

Die Ergebnisse der Autopsie waren unbefriedigend. Vieles wurde nicht untersucht, nicht gesagt. Deswegen, betont Oksana, ist ihr Kampf noch nicht zu Ende. Sie will weitermachen, bis die Wahrheit ans Licht gekommen ist. Dieses Versprechen gab sie ihrer Tochter an jenem bestimmten Tag: „Was mir passiert ist mit Giulia, darf keinem anderen passieren. Ich habe den ultimativen Preis mit dem Leben meiner Tochter bezahlt, die nicht mehr da ist. Und diese Dinge dürfen keinem anderen passieren.“ Sie wird weiterhin ihre Stimme erheben, um Zeugnis abzulegen. Zu den Menschen spricht sie frei und ohne vorbereiteten Text, direkt aus ihrem Herzen. Die Zuhörer sollen – und werden – daraus ihre eigenen Schlüsse ziehen.





Einbalsamierer in Alabama ("USA") 5.9.2022: Gummiartige Gerinnsel nach Impfung: Einbalsamierer Hirschmann hat nun schon über 100 Fälle:
Nie zuvor gesehen: Seit der Einführung der Covid-Impfstoffe finden Einbalsamierer lange, gummiartige Gerinnsel in Leichen
https://uncutnews.ch/nie-zuvor-gesehen-seit-der-einfuehrung-der-covid-impfstoffe-finden-einbalsamierer-lange-gummiartige-gerinnsel-in-leichen/
https://t.me/Impfschaden_Corona_Schweiz/52608
Video-Link auf YouTube: https://www.youtube.com/watch?v=rdi32RtcmGI
Video-Link auf Bitchute: https://www.bitchute.com/video/gdIxbKKDWBYo/

Quelle: ‘Never Seen’ Before: Embalmers Finding Long, Rubbery Clots Inside Corpses Since Implementation of Covid Vaccines

Einbalsamierer in Alabama
                          ("USA") 5.9.2022: Gummiartige
                          Gerinnsel nach Impfung: Einbalsamierer
                          Hirschmann hat nun schon über 100 Fälle: Nie
                          zuvor gesehen: Seit der Einführung der
                          Covid-Impfstoffe finden Einbalsamierer lange,
                          gummiartige Gerinnsel in Leichen
Einbalsamierer in Alabama ("USA") 5.9.2022: Gummiartige Gerinnsel nach Impfung: Einbalsamierer Hirschmann hat nun schon über 100 Fälle: Nie zuvor gesehen: Seit der Einführung der Covid-Impfstoffe finden Einbalsamierer lange, gummiartige Gerinnsel in Leichen



Einbalsamierer finden seit der Einführung der Covid-Impfstoffe lange, gummiartige Klumpen im Inneren von Leichen. Nach Angaben eines Einbalsamierers aus Alabama, der seit über 20 Jahren Leichen behandelt, tauchten die seltsamen faserigen Gerinnsel im Mai 2021 auf, kurz nachdem die Covid-Impfstoffe erstmals der Öffentlichkeit zugänglich gemacht wurden.

„Erst im Mai oder Juni letzten Jahres begann ich zu realisieren, ‚etwas ist wirklich anders mit dem Blut‘, und später im September machte ich mein erstes Foto, da ich nicht mit einem einzigen Beweisstück daher kommen konnte, denn was, wenn es nur ein Zufall ist?“ sagte Richard Hirschmann, Einbalsamierer aus Alabama, gegenüber 1819 News. „Jetzt habe ich Beweise gesammelt und ich habe Bilder von über 100 Fällen. Und es hört nicht auf. Es verlangsamt sich nicht.“

Richard Hirschmann wurde vor 6 Monaten zu seinen Erkenntnissen interviewt.

Die Epoch Times sprach mit Richard Hirschmann und anderen Einbalsamierern, die alle ab 2021 die gleichen gummiartigen Gerinnsel in Leichen dokumentiert haben.

„In 20 Jahren als Einbalsamierer habe ich diese weißen faserigen Strukturen im Blut noch nie gesehen, und andere in meinem Bereich auch nicht. Im vergangenen Jahr habe ich diese seltsamen Gerinnsel bei vielen verschiedenen Personen gesehen, und es scheint keine Rolle zu spielen, woran sie sterben, sie haben oft ähnliche Substanzen in ihrem Blut. Das macht mich sehr besorgt, denn wenn etwas im Blut nicht stimmt, stellt sich die Frage: Verursacht etwas den vorzeitigen Tod von Menschen?“ sagte Hirschmann der Epoch Times.

Hirschmann sagte, er habe festgestellt, dass sich das Blut im Körper der Menschen in den letzten zwei Jahren verändert habe.

Herr Hirschmann sagte, er könne nicht bestätigen, dass die Blutgerinnsel durch die Covid-Impfstoffe verursacht werden, aber er hoffe, dass die Gerinnsel untersucht werden.

Die Epoch Times berichtete:

Mehrere Einbalsamierer im ganzen Land haben viele große und manchmal sehr lange „faserige“ und gummiartige Klumpen in den Leichen, die sie behandeln, beobachtet und sprechen über ihre Erkenntnisse.

Zahlreiche Einbalsamierer aus verschiedenen Bundesstaaten bestätigten gegenüber der Epoch Times, dass sie diese seltsamen Klumpen entweder ab 2020 oder ab 2021 beobachten.

Es ist noch nicht bekannt, ob die Ursache für das neue Gerinnungsphänomen COVID-19, Impfstoffe, beides oder etwas anderes ist.

Die Epoch Times hat Videos und Fotos von den anomalen Gerinnseln erhalten, konnte sie aber aufgrund des Ausmaßes der Blutung nicht hochladen.

Mike Adams, der in Texas ein nach ISO-17025 akkreditiertes Labor betreibt, analysierte die Gerinnsel im August und stellte fest, dass ihnen Eisen, Kalium, Magnesium und Zink fehlten.

Adams‘ Labor verwendet die Massenspektrometrie mit induktiv gekoppeltem Plasma (ICP-MS), Triple-Quadrupol-Massenspektrometer und Flüssigchromatographie-Massenspektrometrie und testet normalerweise Lebensmittel auf Metalle, Pestizide und Glyphosat.

„Wir haben eines der Gerinnsel des Einbalsamierers Richard Hirschman mittels ICP-MS getestet. Außerdem haben wir nebeneinander lebendes menschliches Blut von einer ungeimpften Person getestet“, so Adams gegenüber The Epoch Times.

Er fand heraus, dass den Gerinnseln wichtige Elemente fehlen, die in gesundem menschlichem Blut vorhanden sind, wie Eisen, Kalium und Magnesium, was darauf hindeutet, dass sie aus etwas anderem als Blut gebildet werden.

Adams schließt sich mit weiteren Ärzten zusammen und plant, aus eigener Tasche in Geräte zu investieren, um die Zusammensetzung und die wahrscheinliche Ursache der Gerinnsel weiter zu bestimmen.

Die fadenförmigen Strukturen sind unterschiedlich groß, aber die längsten können so lang sein wie ein menschliches Bein und die dicksten so dick wie ein kleiner Finger.



Autopsie ohne Ort (wahrsch. "USA") 5.10.2022: Spike-Protein ist fast überall auffindbar:
Booster from Hell: 76jähriger stirbt an den Folgen der COVID-19 Gentherapie – Autopsie findet das Spike Protein fast überall
https://sciencefiles.org/2022/10/05/booster-from-hell-76jaehriger-stirbt-an-den-folgen-der-covid-19-gentherapie-autopsie-findet-das-spike-protein-fast-ueberall/
https://t.me/Impfschaden_Corona_Schweiz/55047
Impfschäden Schweiz Coronaimpfung, [05.10.2022 13:22]
[Forwarded from ScienceFiles (MIchael Klein)]

Heute berichten wir den Fall eines 76jährigen, der eine Vorerkrankung an Parkinson mitgebracht hat, bei dem durch eine Autopsie zudem Arteriosklerose festgestellt wurde, der offiziell an einer Pneumonie verstorben ist, eine Pneumonie, zu der er ohne die tatkräftige Mithilfe der Spritzbrühe von Pfizer/Biontech vermutlich nie gelangt wäre.

Der Senior war zu Lebzeiten hart im nehmen. Schon nach der ersten angeblichen “Schutzimpfung” gegen COVID-19, im Mai 2021 mit ChAdOx1 / Spikevax von AstraZeneca hatte der alte Mann Herzprobleme, die eine ärztliche Behandlung notwendig machen. Dessen ungeachtet gab es den zweiten “Piks”, wie diejenigen, von denen wir nach wie vor nicht wissen, ob sie dumm, bösartig oder beides sind, sagen. Dieses Mal mit der Spritzbrühe von Pfizer/Biontech. Dieses Mal mit noch erheblicheren Nebenwirkungen: Seine Familie berichtet offenkundige Verhaltensveränderungen. Der alte Mann wird ängstlich, will nicht mehr angefasst werden, zieht sich zurück. Die bislang eher gemäßigten Symptome seiner Erkrankung an Parkinson verschlimmern sich dramatisch. Seine Motorik leidet erheblich, und er ist nun auf einen Rollstuhl angewiesen, kann sich nicht mehr selbständig bewegen. Obwohl er sich von diesen Nebenwirkungen nicht mehr erholt, wird ihm ein Booster verpasst, einmal mehr wird sein Körper vor das nicht lösbare Problem: BNT162b2 gestellt. Der Erfolg stellt sich diess Mal ein. Er schafft es noch zwei Wochen über seine dritte Impfung hinaus bis in den Januar 2022 und bricht dann urplötzlich und während des Essens zusammen. Er zeigt keinerlei sonstige Symptome. Er wird still und fällt um. Davon erholt er sich mehr oder weniger, bis er dann eine Woche später abermals während dem Essen zusammenbricht und das Atmen einstellt. Versuche, ihn wiederzubeleben, die sich über eine Stunde erstrecken, die Rippen eins bis fünf des alten Manns brechen und damit enden, dass er eiligst ins Krankenhaus geschafft und in ein künstliches Koma versetzt wird, ändern nichts daran, dass er kurze Zeit später stirbt. Die offizielle Todesursache: Pneumonie.

Seine Angehörigen finden die Plötzlichkeit, mit der der alte Mann verstorben ist, seltsam und bestehen auf einer Autopsie. Die Autopsie wird durchgeführt, insbesondere a) Herz, b) Lunge, c) Gehirn und d) Blutgefäße werden untersucht. Egal, wo die Pathologen geschaut haben, überall haben sie das Spike-Protein aus der mRNA-Gentherapie von Pfizer/Biontech gefunden,

  • Im Gehirn, womit klar ist, dass es dem Spike-Protein aus der Pfizer/Biontech Spritzbrühe gelingt, die Blut-Hirn-Schranke zu überwinden und dort erhebliche Schäden anzurichten, sichtbar an einer ausgeprägten Enzephalitis / Hirnhautentzündung, die bei dem 76jährigen posthum festgestellt wurde.
  • Im Herz, dort war eine Myokarditis, eine Entzündung des Herzmuskels die Folge;
  • In allen untersuchten Blutgeweben, im Endothel, in kleinen Blutgefäßen und den Aorten, die Hirn und Herz versorgen, und wann immer die Pathologen das Spike-Protein gefunden haben, war es begleitet von einer erheblichen Entzündung des umliegenden Gewebes.
  • Und es besteht kein Zweifel daran, dass das gefundene Spike-Protein aus der mRNA-Gentherapie von Pfizer/Biontech stammt, denn die Pathologen haben nicht nur nach dem Spike-Protein, sie haben auch nach dem Nucleocapsid [N-Protein] gesucht. Ersteres erfolgreich, zweiteres vergeblich, ein Ergebnis, das sich nur einstellt, wenn mRNA aus Gentherapien / Impfstoffen zur Bildung des Spike-Protein geführt hat, nicht dann, wenn der alte Mann eine vorausgehende Infektion mit SARS-CoV-2 gehabt hätte. Wäre Letzteres der Fall, das N-Protein wäre auch gefunden worden.
  • Es steht somit zweifelfrei fest, dass das Spike-Protein, nachdem es als Bestandteil eines angeblichen Impfstoffes in den Körper seiner Opfer verbracht wird, mitnichten in Zellen stationär bleibt. Es verbreitet sich vielmehr nach Lust und Laune und erreicht dabei offenkundig auch noch den letzten Winkel des menschlichen Körpers.



Michael Mörz (Dresden) über Autopsie 8.10.2022: "Es besteht keine Möglichkeit mehr, den Tod nach Impfung einer Infektion zuzuschreiben!"

https://www.researchgate.net/profile/Michael-Moerz
https://t.me/Impfschaden_Corona_Schweiz/55295
Impfschäden Schweiz Coronaimpfung, [08.10.2022 17:56]
[Forwarded from We For Humanity]
❤️❤️ ENDLICH GAME CHANGER!❤️❤️
‼️WIDERSTAND: Es ist an uns, das Spiel zu ändern, indem wir den zugespielten Ball nutzen - lasst DIES nicht umsonst sein‼️

" Das Wunder ist geschehen. Wir sind erleichtert und überglücklich, “

kommentieren Prof. Sucharit Bhakdi und Dr. Karina Reis die bahnbrechende Entdeckung, die Dr. Michael Mörz  (https://www.researchgate.net/profile/Michael-Moerz)gemacht hat. Es besteht keine Möglichkeit mehr, den Tod nach Impfung einer Infektion zuzuschreiben!

Sowohl eine Erkrankung durch SarsCov-2 als auch Covid-Injektionen verursachen Spike-Protein im Körper. Doch entsteht im Falle einer natürlichen Infektion auch das sogenannte Nukleokapsid-Protein. Bei einem 76-jährigen Verstorbenen konnte im Herz, im Gehirn und in den Endothelzellen (Zellen, welche die kleinen Blutgefäße auskleiden) das Spike-Protein, jedoch kein Nukleokapsid-Protein nachgewiesen werden. So steht die „Impfung“ als Ursache für die toxischen Proteine fest.

Die Autopsie an dem 76-jährigen Mann zeigte unter Anderem nekrotisierende Enzephalitis und Myokarditis – die bekannten „Klassiker“ nach der gen-basierten Injektion – und bestätigte somit die Befunde der Pathologen um Prof. Arne Burkhardt.

Hier geht es zum Bericht „Multifokale nekrotisierende Enzephalitis und Myokarditis nach BNT162b2 mRNA-Impfung gegen COVID-19 (https://uncutnews.ch/neue-studie-bestaetigt-dass-die-covid-impfstoffe-gehirnzellen-und-herzzellen-abtoeten-und-zum-tod-fuehren/)“ (nekrotisierend bedeutet Gewebetod, multifokal bedeutet überall im Gehirn).

‼️‼️‼️‼️‼️‼️‼️
Lasst uns diesen langersehnten Game Changer richtig ins Spiel bringen: RKI, PEI, WHO, EMA, Abgeordnete, nationale Gesundheitsbehörde, Staatsanwaltschaft müssen davon in Kenntnis gesetzt werden, dass jede Injektion zur Körperverletzung und zum Tod führen kann, und dass eine Autopsie dies ggf. auch belegen wird.


Michael Mörz currently works at Hospital Dresden-Friedrichstadt. Michael does research in Pathology, Software Engineering and Information Science.






SCHLANGENGIFTimpfmorde weltweit 25.10.2022: Die Fälle häufen sich seit der 3. Impfung: Zähes Blut und haufenweise Blutgerinnsel: Einbalsamierer Edwin Spieard und Richard Hirschman:
Bestattungsunternehmer und Einbalsamierer im In- und Ausland beginnen, ein rätselhaftes Muster zu erkennen
https://uncutnews.ch/bestattungsunternehmer-und-einbalsamierer-im-in-und-ausland-beginnen-ein-raetselhaftes-muster-zu-erkennen/
https://t.me/Impfschaden_Corona_Schweiz/56754
Impfschäden Schweiz Coronaimpfung, [24.10.2022 08:21]

Seit anderthalb Jahren schreibt der Spezialist für Sterbebegleitung Edwin Spieard, dass Menschen, die plötzlich sterben, innerhalb von zwei Tagen stark verfärbt und geschwollen sind. „Glücklicherweise beginnen nun auch andere Bestattungsunternehmen, ein Muster zu erkennen“, schreibt er in den sozialen Medien.

Spieard stellt fest, dass die Verstorbenen in einigen Fällen nach zwei Tagen nicht mehr zu erkennen sind. In seinem Unternehmen verzeichnet er einen „enormen Anstieg“ dieser anschwellenden Verstorbenen, 259 Prozent im Vergleich zu den ersten acht Monaten des Jahres 2021. Deswegen wird er demnächst Gespräche mit einem bekannten Pathologen aufnehmen, um zu prüfen, ob es rechtlich möglich ist, das Blut und das Gewebe dieser Verstorbenen weiter zu untersuchen.

Er sagt, er schaffe es nicht mehr, Verstorbene wieder salonfähig zu machen. Seine Geräte verstopfen bei der Entwässerung und Einbalsamierung. Da die Zahlen so dramatisch angestiegen sind, würde er gerne wissen, was die Ursache dafür ist.

„Der Pathologe ist wie ich auch sehr daran interessiert, warum das Blut plötzlich zähflüssig ist und viele Gerinnsel enthält“, sagt Spieard.

Diese Muster sind auch im Ausland zu beobachten. Der US-amerikanische Einbalsamierer und Bestattungsunternehmer Richard Hirschman sagte letzte Woche in einem Gespräch mit Daniel Bobinski von Keep the Republic, dass das Blut von Verstorbenen seit 2021 eine andere Farbe und Beschaffenheit hat. In einigen Fällen scheint das Blut Sandkörner oder ähnliches wie einen „Kaffeesatz“ zu enthalten, so Hirschman.

Video auf Rumble: https://rumble.com/v1p7q26-embalmer-richard-hirschman-says-he-is-seeing-a-color-and-texture-difference.html

Der Einbalsamierer stellte außerdem fest, dass immer mehr Menschen sterben, die rätselhafte Blutgerinnsel in ihrem Körper haben. Auch der britische Bestattungsunternehmer John O’Looney beschäftigt sich mit den Gerinnseln.

Video auf Rumble: https://rumble.com/v1p7vw6-embalmer-richard-hirschman-says-the-number-of-people-dying-with-strange-fib.html





Einbalsamierer+Journalisten 27.10.2022: Matthew Horwood berichtet: Heutzutage hat fast jede Leiche die gummiartigen Blutgerinnsel - Twitter löscht die Fotos - "Faktenchecker" von Rothschild behauptet andere Ursache:
Journalist schockiert Twitter-Nutzer mit Bildern von seltsamen Blutgerinnseln: „Wenn ihr nur wüsstet, wie schlimm es ist

https://uncutnews.ch/journalistin-schockiert-twitter-nutzer-mit-bildern-von-seltsamen-blutgerinnseln-wenn-ihr-nur-wuesstet-wie-schlimm-es-ist/
https://t.me/Impfschaden_Corona_Schweiz/56986
Impfschäden Schweiz Coronaimpfung, [27.10.2022 08:19]

Seit Monaten finden Bestatter, Einbalsamierer und Pathologen aus aller Welt seltsame Klumpen in den Körpern von Verstorbenen. Ein kanadischer Journalist hat das Thema nun aufgegriffen.

Matthew Horwood vom Western Standard schockierte in den letzten Tagen die Twitter-Nutzer mit den Ergebnissen seiner Untersuchung unter Einbalsamierern in der Provinz Ontario. „Das sind keine normalen Blutgerinnsel. Es ist fast so, als ob es sich um Gewebe und nicht um ein Blutgerinnsel handelt“, zitierte er einen von ihnen.

Früher haben wir nur in 10 bis 15 Prozent der Körper Gerinnsel gefunden. Heutzutage bin ich froh, wenn ich Körper ohne Gerinnsel habe.

Es sind einfach keine normalen Gerinnsel. Es ist fast so, als ob es sich um ein Gewebe und nicht um ein Blutgerinnsel handelt. Früher waren nur 10 bis 15 % geronnen. Jetzt bin ich froh, wenn ich Körper habe, die nicht befallen sind. Sie können den ganzen Tag lang mit Worten diskreditieren, was ich sage, aber Sie können nicht übersehen, was ich sehe.

Horwood schrieb auf Twitter, er habe mit einer anderen Einbalsamiererin aus Ontario gesprochen, die diese seltsamen Klumpen in fast jeder Leiche findet, mit der sie in Kontakt kommt. „Er erinnert mich an einen Parasiten, denn es gibt immer ein Blutgerinnsel, das ihn zu ernähren scheint“, sagte der Einbalsamierer.

Der Journalist veröffentlichte auch einige Bilder, die lange blutige Strähnen zeigen. Der Beitrag wurde von Twitter gelöscht.

Die Mainstream-Medien wagen es nicht, sich an diesem Thema die Finger zu verbrennen. Der „Faktenprüfer“ Poynter, der von der Bill & Melinda Gates Foundation und Soros‘ Open Society Foundations bezahlt wird, behauptet jedoch, dass „es keinen wissenschaftlichen Beweis dafür gibt, dass Impfstoffe für die seltsamen Blutgerinnsel verantwortlich sind, die von Einbalsamierern gefunden werden“.

„Wenn Sie nur wüssten, wie schlimm es ist“, fügte Horwood hinzu. Außerdem twitterte er: „Das ist Völkermord“.



"USA"? 27.10.2022: Einbalsamiererin Jennifer E. Steps präsentiert ein Faserblutgerinnsel
BREAKING:  board-certified embalmer, Jennifer E. Steps forward to let us know that some of the bodies from which she pulls these white fibrous clots…are making her and her staff feel ill, nauseated, and weak.
This is one of those clots
Learn all the details on the Dr. Jane Ruby Show!
Video: LIVE @7PM: Exclusive: White Clots Making Embalmers Sick: https://rumble.com/v1pobq5-live-7pm-exclusive-white-clots-making-embalmers-sick.html
https://t.me/oliverjanich/110810
27.10.2022: Einbalsamiererin Jennifer E. Steps
                    präsentiert ein Faserblutgerinnsel
27.10.2022: Einbalsamiererin Jennifer E. Steps präsentiert ein Faserblutgerinnsel [43]




Autopsieberichte 8.12.2022: "Blitztod" kommt durch "Coronaimpfung" - es ist BEWIESEN:
Nicht schöner aber immerhin schneller sterben mit der #Grüselgülle der Psychopharmakonzerne
https://brownstone.org/articles/new-autopsy-report-reveals-those-who-died-suddenly-were-likely-killed-by-the-covid-vaccine/
https://t.me/Impfschaden_Corona_Schweiz/60944
Impfschäden Schweiz Coronaimpfung, [08.12.2022 21:05]

New Autopsy Report Reveals Those Who Died Suddenly Were Likely Killed by the Covid Vaccine ⋆ Brownstone Institute





<<        >>

Teilen / share:

Facebook








Quellen




Fotoquellen
[1] https://vk.com/fritz1956#/fritz1956?z=photo463459746_457254737%2Fwall417878056_72367


20
                            minuten online, Logo  Schweinzer Fernsehen online, Logo    Journalistenwatch online, Logo   RT Deutsch
                      online, Logo    Epoch Times online, Logo    Legitim.ch
                      online, Logo    InfoSperber
                online, Logo         Kronenzeitung online, Logo         Uncut news
                      online, Logo 

 VK online, Logo   Facebook Logo   YouTube online,
                      Logo   
Schwarzer
                  Kaffee online, Logo

n-tv
                        online, Logo  Spiegel online, Logo  Der
                        Standard online, Logo      ARD Logo  Frankfurter Allgemeine online, LogoNZZ Logo

 
La
                  República del Perú online, Logo    Diario UNO
                  online, Logo    trome online, Logo    El
                  Comercio del Perú online, Logo       Wochenblitz
                  online, Logo  

^