SCHLANGENGIFTimpfschaden Beispiele weltweit 4.5.2022: Muskelfaserauflösung (Rabdomyolyse)
Sterbehilfe: Myoglobin, Ketone und andere Schadstoffe, die von COVID-19 Impfstoffen / Gentherapien freigesetzt werden
https://sciencefiles.org/2022/05/04/sterbehilfe-myoglobin-ketone-und-andere-schadstoffe-die-von-covid-19-impfstoffen-gentherapien-freigesetzt-werden/
Autoimmunerkrankungen, die mittlerweile ganz offen als Folge der COVID-19 Impfung / Gentherapie in den entsprechenden wissenschaftlichen Arbeiten benannt werden, nehmen – wenn man die vielen Publikationen, die ihnen als Folge von COVID-19 Impfung / Gentherapie zur Grundlage nimmt, erheblich zu. Darauf haben wir bereits vor ein paar Tagen im ersten Teil unseres Updates der wissenschaftlichen Studien, die einen Zusammenhang zwischen COVID-19 Impfung / Gentherapie und lebensver- bzw. -beendender Erkrankungen belegen hingewiesen. Heute setzen wir dieses Update fort und präsentieren eine Reihe sehr unangenehmer Konsequenzen von COVID-19 Impfungen / Gentherapien, an erster Stelle die Rhabdomylyse, die als sehr seltene Erkrankung gilt, deren Seltenheit aber im Zuge des Massenimpfexperiments in einer Weise zugenommen hat, die die Grenze zur Nicht-Seltenheit überschritten hat. Gleich mehrere wissenschaftliche Beiträge berichten von Rhabdomyolyse als Folge der COVID-19 Impfung / Gentherapie.
Auch die Myelin Oligodendrocyte Glycoprotein Antibody-associated Disorder (MOGAD) – ebenfalls eine seltene Erkrankung, die seit dem Massenimpfexperiment gehäuft in wissenschaftlicher Literatur vorkommt, das gleiche gilt für die Chronische inflammatorische demyelinisierende Polyneuropathie (CIDP), noch so eine seltene Erkrankung, die uns in den letzten Monaten regelmäßig im Zusammenhang mit COVID-19 Impfung / Gentherapie in der wissenschaftlichen Literatur begegnet ist. Die Belege dafür, dass COVID-19 Impfstoffe / Gentherapien einen ganzen Rattenschwanz der unterschiedlichsten schweren Erkrankungen nach sich ziehen, werden immer dichter und es gesellt sich eine neue Richtung der Forschung hinzu, die wir in diesem Post unter “Ketoazidose” abhandeln. Es verdichten sich die Hinweise darauf, dass COVID-19 Impfungen / Gentherapien, die für besondere gefährdete Populationen empfohlen werden, also in der Regel für alte Menschen, Menschen mit einem geschwächten Immunsystem, Menschen mit Vorerkrankungen nicht hilfreich, sondern im Gegenteil schädlich sind. Ketoazidose beschreibt einen lebensgefährlichen Zustand, der aus Diabetes resultiert. Die Studie, die wir in diesem Post besprechen, zeigt, dass Ketoazidose bei Diabetikern, die bislang mit ihren regelmäßigen Insulinspritzen gut über die Runden gekommen sind, eine vorhandene Diabetes verschlimmert und zwar als Konsequenz der COVID-19 Impfung / Gentherapie.
Starten wir die Tour de Horror.
[...]Autoimmune Vaskulitis – Gefäßentzündung
Eine 62jährige findet sich mit Hämatemesis [Erbrechen von Blut] in einem Krankehaus ein. Einen Monat bevor sie in regelmäßigen Abständen Blut erbrochen hat, wurde sie mit Pfizer/Biontechs BNT162b2/Comirnaty behandelt. Sie wird sofort hospitalisiert. Eine Ösophagogastroduodenoskopie zeigt Blutansammlungen im Magen, ohne dass die Blutquelle identifiziert werden kann. Eine Computertomographie zeigt Verhärtungen in beiden Lungenflügeln.
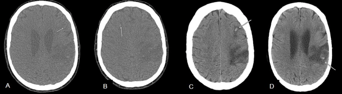
Am dritten Tag ihres Aufenthalts verschlimmert sich der Sauerstoffmangel der Frau so sehr, dass sie intubiert und künstlich beatmet wird. Weitere Blutgerinnsel in der Lunge werden festgestellt. An Tag sieben ihrer Leidenszeit im Krankenhaus beginnen die Nieren Zeichen eines bevorstehenden Versagens von sich zu geben. Eine Autoimmunerkrankung wird festgestellt und ein Blutplasma-Austausch begonnen. Sie wird in eine Spezialklinik verlegt. In den ersten Tagen ihres dortigen Verbleibs verschlechtert sich ihr neurologischer Zustand. Eine Computertomographie zeigt Blutgerinnsel in beiden Schläfenlappen, sowie sie umgebenden Flüssigkeitseinlagerungen.
(Figure 3 A-D).
Gefässentzündung - Quelle
Al-Yafeai, Zaki, Benjamin Joesph M. Horn, William Terraccaine, Alvin Jose, and Prathik Krishnan (2022). A Case of Antineutrophil Cytoplasmic Antibodies (ANCA)-Associated Vasculitis Post COVID-19 Vaccination. Cureus 14(3).
