Grund:
Zahnfleischentzündung (Parodontitis)
-- Zahnfleischrückgang kommt meist durch eine längere
Zahnfleischentzündung, wenn zu wenig gründlich geputzt
wird [1]
 |
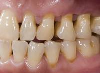
Zahnfleischschwund durch
Parodontitis: An allen Zähnen eines Kiefers -
hier am Oberkiefer - geht das Zahnfleisch
zurück, am Unterkiefer nicht.
Die empfindlichen Zahnhälse liegen nun zum
Teil frei und ungeschützt und sind
kariesgefährdet.
|
Grund: Harte Zahnbürsten
-- Zahnfleischrückgang kommt aber auch von zu harten
Zahnbürsten, wenn zu viel gebürstet wird [1]
 |
Zahnbürsten dürfen nicht zu harte
Borsten haben. Eigentlich sollte die
Produktion harter Zahnbürsten verboten sein. |
Grund: Druckvolles Bürsten
-- Zahnfleischrückgang wird durch zu druckvolles Bürsten
der Zahnaussenflächen begünstigt [2]
 |
Eine Frau beim Zähne putzen: Man
darf beim Zähneputzen nicht zu sehr drücken,
sondern man muss nur die Speisereste entfernen
(Oberflächen und Seitenflächen der Zähne UND
die Zahnzwischenräume putzen) und die Zähne
einschmieren |
Grund: Zahnspangenklammern
(Brackets)
-- Zahnfleischrückgang ist möglich durch die Zugkräfte
von Zahnspangenklammern: So kann sich das Zahnfleisch
zurückziehen [3]
 |
Brackets können durch die Zugkräfte
einen Zahnfleischrückgang provozieren [3].
Ausserdem muss sich das Zahnfleisch anpassen
und eventuell werden die Zahnfleischtaschen
grösser, so dass die Gefahr für
Zahnfleischentzündung wächst. Also ist nach
einer Brackets-Therapie die beste Zahnpflege
angesagt, mit Zahnseide mindestens einmal pro
Woche [7]. |
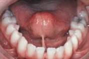
Grund: Bändchen
-- Zahnfleischrückgang ist möglich, wenn Lippenbändchen,
Zungenbändchen oder Wangenbändchen zu nah am Zahn
ansetzen, denn so ziehen sie das Zahnfleisch nach oben
bzw. nach unten [4]
 |
Bändchen (hier ein zu kurzes
Zungenbändchen), die zu nah an den Zähnen
ansetzen, können an Zahninnenseiten einen
Zahnfleischrückgang provozieren.
|
Grund: Rauchen begünstigt
Zahnfleischrückgang
-- Zahnfleischrückgang wird auch durch Rauchen
begünstigt [5], weil die Zahnfleischentzündung
begünstigt wird, und weil alle Heilungsprozesse bei
Rauchern viel langsamer ablaufen als bei Nichtrauchern
[10].
 |
Ein Raucher mit 10 Zigaretten im
Mund: Dies entspricht etwa der Tagesdosis
eines durchschnittlichen Rauchers. Die Folgen
in der Mundhöhle sind verheerend. Ausserdem
verbrennen Raucher ihr Geld mit Zigaretten. Da
gäbe es doch bessere Möglichkeiten, das Geld
sinnvoller auszugeben.
|
Grund: Zahnfleischrückgang durch dauerndes
Zähne-Zusammenbeissen (Überdruck auf die Zähne): Die
zurückgehenden
Kieferknochen ziehen das Zahnfleisch mit zurück
Zahnfleischrückgang wird auch durch Überdruck auf die
Zähne begünstigt
-- durch zu festes Zubeissen beim Essen mit Berühren der
Zahnflächen von Ober- und Unterkiefer
-- durch zu festes Kauen beim Essen mit dauerndem
Berühren der Zahnflächen von Ober- und Unterkiefer
-- durch Zähne zusammenbeissen am Tag oder in der Nacht
(Zähneknirschen) [7]
-- und durch Zähneknirschen am Tag oder in der Nacht
[6], das oft mit Spannungskopfschmerzen und
Muskelverspannungen im Nackenbereich einhergeht [11].

Durch
Zähneknirschen (Bruxismus) abgeschliffene
obere Schneidezähne
|

Durch
Zähneknirschen (Bruxismus) abgeschliffene
Schneidezähne sehen so aus, sind alle gleich
hoch und haben ihr individuelles Aussehen
verloren.
|

 Im
Gegensatz dazu haben normale Zähne leicht
unterschiedliche Formen und leicht
unterschiedliche Höhen
|
Der Druck auf die Zähne kann bei falschem, viel zu
kräftigen Kauen und durch dauerndes Zusammenpressen der
Zähne - in der Nacht durch falsche Schlafpositionen -
derart gross werden [7], dass die Kieferknochen
reagieren und sich zurückziehen. Die Kieferknochen
meinen dann quasi, sie müssten kleiner werden, und das
passiert dann gleich am Oberkiefer und am Unterkiefer
gleichzeitig. Mit dem Kieferknochen geht dann auch das
Zahnfleisch am Oberkiefer und am Unterkiefer
gleichzeitig zurück [6]. Es handelt sich bei Überdruck
auf die Zähne also um zurückgehenden Kieferknochen und
eigentlich nicht um zurückgehendes Zahnfleisch [7]. Wenn
der Kieferknochen zurückgeht, so werden die Zähne
beweglich und halten nicht mehr so fest wie noch zu
Kindeszeiten [14].
Die durch Überdruck provozierten Rückgänge beim
Kieferknochen und beim Zahnfleisch können sehr
unterschiedlich und unregelmässig ausfallen. Auf jeden
Fall sind die Rückgänge bei Kieferknochen und
Zahnfleisch bei Ober- und Unterkiefer jeweils im
gleichen Ausmass anzutreffen, also wie bei einem
Spiegelbild [7].
Werden Zähne immer durch Bruxismus weiter bis nahe an
die Pulpakammer (Nerv) abgewetzt, so bildet das Dentin
neues "Reizdentin" ("tertiäres Dentin"), um den Nerv zu
schützen [12]. Wenn die Zahnhöcker abgeschliffen sind
und die Zähne auch in zusammengebissenem Zustand hin und
her bewegt werden können, spricht man von einer
sogenannten "Schlittenartikulation". Man sollte also
vorher Gegenmassnahmen einleiten, wenn der Bruxismos
derart stark ist [13].
Begleiterscheinung des
Zahnfleischrückgangs: Temperaturempfindliche Zahnhälse
Wenn der Zahnhals bis zur Zahnwurzel frei liegt, tritt
oft eine Temperaturempfindlichkeit des Zahnhalses auf,
denn das Material der Zahnwurzel, der Wurzelzement, ist
wesentlich temperaturempfindlicher als der Zahnschmelz.
So kommt es zur bekannten heiss-/kalt Empfindlichkeit
der Zähne [8].
Natürlich bleiben
|
Landwirtschaft
und Bauernhof:
Ersatzteile aller Art
Pressen, Schneidemühlen
Permanentmagnet, Markenteile
Hof- und Stalltechnik
Tierzucht und Weidebedarf
Düngen und Heu
Ladewagen, Silos, Werkzeuge |
HOG - Titisee-Neustadt: Landmaschinen,
Ersatzteile, Farzeugbau, Industriebedarf,
Schutzkleidung etc.- Versand: D, Ö, CH,
Li, Lux
Kinderparty:
Baumeisterparty - Bauernhofparty
- von:
Geburtstagsfee (Thüringen) -
Versand: D, Ö, CH, Li, Lux
|
Die Massnahmen zur Regenerierung des
Zahnfleischs
Zahnfleischentzündung
korrigieren
Die Zähne müssen so geputzt werden, so dass keine
Essensreste liegenbleiben, und auch die
Zahnzwischenräume müssen regelmässig (mindestens einmal
pro Woche) mit Zahnseide von Zahnbelag gereinigt werden.
So geht der Zahnfleischentzündung die Nahrung aus und
die Entzündung verschwindet [7].
 |
Zahnseide sollte einmal wöchentlich
zur Reinigung der Zahnzwischenräume angewandt
werden, damit die Plaque das Zahnfleisch nicht
mehr reizt und keine Karies zwischen den
Zähnen entstehen kann. |
Zu hartes Zähneputzen
korrigieren
Man kaufe sich eine weichere Zahnbürste und drücke beim
Zähneputzen weniger hart [7]. So kann man das
Zahnfleisch streicheln, damit es sich "erholt"
[9].
Zu nah liegende
"Bändchen"
Zu nah liegende "Bändchen" kann man mit leichten
Operationen unter lokaler Betäubung korrigieren [7].
Zahnfleischrückgang
durch Rauchen korrigieren
Rauchen schädigt nicht nur den eigenen Körper, sondern
auch alle Nachbarn und Mitmenschen durch den
ungefilterten Passivrauch. Wenn Raucher also mit rauchen
aufhören, so tun sie sich nicht nur selbst einen Dienst
für die eigene Gesundheit, sondern auch an allen
Mitmenschen. Rauchstop-Programme gibt es heute an jeder
Ecke [7].
 |
Schild Rauchen verboten: Ein
Rauchstop kann nur positive Folgen für den
Mundraum haben, und allfällige
Zahnfleischentzündungen heilen aus und
Heilungsvorgänge sind wieder so schnell wie in
der Kindheit. |
Zahnfleischrückgang
durch Überdruck der Zähne korrigieren: Ruheschwebelage
- das Kauen korrigieren - Beissschiene anlegen gegen
Zähneknirschen in der Nacht - Schlafpositionen
kontrollieren und korrigieren
Wenn sich das Zahnfleisch wegen Überdrucks auf die Zähne
(durch zu kräftiges Kauen, durch Zähne zusammenpressen
in der Nacht, durch Zähneknirschen) mit dem
Kieferknochen zurückgezogen hat, so gilt es, alle
möglichen Massnahmen einzuleiten, um die falschen
Angewohnheiten zu korrigieren:
-- den Kauvorgang korrigieren: Die Zähne dürfen sich
beim Kauvorgang nicht berühren [7]
-- sich die Ruheschwebelage der Zähne zwischen Ober- und
Unterkiefer im "Interokklusalabstand" wieder bewusst
machen [10], dies kann man durch einfache, kleine Ringe
in den Zahnzwischenräumen erreichen [7].
Eine Ruheschwebelage des Unterkiefers herrscht dann,
wenn der Unterkiefer entspannt am Kopf hängt. Die
Zahnreihen sind dann in einem Abstand von 2-4 mm [12].
Die falsche
Darstellung und Präsentation von Schädeln
mit zusammengepressten Zähnen und Kiefern
|
|
Die
Darstellungen von Schädeln sind, was die
Stellung der Kiefer und der Zähne betrifft,
immer völlig falsch mit zusammengepressten
Zähnen (hier ein Schema von wikipedia). Die
Ruheschwebelage scheint nicht bekannt [7].
|
x
|
Auch das
Schädelmodell des anatomischen Museums Basel
ist mit zusammengepressten Zähnen
dargestellt, anatomisch völlig falsch und
absolut schädlich für die Zähne. Die
Ruheschwebelage scheint nicht bekannt [7].
|
-- ein Beissschiene anfertigen lassen und in der Nacht
anlegen [7]
 |
Eine Beissschiene während der Nacht
bringt eine erste Korrektur der Kieferhaltung
und schützt vor Zähneknirschen in der Nacht |
-- die Schlafpositionen genau kontrollieren: Die Kiefer
müssen in der Ruheschwebelage bleiben. Wenn bei gewissen
Schlafpositionen der Oberkiefer gegen den Unterkiefer
drückt, so müssen solche Schlafpositionen korrigiert
werden, um die Kiefer in die Ruheschwebelage
zurückzubringen [7].
|
Die Schlafposition auf dem Bauch mit Unterlage
(hier mit einem Kissen) ist für die Zähne
ziemlich gefährlich, weil die Kiefer leicht
zusammengedrückt werden können, wenn der Kopf
gegen unten drückt |
x
|
Auch die Schlafposition mit dem Kopf auf dem
Arm ist für die Zähne ziemlich gefährlich,
denn wenn der Unterkiefer noch irgendwo
aufgelegt wird, dann werden die Kiefer und die
Zähne zusammengedrückt |
x
|
Die Schlafposition auf dem Rücken scheint für
die Zähne am ungefährlichsten. |
Aber da sind noch weitere Körperpositionen, die die
Zähne in Gefahr bringen, dass sie zusammenbeissen:
Das Sprichwort, dass man in Krisensituationen die "Zähne
zusammenbeissen" muss, ist also ein völlig falsches
Sprichwort und absolut schädlich. Man sollte dieses
Sprichwort verbieten [7].