Kontakt / contact     Hauptseite / page
                  principale / pagina principal / home     zurück
                  / retour / indietro / atrás / back
D

Nota: Caries (caries dental)

Del azúcar al caries y la vuelta

de Michael Palomino (2009; noticias)
Compartir / share:

Facebook






Mancha blanca en un diente incisivo primero (02)
xxxxxxxxxxxxxxxxx
Mancha blanca en un diente incisivo
                          primero (02) Así siempre inicia la caries: En los
                          hoyitos ("fisuras") de los dientes
                          molares se quedan restos alimentarios o se
                          queda sarro, y la caries tiene la forma como
                          la de una cruz (caries del hoyito, caries
                          fisural) [16]. Así siempre inicia la caries: En los hoyitos ("fisuras") de los dientes molares se quedan restos alimentarios o se queda sarro, y la caries tiene la forma como la de una cruz (caries del hoyito, caries fisural) [16].
Fresa diamante en forma de bola, imagen Fresa
                        diamante en forma de bola, imagen Corona: La corona de cono es un desarrollo
                        ulterior de la corona de telescopio con una
                        forma cónica [28]. Corona: La corona de cono es un desarrollo ulterior de la corona de telescopio con una forma cónica [28].


El diente

La mandíbula
                        abierta La mandíbula abierta muestra en un modelo como los dientes están arraigados. En el hueso maxilar está la encía [19], llamada "gingiva" también [20]. Las partes blancas del modelo son las coronas de esmalte dental. Las partes almagres del modelo son los cuellos de los dientes y las raíces de los dientes de dentina. Visto en todo el modelo muestra una dentadura incompleta, pero muestra los dientes más importantes: dientes incisivos, dientes caninos, premolares, molares con dos raíces, y al fondo la muela del juicio que no salió todavía [6].

Cuando en la tercera edad hay una regresión del hueso a deplorar (una atrofia), así todos los dientes caen y la persona tiene un "maxilar viejo" [20].

La construcción de los dientes es (del interior al exterior):
-- pulpa dental en una cámara pulpar ("nervio" [4]) con canal radicular al periodonto (parodontium) [5]
-- cemento
-- dentina
-- esmalte dental [5]. La corona está preparada de esmalte dental, la sustancia corporal la más dura, con una parte inorgánica grande [34].

La forma dental está partida en la punta al fondo en
-- corona (parte dental sobre la encía)
-- cuello del diente (parte dental cubierto por el encía)
-- raíz del diente (parte dental que está sujetado por el hueso maxilar) [5].

Diente, esquema de un diente incisivo con
                          indicaciones, del interior al exterior: cámara
                          pulpar, cavidad coronal, canal pulpar agujero
                          apical, dentina, esmalte, cemento, ligamento
                          alveolo dentario, hueso alveolar, periodontio
                          [45].
Diente, esquema de un diente incisivo con indicaciones, del interior al exterior: cámara pulpar, cavidad coronal, canal pulpar agujero apical, dentina, esmalte, cemento, ligamento alveolo dentario, hueso alveolar, periodontio [45].
x
Diente, esquema de un diente molar con
                          indicaciones, del interior al exterior: Pulpa,
                          nervio y suministro sanguíneo, dentina,
                          esmalte, cemento, ligamento periodontal. El
                          diente es partido en raíz y corona [46].
Diente, esquema de un diente molar con indicaciones, del interior al exterior: Pulpa, nervio y suministro sanguíneo, dentina, esmalte, cemento, ligamento periodontal. El diente es partido en raíz y corona [46].

Los dientes incisivos en forma de cincel o de pala y los dientes premolares solo tienen una raíz del diente, los dientes molares tienen dos [34].

Un diente molar, un imagen
                  más o menos realista
Un diente molar, un imagen más o menos realista

Cada diente premolar y diente molar tiene fisuras, llamado surcos del diente:

Fisuras (surcos) de los dientes molares



Cada
                          molar y premolar tiene hoyitos del diente
                          (fisura), llamado surcos del diente (dibujo,
                          corte transversal)
Cada molar y premolar tiene fisuras del diente, llamado surcos del diente (dibujo, corte transversal)
Fisuras (surcos) de los dientes molares
                            (dibujo) con los dientes premolares 1 y 2 y
                            dientes molares 1, 2 muela del juicio,
                            diente molar 3 [44]. Se ve que cada diente
                            molar tiene su dibujo de surcos específico:
                            el primer premolar como un puente, el
                            segundo premolar similar al signo de zodíaco
                            de picis, el primer molar como un gran árbol
                            (cedro), el segundo molar como una cruz, el
                            tercer molar (muela de juicio) como una
                            estrella de cinco puntos [6].
Fisuras (surcos) de los dientes molares (dibujo) con los dientes premolares 1 y 2 y dientes molares 1, 2 muela del juicio, diente molar 3 [44]. Se ve que cada diente molar tiene su dibujo de surcos específico: el primer premolar como un puente, el segundo premolar similar al signo de zodíaco de picis, el primer molar como un gran árbol (cedro), el segundo molar como una cruz, el tercer molar (muela de juicio) como una estrella de cinco puntos [6].


Caries del surco - surcos sellados

Y esa fisura (surco del diente) en los dientes molares siempre provocan el inicio de la caries (llamada como "caries fisural"), cuando no hay una buena limpieza dental controlada al inicio de la vida [3], un gran "lugar predilitivo" [12], y muchos padres tontos no saben nada de eso porque los gobiernos tontos no intervienen en ese peligro, y los medios de comunicación no informan a la población... [3].

Así siempre inicia la caries (aquí un
                            primer y un segundo diente molar): En los
                            hoyitos ("fisuras") de los dientes
                            molares se quedan restos alimentarios o se
                            queda sarro, y pues la caries tiene una
                            forma como una cruz (caries del hoyito,
                            caries fisural) [16]. vergrössernAsí siempre se inicia la caries (aquí el primer y segundo diente molar): En los surcos ("fisuras") de los dientes molares se quedan restos alimenticios y de esa manera se va formando el sarro, y la caries tiene una forma caótica (primer molar) o como una cruz (segundo molar) con caries de surcos, caries fisural [16].

La técnica dental actual puede sellar esas fisuras con plástico [12,17]: El esmalte dental <va ser cargado con un poco de ácido y después va ser cubierto con una capa de plástico> [12]. Eso se debería hacer en cada caso porque esas muchas y diversas fisuras son inaccesibles y por eso provocan la caries [17].

Un
                            primer diente molar con surcos sellados
                            ("fisuras" selladas), con sellado
                            de surcos / sellado de fisuras Un primer diente molar con surcos sellados ("fisuras" selladas), con sellado de surcos / sellado de fisuras

<A la larga o a la corta el sellado del surco se desgasta y debería ser controlado y si es necesario tiene que ser renovado.> [12]

Dientes de leche son más suaves que los dientes permanentes
Los dientes de la dentadura de leche son más suaves y por eso va ser afectado más por las caries porque el esmalte dental como máximo solo es de 1 mm [29].


El precursor primero de la caries: el sarro (placa bacteriana)

Normalmente el sarro es amarillo [31], de los fumadores es gris [32].

Sarro (placa bacteriana), esquema: Los
                          dentistas seccionan la placa bacteriana en
                          diversos grados, depende de la infestación del
                          diente entre 0 (no.0) y 2/3 placa (no.5)
                          [15].
Sarro (placa bacteriana), esquema: Los dentistas seleccionan la placa bacteriana en diversos grados, depende de la infestación del diente entre 0 (no.0) y 2/3 placa (no.5) [15].

Sarro amarillo
                        (placa bacteriana), aquí sobre todo en los
                        intersecciones dentales, pero se puede verlo
                        también en los surcos de los dientes [43]
Sarro amarillo (placa bacteriana), aquí sobre todo en los intersecciones dentales, pero se puede verlo también en los surcos de los dientes [43]
Placa
                        "colorada", con una tableta de color
                        [15]
Placa "colorada", con una tableta de color [15]

Azúcar y otros carbohidratos son la condición para la formación de la caries. En los restos alimentarios de la boca están bacterias que forman ácidos, y cuando no se limpia bien los dientes resp. cuando los restos alimentarios (azúcar y otros carbohidratos) se quedan mucho tiempo en la boca, así el esmalte del diente va ser eliminado por los ácidos poco a poco [8].

Cuando los dientes son limpiados ligeramente, así se queda el sarro (placa bacteriana) en los dientes [11]. El sarro (placa bacteriana) es albuminoso, contiene azúcar y bacterias, es amarillo o amarillento y por eso no se puede reconocer bien [31]. Se puede tomar una "tableta de color" (para mascar o para chupar) y así se ve bien el sarro [11]. Con los fumadores el sarro es "gris perla" [32].

Las bacterias en el sarro (las bacterias de la placa bacteriana)

En el sarro (placa bacteriana) hay bacterias que producen su propio azúcar y por eso liberan ácidos. Y esos ácidos eliminan los dientes pues. Un destructor importante es la bacteria Streptococcus mutans, <un residente principal de la placa bacteriana, y por la producción de "su propio azúcar" puede pegarse a superficies lisas también como p.e. al esmalte dental, y así puede liberar sus ácidos agresivos.> [34]

Comestibles contra caries

Países sub-desarrollados con dientes "fuertes": También las cáscaras de huevos son comidos allá

Pero existen "países sub-desarrollados" en África con hombres y mujeres con dientes muy buenos porque su alimentación tradicional africana contiene mucho calcio, p.e. cuando se come muchos huevos con las cáscaras, resp. las cáscaras del huevo van a ser mascado o pueden ser molido y el polvo puede ser tomado con leche o con agua [3]. Y en esos países no existen muchos alimentos dulces de la "civilización" que dañan los dientes con azúcar y con sus ácidos [6]. En otros "países sub-desarrollados" como en "America" del Sur en el Perú los dientes de la población son sistemáticamente destruidos por azúcar y por ácidos en los alimentos y en las bebidas [3].

Fluorización de alimentos contra caries

Ciertos "países industriales" fluorizan la sal de mesa [7] o el agua potable [3], y así toda la población tiene menos caries [7].

Comestibles de caries - la "cariogenidad"

Azúcar + ácidos = caries

Cuando hay alimentos que contienen al mismo tiempo azúcar y ácidos, eso provoca mucho la formación de la caries. Así son:
-- todos los alimentos (para comer y para beber) que contienen al mismo tiempo azúcar y ácido cítrico (p.e. ciertas pasteles rellenos como pastel de pera, compota de manzana en latas, muchas limonadas, muchos caramelos) [9]
-- todos los alimentos (para comer y para beber) que contienen al mismo tiempo azúcar y un otro ácido (p.e. bebidas con azúcar y piña como en el Perú la "chicha morada", o la leche de soya en el Perú que no solo contiene ácido láctico pero es también azucarada, o la leche evaporada azucarada en Suiza y en el Perú) [3].

Se puede evitar caries rechazando comida y bebidas que contienen azúcar y / o ácidos [10], resp. la industria alimentaria puede evitar la caries en la población cuando se aplica dulcificantes alternativos en lugar de azúcar y cuando no se aplica más ningún ácido como conservante. Como bebidas p.e. se toma siempre agua del caño con limón [3], en "países sub-desarrollados" se toma agua mineral de la botella o agua hervida con limón porque el agua del caño no es limpio y muchas veces provoca una hepatitis A [27].

Pero no solo depende del azúcar si los alimentos dañan a los dientes referente a la caries. Nuevas encuestas dicen que también el almidón cocinado provoca caries y aun tienen una "cariogenidad" más grande que el azúcar (patatas fritas). Por qué es así: <Elementos dulces van a ser reducidos entre de 2 horas. Pero productos de almidón necesitan mucho más tiempo para convertir el almidón a glucosa.> [28]

Pero lo peor seguramente quedan los comestibles y bebidas que contienen al mismo tiempo azúcar y ácidos [6].

Ácido láctico p.e. es un metabólico que es formado por bacterias del ácido láctico y por el azúcar. Va descalcificar el diente y va provocar caries. Hay ácido láctico también en chucrut o en leche ácida [29].

Pues deberían ser prohibidos ciertos azucaramientos de productos de leche, p.e. la leche evaporada azucarada, la leche de soya azucarada etc. [6].


El segundo precursor de la caries: la "mancha blanca"

Cuando el sarro (la placa bacteriana) no es eliminada regularmente por sí mismo o por una higienista dental o por el dentista, así pueden formarse manchas blancas en los dientes [2], en ingles "white spot" [38]. Eso es el segundo precursor de la caries [2]:

Mancha blanca en un
                        diente incisivo primero (01)
Mancha blanca en un diente incisivo primero (01)
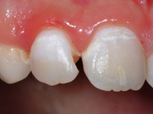
Mancha blanca en un diente incisivo
                          primero (02)
vergrössernMancha blanca en un diente incisivo primero (02)
xxxxxxxxxxxxxxxxxxxxxxxx
En
                          esa foto se ve muchas manchas blancas, el
                          precursor de la caries, y además muchos
                          dientes son atacados por la caries de manera
                          que partes de dientes ya faltan. Parece que
                          fue fácil para la caries aquí porque la
                          persona apenas limpió sus dientes y porque la
                          industria vende productos que contienen mucho
                          azúcar y ácido cítrico u otros ácidos
                          (limonadas, pastel de pera, bebidas con azúcar
                          y piña etc.) [14].
En esa foto se ve muchas manchas blancas, el precursor de la caries, y además muchos dientes son atacados por la caries de manera que partes de dientes ya faltan. Parece que fue fácil para la caries aquí porque la persona apenas limpió sus dientes y porque la industria vende productos que contienen mucho azúcar y ácido cítrico u otros ácidos (limonadas, pastel de pera, bebidas con azúcar y piña etc.) [14].

El segundo precursor de la caries: La mancha blanca por la descalcificación del esmalte dental - tratamiento de manchas blancas - la prevención con pastas dentales con flúor para formar nuevo esmalte dental - control

La mancha blanca es el [segundo] precursor de la caries (llamado también "caries inicial" (caries insipiens): La caries es en su estadio inicial, se trata de un lugar áspero blanco como creta en el esmalte a la superficie de los dientes [2].

Generalmente la "mancha blanca" se forma por un empobrecimiento de minerales, resp. cuando el esmalte dental pierde sales de potasio [10]. Cuando los minerales del esmalte dental son perdidos (p.e.por una descalcificación de un lugar del esmalte dental por un exceso de iones hidrógenos) en combinación con sarro (placa bacteriana que contiene flujos ácidos), así se forma una mancha blanca [5].

Una perdida de minerales en el esmalte dental regularmente existe también con mujeres embarazadas y mujeres que dan leche porque el niño chupa los minerales del cuerpo de la madre [27].

Los dientes también va ser vulnerables a la caries cuando la alimentación no contiene mucho calcio, p.e. cuando faltan productos de leche y huevos [11].

Tratamiento de las "manchas blancas"
Manchas blancas pueden ser tratados con gel fluoruro [6]. El dentista empasta los dientes del paciente con gel fluoruro [3], y por eso va ser una "remineralización", con una buena higiene bucal [10]. Puede ser que las manchas blancas son un poco más grandes y se tiene que repetir el tratamiento. Pues los dientes van a ser empastados con gel fluoruro una vez por semana por 2 o 3 semanas [3].

El control regular al dentista para encontrar placa bacteriana y "manchas blancas"
Con niños se pueden desarrollarse las manchas blancas muy rápidamente [porque niños golosinan mucho azúcar, y porque los dientes de leche son más suaves], y por eso un control cada medio año tiene sentido con los niños [5].

El control cada medio año al dentista en "países sub-desarrollados" - la prevención que falta por cremas dentales con fluoruro para la formación de esmalte dental

También en países donde no existen buenas cremas dentales como Elmex, Aronal o Meridol debería ser un control para adultos cada medio año para encontrar "manchas blancas", pues en "países sub-desarrollados" como el Perú, donde - como parece - el gobierno no tiene ministros hasta hoy (2009) que conocen bien la prevención contra la caries, y adonde una prevención del estado contra la caries prácticamente no o apenas existe, resp. en la jungla muchas veces no existe ningún consultorio odontologico hasta hoy (2009), y adonde la alimentación tradicional no contiene mucho calcio. La prevención con Elmex y con Aronal no existe en el Perú, esas cremas dentales no se puede comprar por razones incomprensibles [3]. Eso debería ser correcto también para otros "países sub-desarrollados". Es un estado absolutamente triste para la población [6].

Prevención contra caries resp. contra manchas blancas: Prevención con flúor con gel fluoruro, con sal conteniendo fluoruro o tabletas fluor

Fluor para la fluorización son aminfluoruro, magnesiofluoruro y sodiofluoruro [12]. Fluoruro impide la formación de bacterias que dañan los dientes y por eso impide la formación de manchas blancas y de la caries
-- con cremas dentales conteniendo fluoruro o conteniendo gel fluoruro
-- con pincelar los dientes con una fórmula de fluoruro
-- con la aplicación de lacas de fluoruro
-- con sal de mesa con fluoruro
-- a niños se puede dar tabletas o aditivos alimentarios [12].

<Durante la formación del diente el flúor va ser depositado en el esmalte dental por el interior, pues después la formación del diente el flúor se satura del líquido bocal en las capas superficiales. Por eso flúor impide una desmineralización del esmalte dental y así tiene un efecto contra caries en diversas maneras:
1) el flúor impide el metabolismo bacteriano en la  placa bacteriana, y por eso va ser fermentado menos azúcar en ácidos,
2) cristales del esmalte dental que contienen flúor son menos solubles por ácidos que la apatita de calcio del esmalte normal.> [12]

Pero no debe ser demasiado flúor porque eso puede provocar una "fluorosis" [12].

Fluorosis

Diente con fluorosis por una masiva
                          sobredosificación de flúor
vergrössernDiente con fluorosis por una masiva sobredosificación de flúor
Aquí todos los dientes son afectados por
                          fluorosis, por una masiva sobredosificación de
                          flúor
vergrössernAquí todos los dientes son afectados por fluorosis, por una masiva sobredosificación de flúor

Crema dental de flúor y formación del esmalte dental en uno: Elmex y Aronal
En los "países industriales" en Europa es posible avanzar una protección dental perfecta 100% sin caries y con fuertes dientes sin sensibilidades con la crema dental con vitaminas Aronal en la madrugada y con la crema con flúor Elmex en la noche. También se puede usar Elmex sensitive cuando se tiene miedo de la Elmex normal.

Cuando se cuide bien los dientes con Elmex y Aronal, pues va ser bastante un control por año. En "países sub-desarrollados" adonde los gobiernos y periodistas no tienen ninguna idea de Elmex y Aronal porque no existen allá, el cuidado dental tiene que ser adecuadamente cambiado: Se tiene que limpiar mucho mejor, y se tiene que dejar gelatinizar los dientes con gel de fluoruro. Personas que no cambian así y limpia de la misma forma como antes con cremas que no tienen efecto como Aronal y Elmex, esas personas van a recibir "caries de migración" [6].

Elmex y Aronal por
                        partida doble, eso es una prevención bien
                        probada contra caries y contra dientes sensibles
                        en Europa, pero en los "países
                        subdesarrollados" como en el Perú no
                        existen esas dos cremas dentales! [6] Elmex y Aronal por partida doble, eso es una prevención bien probada contra caries y contra dientes sensibles en Europa, pero en los "países sub-desarrollados" como en el Perú no existen esas dos cremas dentales! [6]

Prevención contra caries entre los dientes con el hilo de higiene dental
Cuando se sabe que la caries también puede desarrollarse entre los dientes en los espacios dentales y  puede atacar y comer dos dientes en una vez, solo cuando se sabe eso se aprecie el hilo de higiene dental. Se aguanta el hilo entre los dientes y se frota con el hilo a los costados de los dientes y así se va eliminar el sarro (placa bacteriana) [6].

Hilo de higiene
                        dental, p.e. glister (de amway)
Hilo de higiene dental, p.e. glister (de amway)
Se
                            tiene que hacer ejercicios dos o tres veces
                            hasta se acostumbra como manejar el hilo
                            entre todos los dientes. Mover el hilo entre
                            los dientes incisivos no es tan difícil,
                            pero para los molares al fondo se necesita
                            una cierta rutina porque la posición de las
                            manos cambia. Loas posiciones de las manos
                            también son diversos según los huesos
                            maxilares, si se limpia con el hilo de
                            higiene dental al maxilar o a la mandíbula
                            [27].
Se tiene que hacer ejercicios  dos o tres veces hasta acostumbrase como manejar el hilo entre todos los dientes. Mover el hilo entre los dientes incisivos no es tan difícil, pero para los molares al fondo se necesita una cierta rutina porque la posición de las manos cambia. Las posiciones de las manos también son diversas según los huesos maxilares, si se limpia con el hilo de higiene dental al maxilar o a la mandíbula [27].

Cuando falta la prevención y falta el control: Las manchas blancas se transforman en caries

Cuando la mancha blanca no va ser tratado, así va caer la superficie de la mancha blanca y se forma una caries dura y obscura [5] que puede avanzar en el diente y provoca un "hueco de caries" [6]. La caries puede avanzar mucho en el diente y así el dentista va decir que sea una "mina"... [27]


Caries dental: el resultado

Los lugares adonde se forma la caries y adonde van ser empastes (cavidad)
La caries tiene que ser mandrilado. Así va ser una "cavidad" ("cueva"), y pues va ser llenada con un relleno.
Cavidad de caries según Black, clase 1:
                          Caries al molar en los surcos (fisuras)
Cavidad de caries según Black, clase 1
xxxxxxxxxxxxxxxxxxxxxxxxxxxx
Caries al molar en los surcos (fisuras)
x
Cavidad de caries según Black, clase 2:
                            Caries lateral al molar. [Cuando esa caries
                            se desarrolla entre los tienes en el espacio
                            dental, pues puede "infectar"
                            también el diente vecino].
Cavidad de caries según Black, clase 2 xxxxxxxxxxxxxxxxxxxxxxxxxxxxxxxxxxxxxx
Caries lateral al molar. [Cuando esa caries se desarrolla entre los tienes en el espacio dental, por eso puede "infectar" también el diente vecino].
x
Cavidad de caries según Black, clase 3:
                          Caries lateral al diente incisivo. [También
                          aquí la caries puede "infectar" el
                          diente vecino].
Cavidad de caries según Black, clase 3
xxxxxxxxxxxxxxxxxxxxxxxxxxxx
Caries lateral al diente incisivo. [También aquí la caries puede "infectar" el diente vecino].
Cavidad de caries según Black, clase 4:
                          Caries lateral al diente incisivo hasta mucho
                          al encía [peligroso para la raíz del diente]
Cavidad de caries según Black, clase 4

Caries lateral al diente incisivo hasta mucho al encía [peligroso para la raíz del diente]

Cavidad de caries según Black, clase 5:
                          Caries al diente incisivo en la región la más
                          profunda [muy peligroso para la raíz del
                          diente]
Cavidad de caries según Black, clase 5

Caries al diente incisivo en la región la más profunda [muy peligroso para la raíz del diente]







[28]


Las diversas profundidades de la caries en el diente

Clases de caries

-- caries del esmalte dental (caries superficialis, abr. C1): La caries solo se encuentra en el esmalte dental, todavía en el "superficie" del diente [2]
-- caries de la dentina (caries media): La caries ataca también la dentina y se encuentra a la mitad del trayecto hasta la pulpa (por eso "media") [2]
-- caries profunda [4]
-- diente muerte [2]

Clases de caries (huecos de caries y tratamiento)
El primero lugar de caries siempre es el surco (fisura) [3].
Caries superficialis [4], resp. caries
                          fisural (caries del surco) [12], esquema. El
                          tratamiento (mandrilar el lugar de caries,
                          quitar la caries a máquina) va ser sin dolor
                          [4]
Caries superficialis [4], resp. caries fisural (caries del surco) [12], esquema. El tratamiento (mandrilar el lugar de caries, quitar la caries a máquina) va ser sin dolor [4]
x
Caries media, esquema [4]. La caries del
                          surco avanzó más en su profundidad [6]. El
                          tratamiento (mandrilar el lugar de caries,
                          quitar la caries a máquina) va ser sin dolor
                          [4]
Caries media, esquema [4]. La caries del surco avanzó más en su profundidad [6]. El tratamiento (mandrilar el lugar de caries, quitar la caries a máquina) va ser sin dolor [4]
x
Caries profunda, esquema, la caries
                              (caries del surco) está cerca de la pulpa
                              que se encuentra en la cueva de la pulpa
                              (generalmente llamada como
                              "nervio"). El tratamiento
                              (mandrilar el lugar de caries, quitar la
                              caries a máquina) va ser doloroso.
                              Eventualmente la pulpa ("nervio) ya
                              es infectada con caries [4]
Caries profunda, esquema, la caries (caries del surco) está cerca de la pulpa que se encuentra en la cueva de la pulpa (generalmente llamada como "nervio"). El tratamiento (mandrilar el lugar de caries, quitar la caries a máquina) va ser doloroso. Eventualmente la pulpa ("nervio) ya es infectada con caries [4]

Cuando la caries logra la raíz, así va ser caries de la raíz. Pues solo va ser un tratamiento de la raíz o la eliminación del diente [8].

El autocontrol - el control al dentista

Con un espejo con luz y con un espejo dental se puede controlar sus dientes y buscar si eventualmente hay caries, cuando se conoce las clases diversas de la caries y los precursores [3]. Pero hay también caries y manchas blancas en lugares que no se ve, y por eso el control con el dentista es absolutamente necesario [5].

Caries debajo de empastes

Es así que la caries no se forma solo en los dientes, pero también debajo de los empastes nuevos [27]. Cuando un empaste no está bien hecho resp. cuando el margen no es hecho sin ruptura [32] o cuando los dientes con empastes no son bien limpiados, esas personas van a mirarse durante la revisión del empaste que el dentista va encontrar nueva  caries también debajo del empaste. Así los huecos en el diente van ser siempre más profundos, los dientes van ser siempre más sensibles porque el hueco siempre va ser más cerca del nervio, y la cuenta del dentista va ser siempre más cara porque cada empaste de caries tiene que ser pagado. No se debería pensar pues que empastes sean absolutamente cerrados, pero la infiltración de caries por los margenes lamentablemente es una realidad cuando los dientes no son bien cuidados [27].

Caries al cuello del diente
Caries puede atacar también cuellos del diente cuando falta la encía ("caries del cuello del diente") [39].

Caries entre los dientes ("caries interdental") va atacar dos dientes de un camino

Cuando no se limpia bastante los dientes solo someramente, y cuando los espacios de los dientes jamás va ser limpiados por una higienista dental, así va ser depositado sarro ("placa bacteriana") entre los dientes que va desarrollarse en manchas blancas ("caries inicial") y pues esas manchas van ser convertido en caries alazana entre los dientes ("caries interdental") [26]. Cuando ese desarrollo no es detectado pues la caries en los espacios de los dientes puede dañar dos dientes de un camino [27].

La caries alazana entre los
                                  dientes ataca dos dientes de un
                                  camino. Así va ser cuando no se tiene
                                  ninguna idea y rechaza a la prevención
                                  con hilo de higiene dental o de una
                                  higienista dental. El ejemplo es una
                                  cliente de dientes del Perú (2009).

La caries alazana entre los dientes ataca dos dientes de un camino. Así va ser cuando no se tiene ninguna idea y rechaza a la prevención con hilo de higiene dental o de una higienista dental. El ejemplo es una cliente de dientes del Perú (2009).

Caries entre los
                        dientes: La caries alazana en esa foto se
                        formaba entre los dientes y atacó por cada uno
                        dos dientes de un camino. Con una limpieza
                        diaria y con una limpieza con hilo de higiene
                        dental entre los dientes una vez por semana eso
                        no había ocurrido ... [14] Caries entre los dientes: La caries alazana en esa foto se formaba entre los dientes y atacó por cada uno dos dientes de un camino. Con una limpieza diaria y con una limpieza con hilo de higiene dental entre los dientes una vez por semana eso no había ocurrido ... [14]

Es extraño pero verdad que la caries se desarrolla muchas veces en una simetría. Cuando hay caries al lado derecho, así muchas veces hay también caries al lado izquierdo. Eso no solo es así en esa foto, pero eso mayormente es así [11].

Caries de biberón con bebes

Niños que reciben muchas veces alimentación de biberón azucarada, esos bebes  reciben la "caries de biberón" a los dientes anteriores del maxilar con destrucciones graves a los dientes de leche. Muchas veces no se tiene que aplicar solo empastes, pero también coronas, o los dientes tienen que ser eliminados (extracción) [12].

Tontos padres embotellan sus bebes con tés azucarados, o ponen chupetes con miel en la boca del bebe para "calentarlo", parcialmente por toda la noche [30]. Tontos padres sin ninguna idea son capaz a hacer todo... [6] y pues la pedodontía tiene mucho trabajo [31] y pues los tontos padres todavía tienen una rabia al bebe porque "cuesta" caro el bebe [27].

Caries de biberón con dientes de leche
                            infectados de caries. Los tontos padres
                            dañan sus niños con jugos azucarados y con
                            chupetes de miel eventualmente para toda la
                            vida cuando los dientes de leche tienen que
                            ser eliminados y los dientes vecinos se
                            mueven. Los padres los más tontos pues
                            hechan la culpa al niño que fue con mucha
                            caries y el dentista costó mucho más... Caries de biberón con dientes de leche infectados de caries. Los tontos padres dañan sus niños con jugos azucarados y con chupetes de miel eventualmente para toda la vida cuando los dientes de leche tienen que ser eliminados y los dientes vecinos se mueven. Los padres los más tontos pues hechan la culpa al niño que fue con mucha caries y el dentista costó mucho más...

La caries de biberón:
<Muchas veces todos los dientes incisivos son completamente destruidos y también unos molares ya tienen caries. Los niños sufren de dolores dentales, de sangramiento de encías e inflamaciones purulentas recurrentes de los dientes destruidos.  Sin terapia del dentista no va ser dañado el estado del bebe en general, pero también los dientes permanentes [que van ser más tarde] van ser dañados.> Niños debajo de 3 años muchas veces tienen que ser tratados con narcotización, porque niños tan chiquitos no pueden estar tranquilamente en una silla del dentista [18].

Cuando se tiene que eliminar dientes de leche y pues se queda un vacío dental, eso provoca lo siguiente: Cuando hasta 3 años hay dientes de leche que van ser eliminados por caries, así el maxilar va desarrollarse de una manera más cerrada, y los dientes permanentes muchas veces no tienen bastante espacio, y por eso los dientes permanentes van estar en todas las direcciones [21]. Cuando los dientes de leche caen demasiado temprano por caries tienen que ser eliminados por caries demasiado temprano, así va ser una atrofia de inactividad y pues el hueso maxilar se retira. Cuando no va ser implantado una prótesis dental y queda un vacío, así el hueso maxilar va retirarse todavía más [26] y los huesos vecinos de la izquierda o de la derecha y arriba resp. abajo pierden una parte de su apoyo [11].

Caries de migración
Cuando una persona recibe más caries en otro país por razones inconocidos, eso es llamado "caries de migración". Caries de migración puede ser causado por p.e.
-- por alimentación cambiada con más azúcar [10]
-- por la ignorancia sobre la composición de bebidas (p.e. con azúcar y piña con ácido) [3]
-- por cremas dentales malas o sin efecto en el nuevo país adonde no existe Elmex ni Aronal [3].


El tratamiento de caries 01: mandrilar el lugar de la caries (quitar la caries a máquina)

Dependiente a la caries que está el diente va sufrir ahora una abolladura o un hueco. Algunos puntos de caries superficiales son fácil y rápido a curar, otros lugares de caries son como una mina y entran profundamente el diente. Caries puede formarse debajo de empastes también cuando la caries infiltra por margenes o por rupturas de empastes. Cuando se reemplaza un empaste pueden haber sorpresas "malas" pues para el paciente, porque la cuenta va contener tratamientos de caries además, o cuando hay ampollas necesarias que no fueron planificadas [3].

Las diversas fresas del dentista para mandrilar el lugar de caries
Fresa
                        diamante apuntada, imagen
Fresa diamante apuntada, imagen
Fresa
                        diamante en forma de bola, imagen
Fresa diamante en forma de bola, imagen
Fresa
                        diamante proyectil, imagen
Fresa diamante proyectil, imagen
Fresa
                        diamante cónica invertida, imagen
Fresa diamante cónica invertida, imagen

Más clases de fresas del dentista son: fresa en forma de bolo, fresa de hundimiento, fresa de rosas, fresa de fisura, fresa de rueda, fresa espiral [1].

Métodos alternativos al trabajo con fresas son:
-- gel de fresa Carisolv
-- tratamiento de láser
-- técnicas de rayos de polvo [28].


El tratamiento de caries 02: El empaste: llenar el hueco

Después la terminación de huecos sin caries (la "cavidad" está lista) sigue la "terapia de relleno" con diversas materiales [12], sea con material líquido o con empastes para poner (empaste de lingote, inlay) [20].

Empaste para insolar (capa de aislamiento)
Cuando el hueco es más profundo se instala al fondo una capa de aislamiento para proteger la pulpa de irritaciones químicas y térmicas. Tienen que ser materiales duras, químicamente neutrales y aislantes, p.e. cemento de fosfato [36].
Sobre la capa de aislamiento siguen empastes de diversas materiales (cuando huecos no son profundos no va ser capa de aislamiento):

Cyano Veneer
es un material blanco barato y necesita solo corto tiempo para endurecer, pero no dura mucho tiempo cuando se masca fuerte. Mayormente Cyano Veneer es aplicado para dientes de leche [4] para niños que no pueden mascar fuerte todavía [6].

Resina composit
Resinas composit son <materiales de rellena en color de diente de plástico  que es reforzado por partes inorgánicos. Comparado con puro plástico los composites tienen provechos importantes. No se tiene que perforar el diente mucho, y así un empaste composit protege el diente. Los empastes se desgastan menos. Decrecen menos (polimerización) durante la producción, pero sin embargo puede ser una fisura que provoca nueva caries.> El amarre está hecho en técnica de pegar y cauterizar en el hueco preparado ("cavidad") [28].

Empastes dentales de resina composit no son muy durables y deberían ser cambiados todos 10 años [11]. Cuando no se limpia bien los dientes rellenos por unos meses, así es fácilmente posible que al margen del empaste infiltra caries y se puede formar caries debajo del empaste [3].

Solitaire
<Es un material para llenar dientes en color de dientes (en base de policristal). Dicen que ese material sea tan duro como un diente natural y sea indicado para usarlos para molares. El material aun puede acumular composiciones de flúor en su superficie - como protección contra caries de fisura del margen.> [34]

Cerámicas

Dientes cerámicas (dientes de minerales y coronas completas) son producidos de "masas dentales cerámicas" con los componentes así:
-- 60-80% feldespato
-- 15-25% cuarzo
-- 0-5%  carolina [5].

Nombres: cerámica de alto rendimiento [24].

Inlays
Inlays son <empastes masivos producidos en un otro lugar. Cuando el inlay está bien preparado así va ser fijado con cemento en la cavidad preparada.> [26]

Pinlays
Un pinlay es un inlay con un "pin", pues con una punta. Con malas condiciones la punta puede dañar el nervio dental [31].

Bien limpiar los dientes también con sus empastes
Vale generalmente la advertencia: Personas que se sienten demasiado seguras con sus empastes y no limpian bien sus dientes cada día, esa gente arriesga caries debajo de los empastes, y así los empastes siempre van ser más grandes [3] y al fin va ser eliminado todo el diente [6].

Empastes provisionales: cemento Fletcher
Cemento Fletcher es un <empaste provisional para cavidades, contiene óxido de cinc, goma arábiga y almáciga.> [12]


El tratamiento de caries 03: pulir

Para pulir los empastes se necesita otros útiles, finalizantes y fresas [12]. 

Ejemplos de finalizantes y fresas
Para
                        pulir empastes se necesita finalizantes (aquí un
                        imagen) ...
Para pulir empastes se necesita finalizantes (aquí un imagen) ...
y
                        fresas, aquí una fresa en forma de botón con
                        corte trasversal (imagen)
y fresas, aquí una fresa en forma de botón con corte trasversal (imagen)


El tratamiento de caries 04: tratamiento de la raíz (endodoncia)

Caries de la raíz
                        del diente (imagen) con nervio inflamado y
                        formación de gases debajo de la raíz del diente
                        [41]
Caries de la raíz del diente (imagen) con nervio inflamado y formación de gases debajo de la raíz del diente [41]
Tratamiento de la
                        raíz (imagen) [42]
Tratamiento de la raíz (imagen) [42]

La raíz del diente puede ser afectada por la caries ("caries de la raíz del diente", "caries del superficie de la raíz del diente") [38]. Un tratamiento de la raíz es un tratamiento del canal de la raíz del diente, y por eso es un tratamiento del canal de la raíz del diente [38,40]. Se puede constatar raíces inflamadas en fotos radiográficas (sombra obscura). Eventualmente la raíz enferma tiene que ser eliminada y se tiene que llenar y sellar el canal de la raíz del diente [40]. Cuando se trata de un molar con dos raíces, va quedar una raíz viva que aprovisiona el diente. Dientes incisivos, caninos y premolares solo tienen una raíz [13].

El curso de un tratamiento de la raíz

El canal de la raíz va ser "preparado", excavado y lavado y el relleno va ser preparado. Pues el canal va ser llenado con el relleno de la raíz. Una "capa de la raíz" en metal va sellar el canal relleno. Con eso va ser terminado el "tratamiento del canal de la raíz". En la capa de la raíz hay una punta, y en la punta va ser la "corona de punta" o otros "obras de punta" [38].

Los procedimientos se llaman también:

-- extirpación: <eliminación radical de partes de órganos enfermados o de un órgano completo (extirpación de la pulpa como proceso de la devitalización); eso va ser ejecutado con agujas de extirpación con anestesia local> [10]

-- amputación de la raíz: <método para conservar un diente con dos raíces por eliminación de una raíz enfermada> [38]

Dientes muertos se puede constatar con un examen de frío. Dientes muertos no van ser alimentados con nutrientes más y a la larga van ser ásperos y frágiles, y dientes muertos cambian de color y van ser más oscuros. Con inlays o con coronas se puede estabilizar dientes muertos y se puede disimular la oscuridad del diente muerto [40].

La raíz también puede romper por violencia ("fractura de la raíz"), por la larga o atravesado [38].


Coronas dentales

Cuando la substancia dura del diente totalmente está eliminada por la caries, pues van ser implantadas nuevas coronas dentales en los raigones dentales con cemento, resp. van ser "cerrados con hormigón" [10], con cemento provisional o definitivo [39]. Las coronas también  son llamadas "onlays" o "overlays" [20].

Corona parcial - corona total
Coronas parciales cubren el diente solo parcialmente, coronas completas cubren el raigón dental completamente. La producción de coronas parciales exige más trabajo. Se distingue coronas medias y coronas a tres cuartos [35].

Coronas dentales para dientes incisivos
Corona
                        para el diente incisivo, la construcción
                        (esquema) [28]
Corona para el diente incisivo, la construcción (esquema) [28]
xx
Coronas: corona de chaqueta para dientes
                        incisivos (esquema) [27]
Coronas: corona de chaqueta para dientes incisivos (esquema) [27]
Corona de diente de espina ("diente
                          de espina", corona de espina, corona
                          Richmond, corona Logan) para dientes incisivos
                          con espina atornillado [34]

Corona de diente de espina ("diente de espina", corona de espina, corona Richmond, corona Logan) para dientes incisivos con espina atornillado [34]


Corona de diente de espina ("diente
                          de espina", corona de espina, corona
                          Richmond, corona Logan) para dientes incisivos
                          con espina fundida [34]
Corona de diente de espina ("diente de espina", corona de espina, corona Richmond, corona Logan) para dientes incisivos con espina fundida [34]

Dientes de espina van ser cementados en el canal de la raíz [34]. Coronas de dientes de espina siempre son coronas completas [37].

Las coronas dentales para los dientes molares
Una
                          corona simple en metal es una "corona
                          fundida completamente", hecho de un
                          pedazo, con una margen fina o escalonada [37].
                          Coronas en metales [29] son p.e. coronas de
                          acero para la restauración de dientes de leche
                          y para el suministro provisional de dientes
                          permanentes de niños [34].

Una corona simple en metal es una "corona fundida completamente", hecho de un pedazo, con un margen fino o escalonada [37]. Coronas en metales [29] son p.e. coronas de acero para la restauración de dientes de leche y para el suministro provisional de dientes permanentes de niños [34].

xx
Corona: corona de metal y de cerámica o
                          de plástico: eso es una corona de metal en el
                          raigón dental con una capa de plástico o de
                          cerámica [29], también llamada corona veneer
                          [37]
Corona: corona de metal y de cerámica o de plástico: eso es una corona de metal en el raigón dental con una capa de plástico o de cerámica [29], también llamada corona veneer [37]

Corona: La corona
                              de telescopio es la corona para el diente
                              molar, con una parte debajo y encima
                              ("corona doble") [35].
Corona: La corona de telescopio es la corona para el diente molar, con una parte debajo y encima ("corona doble") [35].

Corona: La
                          corona de cono es un desarrollo ulterior de la
                          corona de telescopio con una forma cónica
                          [28].
Corona: La corona de cono es un desarrollo ulterior de la corona de telescopio con una forma cónica [28].


Pérdida de diente y vacíos de dientes y las consecuencias

Razones para una pérdida de diente:
-- caries (causa principal para la pérdida de los dientes molares)
-- enfermedades de la encía
-- eliminación de dientes por razones protéticas
-- eliminación de las muelas del juicio [39]
-- dientes sacados por violencia [27].

El efecto cuando falta un diente en la dentadura

Cuando un diente falta (p.e. en la mandíbula), así los "dientes opuestos" van prolongarse ("elongación", p.e. del maxilar) [10]. Los dientes vecinos al costado del vacío dental van migrar al vacío resp. "avanzan", y van migrar camino de los dientes incisivos ("migración mesial") [29]. Cuando no son cuidados los dientes y siempre caen más y más dientes, así queda solo una "dentadura de resto" [32]. En "países sub-desarrollados" sin conservación dental tradicional por comestibles referentes como huevos y cáscaras de huevos van ser eliminados todos los dientes restantes y va ser una prótesis ("terceros dientes"), p.e. en la jungla (selva) del Perú, adonde hay personas con 22 años que ya no tienen ningún diente más porque consumen mucha gaseosa azucarada y no limpian sus dientes, resp. porque al gobierno corrupto peruano no importa si la población tiene dientes o no, y porque por eso falta cada educación para cuidar dientes y todo depende de los padres, pero ellos parcialmente todavía son analfabetos y cuando no falta la plata para el dentista y no entienden nada de procesos químicos. No saben que gaseosa contiene la combinación de azúcar y ácido cítrico porque protección del consumidor no existe en "países sub-desarrollados", y no existe una caída de la caja ("Kassensturz") que va apresurar la industria a reemplazar el azúcar por dulcificantes [33].


Prótesis dental

Eso pueden ser prótesis parciales o totales [39].

Implantes dentales

Implantes dentales son dientes artificiales en lugar de dientes eliminados [39].

Cremas del dentista

Eugenol, crema contra dolor y antibacterial
Eugenol - una parte principal del aceite de clavos - es preparado con polvo de óxido de zinc y tiene un efecto contra dolor y contra bacterias en la medicina dental de emergencia y para fijar coronas y puentes provisionales [10].

Tintura de mirra
Tintura de mirra es un enjuague bucal astringente [29] y deja curar pequeñas heridas más rápido [6]. Se puede pincelar la encía con eso también [29].

Té de salvia
La té de salvia es al mismo tiempo un agua dentrífica astringente [34] y deja curar pequeñas heridas más rápido [6].


Cremas dentales

Sensodyne
es una <crema dental contra dientes sensibles, contiene 3% cloruro de estroncio.> [34]

Meridol
es una <conexión especial del amino fluoruro orgánico (olaflur) con fluoruro de estaño inorgánico. Se usa la crema a luchar química la placa bacteriana [29].


Cepillos

<El cepillo ideal debería ser de una cabeza corta con cerdas cortadas en forma recta, al fin cerdas redondas en material sintético (perlón, naylón etc.).> [39]

Limpiar los dientes debería ser de mayor parte por "revolcar" verticalmente para sacar todos los restos de la comida de los surcos [39].

Daños por cepillar de un modo falso son llamados "trauma de cepillo" [39].

Cepillos duros y cepillos con largas cabezas deberían ser prohibido pues porque solo son destrucrtivos: Cepillos duros dañan al encía, y con grandes cabezas no se puede limpiar los dientes precisamente [6].


Alimentación contra caries

Harinas de granos preparados en piedras de molinos limpian los dientes automáticamente

En una investigación sobre huesos la antropóloga Bettina Jungklaus constató: Granos molidos en piedras contienen polvo de piedra lo que automáticamente limpia los dientes mascando. Al mismo tiempo se cortan los dientes un poco. Así en el tiempo antes de la introducción de la papa en Europa y antes de la introducción de sistemas de molinos modernos (en metal) la gente tenía dientes más sanos [47] - y la población africana que está hasta hoy con sistemas de molinos de piedras moliendo sus granos se conservó ese método limpiando sus dientes y brilla con buenos dientes - en contra la "civilización" no tiene. Así sería bien producir harinas con piedras de molinos, así sería posible eliminar mucha caries en los países industriales y en otros países [48].

También una alimentación unilateral con puré de maíz daña a los dientes porque forma mucha placa bacteriana, p.e. en la esclavitud de los indígenas de los Guale en Florida. Fueron prohibidos pescado, mariscos y frutas (La Florida Bioarchaeology Project) [47].

-----

n-tv online,
              Logo

8/10/2010: Caries se trasmite durante un beso

de: n-tv online: Wissen: Vorsicht beim Küssen: Zahnkrankheiten sind übertragbar; 8.10.2010;
http://www.n-tv.de/wissen/Zahnkrankheiten-sind-uebertragbar-article1673141.html

Traducción de Michael Palomino:

<Bacterias de parodontitis y de caries pueden ser trasmitido durante un beso. Expertos indican que con casos graves de parodontitis hay germenes especiales que pueden lograr a otras bocas.

Lo que es decisivo para el inicio de una enfermedad no es el beso, pero es la higiene bucal. Eso indicó Dietmar Oesterreich, vice presidente de la organisación federal de dientes de Alemania. Personas que no limpian regularmente a sus dientes, o que regularmente fuman, ofrecen más superficie a bacterias. Parodontitis es una inflamación del periodonto provocando que el encía se va y puede provocar una laxaciójn de los dientes.

También caries con el "hueco en el diente" clásico es provocado por bacterias. Cuando hay bebes ellos son muy vulnerables para esa enfermedad. Madres levantando un chupete no deberían chuparlo sí mismas pero deberían lavarlo con agua, así aconseja Sr. Oesterreich.

dpa>

-----

Welt online,
                Logo

28-02-2011: Detectaron agente desconocido para caries de niños: Scardovia wiggsiae

de: Welt online: Unbekannter Erreger für Kinder-Karies entdeckt; 28.2.2011;
http://www.welt.de/gesundheit/article12664390/Unbekannter-Erreger-fuer-Kinder-Karies-entdeckt.html

<Científicos de los EUA han encontrado un nuevo especie de agente de caries en el sarro de los niños. La detección puede provocar terapias mejores.

Científicos de los EUA han encontrado un agente de caries que fue desconocido hasta hoyu. Se trata de una bacteria con el nombre de Scardovia wiggsiae. Mayormente está en combinación con Streptococcus mutans, el agente más conocido de caries, pero algunas veces el Scardovia wiggsiae es el único responsable para huecos en los dientes.

Deberían seguir anti caries terapias más efectivas y deberían ser encontrado agentes especialmente contra ese agente, escribe Anne Tanner de la universidad de Harvard en Boston y sus colegas en la revista científica "Journal of Clinical Microbiology".

Caries es una infección de los dientes causado por bacterias descompositando el azúcar provocando ácido. El ácido ataca a los dientes y puede provocar los huecos - cuando no hay bastante higiene y buena alimentación. Sobre todo con niños caries puede ser peligroso porque no solo los primeros dientes pueden ser atacados, pero también los dientes siguientes.

Mayormente Streptococca es el agente dañoso

En la mayoría de los casos el bacterium Streptococcus mutans es la causa principal de los huecos. Pero no todos los pacientes de caries tienen ese agente en su boca, y así los cíentificos tenían que suponer que hay otros agentes también causando caries.

Investigaron el sarro de 82 niños entre 2 y 6 años. 64 de ellos tenían una forma de caries de niños con ataques fuertes en sus dientes primeros. Otros 40 niños no tenían caries.

Cultivaron bacterias en el sarro bajo de condiciones especiales - p.e. sin oxígeno, con valor de pH ácido, o con caldo de cultivo de sangre. Investigando esas culturas los científicos encontraron la substancia genética de más de 5,100 clases de bacterias identificándolos con bancos de datos genéticos.

Dos sospechosos de 5,100 clases

Comparando las bacterias de niños con o sin caries, se mostró que las clases Streptococcus mutans y Scardovia wiggsiae existieron significantamente más con los niños con caries. 80% de los niños con caries tenían esas dos clases en su boca. En contra 80% de los niños sin caries fueron libres de esas dos bacterias.

Además los científicos encontraron que la bacteria Scardovia wiggsiae también existió en la boca de niños con caries cuando faltó la otra bacteria Streptococcus mutans. Con eso se puede suponer que Scardovia wiggsiae es el agente principal en esos casos, dijeron los científicos.

dapd/oc>


========

n-tv
                online, Logo

24.4.2012: Evitar caries del inicio - también limpiar bien los dientes del bebe

de: n-tv online: Salud: evitar caries: limpiar dientes desdel el primer diente (orig. alemán: Gesundheit: Karies vermeiden: Kindergebiss vom ersten Zahn an putzen); 24.4.2012; traducción de Michael Palomino;
http://www.n-tv.de/ticker/Gesundheit/Karies-vermeiden-Kindergebiss-vom-ersten-Zahn-an-putzen-article6103596.html

<Berlin (dpa/tmn) - Pequeños niños solo vienen raramente al dentista. Solo casi 33% de los niños con menos de 6 años toma parte en la investigación preventiva cada año con el dentista - eso sale del reporte de diente de 2012 de la caja de salud de Barmer GEK.

Cuando una dentadura de un niño no es bien cuidado a partir del primer diente, eso puede provocar daños también con los segundos dientes. "Cuando salen los primeros dientes, los padres deberían iniciar limpiar con el cepillo de dientes", así indica el Prof. Dietmar Österreich de la Cámara Federal de Médicos de Berlín. Según el reporte de la caja de salud de Barmer GEK, pequeños niños son demasiado raramente llevados al dentista - con la consecuencia que 5% de todos los empastes son para primeros dientes.

El primer diente sale mayormente con el sexto mes de la vida, así indica Österreich. A partir de ese momento hasta al segundo año los padres deberían limpiar los dientes con un poco de crema dental fluorada para niños. La crema para adultos es más concentrada y por eso no es buena para niños hasta el sexto año. A partir del segundo año de vida se aconseja una limpieza dos veces por día con la crema dental para niños. "Fluoruros tienen efecto sobre todo en el superficie de los dientes contra caries", indica Österreich.

Por falsas costumbres de alimentaciones - demasiadas cosas dulces o bebidas con ácidos - y por la falta de cuidado de dientes, todo eso provoca con niños entre 0 y 3 años una caries de biberón, así critica Sr. Österreich. Quiere decir, sobre todo los dientes frontales en el maxilar son rápidamente destruidos por bacterias. Las consecuencias son dolores, hinchazones, abscesos y tb. puede ser la pérdida de un diente. Y hay el gran peligro que también los dientes siguientes tienen caries ya (aunque todavía no han salido).

"El esmalte de los segundos dientes es muy sensible durante su fase de la salida y así las bacterias pueden bien atacarlo. El esmalte de los segundos dientes durante la salida está todavía en proceso madurando todavía", así explicó el médico dentista. Bacterias de caries reproduciéndose mucho en la boca durante los primeros años de vida encuentran buena comida cuando salen los nuevos dientes. Además una primera mordadura sana sirve también como comodín para los segundos dientes y además una mordadura perfecta primera es importante para el desarrollo de un buen lenguaje.

"Daños con la mordadura primera muchas veces tienen la consecuencua de daños permanentes con los segundos dientes", así explica el autor del estudio, profesor Thomas Schäfer del Instituto para Medicina Social, Epidemiología e Investigación de Sistemas de Salud en Hannover. Chequeos de detección temprana con niños pequeños deberían ser promovidos, sobre todo en familias socialmente flojas y con niños de madres solteras.

Fuente: n-tv.de / dpa>

Compartir / share:

Facebook







Fuentes

[1] http://www.zahnratgeber.de/index.php?action=&tid=10&letter=B&special=lexikon
[2] http://www.zahnratgeber.de/index.php?action=&tid=10&letter=C&special=lexikon
[3] experiencia de Michael Palomino
[4] http://www.zahnratgeber.de/index.php?action=&tid=10&letter=C&special=lexikon
[5] http://www.zahnratgeber.de/index.php?action=&tid=10&letter=D&special=lexikon
[6] conclusión de Michael  Palomino
[7] http://www.spitta.de/Produktfamilien/Fachinformationen/Prophylaxe/87_index+M53bf01a3a0d.html
[8] http://www.groefke.de/karies.html
[9] informaciones de la protección del consumador
[10] http://www.zahnratgeber.de/index.php?action=&tid=10&letter=E&special=lexikon&PHPSESSID=
1b1171d5eed7505c57bb9c97c1353303
[11] avisos del dentista Edwin Hurtado Roque, Lima (2009)
[12] http://www.zahnratgeber.de/index.php?action=&tid=10&letter=F&special=lexikon
[13] Gesundheit heute, edición scientífica mbH ("Wissenschaftliche Verlagsgesellschaft mbH");
http://www.gesundheit-heute.de/gh/ebene3.html?id=1420
[14] www.derweb.co.uk; http://www.erste-zahnarztmeinung.de/Zahnwissen-KZVWL/zahnwissen/lexikon_pa-pm.htm
[15] http://www.erste-zahnarztmeinung.de/Zahnwissen-KZVWL/zahnwissen/lexikon_pa-pm.htm
[16] caries fisural: http://www.dent.med.uni-muenchen.de/exponent-0.96.4/index.php?section=120
[17] http://www.kieferorthopaedie-sigmaringen.de/39997/58412.html
[18] http://www.fehndrich.com/Leistungen/Leistungen03.html
[19] http://www.volksschule-wiesentheid.de/4_schueler/Zahnprojekt/4_schueler_zaehne.html
[20] http://www.zahnratgeber.de/index.php?action=&tid=10&letter=G&special=lexikon
[21] http://www.gzfa.de/funktion-therapie/kinderzahnheilkunde/ursachen/
[22] http://www.dr-kares.de/ganzheitliche-kieferorthopaedie.php
[23] http://www.kfo-online.de/lexikon/M/mundvorhofplatte.html
[24] http://www.zahnratgeber.de/index.php?action=&tid=10&letter=H&special=lexikon
[25] http://www.aok.de/bund/tools/medicity/diagnose.php?icd=4391
[26] http://www.zahnratgeber.de/index.php?action=&tid=10&letter=I&special=lexikon
[27] observación por Michael Palomino
[27] http://www.zahnratgeber.de/index.php?action=&tid=10&letter=J&special=lexikon
[28] http://www.zahnratgeber.de/index.php?action=&tid=10&letter=K&special=lexikon
[29] http://www.zahnratgeber.de/index.php?action=&tid=10&letter=M&special=lexikon
[30] http://www.zahnratgeber.de/index.php?action=&tid=10&letter=N&special=lexikon
[31] http://www.zahnratgeber.de/index.php?action=&tid=10&letter=P&special=lexikon
[32] http://www.zahnratgeber.de/index.php?action=&tid=10&letter=R&special=lexikon
[33] observación por Michael Palomino en las amistades del Perú
[34] http://www.zahnratgeber.de/index.php?action=&tid=10&letter=S&special=lexikon&PHPSESSID=
910eeabdbb9fc1226840168f00a08240
[35] http://www.zahnratgeber.de/index.php?action=&tid=10&letter=T&special=lexikon&PHPSESSID=
fd6156b2ffc0ee018995bd51562c73c5
[36] http://www.zahnratgeber.de/index.php?action=&tid=10&letter=U&special=lexikon
[37] http://www.zahnratgeber.de/index.php?action=&tid=10&letter=V&special=lexikon
[38] http://www.zahnratgeber.de/index.php?action=&tid=10&letter=W&special=lexikon
[39] http://www.zahnratgeber.de/index.php?action=&tid=10&letter=Z&special=lexikon
[40] http://www.portal-der-zahnmedizin.de/behandlungen/wurzelerkrankungen/wurzelbehandlung/wurzelbehandlung.html
[41] http://www.fairzahnt.de/con/leistungen/endodontie.php
[42] http://www.crosswerk.com/mwcms/index.php?option=com_content&view=article&id=69&Itemid=75
[43] http://de.wikipedia.org/wiki/Zahnbelag
[44] http://de.wiktionary.org/wiki/Backenzahn
[45] http://www.vulgaris-medical.net/images/estomatologia-2/corte-transversal-de-un-diente-895.html
[46] http://todosobredientes.wordpress.com/2008/01/06/nuestros-dientes/
[47] http://www.kartoffel-geschichte.de/Erste_Furche/Gen_Europa/gen_europa.html
[48] conclusión Palomino

Fuentes de fotos

El diente
-- esquema de una mandíbula: http://www.volksschule-wiesentheid.de/4_schueler/Zahnprojekt/4_schueler_zaehne.html
-- diente, esquema de un diente incisivo:
http://www.vulgaris-medical.net/images/estomatologia-2/corte-transversal-de-un-diente-895.html
-- diente, esquema de un molar: http://todosobredientes.wordpress.com/2008/01/06/nuestros-dientes/

Precursores de la caries

-- molar, esquema: http://www.zahnratgeber.de/index.php?action=&tid=10&letter=S&special=lexikon

-- fisura (surco) con dientes molares, esquema en corte transversal:
http://www.zahnratgeber.de/index.php?action=&tid=10&letter=F&special=lexikon
-- fisuras (surcos) de los dientes molares: http://de.wiktionary.org/wiki/Backenzahn
-- caries fisural: http://www.dent.med.uni-muenchen.de/exponent-0.96.4/index.php?section=120
-- fisura sellada / surco sellado: http://www.kieferorthopaedie-sigmaringen.de/39997/58412.html

Primero precursor de la caries: placa bacteriana
-- placa bacteriana, partición según esquema:
http://www.erste-zahnarztmeinung.de/Zahnwissen-KZVWL/zahnwissen/lexikon_pa-pm.htm
-- placa bacteriana (sarro), amarillo: http://de.wikipedia.org/wiki/Zahnbelag
-- placa colorada: http://www.erste-zahnarztmeinung.de/Zahnwissen-KZVWL/zahnwissen/lexikon_pa-pm.htm

Segundo precursor de la caries: mancha blanca
-- mancha blanca en diente incisivo 01: http://www.zahnar-t.ch/a-z/K/karies.htm
-- mancha blanca en diente incisivo 02: http://www.dent.med.uni-muenchen.de/exponent-0.96.4/index.php?section=120
-- manchas blancas en muchos dientes:
http://www.erste-zahnarztmeinung.de/Zahnwissen-KZVWL/zahnwissen/lexikon_pa-pm.htm

Prevención de flúor
-- fluorosis: http://www.spitta.de/Produktfamilien/Fachinformationen/Prophylaxe/87_index+M53bf01a3a0d.html
-- cremas dentales Aronal y Elmex: http://iq.lycos.de/qa/show/291214/Welche-Zahnpasta-empfiehlt-Euch-Euer-Zahnarzt/
-- hilo de higiene dental glister: http://www.amway-shop.or.at/mundpflege.html
-- hilo de higiene dental entre dientes incisivos:
http://www.zahnarztpraxis-semmer.de/lexikon/3-zahnreinigung-und-mundhygiene.html

Diversos profundidades de la caries
-- nombres y lugares de las cavidades según Black:
http://www.zahnratgeber.de/index.php?action=&tid=10&letter=B&special=lexikon

Clases de las cavidades
http://www.zahnratgeber.de/index.php?action=&tid=10&letter=K&special=lexikon

Clases de la caries
-- caries superficial, esquema: http://www.zahnratgeber.de/index.php?action=&tid=10&letter=S&special=lexikon
-- caries media, esquema:
http://www.zahnratgeber.de/index.php?action=&tid=10&letter=C&special=lexikon
-- caries profunda, esquema:
http://www.zahnratgeber.de/index.php?action=&tid=10&letter=C&special=lexikon

-- caries en fisuras (surcos) de los dientes molares, esquema:
http://www.dent.med.uni-muenchen.de/exponent-0.96.4/index.php?section=120

-- caries entre los dientes: foto de una paciente en Lima: foto de Michael Palomino (2009)
-- caries entre los dientes con dientes parcialmente eliminados:
http://www.erste-zahnarztmeinung.de/Zahnwissen-KZVWL/zahnwissen/lexikon_pa-pm.htm

-- caries de biberón: http://www.fehndrich.com/Leistungen/Leistungen03.html


Tratamiento de caries 01: mandrilar el lugar de caries
-- fresas diamantas, imagen: http://www.zahnratgeber.de/index.php?action=&tid=10&letter=B&special=lexikon

Tratamiento de caries 02: rellenos

Tratamiento de caries 03: pulir
-- finalizantes y fresas, imagenes: http://www.zahnratgeber.de/index.php?action=&tid=10&letter=F&special=lexikon

Tratamiento de careis 04: tratamiento de raíces
-- caries de raíz (imagen): http://www.fairzahnt.de/con/leistungen/endodontie.php
-- tratamiento de raíz (imagen):
http://www.crosswerk.com/mwcms/index.php?option=com_content&view=article&id=69&Itemid=75

Coronas para dientes incisivos
-- corona de chaqueta: http://www.zahnratgeber.de/index.php?action=&tid=10&letter=J&special=lexikon
-- corona para dientes incisivos (imagen):
http://www.zahnratgeber.de/index.php?action=&tid=10&letter=K&special=lexikon
-- corona  de espina (corona Richmond):
http://www.zahnratgeber.de/index.php?action=&tid=10&letter=S&special=lexikon

Coronas dentales para dientes molares
-- conus: http://www.zahnratgeber.de/index.php?action=&tid=10&letter=K&special=lexikon
-- metal: http://www.zahnratgeber.de/index.php?action=&tid=10&letter=M&special=lexikon
-- metal y cerámica o metal y plástico: http://www.zahnratgeber.de/index.php?action=&tid=10&letter=M&special=lexikon
-- telescopio: http://www.zahnratgeber.de/index.php?action=&tid=10&letter=T&special=lexikon&PHPSESSID=
3bb8f5b437895cc00b33fa5e249fb8a1
-- veneer: http://www.zahnratgeber.de/index.php?action=&tid=10&letter=V&special=lexikon


^