Kontakt /
                    contact     Hauptseite /
                    page principale / pagina principal / home     zurück
                    / retour / indietro / atrás / back
   ENGL - ESP  
<<        >>

Coronavirus19 3x: Giftpillen Kombinationswirkung ist tödlich 01

17.5.2020: Die Mossad-Regierung Merkel ist von Bill Gates und Melinda Gates DIREKT GESTEUERT - durch eine "Absichtserklärung" vom Feb. 2017 - Link
17.5.2020: Die Mossad-Regierung in der Schweiz ist von Bill Gates und Meldinda Gates DIREKT GESTEUERT - durch eine "Absichtserklärung" vom 22.1.2014 - Link

Tod durch Pharma

1) Heilung des Coronavirus (Stand 29.4.2020):
Israel: Weihrauch kauen: 8 Kügelchen Weihrauch kauen (400mg), 4x täglich, je 15 Minuten lang (Link) - Mutter Erde hat's
Michael Palomino: Knoblauch+Zwiebel+Ingwer+Zitrone roh mit Lebensmitteln einnehmen, Olivenöl+2 Baumnüsse täglich für Verdauung - Mutter Erde hat's

Kuba heilt Coronavirus mit: Interferon Alfa 2B (Link1 - Link2)
Thailand heilt Coronavirus in 48 Stunden mit der Kombination von: Oseltamivir+Lopinavir+Ritonavir (Link1 - Link2)
Deutschland heilt Coronavirus mit Chloroquin (Link1 - Link2)
"USA" heilt Coronavirus 19 mit Hydroxychloroquin+Azithromycin+Zinksulfat (Dr. Zelenko in NYC: Link)

Südkorea heilt Coronavirus 19 mit dem Blutplasma geheilter Personen (Link)

2) Vorbeugung gegen Infektionsanfälligkeit geht mit Vollwerternährung, alles Vollkorn für volle Mineralienzufuhr, Zitrusfrüchte für Vit.C, Knoblauch+Zwiebeln+Ingwer für natürliche Antibiotika, genug Wasser für stabile Zellen, mit Olivenöl+2 Nüsse pro Tag für die Verdauung, keine schädlichen Sachen einnehmen - siehe Ernährungsleitlinien generell - und die Blutgruppenernährung beachten
3) Vorbeugung mit Vitaminen (z.B. in der Sonne spazieren für Vitamin D)
4) Natron in Wasser mit Ahorsirup oder Apfelessig 1 Monat lang nüchtern einnehmen, hebt den pH-Wert und den Sauerstoff im Blut (90% Heilquote - Natron Link)
5) Vorbeugung mit gesundem Schlaf: Um 22 Uhr schlafengehen, denn der Vormitternachtsschlaf ist wie ein zusätzliches Heilmittel für die Zellen!

Meldungen

präsentiert von Michael Palomino
Teilen / share:

Facebook








Michael Palomino,
                Portrait mit Inkakreuz und Mutter Erde mit Webseiten
Michael Palomino, Portrait mit Inkakreuz und Mutter Erde mit Webseiten

Medikamente gegen Coronavirus: Weihrauch - Knoblauch+Zwiebel+Ingwer+Zitrone roh mit Lebensmitteln - Natron - Interferon - Oseltamivir+Lopinavir+Ritonavir - Chloroquin (Stand 29.4.2020)
von Michael Palomino, 29.4.2020 - www.med-etc.com

Man sollte mit einer gesunden Ernährung (Link) erst gar nicht krank werden, am besten die Blutgruppenernährung anwenden (Link). Und am besten um 22 Uhr schlafen gehen für den Vormitternachtsschlaf. Die Medikamente sollte man bei den ersten Anzeichen nach einem Test sofort anwenden, nicht erst, wenn die Patientenperson in einem schlimmen Zustand künstlich beatmet werden muss:

Israel: Weihrauch kauen: 8 Kügelchen Weihrauch kauen (400mg), 4x täglich, je 15 Minuten lang (Link) - Mutter Erde hat's
Michael Palomino: Knoblauch+Zwiebel+Ingwer+Zitrone roh mit Lebensmitteln einnehmen, Olivenöl+2 Baumnüsse täglich für Verdauung - Mutter Erde hat's

auch: Natron 1 Monat lang nüchtern einnehmen (Natron Link)

Kuba: Medikament "Interferon Alfa 2B" aus Kuba heilt Coronavirus:
-- Link 1 "Interferon Alfa 2B": https://www.epochtimes.de/politik/welt/kuba-hat-mittel-gegen-das-coronavirus-entwickelt-zahlreiche-laender-haben-interesse-a3185004.html
-- Link 2:
Interferon Alfa 2B Humano Recombinante: https://deutsch.rt.com/international/99525-china-kubanisches-medikament-bewahrt-sich/

Thailand: Thailands Spitäler heilen Coronavirus in 48 Stunden mit der Kombination von: Oseltamivir (gg. Grippe)+Lopinavir+Ritonavir (gg. AIDS)
-- Link 1:
https://www.epochtimes.de/gesundheit/coronavirus-newsticker-zwei-wuhan-rueckkehrer-positiv-getestet-1400-kraefte-des-militaers-fuer-neues-krankenlager-in-wuhan-a3143841.html
-- Link 2: https://deutsch.rt.com/asien/98695-thailand-heilt-offenbar-corona-patientin-mit-medikamenten-mix/

Deutschland: Chloroquin der IG Farben+Bayer heilt Malaria UND Coronavirus:
-- Link 1: https://www.manager-magazin.de/unternehmen/artikel/chloroquin-usa-lassen-malaria-mittel-von-bayer-gegen-corona-zu-a-1305581.html
-- Link 2: https://www.manager-magazin.de/unternehmen/artikel/chloroquin-gegen-coronavirus-was-fuer-den-einsatz-des-bayer-medikaments-sprichts-a-1305579.html


Schwere Verläufe von Coronavirus:
— bei Lungenkranken [web02] (Lungen sind heilbar mit Natron, Quote 90% - Merkblatt Natron)
— bei Herzpatienten [web02] (Kreislauf ist heilbar mit Natron, Quote 90% - Merkblatt Natron)
— bei Diabetes [web02] (Diabetes ist heilbar mit Natron, Quote 90% - Merkblatt Natron)
— bei Rheuma - [web02] und von Ernährung spricht NIEMAND (?!)

-- bei Asthma [web03] (Asthma heilt mit Natron - Heilquote 90% - Merkblatt Natron)

NIE IMPFEN:
Impfungen enthalten Aluminium, Quecksilber, Zellen von Föten, manchmal auch Schei., Nagalase zur Unterdrückung von Vit.D und Begünstigung von Krebs etc. (Link)

Schweiz 25.4.2020: Resultat von Umfragen: Orte der Ansteckung mit Corona19 sind vor allem: Familie, Heime und Spitäler (!!!)
Kantone beginnen mit lokalem Contact Tracing – und finden erste Ansteckungsquellen
https://www.watson.ch/schweiz/coronavirus/153439702-coronavirus-schweiz-bund-schiebt-contact-tracing-auf-kantone-ab













Sputnik-Ticker online, Logo

Frankreich 14.3.2020: Warnung vor Kreuzwirkung von entzündungshemmenden Medis während Corona-Erkrankung: Ibuprofen, Cortison etc.
Diese Medikamente sind bei neuartigem Coronavirus zu vermeiden – Frankreichs Gesundheitsminister

https://de.sputniknews.com/panorama/20200314326603743-medikamente-sind-bei-neuartigem-coronavirus-zu-vermeiden--frankreich/

<Der französische Gesundheitsminister, Olivier Veran, hat am Samstag auf Twitter entzündungshemmende Medikamente genannt, durch deren Einnahme sich der Zustand Corona-Infizierter verschlechtern kann.

„Covid-19. Die Einnahme von entzündungshemmenden Medikamenten - Ibuprofen, Cortison usw. - könnte als Faktor für eine Verschlimmerung der Infektion dienen. Bei Fieber nehmt Paracetamol ein“, schrieb Veran auf seinem Twitter-Account.

​Jenen, die bereits entzündungshemmende Medikamente einnehmen oder Zweifel haben, rät der Minister, sich beim Arzt zu erkundigen.

Coronavirus-Fälle in Frankreich

Nach dem Stand zum Freitagabend gab es in Frankreich 3661 Coronavirus-Fälle. Die Zahl der Todesfälle im Zusammenhang mit dem neuen Virus SARS-CoV-2 lag bei 79.

Pandemie

Die Weltgesundheitsorganisation hatte am Mittwoch die Verbreitung des neuen Coronavirus Sars-CoV-2 als Pandemie eingestuft. Bisher wurden in mehr als 120 Ländern 132.000 Coronavirus-Infektionen nachgewiesen. Rund 5000 Menschen sind gestorben.  ns/ae/sna >

========

20 minuten
                      online, Logo

14.3.2020: Noch jemand warnt vor Ibuprofen - Naturmedizin wäre wohl gescheiter:
Covid-19: Ist Ibuprofen gefährlich bei einer Corona-Ansteckung?


========

20 minuten online, Logo

17.3.2020: Schweizer Bundesamt für "Gesundheit" meint, Ibuprofen sei mit Coronaviruspanik nicht vereinbar:
Coronavirus : BAG rät, Fieber nicht mit Ibuprofen zu senken


========

Wieso sind sie gestorben?

Facebook Logo

20.3.2020: Italienische Ärzte wissen kaum was und geben den Coronakranken Ibuprofen
André Kunz Unter anderem weil Italien die am schlechtesten ausgebildeten Ärzte in Europa haben und den Patienten Ibuprofen geben was alles verschlimmert !

========

20 minuten online, Logo

London 20.3.2020: Coronavirus bewirkt zuerst FALSCHE DIAGNOSE - dann FALSCHE MEDIKAMENTATION - und dann die Sauerstoffflasche:
Coronavirus : 39-Jährige sendet Warnung vom Spitalbett


https://www.20min.ch/ausland/news/story/28241342

<Tara Jane Langston aus London hat sich mit dem Coronavirus infiziert. Aus der Intensivstation mahnt sie andere eindringlich, keinerlei Risiko einzugehen.

Wenn ihr ein Risiko eingehen wollt, dann seht mich an», sagt Tara Jane Langston und schweift mit der Kamera zu den Kanülen in ihren Armen. Die 39-Jährige aus London lag diese Woche mehrere Tage auf der Intensivstation, weil sie sich mit dem Coronavirus infiziert hat.

In einer Videobotschaft auf Facebook wendet sich die Mutter von zwei Kindern an die Öffentlichkeit und will aufzeigen, dass auch jüngere, kerngesunde Menschen wie sie schwer am Virus erkranken können. «Ich befinde mich auf der Intensivstation und kann nicht ohne Hilfe atmen.» Sollte jemand da draussen noch rauchen, «dann hört auf damit, weil ihr eure Lungen noch brauchen werdet. Wenn es wirklich schlecht verläuft, dann werdet ihr auch hier enden.»

Der «Daily Mail» sagte sie, dass jeder Atemzug ein Kampf sei. «Es ist schrecklich und so etwas möchte ich nie wieder erleben.» Ein Arzt habe bei ihr zunächst eine Brustinfektion diagnostiziert. Sie habe Antibiotika, Ibuprofen und Paracetamol erhalten.

Die Mutter von zwei Kindern war am vergangenen Freitag ins Spital gebracht und am Sonntag mit Covid-19 diagnostiziert worden. Inzwischen habe sie auf eine normale Station verlegt werden können und sei dabei, sich zu erholen. «Meine Geschichte sollte eine Warnung für andere sein – jeder sollte das ernst nehmen», sagte Langston. «Die Menschen müssen einsehen, dass sie sich selbst isolieren müssen, das ist der einzige Weg. Glaubt mir.»

(roy/scl)>


========

Epoch Times online, Logo

21.3.2020: WHO verteidigt Pharmapille Ibuprofen:
WHO zieht Warnung gegen Ibuprofen bei Covid-19 zurück – Frankreich hält an Bedenken fest
https://www.epochtimes.de/gesundheit/who-zieht-warnung-gegen-ibuprofen-bei-covid-19-zurueck-frankreich-haelt-an-bedenken-fest-a3191377.html


Die Frage ob Ibuprofen und andere nichtsteroidaler Antirheumatika den Verlauf von Covid-19 verschlimmern, scheidet die Geister. Die WHO zog die zuvor ausgesprochene Warnung kürzlich zurück. Der französische Gesundheitsminister hält an der Warnung fest und beschränkt die Abgabe von der Alternative Paracetamol auf zwei Packungen pro Personen.>

========

Swiss Propaganda Research online, Logo

1.4.2020: Der Tod bei Corona19-Patienten kommt im Spital: Infektionen+Giftpillen-Cocktail (Steroide+Antibiotika+antivirale Medis):
Fakten zu Covid-19 - Stand 30.3.2020
https://swprs.org/covid-19-hinweis-ii/

Stand 30.3.2020

30. März 2020 (II)

[Spitalinfektionen+aggressive Behandlungsmethoden mit vielen Giftpillen gegen Corona19 ermorden die Corona19-PatientInnen]
In mehreren Ländern mehren sich im Zusammenhang mit Covid19 die Anzeichen, dass „die Behandlung schlimmer als die Erkrankung“ sein könnte.

Dabei geht es einerseits um das Risiko von sogenannten nosokomialen Infektionen [Spitalinfektionen], das heißt Infektionen, die sich der womöglich nur leicht erkrankte Patient erst im Krankenhaus zuzieht. Für Europa wird mit 2.5 Millionen nosokomialen Infektionen und 50,000 damit verbundenen Todesfällen pro Jahr gerechnet. Selbst auf deutschen Intensivstationen erleiden rund 15% der Patienten eine nosokomiale Infektion, darunter auch Lungenentzündungen bei künstlicher Beatmung. Ein beson­deres Problem sind überdies die zunehmend antibiotikaresistenten Keime in Krankenhäusern.

Ein weiterer Aspekt sind die sicherlich gutgemeinten, aber teilweise sehr aggressiven Behandlungs­methoden, die bei Covid19-Erkrankten vermehrt zum Einsatz kommen. Hierzu zählt insbesondere die Verabreichung von Steroiden, Antibiotika und anti-viralen Medikamenten (oder eine Kombination davon). Bereits bei der Behandlung von SARS-1 Patienten zeigte sich, dass das Erebnis mit einer solchen Behandlung oft schlechter und tödlicher war, als ohne eine solche Behandlung.

Link: SARS-Patienten wurden im Spital ermordet:
https://www.sciencedaily.com/releases/2020/02/200206110703.htm

========

Diario UNO online,
                Logo

2.4.2020: Peru weiss NICHTS über pH-Werte und Immunsystem, behandelt Corona-19 mit: Cloroquin, Azitromizin und Antiretroviren-Medis:
COVID-19: Minsa aprueba uso de medicamentos

https://diariouno.pe/covid-19-minsa-aprueba-uso-de-medicamentos/

Se trata de la cloroquina, la azitromicina y antirretrovirales. Su uso será solo para casos moderados y severos.


El Ministerio de Salud (Minsa) aprobó un documento técnico que establece el uso de fármacos en el tratamiento de personas afectadas por COVID-19, entre ellos la cloroquina, la azitromicina y antirretrovirales.

La medida fue autorizada en una resolución suscrita por el ministro de Salud, Víctor Zamora, como parte del documento técnico que establece las acciones dirigidas a la prevención, diagnóstico y tratamiento de este virus.

El Minsa precisó que entre los medicamentos aprobados figuran la cloroquina, hidroxicloroquina, azitromicina y lopinavir/ritonavir, aunque indicó que “su uso solo será para el manejo de casos moderados y severos” en pacientes hospitalizados y a consideración de los médicos tratantes.

Si bien aún no hay tratamientos específicos para el coronavirus existen estudios internacionales sobre el uso de fármacos en atención de pacientes COVID-19 que ofrecen un limitado nivel de evidencia.

El Minsa sostuvo que, en consenso con el Grupo de Trabajo la COVID-19, se acogió una solicitud de las sociedades científicas nacionales de poner a consideración de los médicos especialistas tratantes los esquemas de tratamiento sugeridos.

Precisó que los criterios técnicos y procedimientos para la prevención, diagnóstico y tratamiento del coronavirus “en un escenario de transmisión comunitaria” son de aplicación obligatoria en los establecimientos de salud públicos y privados del país.

CIENTÍFICOS DE FRANCIA

El medicamento cloroquina ha sido añadido finalmente a la lista de tratamientos candidatos para luchar contra el Covid 19 en un ensayo clínico llamado Discovery. A finales de febrero, el profesor Didier Raoult, director del Instituto hospitalo-universitario Mediterráneo de Infección de Marsella, declaró que la cloroquina, era el arma más eficaz contra el nuevo coronavirus. Diez días después, dijo que después de seis días de tratamiento, sólo el 25% de los pacientes seguían mostrando síntomas.

 

ALGO MÁS

DE USO COMÚN. La cloroquina es empleada para combatir la malaria mientras que la azitromicina es un antibiótico usado en infecciones respiratorias. Los antirretrovirales fueron empleados en el tratamiento de casos de gripe H1-N1 en el Perú.

========

Tod durch Pharma:

Uncut news
                    online, Logo   YouTube online,
                    Logo   The Lancet
              online, Logo+favicon

The Lancet 11.4.2020: Tod durch Pharma: Corona19-Patient in Italien (50) stirbt an den Pharma-Medikamenten (!!!): Cortison, Antibiotika AIDS-Mittel und Interferon ALLES ZUSAMMEN=TÖDLICH:

Dr. med. Köhnlein: Corona-Tote wegen menschlicher Versuchbarkeit

<Laut Medienberichten mehren sich insbesondere in Italien die Todesfälle aufgrund von Corona-Infektion. Doch sterben die Menschen wirklich am Coronavirus? Dr. med. Claus Köhnlein stieß in der medizinischen Fachzeitschrift „The Lancet“ auf eine ganz andere, ja tragische Spur.>

Dr. Köhnlein:
                  Corona19-Patienten sterben an den
                  Pharma-Pillen-Cocktails
Dr. Köhnlein: Corona19-Patienten sterben an den Pharma-Pillen-Cocktails [4]

Video: Dr. med. Köhnlein: Corona-Tote wegen menschlicher Versuchbarkeit | 10. April 2020 | www.kla.tv/16103 (6'12'')

Video: Dr. med. Köhnlein: Corona-Tote wegen menschlicher Versuchbarkeit | 10. April 2020 | www.kla.tv/16103 (6'12'')
https://www.youtube.com/watch?v=y1dVP7kvTKg  - aus YouTube-Kanal: klagemauerTV - hochgeladen am 10.4.2020

Videoprotokoll:

Dr. Köhnlein nimmt Bezug auf die Zeitschrift "The Lancet" mit den Artikeln:
"Epidemievorsorge in städtischer Umgebung" ("Epidemic preparedness in urban settings")
https://www.thelancet.com/journals/laninf/article/PIIS1473-3099%2820%2930249-8/fulltext#articleInformation
und
"Pathologische Befunde von COVID-19 im Zusammenhang mit akutem Atemnotsyndrom"
("Pathological findings of COVID-19 associated with acute respiratory distress syndrome")
https://www.thelancet.com/journals/lancet/article/PIIS2213-2600(20)30076-X/fulltext

Artikel von The Lancet:
                  Pathological findings of COVID-19 associated with
                  acute respiratory distress syndrome, 18.2.2020
Artikel von The Lancet: Pathological findings of COVID-19 associated with acute respiratory distress syndrome, 18.2.2020 [1]

In letzterem Artikel wird die Behandlung eines 50 Jahre alten Corona19-Patienten beschrieben, er bekam
-- eine Höchstdosis an Cortison [Entzündungshemmer],
-- sehr harte Antibiotika, sowie
-- 2 Mittel aus der AIDS-Therapie und
-- Interferon (56'').

So wurde die Reaktion des Immunsystems gehemmt bzw. blockiert (59''). Gemäss Dr. Köhnlein ist der Patient somit NICHT am Corona19-Virus gestorben, sondern an den Medikamenten verstorben (die "Maximalmedikamentierung") (1'12''). Also die Pharma-Ärzte haben den Patienten im Willen, "das Beste" zu medikamentieren, getötet (1'57''). Köhnlein meint, das sei sicher kein Einzelfall, sondern eher der Modellfall (2'6''). Es ist also so, dass der Coronavirus erst dann tödlich wird, wenn man die falschen Medikamente gibt, die das Immunsystem noch zusätzlich schwächen (2'11'').
Hallo Michael! Anstatt das Immunsystem zu stärken haben diese Quacksalber von Ärzten das Immunsystem total unterdrückt?! Das grenzt schon haarscharf an Mord!!!

Der
                            Corona19-Patient (50) in Italien: Symptome
                            und Giftpillen, Grafik (Spitalaufenthalt
                            8.-27.2.2020)

Der Corona19-Patient (50) in Italien: Symptome und Giftpillen, Grafik (Spitalaufenthalt 8.-27.2.2020)
original:

<Since late December, 2019, an outbreak of a novel coronavirus disease (COVID-19; previously known as 2019-nCoV) ], [   was reported in Wuhan, China [], which has subsequently affected 26 countries worldwide. In general, COVID-19 is an acute resolved disease but it can also be deadly, with a 2% case fatality rate. Severe disease onset might result in death due to massive alveolar damage and progressive respiratory failure [] []. As of Feb 15, about 66 580 cases have been confirmed and over 1524 deaths. However, no pathology has been reported due to barely accessible autopsy or biopsy [] [].

[The case]

Here, we investigated the pathological characteristics of a patient who died from severe infection with severe acute respiratory syndrome coronavirus 2 (SARS-CoV-2) by postmortem biopsies. This study is in accordance with regulations issued by the National Health Commission of China and the Helsinki Declaration. Our findings will facilitate understanding of the pathogenesis of COVID-19 and improve clinical strategies against the disease.

[Man (50) comes from Wuhan and goes to hospital in Beijing]

A 50-year-old man was admitted to a fever clinic on Jan 21, 2020, with symptoms of fever, chills, cough, fatigue and shortness of breath. He reported a travel history to Wuhan Jan 8–12, and that he had initial symptoms of mild chills and dry cough on Jan 14 (day 1 of illness) but did not see a doctor and kept working until Jan 21 (figure 1). Chest x-ray showed multiple patchy shadows in both lungs (appendix p 2), and a throat swab sample was taken. On Jan 22 (day 9 of illness), the Beijing Centers for Disease Control (CDC) confirmed by reverse real-time PCR assay that the patient had COVID-19.

Übersetzung:

<Seit Ende Dezember 2019 wurde in Wuhan, China [2], von einem Ausbruch einer neuartigen Coronavirus-Krankheit (COVID-19; früher bekannt als 2019-nCoV) [1] [2] berichtet, von der anschließend 26 Länder weltweit betroffen waren. Im Allgemeinen handelt es sich bei COVID-19 um eine akute Krankheit, die jedoch mit einer Sterblichkeitsrate von 2% auch tödlich sein kann. Ein schwerer Krankheitsbeginn kann aufgrund massiver Alveolarschäden und fortschreitendem Atemversagen zum Tod führen [2] [3]. Bis zum 15. Februar wurden ungefähr 66.580 Fälle bestätigt und über 1524 Todesfälle. Aufgrund einer kaum zugänglichen Autopsie oder Biopsie wurde jedoch keine Pathologie berichtet [2] [3].

[Der Fall]

Hier untersuchten wir mittels Biopsie nach dem Tod die pathologischen Eigenschaften eines Patienten, der an einer schweren Infektion mit dem schweren akuten respiratorischen Syndrom Coronavirus 2 (SARS-CoV-2) starb. Diese Studie entspricht den Vorschriften der National Health Commission of China und der Helsinki-Erklärung. Unsere Ergebnisse werden das Verständnis der Pathogenese von COVID-19 erleichtern und die klinischen Strategien gegen die Krankheit verbessern.

[Mann (50) kommt aus Wuhan und geht in Peking ins Spital]

Ein 50-jähriger Mann wurde am 21. Januar 2020 mit Symptomen wie Fieber, Schüttelfrost, Husten, Müdigkeit und Atemnot in eine Fieberklinik eingeliefert. Er berichtete, er sei vmo 8. bis 12. Januar in Wuhan gewesen und hatte am 14. Januar (Tag 1 der Krankheit) erste Symptome von leichtem Schüttelfrost und trockenem Husten, ging jedoch keinen Arzt und arbeitete bis zum 21. Januar weiter (Abbildung 1). Röntgenaufnahmen der Brust zeigten mehrere fleckige Schatten in beiden Lungenflügeln (Anhang S. 2), und es wurde eine Rachenabstrichprobe entnommen. Am 22. Januar (Tag 9 der Krankheit) bestätigten die Pekinger Zentren für die Kontrolle von Krankheiten (CDC) durch einen umgekehrten Echtzeit-PCR-Assay, dass der Patient COVID-19 hatte.

Italien, Corona19-Patient mit
                          Lungenschaden, Leberschaden und Herzschaden
Italien, Corona19-Patient mit Lungenschaden, Leberschaden und Herzschaden [3]
[Intoxication of the patient with 5 toxic pills at one time]

He was immediately admitted to the isolation ward and received supplemental oxygen through a face mask. He was given
-- [pill supporting the immune system fighing virus and tumors] interferon alfa-2b (5 million units twice daily, atomisation inhalation) and
-- [AIDS pills] Lopinavir plus Ritonavir (500 mg twice daily, orally) as antiviral therapy,
-- and [the antibiotic] Moxifloxacin (0·4 g once daily, intravenously) to prevent secondary infection. Given the serious shortness of breath and hypoxaemia,
-- [against inflammations] Methylprednisolone (80 mg twice daily, intravenously) was administered to attenuate lung inflammation. Laboratory tests results are listed in the appendix (p 4).

[Fever goes down, lung and respirotary ways do NOT improve]

After receiving medication, his body temperature reduced from 39·0 to 36·4 °C. However, his cough, dyspnoea, and fatigue did not improve. On day 12 of illness, after initial presentation, chest x-ray showed progressive infiltrate and diffuse gridding shadow in both lungs.

[Oxigen therapy with nasal cannula - lung does not improve, but oxygen saturation is rising]

He refused ventilator support in the intensive care unit repeatedly because he suffered from claustrophobia; therefore, he received high-flow nasal cannula (HFNC) oxygen therapy (60% concentration, flow rate 40 L/min). On day 13 of illness, the patient's symptoms had still not improved, but oxygen saturation remained above 95%. In the afternoon of day 14 of illness, his hypoxaemia [oxygen in the blood] and shortness of breath worsened. Despite receiving HFNC oxygen therapy (100% concentration, flow rate 40 L/min), oxygen saturation values decreased to 60%, and the patient had sudden cardiac arrest. He was immediately given invasive ventilation, chest compression, and adrenaline injection. Unfortunately, the rescue was not successful, and he died at 18:31 (Beijing time).>
[Die Vergiftung des Patienten mit 5 Gift-Pillen gleichzeitig]

Er wurde sofort in die Isolationsstation eingeliefert und erhielt über eine Gesichtsmaske zusätzlichen Sauerstoff. Er erhielt
-- [das immunstimulierende, antivirale und antitumorale Medikament] Interferon alfa-2b (5 Millionen Einheiten zweimal täglich, Zerstäubungsinhalation) und
-- [die AIDS-Medikamente] Lopinavir plus Ritonavir (500 mg zweimal täglich oral) als antivirale Therapie
-- und [das Antibiotikum] Moxifloxacin (0,4 g einmal täglich intravenös), um eine Sekundärinfektion zu verhindern. Angesichts der schwerwiegenden Atemnot und Hypoxämie [niedriger Sauerstoffgehalt im Blut] wurde
-- [der Entzündungshemmer] Methylprednisolon (80 mg zweimal täglich, intravenös) verabreicht, um Lungenentzündungen abzuschwächen. Die Ergebnisse der Labortests sind im Anhang (S. 4) aufgeführt.

[Fieber geht runter, Lunge und Atemwege verbessern sich NICHT]

Nach der Einnahme von Medikamenten verringerte sich seine Körpertemperatur von 39,0 auf 36,4 ° C. Sein Husten, seine Atemnot und seine Müdigkeit besserten sich jedoch nicht. Am Tag 12 der Krankheit zeigte die Röntgenaufnahme des Brustkorbs nach vorherigen Röntgenaufnahmen nun ein progressives Infiltrat und einen diffusen Gitterschatten in beiden Lungen.

[Sauerstofftherapie mit Nasenkanüle - Lunge bessert nicht, die Sauerstoffsättigung steigt]

Er lehnte wiederholt die Unterstützung von Beatmungsgeräten auf der Intensivstation ab, weil er an Klaustrophobie litt. Daher erhielt er eine Sauerstofftherapie mit einer Nasenkanüle (HFNC) mit hohem Durchfluss (60% Konzentration, Flussrate 40 l / min). Am Tag 13 der Krankheit hatten sich die Symptome des Patienten immer noch nicht gebessert, aber die Sauerstoffsättigung blieb über 95%. Am Nachmittag des 14. Krankheitstages verschlechterten sich seine Hypoxämie [Sauerstoff im Blut] und Atemnot. Trotz HFNC-Sauerstofftherapie (100% Konzentration, Flussrate 40 l / min) sanken die Sauerstoffsättigungswerte auf 60% und der Patient hatte einen plötzlichen Herzstillstand. Er erhielt sofort invasive Beatmung, Brustkompression und Adrenalininjektion. Leider war die Rettung nicht erfolgreich und er starb um 18:31 Uhr (Pekinger Zeit).>


Auch die Ausgangsbeschränkungen für die Bevölkerung sind eine solche falsche Maximalmassnahme aus dem Bedürfnis der Politiker heraus, später nicht angeschuldigt zu werden, sie hätten nicht "alles versucht" (2'33'').

========

Pillen töten die Corona19-PatientInnen in Spitälern:

El
                              Trome online, Logo

https://trome.pe/actualidad/coronavirus-peru-aprueban-nuevo-protocolo-para-atencion-de-pacientes-con-covid-19-cuarentena-estado-de-emergencia-nndc-noticia/

29-04-2020: Peru mata enfermos de Corona19 con una combinación de pastillas tóxicas - medicina natural NO MENCIONAN en hospitales y es ESCONDIDA por el Ministerio de Salud:
Coronavirus Perú: aprueban nuevo protocolo para atención de pacientes con COVID-19

<La titular del Comando de Operaciones COVID-19, Pilar Mazzetti, indicó que las modificaciones a una resolución ministerial se realizaron tras analizar experiencias de otros países como también lo que ocurre en el Perú en el marco del tratamiento de pacientes con COVID-19.

[...]

Entre las acciones dispuestas en la citada norma figuran:

a. Administrar antibióticos si existe sospecha de una infección bacteriana concomitante, de acuerdo a los patrones de resistencia y susceptibilidad microbiológica.

b. Administrar antivirales si existe sospecha de una infección por influenza concomitante.

c. Evitar el uso de Antiinflamatorios no esteroideos (AINES)

d. Manejo de la respuesta inflamatoria

En casos severos de infección por SARS-CoV-2, uno de los mecanismos que ocasionan el SDRA es la denominada “tormenta de citoquinas”, consistente en una respuesta inflamatoria no controlada resultante de la liberación de grandes cantidades de citoquinas pro-inflamatorias y quimioquinas por parte de macrófagos activados. El estado de “hiperinflamación” puede conducir al SDRA, fallo multiorgánico y finalmente a la muerte del paciente.

Asimismo el dispositivo recuerda que la identificación temprana y el manejo oportuno de esta situación hiperinflamatoria podría mejorar la evolución de los casos de COVID-19.

No obstante, señala que a pesar del limitado nivel de la evidencia científica disponible, la identificación temprana y el manejo oportuno de esta situación hiper-inflamatoria podrían mejorar la evolución de los casos de COVID-19.

Luego la norma abarca el tema de marcadores de inflamación por cada caso de paciente con COVID-19 que son:

• Linfopenia < 800 células/µL

• Proteína C Reactiva > 100 mg/dL

• Ferritina > 700 ng/mL

• Dimero D > 1000 µg/mL

• Deshidrogenasa láctica (DHL) > 350 U/L

En los casos moderados (hospitalizados) de COVID-19, se presentan:

• SO2 < 93% (FiO2 21%) o

• Frecuencia respiratoria > 24 respiraciones por minuto, más

• Un marcador de inflamación

También se pone a consideración el uso de metilprednisolona, para el manejo del estado de hiperinflación, bajo la siguiente pauta:

• Metilprednisolona, 500mg EV cada 24/ h. por 3 días.

• Metilprednisolona 1mg/Kg, EV cada 12 horas por 5 días.

En caso no se cuente con metilprednisolona, la alternativa es dexametasona 20mg. EV c/24 h. por 4 días.

El uso de metilprednisolona o dexametasona en COVID-19, debe valorarse en cada caso, de manera individual, teniendo en cuenta las contraindicaciones, y evaluando los riesgos y beneficios de su indicación

En los casos severos de COVID-19, con SDRA, e incremento de interleucina (IL-6 >40 pg/mL) ó dímero D > 1500 ng/ml o en incremento), se pone a consideración el uso de tocilizumab, bajo la siguiente pauta:

• Tocilizumab en dosis única EV, peso ≥ 75 Kg: 600 mg, peso < 75 Kg: 400 mg

Tocilizumab no se recomienda en casos de neutropenia (<500), plaquetopenia (< 50000), o sepsis por patógenos no COVID-19. El uso de tocilizumab, en COVID-19, debe valorarse en cada caso, de manera individual, evaluando los riesgos y beneficios de su indicación

Manejo de los fenómenos tromboembólicos

La infección por el SARS CoV-2 causante del COVID-19 puede predisponer a complicaciones trombo embolicas debido a una respuesta inflamatoria exagerada, activación plaquetaria, disfunción endotelial y estasis.

Factores de riesgo para eventos trombo embólicos:

• Movilidad reducida

• Índice de masa corporal (IMC) > 30

• Evento tromboembólico previo

• Cáncer

• Trombofilia

Por ello, y a pesar del limitado nivel de evidencia científica disponible, se recibe la propuesta de la Sociedad Peruana de Hematología; y se pone a consideración el manejo de la enfermedad trombo embolica, de acuerdo al escenario clínico:

Instruktion
                            der WHO mit Giftpillen 01


En casos leves de COVID-19, que tienen manejo ambulatorio, se recomienda anticoagulación profiláctica, si es que presentan presenta factores de riesgo para eventos tromboembólicos, de acuerdo al siguiente cuadro:

Instruktion
                            der WHO mit Giftpillen 02

Para ellos, hay que tener en cuenta la dosis de acuerdo al peso y ajuste en caso de falla renal.

Tanto para los casos leves, de manejo ambulatorio, como los casos moderados que salen de alta hospitalaria, se recomienda mantener la anticoagulación hasta el momento de la alta clínica relacionada a COVID-19.

Luego de ello, la continuidad de la anticoagulación dependerá de la evaluación de cada caso en particular.

Finalmente, respecto al seguimiento clínico presencial dispone que el equipo evaluador deberá contar con oxímetro de pulso y tomar la pulsioximetría durante su evaluación. En caso esta sea < 95%, indicara que el paciente se dirija al centro asistencial más cercano.>

29.4.2020: Peru ermordet die Covid-19-Kranken mit einer Kombination von Pharma-Pillen - Naturmedizin wird in Spitälern NICHT ANGEWANDT und vom Gesundheitsministerium VERSCHWIEGEN:
Coronavirus Peru: Neues Protokoll für die Versorgung von Patienten mit COVID-19 ist zugelassen

<Der Leiter des COVID-19-Einsatzkommandos, Pilar Mazzetti, gab an, dass die Änderungen an einer Ministerresolution vorgenommen wurden, nachdem Erfahrungen aus anderen Ländern sowie die Ereignisse in Peru im Rahmen der Behandlung von Patienten mit COVID-19 analysiert wurden.
[...]

Zu den in der oben genannten Regel vorgesehenen Maßnahmen gehören:

a. Verabreichen Sie Antibiotika, wenn der Verdacht auf eine gleichzeitige bakterielle Infektion besteht, entsprechend den Resistenzmustern und der mikrobiologischen Anfälligkeit.

b. Bei Verdacht auf eine gleichzeitige Influenza-Infektion antivirale Medikamente verabreichen.

c. Vermeiden Sie die Verwendung von nichtsteroidalen Antiphlogistika (NSAIDs).

d. Management der Entzündungsreaktion

In schweren Fällen einer SARS-CoV-2-Infektion ist einer der Mechanismen, die ARDS verursachen, der sogenannte "Zytokinsturm", der aus einer unkontrollierten Entzündungsreaktion besteht, die aus der Freisetzung großer Mengen entzündungsfördernder Zytokine und Chemokine resultiert durch aktivierte Makrophagen. Der Zustand der "Hyperinflammation" kann zu ARDS, Multiorganversagen und letztendlich zum Tod des Patienten führen.

Ebenso erinnert die Anleitung daran, dass die frühzeitige Erkennung und rechtzeitige Behandlung dieser hyperinflammatorischen Situation die Entwicklung von COVID-19-Fällen verbessern könnte.

Er weist jedoch darauf hin, dass trotz des begrenzten Niveaus verfügbarer wissenschaftlicher Erkenntnisse eine frühzeitige Identifizierung und rechtzeitige Behandlung dieser hyperinflammatorischen Situation die Entwicklung von COVID-19-Fällen verbessern könnte.

Dann deckt die Norm-Anleitung das Problem der Entzündungsmarker für jeden Fall eines Patienten mit COVID-19 ab:

• Lymphopenie <800 Zellen / µL

• C Reaktives Protein> 100 mg / dl

• Ferritin> 700 ng / ml

• Dimero D> 1000 µg / ml

• Milchsäuredehydrogenase (DHL)> 350 U / l

In moderaten (hospitalisierten) Fällen von COVID-19 wird Folgendes dargestellt:

• SO2 <93% (FiO2 21%) oder

• Atemfrequenz> 24 Atemzüge pro Minute, mehr

• Ein Entzündungsmarker

Die Verwendung von Methylprednisolon wird auch für die Behandlung des Hyperinflationszustands gemäß den folgenden Richtlinien in Betracht gezogen:

Methylprednisolon, 500 mg EV alle 24 / h. für 3 Tage.

Methylprednisolon 1 mg / kg, EV 5 Tage lang alle 12 Stunden.

Wenn Methylprednisolon nicht verfügbar ist, ist die Alternative Dexamethason 20 mg. EV alle 24 Stunden. für 4 Tage.

Die Verwendung von Methylprednisolon oder Dexamethason in COVID-19 sollte in jedem Fall einzeln unter Berücksichtigung von Kontraindikationen und Bewertung der Risiken und Vorteile seiner Indikation bewertet werden.

In schweren Fällen von COVID-19 mit ARDS und erhöhtem Interleukin (IL-6> 40 pg / ml) oder D-Dimer> 1500 ng / ml oder mehr) wird die Verwendung von Tocilizumab in Betracht gezogen, mit der folgenden Richtlinie:

Tocilizumab-Einzeldosis EV, Gewicht ≥ 75 kg: 600 mg, Gewicht <75 kg: 400 mg

Tocilizumab wird bei Neutropenie (<500), Thrombozytenerkrankung (<50.000) oder Sepsis von Nicht-COVID-19-Pathogenen nicht empfohlen. Die Anwendung von Tocilizumab in COVID-19 sollte in jedem Fall einzeln bewertet werden, wobei die Risiken und Vorteile seiner Indikation zu bewerten sind.

Management von thromboembolischen Phänomenen

Eine COVID-19-verursachende SARS-CoV-2-Infektion kann aufgrund einer übertriebenen Entzündungsreaktion, Thrombozytenaktivierung, endothelialen Dysfunktion und Stase zu thromboembolischen Komplikationen führen.

Risikofaktoren für Thrombusembolieereignisse:

• Reduzierte Mobilität

• Body Mass Index (BMI)> 30

• Vorheriges thromboembolisches Ereignis

• Krebs

• Thrombophilie

Aus diesem Grund und trotz des begrenzten verfügbaren wissenschaftlichen Niveaus geht der Vorschlag der Peruanischen Gesellschaft für Hämatologie ein. und die Behandlung von thromboembolischen Erkrankungen wird gemäß dem klinischen Szenario in Betracht gezogen:

Instruktion
                          der WHO mit Giftpillen 01

In milden Fällen von COVID-19, die ambulant sind, wird eine prophylaktische Antikoagulation empfohlen, wenn sie Risikofaktoren für thromboembolische Ereignisse gemäß der folgenden Tabelle darstellen:

Instruktion
                          der WHO mit Giftpillen 02

Für sie muss die Dosis entsprechend dem Gewicht und der Anpassung bei Nierenversagen berücksichtigt werden.

Sowohl für leichte als auch für ambulante und mittelschwere Fälle, die aus dem Krankenhaus entlassen wurden, wird empfohlen, die Antikoagulation bis zum Zeitpunkt der klinischen Entlassung im Zusammenhang mit COVID-19 aufrechtzuerhalten.

Danach hängt die Kontinuität der Antikoagulation von der Bewertung jedes Einzelfalls ab.

In Bezug auf die klinische Nachsorge von Angesicht zu Angesicht muss das Bewertungsteam über ein Pulsoximeter verfügen und während der Bewertung eine Pulsoximetrie durchführen. Wenn dies <95% ist, bedeutet dies, dass der Patient zum nächsten Gesundheitszentrum geht.>



========

Epoch Times online, Logo

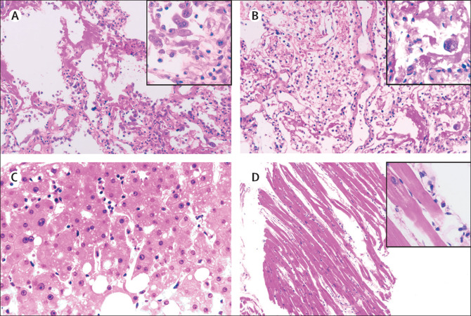
China 5.5.2020: Leberschäden durch zu viele Giftpillen gegen Corona19 - die Kombinationswirkungen sind unvorhersehbar:
COVID-19-Patienten in Wuhan: Dunkle Hautverfärbung durch Leberschäden
https://www.epochtimes.de/gesundheit/covid-19-patienten-in-wuhan-dunkle-hautverfaerbung-durch-leberschaeden-a3231470.html

<Von

Nach schwerem Krankheitsverlauf und wochenlanger Behandlung war die Haut von zwei Ärzten, die an COVID-19 erkrankten, dunkel verfärbt. Es wird vermutet, dass die Verfärbung durch Leberschäden entstand. Unklar ist, ob die Schäden durch das Virus selbst oder die Therapie verursacht wurden.

Zwei Ärzte aus Wuhan, Dr. Yi Fan und Dr. Hu Weifeng, beide 42 Jahre alt, steckten sich im Januar mit COVID-19 an. Beide hatten einen schweren Verlauf der Krankheit. Dr. Yi war 39 Tage lang an lebenserhaltenden Beatmungsgeräten angeschlossen, während sein Kollege Dr. Hu nahezu 100 Tage in einem kritischen Zustand verbrachte. Dabei verfärbte sich die Hautfarbe der Patienten immer dunkler.

Es wird vermutet, dass Leberschäden die Ursache sind. Ob diese jedoch durch das Virus oder die Therapie ausgelöst wurden, ist zurzeit noch unklar.

Leberschäden durch Virus

Bereits Anfang März berichteten chinesische Forscher in dem Fachjournal „The Lancet“, dass bei zwei bis elf Prozent der COVID-19-Patienten Leberschäden auftreten. Die Schädigung der Leber ist wesentlich häufiger bei schweren Fällen als bei milden Verläufen.

Bei milden Verläufen stabilisierten sich die Leberschädigungen mit der Zeit von selbst. Bei schwerwiegenden Verläufen bekamen die Patienten teilweise Medikamente, welche die Leber schützen.

Die Studienautoren berichteten, dass es möglich sei, dass das Virus die Leber befalle. Kürzliche Forschungen des Arztes Professor Frank Ruschitzka scheinen diese Annahme zu bestätigen. Laut seinen Forschungsergebnissen handle es sich bei COVID-19 um keine reine Lungenerkrankung, sondern um eine systemische Gefäßerkrankung. Während die Lunge oftmals am stärksten betroffen sei, könne es im Laufe der Viruserkrankung unter anderem auch zu akutem Herz-, Nieren oder Darmversagen kommen.

Dass Coronaviren in Leberzellen eindringen können, erkannte man bereits bei SARS. Da das neuartige Coronavirus über denselben Rezeptor, den Angiotensin-konvertierenden Enzym-2(ACE2)-Rezeptor, in menschliche Zellen eindringt, ist eine Leberschädigung durch das Virus nicht auszuschließen. Durch die geschädigte Leber kommt es zu einem Ungleichgewicht des Hormonspiegels, der vermutlich die Melaninbildung beeinflusst und zur Verfärbung der Haut führt.

Leberschäden durch Therapie

Leberschäden sind auch durch verschiedene Medikamente möglich. Die Auslösung oder Verschlimmerung von Leberschäden sind bekannte Nebenwirkungen von antiviralen Wirkstoffen, wie Hydroxychloroquin oder der Kombination aus Lopinavir und Ritonavir.

Dr. Li, der behandelnde Arzt der beiden Patienten, geht davon aus, dass ein Medikament die Leberschädigung auslöste. Allerdings gab er nicht bekannt, welche Medikamente er den beiden Patienten verabreichte.

Seiner Einschätzung nach sollte sich die Hautfarbe der Patienten nach einiger Zeit wieder normalisieren.

Dr. Thomas Aßmann, Facharzt für Innere Medizin aus Lindlar sagte gegenüber der „Bild“, dass er ebenfalls von einer Leberschädigung durch intensive Therapie ausgehe.

„Massive Gelbfärbungen sind bei Leberschädigungen keine Seltenheit. Da die Kollegen in China scheinbar sehr lange mit der Lungenmaschine, der sogenannten ECMO, behandelt wurden, wurde ihre Leber ganz sicher schwer belastet“, so Dr. Aßmann. Hinzu komme laut dem Mediziner, dass die Patienten im Laufe der Therapie von COVID-19 mehrere Medikamente bekommen. Dadurch seien Wechselwirkungen schwer nachzuvollziehen.>

========

GENimpfschaden Schweiz 12.2.2022: Gefahr von Kombinationswirkungen von Pillen mit der GENimpfung wird scheinbar unterschätzt
Impfschäden Schweiz Coronaimpfung, [12/02/2022 02:32 P.M.]
https://t.me/Impfschaden_Corona_Schweiz/39258
Eine neue Meldung:
Ich habe mir lange Gedanken gemacht ,warum soviele Probleme mit diesen Giftspritzen haben ,bzw warum viele  Menschen  erhebliche Probleme haben oder bekommen werden.
Wenn jemand in der Apotheke ein Medikament holt (auch Rezeptpflichtige) wird doch immer gefragt ,nehmen sie noch andere Medikamente ?  Bei dieser Frage geht es um Kontraindikationen ,und da dies ein neues Medikament ist ,und dies auch nie untersucht wurde ,könnte ich mir vorstellen ,dass gerade Leute die einige Medikamente nehmen müssen ,schneller oder mehr Probleme haben ...

Es wäre interessant ,bei all denn Nebenwirkungen zu erfahren welche Medikamente diese Personen zusätzlich einnehmen ,und wer gar keine oder äusserst selten Medis nimmt


========




<<        >>

Teilen / share:

Facebook








Quellen




Fotoquellen
[1] https://vk.com/fritz1956#/fritz1956?z=photo463459746_457254737%2Fwall417878056_72367


20
                            minuten online, Logo  Schweinzer Fernsehen online, Logo    Journalistenwatch online, Logo   RT Deutsch
                      online, Logo    Epoch Times online, Logo  Sputnik-Ticker online, Logo  Legitim.ch
                      online, Logo    InfoSperber
                online, Logo      News
                      for Friends online, Logo   Kronenzeitung online, Logo      Volksbetrug.net online, Logo   Uncut news
                      online, Logo

  VK online, Logo   Facebook Logo   YouTube online,
                      Logo   
Schwarzer
                  Kaffee online, Logo

n-tv
                        online, Logo  Spiegel online, Logo  Der
                        Standard online, Logo      ARD Logo  Frankfurter Allgemeine online, LogoNZZ Logo

 
La
                  República del Perú online, Logo    Diario UNO
                  online, Logo    El
                  Comercio del Perú online, Logo       Wochenblitz
                  online, Logo  

^