Kontakt /
                    contact     Hauptseite /
                    page principale / pagina principal / home     zurück
                    / retour / indietro / atrás / back
   ENGL - ESP  
<<        >>

Coronavirus19 3x: Der schwere Verlauf von Corona19 mit Favismus+Chloroquin 01

17.5.2020: Die Mossad-Regierung Merkel ist von Bill Gates und Melinda Gates DIREKT GESTEUERT - durch eine "Absichtserklärung" vom Feb. 2017 - Link
17.5.2020: Die Mossad-Regierung in der Schweiz ist von Bill Gates und Meldinda Gates DIREKT GESTEUERT - durch eine "Absichtserklärung" vom 22.1.2014 - Link

Video: CORONAVIRUS BESIEGEN: mit Ernährung+ Immunsystem+ die Italien-Katastrophe ist selbstverschuldet (14'50'')

Video: CORONAVIRUS BESIEGEN: mit Ernährung+ Immunsystem+ die Italien-Katastrophe ist selbstverschuldet (14'50'')
Video URL: https://youtu.be/c6fQ5uQCQGg - YouTube-Kanal: mandalaxxl - hochgeladen am 23.3.2020

1) Heilung des Coronavirus (Stand 29.4.2020):
Israel: Weihrauch kauen: 8 Kügelchen Weihrauch kauen (400mg), 4x täglich, je 15 Minuten lang (Link) - Mutter Erde hat's
Michael Palomino: Knoblauch+Zwiebel+Ingwer+Zitrone roh mit Lebensmitteln einnehmen, Olivenöl+2 Baumnüsse täglich für Verdauung - Mutter Erde hat's

Kuba heilt Coronavirus mit: Interferon Alfa 2B (Link1 - Link2)
Thailand heilt Coronavirus in 48 Stunden mit der Kombination von: Oseltamivir+Lopinavir+Ritonavir (Link1 - Link2)
Deutschland heilt Coronavirus mit Chloroquin (Link1 - Link2)
"USA" heilt Coronavirus 19 mit Hydroxychloroquin+Azithromycin+Zinksulfat (Dr. Zelenko in NYC: Link)

Südkorea heilt Coronavirus 19 mit dem Blutplasma geheilter Personen (Link)

2) Vorbeugung gegen Infektionsanfälligkeit geht mit Vollwerternährung, alles Vollkorn für volle Mineralienzufuhr, Zitrusfrüchte für Vit.C, Knoblauch+Zwiebeln+Ingwer für natürliche Antibiotika, genug Wasser für stabile Zellen, mit Olivenöl+2 Nüsse pro Tag für die Verdauung, keine schädlichen Sachen einnehmen - siehe Ernährungsleitlinien generell - und die Blutgruppenernährung beachten
3) Vorbeugung mit Vitaminen (z.B. in der Sonne spazieren für Vitamin D)
4) Natron in Wasser mit Ahorsirup oder Apfelessig 1 Monat lang nüchtern einnehmen, hebt den pH-Wert und den Sauerstoff im Blut (90% Heilquote - Natron Link)
5) Vorbeugung mit gesundem Schlaf: Um 22 Uhr schlafengehen, denn der Vormitternachtsschlaf ist wie ein zusätzliches Heilmittel für die Zellen!

Meldungen

präsentiert von Michael Palomino
Teilen / share:

Facebook








Michael Palomino,
                Portrait mit Inkakreuz und Mutter Erde mit Webseiten
Michael Palomino, Portrait mit Inkakreuz und Mutter Erde mit Webseiten

Medikamente gegen Coronavirus: Weihrauch - Knoblauch+Zwiebel+Ingwer+Zitrone roh mit Lebensmitteln - Natron - Interferon - Oseltamivir+Lopinavir+Ritonavir - Chloroquin (Stand 29.4.2020)
von Michael Palomino, 29.4.2020 - www.med-etc.com

Man sollte mit einer gesunden Ernährung (Link) erst gar nicht krank werden, am besten die Blutgruppenernährung anwenden (Link). Und am besten um 22 Uhr schlafen gehen für den Vormitternachtsschlaf. Die Medikamente sollte man bei den ersten Anzeichen nach einem Test sofort anwenden, nicht erst, wenn die Patientenperson in einem schlimmen Zustand künstlich beatmet werden muss:

Israel: Weihrauch kauen: 8 Kügelchen Weihrauch kauen (400mg), 4x täglich, je 15 Minuten lang (Link) - Mutter Erde hat's
Michael Palomino: Knoblauch+Zwiebel+Ingwer+Zitrone roh mit Lebensmitteln einnehmen, Olivenöl+2 Baumnüsse täglich für Verdauung - Mutter Erde hat's

auch: Natron 1 Monat lang nüchtern einnehmen (Natron Link)

Kuba: Medikament "Interferon Alfa 2B" aus Kuba heilt Coronavirus:
-- Link 1 "Interferon Alfa 2B": https://www.epochtimes.de/politik/welt/kuba-hat-mittel-gegen-das-coronavirus-entwickelt-zahlreiche-laender-haben-interesse-a3185004.html
-- Link 2:
Interferon Alfa 2B Humano Recombinante: https://deutsch.rt.com/international/99525-china-kubanisches-medikament-bewahrt-sich/

Thailand: Thailands Spitäler heilen Coronavirus in 48 Stunden mit der Kombination von: Oseltamivir (gg. Grippe)+Lopinavir+Ritonavir (gg. AIDS)
-- Link 1:
https://www.epochtimes.de/gesundheit/coronavirus-newsticker-zwei-wuhan-rueckkehrer-positiv-getestet-1400-kraefte-des-militaers-fuer-neues-krankenlager-in-wuhan-a3143841.html
-- Link 2: https://deutsch.rt.com/asien/98695-thailand-heilt-offenbar-corona-patientin-mit-medikamenten-mix/

Deutschland: Chloroquin der IG Farben+Bayer heilt Malaria UND Coronavirus:
-- Link 1: https://www.manager-magazin.de/unternehmen/artikel/chloroquin-usa-lassen-malaria-mittel-von-bayer-gegen-corona-zu-a-1305581.html
-- Link 2: https://www.manager-magazin.de/unternehmen/artikel/chloroquin-gegen-coronavirus-was-fuer-den-einsatz-des-bayer-medikaments-sprichts-a-1305579.html


Schwere Verläufe von Coronavirus:
— bei Lungenkranken [web02] (Lungen sind heilbar mit Natron, Quote 90% - Merkblatt Natron)
— bei Herzpatienten [web02] (Kreislauf ist heilbar mit Natron, Quote 90% - Merkblatt Natron)
— bei Diabetes [web02] (Diabetes ist heilbar mit Natron, Quote 90% - Merkblatt Natron)
— bei Rheuma - [web02] und von Ernährung spricht NIEMAND (?!)

-- bei Asthma [web03] (Asthma heilt mit Natron - Heilquote 90% - Merkblatt Natron)

NIE IMPFEN:
Impfungen enthalten Aluminium, Quecksilber, Zellen von Föten, manchmal auch Schei., Nagalase zur Unterdrückung von Vit.D und Begünstigung von Krebs etc. (Link)

Schweiz 25.4.2020: Resultat von Umfragen: Orte der Ansteckung mit Corona19 sind vor allem: Familie, Heime und Spitäler (!!!)
Kantone beginnen mit lokalem Contact Tracing – und finden erste Ansteckungsquellen
https://www.watson.ch/schweiz/coronavirus/153439702-coronavirus-schweiz-bund-schiebt-contact-tracing-auf-kantone-ab












Truth
                                11 online, Logo

https://truth11.com/2020/04/05/bombshell-plea-from-nyc-icu-doctor-covid-19-is-a-condition-of-oxygen-deprivation-not-pneumonia-ventilators-may-be-causing-the-lung-damage-not-the-virus-covid-19-patients-need-oxygen-they-do-n/

Video: COVID-19 ist ähnlich wie Sauerstoffmangel, keine Lungenentzündung... (1'57'')
COVID-19 is a condition of oxygen deprivation, not pneumonia… (1'57'')

https://www.youtube.com/watch?v=KvREyRIjiQQ - YouTube-Kanal: NATURAL HEALING  - hochgeladen am 4.4.2020

original:

Dr. Kyle-Sidell (NYC) April 5, 2020: Ventilators with air pressure damage the lungs, not the virus - oxigen has to enter without pressure - Corona19 is like high altitude sickness:
COVID-19 is a condition of oxygen deprivation, not pneumonia…

<VENTILATORS may be causing the lung damage, not the virus | COVID-19 patients need oxygen, they do not need pressure | This is critically important and raises huge questions about the origins of the coronavirus and whether there is some additional external factor beyond the virus that may be causing a combined effect that results in severe oxygen deprivation.

A NYC physician named Cameron Kyle-Sidell has posted two videos on YouTube, pleading for health practitioners to recognize that COVID-19 is not a pneumonia-like disease at all. It’s an oxygen deprivation condition, and the use of ventilators may be doing more harm than good with some patients. The ventilators themselves, due to the high-pressure methods they are running, may be damaging the lungs and leading to widespread harm of patients.

Dr. Cameron Kyle-Sidell describes himself as an “ER and critical care doctor” for NYC. “In these nine days I have seen things I have never seen before,” he says. Before publishing his video, we confirmed that Dr. Kyle-Sidell is an emergency medicine physician in Brooklyn and is affiliated with the Maimonides Medical Center located in Brooklyn.

In his video (see below), he goes on to warn the world that the entire approach to treating COVID-19 may be incorrect, and that the disease is something completely different from what the dogmatic medical establishment is claiming.

“In treating these patients, I have witnessed medical phenomena that just don’t make sense in the context of treating a disease that is supposed to be a viral pneumonia,” he explains.

[Emergency station is treating in a wrong way]

He talks about how he opened a critical care using expecting to be treating patients with a viral pneumonia infection that would progress into Acute Respiratory Distress Syndrome (ARDS). But that the disease acted nothing like ARDS. “This is the paradigm that every hospital in the country is working under,” he warns. “And yet, everything I’ve seen in the last nine days, all the things that just don’t make sense, the patients I’m seeing in front of me, the lungs I’m trying to improve, have led me to believe that COVID-19 is not this disease, and that we are operating under a medical paradigm that is untrue.”

More from Dr. Kyle-Sidell: (emphasis added)

In short, I believe we are treating the wrong disease, and I fear that this misguided treatment will lead to a tremendous amount of harm to a great number of people in a very short time… I feel compelled to give this information out.

[Corona19=high altitude sickness like on Mt. Everest]

COVID-19 lung disease, as far as I can see, is not a pneumonia and should not be treated as one. Rather, it appears as if some kind of viral-induced disease most resembling high altitude sickness. Is it as if tens of thousands of my fellow New Yorkers are on a plane at 30,000 feet at the cabin pressure is slowly being let out. These patients are slowly being starved of oxygen.

And while [patients] absolutely look like patients on the brink of death, they do not look like patients dying from pneumonia… I suspect that the patients I’m seeing in front of me, look as if a person was dropped off on the top of Mt. Everest without time to acclimate.

He goes on to explain that ventilators, in some cases, may be doing far more harm than good.

When we treat people with ARDS, we typically use ventilators to treat respiratory failure. But these patients’ muscles work fine. I fear that if we are using a false paradigm to treat a new disease, then the method that we program [into] the ventilator, one based on respiratory failure as opposed to oxygen failure, that this method being widely adopted … aims to increase pressure on the lungs in order to open them up, is actually doing more harm than good, and that the pressure we are providing to lungs, we may be providing to lungs that cannot take it. And that the ARDS that we are seeing, may be nothing more than lung injury caused by the ventilator.

There are hundreds of thousands of lungs in this country at risk.

In other words, the real disease appears to cause oxygen deprivation in victims, not pneumonia. This is critically important for all the obvious reasons, and it raises huge questions about the origins of the coronavirus and whether there is some additional external factor beyond the virus that may be causing a combined effect that results in severe oxygen deprivation.

[The video warning by medical doctor Kyle-Sidell]

Watch the full video here:

Watch this second video where he begs the world to recognize that the ventilator protocols are not working and must be changed.

Video: COVID-19 is a condition of oxygen deprivation, not pneumonia… (1'57'')

https://www.youtube.com/watch?v=KvREyRIjiQQ - YouTube-Kanal: NATURAL HEALING  - hochgeladen am 4.4.2020

From this second video:

We don’t know where we’re going. We are putting breathing tubes in people and putting them on ventilators and dialing up the pressure to open their lungs. I’ve talked to doctors all around the country and it is becoming increasingly clear that the pressure we are providing may be hurting their lungs. That it is highly likely that the high pressures we are using are damaging the lungs of the patients we are putting breathing tubes in… we are running the ventilators in the wrong way…. COVID-19 patients need oxygen, they do not need pressure.

Stay informed. Read Pandemic.news for independent, breaking news on the coronavirus and COVID-19.>

Übersetzung:

Dr. Kyle-Sidell (NYC) 5. April 2020: Beatmungsgeräte mit Luftdruck schädigen die Lunge, nicht das Virus - Sauerstoff muss ohne Druck eintreten - Corona19 ist wie eine Höhenkrankheit:
COVID-19 ist ein Zustand des Sauerstoffmangels, keine Lungenentzündung…

<VENTILATOREN können den Lungenschaden verursachen, nicht das Virus | COVID-19-Patienten brauchen Sauerstoff, sie brauchen keinen Druck Dies ist von entscheidender Bedeutung und wirft große Fragen zur Entstehung des Coronavirus auf und darüber, ob es neben dem Virus einen zusätzlichen externen Faktor gibt, der einen kombinierten Effekt verursachen kann, der zu schwerem Sauerstoffmangel führt.

Ein NYC-Arzt namens Cameron Kyle-Sidell hat zwei Videos auf YouTube gepostet und die Ärzte gebeten, zu erkennen, dass COVID-19 überhaupt keine Lungenentzündung ist. Es handelt sich um einen Sauerstoffmangel, und die Verwendung von Beatmungsgeräten kann bei einigen Patienten mehr schaden als nützen. Die Beatmungsgeräte selbst können aufgrund der von ihnen verwendeten Hochdruckmethoden die Lunge schädigen und zu einer weit verbreiteten Schädigung der Patienten führen.

Dr. Cameron Kyle-Sidell beschreibt sich selbst als "Notarzt und Intensivarzt" für NYC. "In diesen neun Tagen habe ich Dinge gesehen, die ich noch nie gesehen habe", sagt er. Vor der Veröffentlichung seines Videos haben wir bestätigt, dass Dr. Kyle-Sidell ein Notfallmediziner in Brooklyn ist und dem Maimonides Medical Center in Brooklyn angeschlossen ist.

In seinem Video (siehe unten) warnt er die Welt, dass der gesamte Ansatz zur Behandlung von COVID-19 möglicherweise falsch ist und dass die Krankheit etwas völlig anderes ist als das, was die dogmatische medizinische Einrichtung behauptet.

"Bei der Behandlung dieser Patienten habe ich medizinische Phänomene beobachtet, die im Zusammenhang mit der Behandlung einer Krankheit, bei der es sich vermutlich um eine virale Lungenentzündung handelt, einfach keinen Sinn ergeben", erklärt er.

[Die Intensivstation behandelt falsch]

Er spricht darüber, wie er eine Intensivstation eröffnet hat, indem er erwartet, Patienten mit einer viralen Lungenentzündung zu behandeln, die zum akuten Atemnotsyndrom (ARDS) führen würde. Aber dass die Krankheit nichts mit ARDS zu tun hatte. "Dies ist das Paradigma, unter dem jedes Krankenhaus im Land arbeitet", warnt er. „Und doch hat mich alles, was ich in den letzten neun Tagen gesehen habe, all die Dinge, die einfach keinen Sinn ergeben, die Patienten, die ich vor mir sehe, die Lungen, die ich zu verbessern versuche, dazu geführt Ich glaube, dass COVID-19 nicht diese Krankheit ist und dass wir unter einem medizinischen Paradigma operieren, das nicht wahr ist. “

Mehr von Dr. Kyle-Sidell: (Hervorhebung hinzugefügt)

Kurz gesagt, ich glaube, wir behandeln die falsche Krankheit, und ich befürchte, dass diese fehlgeleitete Behandlung in sehr kurzer Zeit einer großen Anzahl von Menschen enormen Schaden zufügen wird. Ich fühle mich gezwungen, diese Informationen weiterzugeben.

[Corona19=Höhenkrankheit wie auf dem Mt. Everest]

Die COVID-19-Lungenerkrankung ist meines Erachtens keine Lungenentzündung und sollte nicht als solche behandelt werden. Es scheint eher so, als ob eine Art von Virus-induzierter Krankheit der Höhenkrankheit am ähnlichsten wäre. Ist es so, als ob Zehntausende meiner New Yorker in einem Flugzeug in 30.000 Fuß Höhe sitzen, während der Kabinendruck langsam herausgelassen wird? Diesen Patienten wird langsam Sauerstoff entzogen.

Und während [Patienten] absolut wie Patienten am Rande des Todes aussehen, sehen sie nicht wie Patienten aus, die an einer Lungenentzündung sterben… Ich vermute, dass die Patienten, die ich vor mir sehe, so aussehen, als ob eine Person oben abgesetzt worden wäre von Mt. Everest ohne Zeit sich zu akklimatisieren.

Er erklärt weiter, dass Beatmungsgeräte in einigen Fällen weitaus mehr schaden als nützen können.

Wenn wir Menschen mit ARDS behandeln, verwenden wir normalerweise Beatmungsgeräte zur Behandlung von Atemversagen. Aber die Muskeln dieser Patienten funktionieren gut. Ich befürchte, dass, wenn wir ein falsches Paradigma zur Behandlung einer neuen Krankheit verwenden, die Methode, die wir in das Beatmungsgerät programmieren, die auf Atemversagen im Gegensatz zu Sauerstoffversagen basiert, darauf abzielt, den Druck zu erhöhen auf die Lunge, um sie zu öffnen, tut tatsächlich mehr Schaden als Nutzen, und dass der Druck, den wir auf die Lunge ausüben, wir möglicherweise auf Lungen ausüben, die ihn nicht aufnehmen können. Und dass das ARDS, das wir sehen, nichts anderes als eine durch das Beatmungsgerät verursachte Lungenverletzung sein kann.

In diesem Land sind Hunderttausende von Lungen gefährdet.

Mit anderen Worten, die eigentliche Krankheit scheint bei den Opfern Sauerstoffmangel zu verursachen, nicht eine Lungenentzündung. Dies ist aus all den offensichtlichen Gründen von entscheidender Bedeutung und wirft große Fragen zur Entstehung des Coronavirus auf und darüber, ob es neben dem Virus einen zusätzlichen externen Faktor gibt, der einen kombinierten Effekt verursachen kann, der zu schwerem Sauerstoffmangel führt.

[Die Video-Warnung von Dr. Kyle-Sidell]

Sehen Sie sich das vollständige Video hier an:

Sehen Sie sich dieses zweite Video an, in dem er die Welt bittet zu erkennen, dass die Beatmungsprotokolle nicht funktionieren und geändert werden müssen.

Video: COVID-19 ist ähnlich wie Sauerstoffmangel, keine Lungenentzündung... (1'57'')
COVID-19 is a condition of oxygen deprivation, not pneumonia… (1'57'')

https://www.youtube.com/watch?v=KvREyRIjiQQ - YouTube-Kanal: NATURAL HEALING  - hochgeladen am 4.4.2020

Aus diesem zweiten Video (Übersetzung):

Wir wissen nicht, wohin wir gehen. Wir setzen Atemschläuche in Menschen ein, setzen sie auf Beatmungsgeräte und erhöhen den Druck, um ihre Lungen zu öffnen. Ich habe mit Ärzten im ganzen Land gesprochen und es wird immer deutlicher, dass der Druck, den wir ausüben, ihre Lunge verletzen kann. Es ist sehr wahrscheinlich, dass der hohe Druck, den wir verwenden, die Lunge der Patienten schädigt, in die wir Atemschläuche einsetzen. Wir betreiben die Beatmungsgeräte falsch. COVID-19-Patienten brauchen Sauerstoff, sie brauchen keinen Druck.

Bleib informiert. Lesen Sie Pandemic.news, um unabhängige, aktuelle Nachrichten zu Coronavirus und COVID-19 zu erhalten.>



========

Sputnik-Ticker online, Logo

China 6.4.2020: Corona19: Männer über 50 mit chronischen Krankheiten sind am anfälligsten: Diabetes, Herzkranke, Bluthochdruck - Fieber+Atemnot+Müdigkeit:
Chinesische Forscher beschrieben typisches Coronavirus-Opfer
https://de.sputniknews.com/wissen/20200406326812415-chinesische-forscher-beschrieben-typisches-coronavirus-opfer/

<Chinesische Forscher haben erklärt, welche Menschen besonders anfällig für das neuartige Coronavirus sind. Die Ergebnisse der aktuellen Studie wurden im Magazin der Amerikanischen thorakalen Gesellschaft (ATS) veröffentlicht.

Demnach entfielen die meisten Todesfälle in der Anfangsphase des Ausbruchs des Virus Sars-CoV-2 auf Männer über 50 Jahre, die an chronischen nicht übertragbaren Krankheiten gelitten hatten. Dazu würden zum Beispiel Diabetes, koronare Herzkrankheit oder Hochdruckkrankheit gezählt.  

Zu diesem Schluss kamen die Forscher, nachdem sie 85 Covid-19-Todesfälle in zwei Lazaretten in der chinesischen Provinz Wuhan vom 9. Januar bis 15. Februar 2020 untersucht hatten. Das durchschnittliche Alter der Patienten habe bei 65,8 Jahren gelegen, wovon 72,9 Prozent auf Männer entfielen.

Als besonders häufige Symptome bezeichneten die Forscher Fieber (bei 78 von 85 Patienten), Atemnot (60) und Müdigkeit (50).

Neuartiges Coronavirus

Das Virus Sars-CoV-2 war erstmals Ende Dezember in China entdeckt worden und hat sich innerhalb von wenigen Monaten über den Globus ausgebreitet. Am 11. März stufte die Weltgesundheitsorganisation (WHO) den Ausbruch der Infektion als Pandemie ein.

Nach Angaben der WHO sind bisher mehr als 1,13 Millionen Menschen weltweit mit dem Sars-CoV-2 infiziert. Über 62.000 sind an dem Erreger gestorben.

ns/ae>

========

Sputnik-Ticker online, Logo

Madrid 7.4.2020: Corona19: Dauerfieber bis 39ºC - Geruchssinn weg, Geschmackssinn weg, Appetit weg - Gliederschmerzen, Schüttelfrost, Kopf "explodiert" - Schluckblockade, Körper ausgetrocknet, Übelkeit - kurz bewusstlos - Fieber 40ºC, Bluthochdruck, Puls 89, nur 10% Sauerstoff im Blut - Azithromycin+Hydroxychloroquin+Beatmungsgerät bringen die Heilung:
Sputnik-Journalist: Wie ich Corona im Hotspot Madrid überlebte
https://de.sputniknews.com/panorama/20200407326821053-sputnik-journalist-corona-ueberleben/

<Alberto García Palomo

Alles begann mit leichten Kopfschmerzen. (…) In der Nacht bekam ich Fieber: 38,3 Grad Celsius. Das war am Mittwoch, dem 18. März, drei Tage nach dem Ausrufen der Ausnahmesituation in Spanien.

Das Fieber hielt stundenlang an und erreichte manchmal fast 39 Grad. Dennoch konnte ich, im Bett liegend, ein Buch lesen, weil ich mich auf ein Interview vorbereitete. Ich hoffte, dass dies doch nur blinder Alarm war. Einige Tage zuvor war immerhin meine Frau davon betroffen worden, doch einige Stunden später war schon alles vorbei.

Für mich war das aber erst der Anfang. Mit jeder Stunde verstand ich mehr, dass ich wirklich krank war. Das Fieber blieb konstant bei 39 Grad Celsius. Ich verlor den Geruchs- und den Geschmackssinn – und auch den Appetit. (…) Ich hatte Gliederschmerzen, mein Kopf war fast daran, zu explodieren, und ich hatte Schüttelfrost.

Ich konnte nicht schlucken und spürte, wie mein Körper zunehmend austrocknete. Meine Schmerzen ließen nur nach, wenn ich die Übelkeit mit Paracetamol oder Analgetika unterdrückte. Das waren die einzigen Mittel, die man mir per Hotline verordnet hatte.

Am fünften Tag stieg das Fieber weiter. Ich war äußerst schwach und versuchte, etwas Wasser zu trinken. (…) Ich wollte unter die Dusche – warmes Wasser beruhigte die Wirkung des Virus und schenkte mir für einige Stunden Erholung. Es war früh am Morgen, und es gelang mir, die Dusche zu erreichen. Ich spürte jedoch, dass ich immer schwächer wurde. Irgendwann verlor ich für einige Sekunden das Bewusstsein und fiel zu Boden.

Angesichts dessen beschloss ich, in die Notaufnahme zu gehen. Bis dato hatte ich immer nur die Covid-19-Hotline angerufen, aber dort beantwortete man nur mit müder Stimme meine Fragen, ohne mir etwas zu erklären – man betonte lediglich, dass es sich um eine Krankheit handele, die 14 Tage dauere, und dass ich Geduld haben müsse. Dann legte man den Hörer auf, ohne mir weiter zuzuhören. Das war die schlimmste Antwort von Vertretern der Gesundheitsbehörden, die ich je bekam.

[Azithromycin+Hydroxychloroquin]

Einige meiner Verwandten, die Ärzte von Beruf sind, empfahlen mir, ins Krankenhaus zu fahren. So begab ich mich in das Krankenhaus Infanta Leonor de Vallecas im Süden von Madrid, unweit von meinem Haus. Ich war fast überrascht, aber man hat mich dort sofort aufgenommen. Die Ärzte in „Raumfahreranzügen“ maßen bei mir Fieber und fragten mich nach den Symptomen. Außer mir gab es dort etwa ein Dutzend andere Menschen. Dem Chefarzt zufolge ist das Verfahren ganz einfach: Man macht Röntgenbilder und prüft, ob der jeweilige Patient eine Lungenentzündung hat. Wenn ja, dann wird er auf SARS-CoV-2 getestet. Abhängig von den Ergebnissen würde ich also entweder im Krankenhaus bleiben oder zurück nach Hause fahren.

Obwohl ich eine zweiseitige Lungenentzündung hatte, wurden bei mir keine zusätzlichen Erkrankungen entdeckt. Man gab mir Azithromycin und Hydroxychloroquin und schickte mich nach Hause: Das sind zwei Medikamente, die während dieser Pandemie eingesetzt werden (eines von ihnen ist gegen Malaria). Ich sollte je zwei Pillen am Tag einnehmen und 48 Stunden später wieder ins Krankenhaus kommen, um die Testergebnisse abzuholen.

Ich fragte die Ärzte, warum es im Krankenhaus so ruhig sei, denn es wird ja nur vom Zusammenbruch unseres Gesundheitssystems geredet. Man antwortete mir:

„Das ist ziemlich untypisch. Gestern hatten wir hier 53 Patienten, die auf Betten warteten. Heute haben wir bemerkt, dass erkrankte Menschen in private Krankenhäuser geschickt werden. Aber wir erwarten, dass alles wieder beginnt.“

Bis zum festgelegten Tag konnte ich jedoch nicht warten: Schon am nächsten Morgen stieg mein Fieber auf 40 Grad.

Am darauffolgenden Tag war es im Krankenhaus tatsächlich völlig anders: Dort wimmelte es von Menschen. Manche von ihnen saßen in Rollstühlen, andere saßen im Halbschlaf auf Stühlen.

Es dauerte eine Ewigkeit, bis die Tests fertig waren. Manche sagten, sie hätten darauf mehr als 24 Stunden gewartet. Und alle husteten immer wieder.

Mein Testergebnis kam gegen 05.00 Uhr morgens. Drei Lappen meiner rechten Lunge waren infiziert, und ich musste im Krankenhaus bleiben. Außerdem hatte ich Hochdruck, mein Puls erreichte 89 Schläge pro Minute, und mein Blut war zu weniger als 90 Prozent mit Sauerstoff angereichert. Ich brauchte ein Beatmungsgerät.

Von diesem Moment an und in den nächsten zwölf Stunden geriet die Situation völlig außer Kontrolle: Die gesamte Aufnahmestruktur des Krankenhauses brach im Nu in sich zusammen “. (…) Neben den schon da gewesenen Patienten kamen 103 weitere hinzu, die auf Krankenbetten warteten.

Am Ende wurde ich in einem Krankenhaus-Flügel im Obergeschoss untergebracht. Dieses Zimmer schien lange Zeit nicht genutzt worden zu sein. Später wurde ich in eine andere Abteilung überführt.

Jeden Tag kam ein neuer Arzt zu mir und sagte: „Guten Tag, ich bin der Arzt, der Sie jetzt behandeln wird.“ Sie hörten mich an und gingen weg, ohne mir etwas zu sagen. Sie alle hatten Schutzanzüge an. Die Krankenschwestern kontrollierten den Sauerstoffgehalt im Blut und das Fieber der Patienten.

Sandra – so hieß eine von ihnen - arbeitete schon die ganze Woche ohne Ruhetage. „Es ist inzwischen ruhiger geworden, obwohl es uns immer noch an Geld mangelt. Ich trage diese Schutzmaske schon seit mehreren Tagen“, sagte sie mir.

[Heilung: Fieber runter, Husten weg, Sauerstoff im Blut verbessert sich, Kopfschmerzen weg, Beatmungsgerät weg]

Dann ließ mein Fieber allmählich nach. Ich hatte schon fast keinen Husten mehr und meine Blut- und Urinproben wurden von Tag zu Tag besser. Jetzt konnte ich lesen und fernsehen – ohne Kopfschmerzen. Aus meinem Zimmer konnte ich sehen, wie Leichenwagen den Parkplatz vor dem Krankenhaus verließen.

Ich musste in den vier Wänden bleiben und durfte keinen Besuch bekommen. Aber ich sprach jeden Tag mit meinen Verwandten, die endlich erleichtert aufatmen konnten.

Am vergangenen Montag konnte ich vom Beatmungsgerät genommen werden – in meinem Blut gab es genug Sauerstoff. Ich wurde gesundgeschrieben.

Mir fehlen immer noch die Worte, um die Selbstaufopferung der Ärzte zu beschreiben, die gegen diese Pandemie „an vorderster Front“ kämpfen.

Es ist mir gelungen, ein paar Worte der Dankbarkeit an alle Mitarbeiter aufzuschreiben, die sich um mich kümmerten, mir das Essen zubereiteten und mein Zimmer reinigten.

Ich muss jetzt ein bis zwei Wochen in Isolation verbringen. Dann, wird angenommen (aber eigentlich gibt es keine Beweise dafür), habe ich die Corona-Infektion überstanden.

Vermutlich werde ich dagegen immun sein. Ich werde nie erfahren, wann und wo ich mich angesteckt habe, aber damit kann ich leben. Ich verstehe, dass die Vorsichtsmaßnahmen entscheidend sind.>

========

Sputnik-Ticker online, Logo

8.4.2020: Schwere Corona19-Verläufe: Herzfunktion sinkt: als Reaktion auf Entzündung, oder weil der Covid19-Herd im Herzmuskel ist:
Wie Coronavirus das Herz beeinflusst – Forscher klären auf
https://de.sputniknews.com/wissen/20200408326833942-wie-coronavirus-das-herz-beeinflusst--forscher-klaeren-auf/

<Das Coronavirus kann laut den US-Forschern die Herzfunktion beeinträchtigen. Ihre Studie ist im Fachmagazin „MedicalXpress“ veröffentlicht worden.

Fachleute der Mayo Medical Education und Scientific Research Foundation präzisierten, dass in schweren Fällen der Krankheit eine Senkung der Herzfunktion beobachtet werde. Bei einigen Patienten seien diese Veränderungen das Ergebnis einer Entzündungsreaktion, während sie bei anderen aufgrund der Entstehung eines Covid-19-Herdes im Herzmuskel auftreten würden.

Laut den Forschern haben die Infizierten zwei Probleme im Zusammenhang mit der Arbeit des Herz-Kreislauf-Systems: Herzinsuffizienz und Arrhythmie, die durch Nebenwirkungen von Medikamenten zur Behandlung von Coronavirus-Infektionen verursacht werden können.

Allerdings konnten die Wissenschaftler noch keine genauen Daten darüber finden, ob solche Arzneimittel die Herzfunktion negativ beeinflussen können, und empfehlen den Patienten, das Arzneimittel weiterhin zu verwenden, sollte der Arzt keine andere Anweisung erteilt haben.

Die Pandemie des die Covid-19-Erkrankung verursachenden Coronavirus hat fast die gesamte Welt erfasst. Nach Angaben der Weltgesundheitsorganisation seien mehr als 1,4 Millionen Menschen infiziert, mehr als 83.000 seien gestorben.

In China, von wo sich das Coronavirus ausgebreitet hatte, wurde das Ende der Epidemie nur verkündet.

ek/mt/sna>

========

RT Deutsch online, Logo

8.4.2020:
Russische Pathologin über COVID-19: "Das ist eine neue Infektion, wir erforschen sie noch"
https://deutsch.rt.com/gesellschaft/100641-ist-neue-infektion-wir-erforschen/

<COVID-19-Patienten sterben in den meisten Fällen an Komplikationen verursacht durch Begleiterkrankungen – das Virus ist nur ein Beschleuniger. Das sagte die Pathologin Darja Sitowskaja aus Russland in einem Interview mit RT. Sie erklärte auch, warum die Patienten an Atemnot leiden.

Ist es wahr, dass das Corona-Virus in erster Linie die Lunge betrifft?

Nicht immer. Die Lunge ist genauso wie die normale Influenza nur in schweren Fällen betroffen. Die Krankheit hat ihre eigene Pathogenese und eigene Affektionszonen. Es handelt sich um eine neue Infektion, wir können nicht zuverlässig behaupten, auf welche Weise sie normalerweise verläuft. Wir erforschen sie noch.

Für diese Virengruppe ist es typisch, dass vor allem die Alveolen betroffen sind. In Lungenalveolen entstehen sogenannte Hyalinmembranen, die den normalen Gasaustausch verhindern, und die Alveolen selbst füllen sich mit Fibrin und Transsudat.

Fällt Patienten mit einer schweren COVID-19-Erkrankung das Atmen zunehmend schwerer?

Ja, genau. Das Blut wird nicht mit Sauerstoff gesättigt, und alle anderen Organe bekommen nicht genug Sauerstoff. Am meisten leidet das Gehirn unter dem Sauerstoffmangel. Der Patient kann in Ohnmacht fallen, die Atemnot steigt. Wenn die Lungen schwer betroffen sind, wenn es sich um ein Schweres Akutes Atemwegsyndrom handelt, dann ist nicht mehr die künstliche Lungenventilation erforderlich, sondern die Extrakorporale Membranoxygenierung. Hierfür benötigt man einen direkten Zugriff in große Blutgefäße.

Halten die Pathologen sich an bestimmte Regeln bei der Arbeit mit diesem Virus?

COVID-19 wurde als ein besonders gefährlicher Mikroorganismus eingestuft. Es reiht sich ein in eine Reihe weiterer Infektionskrankheiten wie die Pest, Cholera, Anthrax, Tularämie, Pocken und Gelbfieber. In Sankt Petersburg werden die meisten  COVID-19-Erkrankten in einem speziellen Infektionskrankenhaus untergebracht. Die Obduktion wird in einem Seuchenschutzanzug durchgeführt, der anschließend entsorgt werden soll. Hiernach wird der Raum mit einem Chlormittel desinfiziert.

Russische Pathologin über COVID-19: "Das
                    ist eine neue Infektion, wir erforschen sie
                    noch"
Pathologin Darja Sitowskaja

Unterscheiden sich die Lungen eines an COVID-19 verstorbenen Patienten optisch von den Lungen eines gesunden Menschen?

Ich habe die Lungen eines solchen Patienten noch nicht untersucht. Kollegen haben uns jedoch Fotos geschickt, damit sich die Ärzte darauf einstellen können, womit sie sich künftig befassen müssen. Den Bildern und Beschreibungen nach zu urteilen sind die Lungen der an COVID-19 Verstorbenen hart, dunkelrot, luftleer, jedoch ohne ausgeprägte Ödemzeichen. Ich vermute, dass sie nach dem Dichtegrad Gummi ähneln. Gesunde Lungen ähneln eher einem weichen und elastischen Geschirrschwamm. Man muss betonen, dass die Reversibilität der Veränderungen vom Alter und den Möglichkeiten eines konkreten Organismus abhängt. Je mehr begleitende Pathologien es gibt (zum Beispiel chronische obstruktive Lungenerkrankung, Lungenemphysem, chronische Bronchitis, chronisches Asthma), desto schwerer ist das Lungengewebe betroffen.

Ist das Corona-Virus die Todesursache?

Wir haben bislang noch keine klare Statistik – die Sterberate in unserem Land ist glücklicherweise nicht hoch. Die Pathologen unterscheiden drei Arten von Todesursachen: die gemeinsame, die unmittelbare und die nächste. Die gemeinsame ist COVID-19. Die restlichen zwei sind begleitende Erkrankungen. Am häufigsten treten Komplikationen im Zuge somatischer Erkrankungen (zum Beispiel Myokardinfarkt) auf. Das heißt, dass der Patient an Erkrankungen litt, die zu jedem Zeitpunkt zum Tod hätten führen können. Und das Virus beschleunigte nur den Verlauf der Krankheit, da eine solche Infektion einen enormen Stress für den Organismus bedeutet.  >

========

Schwerer Verlauf: Tod durch Pharma: Die unberechenbare Kombinationswirkung von Medikamenten:

Uncut news
                    online, Logo   YouTube online,
                    Logo   The Lancet
              online, Logo+favicon

The Lancet 11.4.2020: Tod durch Pharma: Corona19-Patient in Italien (50) stirbt an den Pharma-Medikamenten (!!!): Cortison, Antibiotika AIDS-Mittel und Interferon ALLES ZUSAMMEN=TÖDLICH:

Dr. med. Köhnlein: Corona-Tote wegen menschlicher Versuchbarkeit

<Laut Medienberichten mehren sich insbesondere in Italien die Todesfälle aufgrund von Corona-Infektion. Doch sterben die Menschen wirklich am Coronavirus? Dr. med. Claus Köhnlein stieß in der medizinischen Fachzeitschrift „The Lancet“ auf eine ganz andere, ja tragische Spur.>

Dr. Köhnlein:
                  Corona19-Patienten sterben an den
                  Pharma-Pillen-Cocktails
Dr. Köhnlein: Corona19-Patienten sterben an den Pharma-Pillen-Cocktails [4]

Video: Dr. med. Köhnlein: Corona-Tote wegen menschlicher Versuchbarkeit | 10. April 2020 | www.kla.tv/16103 (6'12'')

Video: Dr. med. Köhnlein: Corona-Tote wegen menschlicher Versuchbarkeit | 10. April 2020 | www.kla.tv/16103 (6'12'')
https://www.youtube.com/watch?v=y1dVP7kvTKg  - aus YouTube-Kanal: klagemauerTV - hochgeladen am 10.4.2020

Videoprotokoll:

Dr. Köhnlein nimmt Bezug auf die Zeitschrift "The Lancet" mit den Artikeln:
"Epidemievorsorge in städtischer Umgebung" ("Epidemic preparedness in urban settings")
https://www.thelancet.com/journals/laninf/article/PIIS1473-3099%2820%2930249-8/fulltext#articleInformation
und
"Pathologische Befunde von COVID-19 im Zusammenhang mit akutem Atemnotsyndrom"
("Pathological findings of COVID-19 associated with acute respiratory distress syndrome")
https://www.thelancet.com/journals/lancet/article/PIIS2213-2600(20)30076-X/fulltext

Artikel von The Lancet:
                  Pathological findings of COVID-19 associated with
                  acute respiratory distress syndrome, 18.2.2020
Artikel von The Lancet: Pathological findings of COVID-19 associated with acute respiratory distress syndrome, 18.2.2020 [1]

In letzterem Artikel wird die Behandlung eines 50 Jahre alten Corona19-Patienten beschrieben, er bekam
-- eine Höchstdosis an Cortison [Entzündungshemmer],
-- sehr harte Antibiotika, sowie
-- 2 Mittel aus der AIDS-Therapie und
-- Interferon (56'').

So wurde die Reaktion des Immunsystems gehemmt bzw. blockiert (59''). Gemäss Dr. Köhnlein ist der Patient somit NICHT am Corona19-Virus gestorben, sondern an den Medikamenten verstorben (die "Maximalmedikamentierung") (1'12''). Also die Pharma-Ärzte haben den Patienten im Willen, "das Beste" zu medikamentieren, getötet (1'57''). Köhnlein meint, das sei sicher kein Einzelfall, sondern eher der Modellfall (2'6''). Es ist also so, dass der Coronavirus erst dann tödlich wird, wenn man die falschen Medikamente gibt, die das Immunsystem noch zusätzlich schwächen (2'11'').
Hallo Michael! Anstatt das Immunsystem zu stärken haben diese Quacksalber von Ärzten das Immunsystem total unterdrückt?! Das grenzt schon haarscharf an Mord!!!

Der
                            Corona19-Patient (50) in Italien: Symptome
                            und Giftpillen, Grafik (Spitalaufenthalt
                            8.-27.2.2020)

Der Corona19-Patient (50) in Italien: Symptome und Giftpillen, Grafik (Spitalaufenthalt 8.-27.2.2020)
original:

<Since late December, 2019, an outbreak of a novel coronavirus disease (COVID-19; previously known as 2019-nCoV) ], [   was reported in Wuhan, China [], which has subsequently affected 26 countries worldwide. In general, COVID-19 is an acute resolved disease but it can also be deadly, with a 2% case fatality rate. Severe disease onset might result in death due to massive alveolar damage and progressive respiratory failure [] []. As of Feb 15, about 66 580 cases have been confirmed and over 1524 deaths. However, no pathology has been reported due to barely accessible autopsy or biopsy [] [].

[The case]

Here, we investigated the pathological characteristics of a patient who died from severe infection with severe acute respiratory syndrome coronavirus 2 (SARS-CoV-2) by postmortem biopsies. This study is in accordance with regulations issued by the National Health Commission of China and the Helsinki Declaration. Our findings will facilitate understanding of the pathogenesis of COVID-19 and improve clinical strategies against the disease.

[Man (50) comes from Wuhan and goes to hospital in Beijing]

A 50-year-old man was admitted to a fever clinic on Jan 21, 2020, with symptoms of fever, chills, cough, fatigue and shortness of breath. He reported a travel history to Wuhan Jan 8–12, and that he had initial symptoms of mild chills and dry cough on Jan 14 (day 1 of illness) but did not see a doctor and kept working until Jan 21 (figure 1). Chest x-ray showed multiple patchy shadows in both lungs (appendix p 2), and a throat swab sample was taken. On Jan 22 (day 9 of illness), the Beijing Centers for Disease Control (CDC) confirmed by reverse real-time PCR assay that the patient had COVID-19.

Übersetzung:

<Seit Ende Dezember 2019 wurde in Wuhan, China [2], von einem Ausbruch einer neuartigen Coronavirus-Krankheit (COVID-19; früher bekannt als 2019-nCoV) [1] [2] berichtet, von der anschließend 26 Länder weltweit betroffen waren. Im Allgemeinen handelt es sich bei COVID-19 um eine akute Krankheit, die jedoch mit einer Sterblichkeitsrate von 2% auch tödlich sein kann. Ein schwerer Krankheitsbeginn kann aufgrund massiver Alveolarschäden und fortschreitendem Atemversagen zum Tod führen [2] [3]. Bis zum 15. Februar wurden ungefähr 66.580 Fälle bestätigt und über 1524 Todesfälle. Aufgrund einer kaum zugänglichen Autopsie oder Biopsie wurde jedoch keine Pathologie berichtet [2] [3].

[Der Fall]

Hier untersuchten wir mittels Biopsie nach dem Tod die pathologischen Eigenschaften eines Patienten, der an einer schweren Infektion mit dem schweren akuten respiratorischen Syndrom Coronavirus 2 (SARS-CoV-2) starb. Diese Studie entspricht den Vorschriften der National Health Commission of China und der Helsinki-Erklärung. Unsere Ergebnisse werden das Verständnis der Pathogenese von COVID-19 erleichtern und die klinischen Strategien gegen die Krankheit verbessern.

[Mann (50) kommt aus Wuhan und geht in Peking ins Spital]

Ein 50-jähriger Mann wurde am 21. Januar 2020 mit Symptomen wie Fieber, Schüttelfrost, Husten, Müdigkeit und Atemnot in eine Fieberklinik eingeliefert. Er berichtete, er sei vmo 8. bis 12. Januar in Wuhan gewesen und hatte am 14. Januar (Tag 1 der Krankheit) erste Symptome von leichtem Schüttelfrost und trockenem Husten, ging jedoch keinen Arzt und arbeitete bis zum 21. Januar weiter (Abbildung 1). Röntgenaufnahmen der Brust zeigten mehrere fleckige Schatten in beiden Lungenflügeln (Anhang S. 2), und es wurde eine Rachenabstrichprobe entnommen. Am 22. Januar (Tag 9 der Krankheit) bestätigten die Pekinger Zentren für die Kontrolle von Krankheiten (CDC) durch einen umgekehrten Echtzeit-PCR-Assay, dass der Patient COVID-19 hatte.

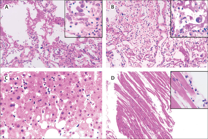
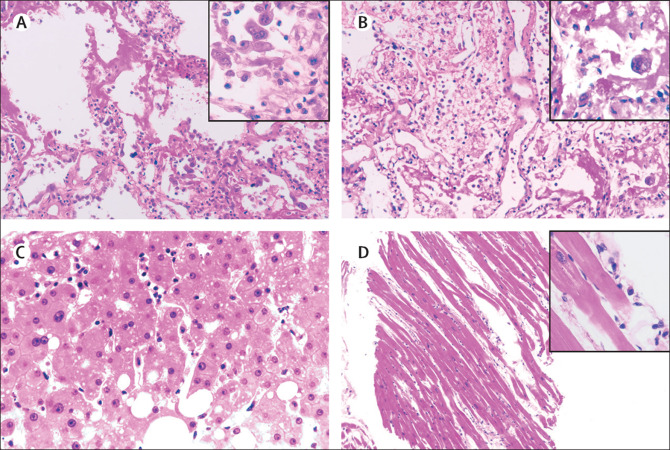
Italien, Corona19-Patient mit
                          Lungenschaden, Leberschaden und Herzschaden
Italien, Corona19-Patient mit Lungenschaden, Leberschaden und Herzschaden [3]
[Intoxication of the patient with 5 toxic pills at one time]

He was immediately admitted to the isolation ward and received supplemental oxygen through a face mask. He was given
-- [pill supporting the immune system fighing virus and tumors] interferon alfa-2b (5 million units twice daily, atomisation inhalation) and
-- [AIDS pills] Lopinavir plus Ritonavir (500 mg twice daily, orally) as antiviral therapy,
-- and [the antibiotic] Moxifloxacin (0·4 g once daily, intravenously) to prevent secondary infection. Given the serious shortness of breath and hypoxaemia,
-- [against inflammations] Methylprednisolone (80 mg twice daily, intravenously) was administered to attenuate lung inflammation. Laboratory tests results are listed in the appendix (p 4).

[Fever goes down, lung and respirotary ways do NOT improve]

After receiving medication, his body temperature reduced from 39·0 to 36·4 °C. However, his cough, dyspnoea, and fatigue did not improve. On day 12 of illness, after initial presentation, chest x-ray showed progressive infiltrate and diffuse gridding shadow in both lungs.

[Oxigen therapy with nasal cannula - lung does not improve, but oxygen saturation is rising]

He refused ventilator support in the intensive care unit repeatedly because he suffered from claustrophobia; therefore, he received high-flow nasal cannula (HFNC) oxygen therapy (60% concentration, flow rate 40 L/min). On day 13 of illness, the patient's symptoms had still not improved, but oxygen saturation remained above 95%. In the afternoon of day 14 of illness, his hypoxaemia [oxygen in the blood] and shortness of breath worsened. Despite receiving HFNC oxygen therapy (100% concentration, flow rate 40 L/min), oxygen saturation values decreased to 60%, and the patient had sudden cardiac arrest. He was immediately given invasive ventilation, chest compression, and adrenaline injection. Unfortunately, the rescue was not successful, and he died at 18:31 (Beijing time).>
[Die Vergiftung des Patienten mit 5 Gift-Pillen gleichzeitig]

Er wurde sofort in die Isolationsstation eingeliefert und erhielt über eine Gesichtsmaske zusätzlichen Sauerstoff. Er erhielt
-- [das immunstimulierende, antivirale und antitumorale Medikament] Interferon alfa-2b (5 Millionen Einheiten zweimal täglich, Zerstäubungsinhalation) und
-- [die AIDS-Medikamente] Lopinavir plus Ritonavir (500 mg zweimal täglich oral) als antivirale Therapie
-- und [das Antibiotikum] Moxifloxacin (0,4 g einmal täglich intravenös), um eine Sekundärinfektion zu verhindern. Angesichts der schwerwiegenden Atemnot und Hypoxämie [niedriger Sauerstoffgehalt im Blut] wurde
-- [der Entzündungshemmer] Methylprednisolon (80 mg zweimal täglich, intravenös) verabreicht, um Lungenentzündungen abzuschwächen. Die Ergebnisse der Labortests sind im Anhang (S. 4) aufgeführt.

[Fieber geht runter, Lunge und Atemwege verbessern sich NICHT]

Nach der Einnahme von Medikamenten verringerte sich seine Körpertemperatur von 39,0 auf 36,4 ° C. Sein Husten, seine Atemnot und seine Müdigkeit besserten sich jedoch nicht. Am Tag 12 der Krankheit zeigte die Röntgenaufnahme des Brustkorbs nach vorherigen Röntgenaufnahmen nun ein progressives Infiltrat und einen diffusen Gitterschatten in beiden Lungen.

[Sauerstofftherapie mit Nasenkanüle - Lunge bessert nicht, die Sauerstoffsättigung steigt]

Er lehnte wiederholt die Unterstützung von Beatmungsgeräten auf der Intensivstation ab, weil er an Klaustrophobie litt. Daher erhielt er eine Sauerstofftherapie mit einer Nasenkanüle (HFNC) mit hohem Durchfluss (60% Konzentration, Flussrate 40 l / min). Am Tag 13 der Krankheit hatten sich die Symptome des Patienten immer noch nicht gebessert, aber die Sauerstoffsättigung blieb über 95%. Am Nachmittag des 14. Krankheitstages verschlechterten sich seine Hypoxämie [Sauerstoff im Blut] und Atemnot. Trotz HFNC-Sauerstofftherapie (100% Konzentration, Flussrate 40 l / min) sanken die Sauerstoffsättigungswerte auf 60% und der Patient hatte einen plötzlichen Herzstillstand. Er erhielt sofort invasive Beatmung, Brustkompression und Adrenalininjektion. Leider war die Rettung nicht erfolgreich und er starb um 18:31 Uhr (Pekinger Zeit).>


Auch die Ausgangsbeschränkungen für die Bevölkerung sind eine solche falsche Maximalmassnahme aus dem Bedürfnis der Politiker heraus, später nicht angeschuldigt zu werden, sie hätten nicht "alles versucht" (2'33'').

========

20 minuten
              online, Logo

14.4.2020: Bis zu 80% Todesraten bei Corona19 mit Beatmungsgeräten - neue Methoden: Nasenschläuche oder Zugabe von Stickoxid:
Viele Todesfälle: Ärzte suchen Alternativen zu Beatmungsgeräten
https://www.20min.ch/ausland/news/story/Beatmete-Corona--Patienten-sterben-haeufiger-15247580


<Die Nutzung von Beatmungsgeräten ist umstritten. Nun wollen Ärzte andere Methoden bei Coronavirus-Patienten testen.

Zahlreiche Fachpersonen bemängeln den Nutzen von Beatmungsgeräten bei Covid-19-Patienten. Laut internationalen Studien sterben mehr beatmete Corona-Patienten als überleben. So zeigt ein Bericht aus London, dass von 1053 intubierten Patienten nur 355 überlebten (33,7 Prozent). Und laut einer kleineren Studie aus dem chinesischen Wuhan überleben nur drei von 22 intubierten Patienten (13,6 Prozent).

Ärzte in New York behaupten sogar, dass bis zu 80 Prozent der Corona-Patienten, die an Beatmungsgeräte angeschlossen waren, starben. In Seattle wurden 18 intubierte Patienten beobachtet. Als die Forscher ihre Beobachtung beendet hatten, hatten neun von ihnen überlebt, wie «Focus» schreibt. Jedoch konnten drei davon noch immer nicht selbstständig atmen.

«Höhere Chance, zu genesen»

Daraus schlussfolgern Mediziner, dass die Sterberate der Corona-Patienten deutlich höher ist als derjenigen, die aufgrund anderer Krankheiten an Beatmungsgeräte angeschlossen werden. Laut der Nachrichtenagentur Associated Press (AP) sterben von den Menschen, die unabhängig vom Coronavirus an ein Beatmungsgerät angeschlossen werden müssen, etwa 40 bis 50 Prozent.

Zahlreiche Ärzte schlagen deshalb Alternativen vor. So heisst es unter anderem, dass man unterschiedliche Lagerungsformen testen sollte. Eine davon wäre, die Patienten beispielsweise auf den Bauch zu legen, damit verschiedene Teile der Lunge besser durchlüftet werden können.

Zudem bestehe auch die Möglichkeit einer Zufuhr von Sauerstoff durch Nasenschläuche oder einer Zugabe von Stickoxid. Damit könnte man den Blutfluss erleichtern und Sauerstoff zu den am wenigstens geschädigten Teilen der Lunge bringen. «Wenn wir es schaffen, dass sich der Zustand von Patienten verbessert, ohne dass wir sie intubieren müssen, haben sie eine höhere Chance, zu genesen – vermuten wir», sagte etwa der New Yorker Notfallmediziner Joseph Habboushe zu AP.

(mon)>

========

Sputnik-Ticker online, Logo

15.4.2020: Beatmungsgeräte schaden den Lungen und 66% der Patienten sterben:
Rätsel der Beatmungsgeräte bei Corona-Pandemie: nützen oder schaden sie

Die ausreichende Anzahl an diesen Geräten in Kliniken gilt als notwendige Voraussetzung für die erfolgreiche COVID-19-Behandlung. Es mag aber durchaus sein, dass die Bedeutung dieses Faktors überschätzt wird. Nach Angabe des britischen Nationalen Gesundheitsdienstes sterben zwei Drittel der Kranken, die an ein Beatmungsgerät angeschlossen werden.

Die Ursache der hohen Mortalität unter solchen Patienten ist, dass sich jeder von ihnen zum Zeitpunkt des Anschlusses in einem sehr schweren Zustand befindet, erläuterte im Sputnik-Interview der Leiter der Moskauer Familienklinik, Pawel Brand. „Der Intensivrespirator wird im Notfall eingesetzt, wenn der Mensch nicht mehr selbst atmen kann und die Wahrscheinlichkeit seines Todes sehr hoch ist, wenn er nicht anders gerettet werden kann. Je jünger man jedoch dabei ist, desto höher ist die Chance mithilfe des Beatmungsgeräts zu überleben. Also schadet das Intensivbeatmungsgerät an sich nicht, sondern gibt nur den Senioren nicht viele Möglichkeiten am Leben zu bleiben.“

Dem stimmt auch der Chef-Pneumologe Russlands, Sergei Awdejew, zu. „Wir verfolgen diese traurige Statistik unserer Kollegen im Ausland. Eine Pneumonie ist an sich schon eine höchst schwere Infektionskrankheit. Ihr Verlauf ist ernsthaft, und die Pathologie betrifft viele funktionierende Alveolen, die für den Gasaustausch sorgen. Die Indikationen für den Anschluss von Patienten an ein Intensivbeatmungsgerät sind in den Anweisungen für die Ärzte genau festgehalten. Ich kann es deshalb nicht dem Beatmungsgerät zuschreiben, dass Patienten sterben. Ich glaube, keiner von meinen Kollegen tut das.“

Ist der Anschluss an ein Intensivbeatmungsgerät ein verzweifelter Schritt?

„Wenn die eigenen Lungen das Virus nicht bewältigen können“, so der Arzt, „muss zur Aufrechterhaltung des Gasaustausches die Lungenfunktion ersetzt werden. Es ist im Grunde genommen ein verzweifelter Schritt. Ohne ihn haben aber leider diese Patienten gar keine Rettungschancen. Allerdings lässt sich das Verfahren der künstlichen Lungenventilation wiederum nicht als absolut unschädlich einstufen. Uns stehen längst Daten zu den sogenannten beatmungsinduzierten Lungenschäden zur Verfügung. Heutzutage wählen unsere Kollegen, Ärzte und Anästhesisten, in erster Linie schonende Beatmungsparameter, kleinere Tidalvolumen und sind bemüht, den Inspirationsdruck in den Atemwegen nicht ruckartig zu erhöhen.“

Wera Litkowa, Pulmologin an einer Moskauer Privatklinik, fügte hinzu, die Ärzte würden bis zuletzt versuchen, den Anschluss eines Patienten ans Intensivbeatmungsgerät zu vermeiden. Wenn es doch geschehe, dann sei es eben der einzige Ausweg. „Was die langfristigen Komplikationen betrifft, die nach dem Einsatz des Intensivrespirators aufkommen können, variieren sie je nachdem, wie lange der Patient an das Gerät angeschlossen war. Menschen mit Coronavirus werden in der Regel ein bis zwei Wochen beatmet, während bei Patienten mit bakterieller Pneumonie ein bis zwei Tage künstliche Lungenventilation hinreichen. Natürlich unterscheidet sich dementsprechend auch der Umfang der Einwirkung auf die Lungen stark. Auch muss man den ursprünglichen Zustand des Patienten und die Begleiterkrankungen berücksichtigen.“

Früher hatte auch der Chefarzt der zentralen Infektionsklinik von Moskau, Denis Prozenko, zugegeben, Ärzte würden die Intensivbeatmung nur anwenden, wenn keine anderen Mittel helfen würden. „Dies geschieht auch nicht wegen des Mangels an Geräten, sondern aus medizinischen Gründen: in Moskauer Krankenhäusern verfügen wir über 5.000 Intensivbeatmungsgeräte.“

Der Mediziner erklärte ferner den Vorgang im Organismus, der die künstliche Beatmung notwendig macht. „Beim Patienten sinkt die Sauerstoffkonzentration im Arterienblut. Dazu kommt es wegen der sehr ausgedehnten Läsion des Lungengewebes, welches dann aufhört, seine Hauptfunktion zu erfüllen, nämlich den Sauerstoff von außen her ins Blut zu transportieren. Das mündet in kompensatorische Kurzatmigkeit, weil dieser Sauerstoff dem Patienten nicht reicht, und er häufiger Atem holt, um den Umfang der Sauerstoffübertragung zu vergrößern.“

Komplikationen lassen sich laut Prozenko bei Patienten am einfachsten vermeiden, „indem man sie auf den Bauch statt auf den Rücken legt. Dann werden die Lungen von der Flüssigkeit, die sich in ihnen ansammelt, nicht zusammengepresst. Sie beeinflusst nicht den Gasaustausch, sodass man die kritische Situation bewältigen kann.“

„Die Geräte können der Gesundheit des Patienten schaden, wenn er längere Zeit an sie angeschlossen bleibt, weil der Sauerstoff in die Lungen unter Druck gelangt“, sagte Brand abschließend. „Dies hat nichts mit dem Intensivrespirator zu tun, sondern mit dem Zustand, der seinen Einsatz erfordert hat. Bei einer korrekt durchgeführten künstlichen Intensivbeatmung nimmt die Krankheit einen leichteren Verlauf an. Folglich bestehen hohe Genesungschancen.“>

========

Sputnik-Ticker online, Logo

19.4.2020: Schwere Fälle mit Corona19 haben tiefen Hämoglobinwert - Beatmung nützt gar nichts:
Coronavirus: Wissenschaftler entdecken neues alarmierendes Symptom

https://de.sputniknews.com/panorama/20200419326926411-coronavirus-wissenschaftler-entdecken-neues-alarmierendes-symptom/

<Laut der neulich in der Fachzeitschrift „Hematology, Transfusion and Cell Therapy“ veröffentlichten Studie fällt bei den schwer erkrankten Covid-19-Patienten der Hämoglobinwert, was zu schweren Folgen für den Organismus führt.

Dementsprechend seien bei einigen Gruppen der Corona-Patienten Beatmungsgeräte hilflos. Nach Ansicht der Forscher sei der Abfall des Hämoglobins, eines Proteins, das für das Transportieren des Sauerstoffs im menschlichen Körper verantwortlich ist, ein alarmierendes Symptom für Corona-Erkrankte. Deswegen schlagen die Autoren der Studie vor, den Hämoglobinspiegel bei allen Corona-Patienten unbedingt zu messen.

„Es muss auch dringend untersucht werden, ob eine Bluttransfusion zur Vorbeugung eines schweren Krankheitsverlaufs beitragen kann“, heißt es in der Studie.

ac/mt>

========

Kronenzeitung online, Logo

D 12.4.2020: Ärzte vermuten bei schweren Corona19-Verläufen ein vermindertes Lungenvolumen:
Spätfolgen: Vermindertes Lungenvolumen durch Covid-19 möglich


========

20 minuten
                    online, Logo

Zürich 21.4.2020: Ein Drittel der schweren Verläufe von Corona19 an der Uniklinik Mailand hatten eine Lungenembolie (Verstopfung einer Lungen-Arterie od. Lungenvene) - Blutverdünner kann das verhindern - über Natron+Apfelessig wird NICHT gesprochen:
Studie am Unispital Zürich: Weniger Corona-Tote dank Blutverdünner?
https://www.20min.ch/schweiz/news/story/Weniger-Corona-Tote-durch-Blutverduenner--10142530

<Mediziner vermuten, dass eine Lungenembolie bei schweren Verläufen eine grosse Rolle spielt. Sie wollen nun eine Studie mit Blutverdünnern durchführen.

in Team um Nils Kucher, Direktor der Klinik für Angiologie am Universitätsspital Zürich, hat die Krankengeschichte von 388 Corona-Patienten analysiert. Die Patienten wurden im Februar und März am Universitätsspital Mailand behandelt. Etwas fiel den Medizinern auf: Rund jeder Dritte, der entsprechend untersucht worden war, litt an einer Lungenembolie.

Das lässt die Forscher vermuten, dass die Lungenembolie bei schweren Verläufen und auch bei Todesfällen eine grosse Rolle spielt, wie der «Tages-Anzeiger» berichtet. Mit einem üblichen Blutverdünner liesse sich das in vielen Fällen verhindern, sagt Kucher zur Zeitung. In Spitälern sei eine entsprechende Vorsorge üblich, zu Hause in Quarantäne nicht.

«Risiko um 60 Prozent reduzieren»

Nach Schätzungen von Kucher sterben etwa 70 Prozent der Corona-Patienten zu Hause oder in Alters- und Pflegeheimen. Das deute darauf hin, dass viele Betroffene ganz plötzlich sterben würden, während sie sich nach einem positiven Testresultat in Quarantäne befänden.

Eine Studie mit 1000 Teilnehmern soll nun zeigen, ob die Vermutung der Mediziner stimmt. «Wir hoffen, dass wir das Risiko für Spitaleinweisungen und Todesfälle um 60 Prozent reduzieren können», sagt Kucher. Die Bewilligung für die Studie steht noch aus, danach wird es eine Hotline für Ärzte und interessierte Patienten geben.

Blutgefässe im ganzen Körper entzündet

Eine zweite Studie aus dem Zürcher Unispital stützt die Vermutung von Kucher. Die Forscher haben nachgewiesen, dass bei verstorbenen Corona-Patienten nicht nur die Lunge, sondern Blutgefässe im ganzen Körper in verschiedenen Organen entzündet waren. Eine der Folgen davon kann eine Lungenembolie sein. Die Forscher schlagen deshalb vor, das Gefässsystem von Risikopatienten mit Vorerkrankungen zu schützen und zu stabilisieren.

(tam)>






<<        >>

Teilen / share:

Facebook








Quellen




Fotoquellen
[1] https://vk.com/fritz1956#/fritz1956?z=photo463459746_457254737%2Fwall417878056_72367


20
                            minuten online, Logo  Schweinzer Fernsehen online, Logo    Journalistenwatch online, Logo   RT Deutsch
                      online, Logo    Epoch Times online, Logo  Sputnik-Ticker online, Logo  Legitim.ch
                      online, Logo    InfoSperber
                online, Logo      News
                      for Friends online, Logo   Kronenzeitung online, Logo      Volksbetrug.net online, Logo   Uncut news
                      online, Logo
  VK online, Logo   Facebook Logo   YouTube online,
                      Logo   
Schwarzer
                  Kaffee online, Logo 


n-tv
                        online, Logo  Spiegel online, Logo  Der
                        Standard online, Logo      ARD Logo  Frankfurter Allgemeine online, Logo
NZZ Logo
La
                  República del Perú online, Logo    Diario UNO
                  online, Logo    El
                  Comercio del Perú online, Logo       Wochenblitz
                  online, Logo  

^